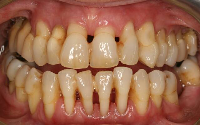
Диастемы и тремы – это патологии расположения зубов, являющиеся, прежде всего, косметическим недостатком.
Тремы – это патологические большие промежутки между двумя и более зубами, которые могут достигать 6 мм. Диастема – это значительная щель между центральными резцами. Она может присутствовать как на нижней, так и на верхней челюсти.
Причины развития диастемы и тремы
Диастемы, которые чаще всего наблюдаются на верхней челюсти, могут формироваться в результате аномалии уздечки губы – низкого прикрепления этой кожной складки, и ее вплетения в резцовый сосочек. При рентгенологическом исследовании, как правило, определяется уплотненный шов. Такой дефект часто является наследственным.
Наиболее вероятные причины тремы:
- наследственная предрасположенность (при диастемах и тремах у одного или обоих родителей вероятность развития аналогичной патологии у их ребенка значительно выше);
- вредные привычки (позднее отучение ребенка от соски, прикусывание губы, сосание пальца или посторонних предметов);
- чрезмерное большие размеры челюсти;
- аномально малые анатомические размеры коронок зубов;
- утрата зубов без своевременного протезирования (при отсутствии одной или нескольких единиц, соседние могут сдвигаться в сторону пустого пространства в зубном ряду);
- заболевания десен;
- атрофия костных структур челюсти.
Обратите внимание
Промежуток в 0,7 мм рассматривается как вариант нормы. Если расстояние между зубами составляет 1 мм и более – это уже патология.
Врачи отмечают, что диастемы и тремы, то есть промежутки между зубами, могут возникать по различным причинам. Одной из основных является генетическая предрасположенность, а также неправильное положение зубов или недостаток зубных тканей. Важно отметить, что такие аномалии могут привести к проблемам с жеванием и эстетическим недостаткам, что влияет на уверенность пациента в себе.
Комплексное лечение включает в себя как ортодонтические, так и хирургические методы. Ортодонты часто рекомендуют использование брекетов или кап для выравнивания зубов и устранения промежутков. В некоторых случаях может потребоваться хирургическое вмешательство для коррекции десневой ткани или удаления лишних зубов. Врачи подчеркивают важность индивидуального подхода к каждому пациенту, чтобы достичь наилучшего результата и сохранить здоровье зубов на долгие годы.

Разновидности щелей между зубами
Принято различать следующие разновидности значительных промежутков между зубами:
- ложная диастема;
- истинная диастема;
- физиологическая трема;
- патологическая трема.
Ложная диастема более характерна для молочного прикуса и связана с интенсивным ростом челюстей у ребенка. Она не требует ортодонтического вмешательства, и в большинстве случаев бесследно исчезает по мере прорезывания постоянных зубов. Причиной ложной диастемы у взрослого пациента может являться отсутствие боковых резцов, а также при аномалиях анатомической формы коронковой части. В редких случаях на рентгеновском снимке между передними резцами выявляется ретинированный сверхкоплектный зуб. Уздечка губы обычно имеет нормальные размеры и прикрепление.
Истинная диастема выявляется уже в подростковом возрасте при постоянном прикусе и отсутствии прочих дефектов зубного ряда.
Физиологическая трема типична для сменного прикуса, т. е. когда происходит постепенная замена молочных зубов постоянными. Как и ложная диастема, она обусловлена быстрым ростом челюсти.
Патологическая трема диагностируется у пациентов с постоянными зубами.
Вероятные осложнения
При небольших диастемах и тремах в первую очередь страдает эстетика, но при их значительных размерах могут развиваться и функциональные проблемы. При значительном промежутке между передними резцами возможны дефекты речи.
Слизистые оболочки десны могут хронически травмироваться; иногда появляются патологические десневые карманы. У взрослых пациентов с аномальным положением зубов существенно возрастает риск кариеса. Отдельные зубы перегружаются при жевании, а другие остаются практически без нагрузки. С течением времени это приводит к пародонтиту, для которого характерна рецессия десны, оголение корней и патологическая подвижность зуба.
Аномалии зубного ряда способны привести к проблемам со стороны височно-нижнечелюстного сустава, которые проявляются интенсивным болевым синдромом при открывании и закрывании рта.
Обратите внимание
Когда пациент (особенно – подросток) с дефектом зубного ряда стесняется улыбнуться, со временем это может привести к развитию комплексов и психических расстройств.
В связи с высоким риском развития заболеваний зубочелюстной системы при диастемах и тремах настоятельно рекомендуется как можно быстрее провести ортодонтическое лечение.
Диастемы и тремы — это распространённые стоматологические проблемы, которые вызывают много обсуждений среди пациентов и специалистов. Диастема, представляющая собой промежуток между зубами, чаще всего возникает из-за генетических факторов или неправильного роста челюсти. Тремы, или промежутки между зубами, могут быть следствием потери зубов, неправильного прикуса или заболеваний десен. Многие люди беспокоятся о внешнем виде своей улыбки и ищут способы исправления этих дефектов.
Методы комплексного лечения включают ортодонтические аппараты, такие как брекеты и элайнеры, а также косметические процедуры, например, виниры и композитные реставрации. Важно отметить, что перед началом лечения необходимо провести тщательную диагностику, чтобы определить причины возникновения проблемы и выбрать наиболее подходящий метод. Своевременное обращение к стоматологу поможет не только улучшить эстетику улыбки, но и предотвратить возможные осложнения в будущем.

Как проводится лечение при диастемах и тремах?
По мере роста и развития человека патологические промежутки имеют свойство увеличиваться, поэтому целесообразно как можно раньше проконсультироваться со стоматологом-ортодонтом.
Ложные диастемы и физиологические тремы не требуют вмешательства специалиста.
Обратите внимание
По данным медицинской статистики, более или менее выраженные диастемы и тремы диагностируются почти у 20% населения, но за помощью к стоматологу обращаются далеко не все.
Существует несколько вариантов устранения данных аномалий. Тактика лечения в каждом случае подбирается сугубо индивидуально. Наиболее часто используются специальные пластины или капы. Данные конструкции наиболее эффективны для пациентов до 12-14 лет. Взрослым врач может порекомендовать ношение брекет-систем.
Целью всех ортодонтических методик является исправление положения зубов в ряду и их фиксация в анатомически правильном положении до закрепления результата. Брекет-системы и другие конструкции зачастую приходится носить до полутора лет и более.
В отдельных случаях чтобы восстановить эстетику улыбки ортодонтические аппараты не применяются. В качестве альтернативы зубы покрываются керамическими или металлокерамическими коронками. При маленьких зубах иногда практикуется их наращивание фотополимерными композитами.
Практикуется также изготовление специальных накладок на вестибулярную (губную) поверхность зубов – виниров и люминиров. Ортопедические конструкции закрывают щель, и улыбка становится гораздо более привлекательной.
Профилактика
При раннем выявлении патологии уздечки ее подрезают. Процедура занимает не более 15-20 минут, а ранка полностью заживает в течение недели.
От пустышки следует отказаться как можно раньше!
При выявлении у ребенка вредных привычек, следует мягко, но настойчиво отучать его от сосания пальца и т. д., поскольку в противном случае возможно формирование не только диастем и трем, но и неправильного прикуса.
Плисов Владимир, стоматолог, медицинский обозреватель

Вопрос-ответ
Что такое диастемы и тремы?
Диастема с греческого переводится, как расстояние, промежуток. Диастема – это щель в 1 – 10 мм между передними зубами. Трема – это зазор между любыми зубами верхней и нижней челюстей, кроме центральных резцов.
Почему возникает диастема?
Самой частой причиной диастемы является генетическая предрасположенность. Значительную роль играют аномалии уздечки — короткая или массивная уздечка верхней губы или низкое ее прикрепление. Наследственная предрасположенность определяется генетическими особенностями строения зубочелюстной системы, тканей полости рта.
Как лечат диастему?
Радикальным методом лечения диастемы является ортодонтическое лечение с помощью брекет систем. Методика позволяет не только устранить щель между резцами, но и исправить другие аномалии положения зубов, скорректировать прикус. Единственный недостаток методики — длительный срок ортодонтического лечения.
Как лечить тремы?
Увеличение зубов композитным материалом, Установка коронок, Установка виниров, Ортодонтическое перемещение зубов с созданием места и последующая установка имплантатов.
Советы
СОВЕТ №1
Обратитесь к стоматологу для диагностики. Если вы заметили диастему или трему, важно как можно скорее проконсультироваться с врачом. Специалист сможет определить причины их появления и предложить наилучший план лечения, учитывая индивидуальные особенности вашего случая.
СОВЕТ №2
Изучите варианты лечения. Существует несколько методов коррекции диастем и трем, включая ортодонтическое лечение, использование виниров или коронок. Ознакомьтесь с каждым из них, чтобы лучше понимать, что может подойти именно вам.
СОВЕТ №3
Следите за гигиеной полости рта. Правильный уход за зубами и деснами поможет предотвратить развитие заболеваний, которые могут усугубить проблему с диастемами и тремами. Регулярно чистите зубы, используйте зубную нить и посещайте стоматолога для профилактических осмотров.
СОВЕТ №4
Обсудите с врачом возможные психологические аспекты. Иногда наличие диастем или трем может вызывать комплексы или неуверенность в себе. Психологическая поддержка может быть полезной в процессе лечения и адаптации к изменениям во внешности.


