Боль в локтях возникает достаточно часто и не всегда она означает, что имеет место быть развитие патологического процесса именно в локтевом суставе. Опасность этого симптома заключается в том, что диагностирование истинного заболевания, которое и спровоцировало появление болей в локтях, происходит поздно, а это автоматически делает лечение более длительным и сложным, в некоторых случаях выздоровления не наступает и человек становится инвалидом. При болях в локтевом суставе в первую очередь нужно обращаться к ортопеду или же ревматологу.
В представленном материале будут рассмотрены основные причины болей в локтях и общие принципы лечения.
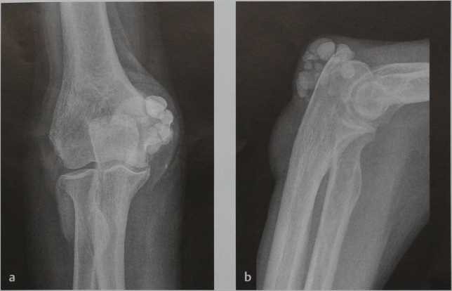
«Локоть теннисиста», «локоть игрока в гольф» — эпикондилит наружного или внутреннего надмыщелка плеча
Эти патологии возникают на фоне перегрузок и основной причиной будут однотипные, повторяющиеся движения – например, управление компьютерной мышью, работа на дачном участке, занятия спортом и управление вообще какими-либо механизмами, которые требуют напряжения мышц сгибателей/разгибателей кисти.
Характерным для этих заболеваний будет:
- болезненность при ощупывании мест крепления сухожилий;
- боль при активном сгибании кисти (присуща внутреннему эпикондилиту);
- боль при активном разгибании кисти (присуща наружному эпикондилиту);
- распространение неприятных ощущений вниз на предплечье;
- ограниченность движений в локтевом суставе.
Общие принципы лечения наружного и/или внутреннего эпикондилита заключаются в следующем:
- Полное исключение нагрузок на локтевой сустав.
- Проведение физиопроцедур – эффективными будут лазеролечение, магнитотерапия, электрофорез и ультразвук.
- В случае хронического течения заболевания назначают курс ударно-волновой терапии.
- Прием противовоспалительных средств в виде таблеток и мазей/гелей/кремов (препараты местного назначения) – Целебрекс, Мовалис, Нимесил и Найз.
- Подбор специальной лечебной гимнастики.
Если описанные методы не дают эффекта, то больному может быть проведена блокада в конкретную болевую точку с анестетиком и глюкокортикостероидом. Хирургическое вмешательство по поводу наружного и/или внутреннего эпикондилита проводится крайне редко.
Врачи отмечают, что боли в локтях могут быть вызваны различными факторами, включая травмы, воспалительные процессы и дегенеративные изменения. Одной из распространенных причин является тендинит, который возникает из-за перегрузки сухожилий. Артрит также может стать источником дискомфорта, особенно у пожилых людей. Важно учитывать, что боли могут быть связаны с заболеваниями, такими как подагра или остеоартрит.
Для диагностики причин болей специалисты рекомендуют проводить комплексное обследование, включая рентгенографию и МРТ. Лечение зависит от выявленной причины и может включать физиотерапию, медикаментозную терапию и, в некоторых случаях, хирургическое вмешательство. Врачи подчеркивают важность раннего обращения за медицинской помощью, чтобы избежать осложнений и обеспечить эффективное восстановление. Регулярные физические упражнения и правильная техника выполнения движений также играют ключевую роль в профилактике болей в локтях.

Остеоартроз локтевого сустава деформирующего типа
Крайне редко это заболевание встречается, как самостоятельная патология (исключение составляет лишь состояние посттравматического артроза), чаще всего локтевые суставы поражаются при полиартрозе. Боль в этом случае будет беспокоить при нагрузке – например, при переносе тяжестей. Характерными признаками деформирующего остеоартроза локтевого сустава будут ограничение движений и хруст, деформация сустава.
Общие принципы лечения рассматриваемого заболевания:
- Ограничение физической нагрузки.
- Массаж верхней конечности.
- Назначение противовоспалительных лекарственных препаратов в периоды обострения болей в локтях.
- Курсовое проведение физиопроцедур – например, магнитотерапия, УВЧ или электрофорез.
- Подбор комплекса упражнений из лечебной гимнастики.
Обратите внимание: при деформирующем остеоартрозе локтевого сустава обязательно назначаются лекарственные препараты из группы хондропротекторов, которые способны улучшить обменные процессы в хрящевой ткани. К таким препаратам относятся Структум, Артра и Алфлутоп.
Заболевания воспалительного характера
Локтевой сустав может подвергнуться поражению воспалительным процессом при многих заболеваниях – например, подагра, инфекционные артриты, ревматоидный артрит, псориаз. В этом случае пациент будет предъявлять жалобы на боль в локтевом суставе, которая усиливается даже при незначительных движениях им и в ночное время. Врач отметит, что больной старается держать руку в полусогнутом положении, тем самым снижая интенсивность болевого синдрома, у него развивается тугоподвижность локтевого сустава.
Кроме характерной боли в локтевом суставе, при воспалительных процессах будут присутствовать повышенная температура кожных покровов непосредственно в месте расположения сустава, покраснение кожи, скованность после периода покоя. А если боли в локтях вызваны подагрой, то будут образовывать специфические узелки – тофусы.
Общие принципы лечения воспалительных процессов:
- Проведение терапии основного заболевания.
- Назначение противовоспалительных лекарственных средств.
- Полное исключение физических нагрузок.
- Курс физиопроцедур – лазеротерапия и магнитотерапия.
Если диагностирован артрит гнойного характера, то больному обязательно назначаются антибактериальные препараты. После купирования острого воспаления пациенты должны заниматься лечебной гимнастикой, посещать курсы массажа и получить назначения по приему хондропротекторов.
Боли в локтях — распространенная проблема, о которой говорят многие. Причины могут варьироваться от травм и перегрузок до хронических заболеваний, таких как артрит или тендинит. Люди часто описывают дискомфорт как резкий, пульсирующий или ноющий, что затрудняет выполнение повседневных задач. Важно отметить, что игнорирование боли может привести к ухудшению состояния.
Лечение зависит от причины. В некоторых случаях достаточно отдыха и применения холодных компрессов, в других — требуется физиотерапия или медикаментозное лечение. Некоторые пациенты отмечают положительный эффект от массажа и специальных упражнений для укрепления мышц. Важно обратиться к врачу для точной диагностики и выбора оптимального метода лечения, чтобы избежать осложнений и вернуть себе активность.

Локтевой туннельный синдром
Это заболевание развивается на фоне сдавления локтевого нерва в области его прохождения в костной борозде локтевого сустава. Причины такого сдавления могут быть самые разные – например, слишком частые сгибания/разгибания локтя, травмы, костные выросты. Боль при локтевом туннельном синдроме начинается от локтя, распространяется по предплечью и иррадиирует в 4 и 5 палец кисти. Этот симптом всегда сопровождается онемением кожи в месте распространения боли.
Чтобы поставить диагноз «локтевой туннельный синдром», врач проводит простейший тест – ударяет молоточком по локтевой борозде, а у пациента в это время появляется покалывание или прострел по предплечью до мизинца.
Общие принципы лечения локтевого туннельного синдрома:
- Максимально возможное ограничение нагрузок, в некоторых случаях требуется фиксация сустава ортезом.
- Назначение противовоспалительных препаратов, антидепрессантов и антиконвульсантов.
- Прием витаминов группы В.
Если боль слишком интенсивная и простая терапия не дает результата, то больному проводится блокада с анестетиком и глюкокортикостероидом непосредственно в область ущемления нерва. Крайне редко, но имеет место быть, хирургическое вмешательство.
Неврит локтевого нерва
Речь идет о воспалении локтевого нерва, которое может развиться, как следствие переохлаждения, травмы или вальгусной деформации сустава. Боль в этом случае будет локализована непосредственно в локтевом суставе, носит она, чаще всего, ноющий характер. Как вторичный симптом неврита локтевого нерва – онемение 4 и 5 пальца руки, снижение в них силы.
Лечение рассматриваемого патологического процесса заключается в проведении медикаментозной терапии (сосудистые препараты, мочегонные средства, анальгетики, витамины группы В, нестероидные противовоспалительные средства). После купирования острого неврита больному назначается массаж, лечебная гимнастика и физиопроцедуры (электрофорез и фонофорез).

Бурсит локтевого отростка
На верхушке локтевого сочленения располагается подкожная сумка, которая заполнена синовиальной жидкость. Если произошла травма, либо имеет место быть постоянное трение этой области о стол, эта сумка может воспаляться. Подобный патологический процесс может развиться на фоне ревматоидного артрита и подагры.
Диагностика бурсита локтевого отростка не представляет трудностей: при согнутой руке на суставе появляется округлое образование, которое имеет мягкую консистенцию и отличается малоболезненностью. Если развивается бурсит гнойного характера, то пациент будет жаловаться на сильные боли в локтевом суставе, отечность и покраснение кожи в месте поражения.
Общие принципы лечения:
- Обеспечивается абсолютный покой суставу, нередко требуется наложение фиксирующей повязки.
- Назначаются нестероидные противовоспалительные препараты, которые снимут боль и остановят прогрессирование патологического процесса.
- Ставятся местные компрессы с димексидом или спиртом.
- В полость сумки вводится антибиотик или глюкокортикостероид (при тяжелом течении бурсита локтевого сустава).
После того, как острое воспаление будет купировано, допускается проведение физиопроцедур. Если рецидивы бурсита слишком частые, то врачи назначают проведение хирургического лечения – во время операции сумка иссекается.
Межпозвоночные грыжи и остеохондроз
Если грыжа или остеохондроз развиваются в верхнегрудном и нижнешейном отделах позвоночника, то боли в локтевом суставе будут присутствовать по причине ущемления нервных корешков. Боль весьма характерная – жгучая или постоянно ноющая, что зависит от уровня нагрузки на руку. Больной не может согнуть руку в локте, она становится очень слабой, а по всей площади предплечья нарушается чувствительность кожи.
Лечение при остеохондрозе и/или межпозвоночной грыжи всегда комплексное – иглорефлексотерапия, медикаментозные назначения (нестероидные противовоспалительные препараты, блокады с анестетиками, витамины группы В, хондропротекторы), массаж, лечебная гимнастика. Если терапевтическое лечение не дает положительного результата, то врачи рекомендуют проведение хирургического лечения – операции на позвоночнике.
Травмы локтевого сустава
Подразумеваются ушибы локтевого сустава, вывих предплечья, переломы костей, разрыв сухожилия двуглавой мышцы. Стоит знать, что в случае боли, отека, деформации сустава, ограничения движений в локте после травмы обязательно нужно обратиться к врачу для постановки точного диагноза, что возможно сделать только путем проведения рентгенографии.
Лечение травм локтевого сустава проводится в строго индивидуальном порядке, но может включать в себя:
- Вправление вывиха.
- Хирургическое вмешательство по поводу разрыва сухожилия бицепса.
- Сопоставление обломков костей ручным способом при переломах со смещением.
- Полноценную иммобилизацию сустава.
- Медикаментозную терапию – назначение анальгетиков и нестероидных противовоспалительных препаратов.
Обязательно в восстановительном периоде нужна реабилитация – массаж, лечебная гимнастика, физиопроцедуры.
Сустав Шарко (артропатия Шарко)
Данная патология поражает не только локтевой сустав, страдать могут сразу 2-3 разных сочленения. Чаще всего артропатия Шарко наблюдается при системных заболеваниях – например, на фоне поздней стадии сифилиса, сахарного диабета, сирингомиелии.
Артропатия Шарко характеризуется дистрофическими изменениями локтевого сустава, он становится отечным, нестабильным, страдает его двигательная функция.
Лечение рассматриваемой патологии заключается в терапии основного заболевания, полным ограничением подвижности локтевого сустава жестким ортезом. Если симптомы патологии выражены слишком интенсивно, то пациенту проводится хирургическое вмешательство (эндопротезирование).
Гемофилия
Это заболевание характеризуется плохой свертываемостью крови. Боль в локтях может возникнуть при ушибе сустава – в нем будет образовываться гематома, полость сустава заполнится кровью. Больной будет отмечать не только выраженную боль, но и отечность локтевого сустава, ограничение движения в нем.
Чтобы избежать болей в локтях при ушибах на фоне гемофилии, нужно не только своевременно проводить аспирацию крови из полости сустава, но и соблюдать профилактику травм.
Хондроматоз синовиальный
Это заболевание хрящевой ткани, когда нарушается процесс формирования хряща и в полости сустава образуются свободные хрящевые фрагменты. Развитие этой болезни начинается еще в детском возрасте, симптомами будут деформация костей и укорочение верхних и нижних конечностей.
Боль в локтевом суставе на фоне синовиального хондроматоза будет возникать при сгибании и разгибании руки. Со временем боль принимает постоянный характер, локтевой сустав отекает и становится тугоподвижным.
Лечение в данном случае уместно только хирургическое, которое заключается в удалении хрящевых тел.
Болезнь Шульмана (диффузный фасциит)
Это заболевание соединительной ткани. В пленках, которые покрывают околосуставные мышцы (фасции), развивается хронический воспалительный процесс. Кроме постоянной, тянущей боли в локте, пациент жалуется на потерю подвижности в суставе.
Лечение будет эффективным только в том случае, если диффузный фасциит был диагностирован на ранней стадии своего развития. Больному в рамках терапии назначаются глюкокортикоиды и цитостатики, а после купирования острого воспаления – массаж, лечебная гимнастика и физиотерапия.
Опухоль локтевого сустава
Боль в локтях при опухолевом процессе сначала появляется внезапно, носит кратковременный характер и исчезает без вмешательства врачей. Но по мере прогрессирования патологического процесса рассматриваемый синдром приобретает большую выраженность, не снимается даже мощными анальгетиками. Кроме характерной боли, у пациента отмечается резкое похудение, повышенная утомляемость, незначительные, но постоянные повышения температуры – малые признаки рака.
Лечение опухолей локтевого сустава только хирургическое, объем и метод операции зависит от того, какой характер имеет новообразование (доброкачественный или злокачественный), точного расположения опухоли и ее размера.
Боли в локтях – это всегда симптом прогрессирующей патологии. Чем раньше будет диагностировано истинное заболевание, тем эффективнее будет лечение. Поэтому врачи настаивают на немедленном обращении в лечебное учреждение даже при непостоянных и невыраженных болях в локтях.
Цыганкова Яна Александровна, медицинский обозреватель, терапевт высшей квалификационной категории
Вопрос-ответ
Почему болят оба локтя?
Боль в локте появляется из-за артрита, артроза, воспаления или растяжения сухожилия. Локоть легко травмировать, даже лёгкий ушиб может навредить здоровью. Заболевания локтевых суставов диагностирует ортопед или невролог. Локтевой сустав состоит из трёх суставов: плечелоктевого, плечелучевого и лучелоктевого.
Чем снять боль в локте?
Почти всегда в такой ситуации лечение боли осуществляется при помощи противовоспалительных медикаментов (Ибупрофен или Диклофенак), которые продаются в качестве таблеток либо спортивной мази. Лечение боли в локте таким методом способствует спаду отечности воспаленной ткани и подавляет болевой синдром.
Какой мазью мазать локтевой сустав?
Мази с диклофенаком: эмульгель Вольтарен, гель Диклофенак, мази с кетопрофеном: Быструмгель, гель Артрум, крем и гель Кетонал, мази с нимесулидом: гели Найз, Нимулид, Нимесулид.
Как болит локоть при артрите?
Симптомы локтевого артрита Отек в области сочленения. Боли: постоянные, периодические, острые, тянущие, пульсирующие, при касании. Боль не уходит при полном покое.
Советы
СОВЕТ №1
Обратите внимание на свои привычки и нагрузки. Если вы часто выполняете однообразные движения руками, такие как работа за компьютером или занятия спортом, старайтесь делать перерывы и менять положение рук, чтобы избежать перенапряжения локтевых суставов.
СОВЕТ №2
Регулярно выполняйте упражнения для укрепления мышц рук и плеч. Укрепление мышц вокруг локтя может помочь снизить нагрузку на сустав и уменьшить риск травм. Проконсультируйтесь с врачом или физиотерапевтом для подбора подходящих упражнений.
СОВЕТ №3
Не игнорируйте симптомы боли. Если вы испытываете дискомфорт в локтях, особенно если он не проходит в течение нескольких дней, обратитесь к врачу. Раннее выявление и лечение проблем с суставами могут предотвратить более серьезные заболевания.
СОВЕТ №4
Используйте лед и компрессы для уменьшения воспаления. При появлении боли в локтях попробуйте прикладывать лед к пораженной области на 15-20 минут несколько раз в день. Это может помочь снизить отек и облегчить боль.











