Эхинококкоз — это паразитарная болезнь, вызываемая ленточными гельминтами рода Echinococcus , характеризуется образованием кист в разных органах. Болезнь распространена повсеместно. В России эхинококкоз в основном встречается в южных регионах государства, Поволжье, Сибири.
Пути заражения
Различают эхинококкоз однокамерный (гидатиозный) и многокамерный (альвеолярный). Гидатиозный эхинококкоз вызывается ленточным червем Echinococcus granulosus, а альвеолярный — Echinococcus multilocularis. Оба этих заболевания врачи рассматривают в рамках эхинококкоза, поскольку протекают они схоже.
Эхинококк проходит собственный жизненный цикл. В организме инфицированных животных (собак, лис, волков, шакалов) в кишечнике находится половозрелый эхинококк. Взрослая особь гельминта производит яйца, которые с калом выводятся в окружающую среду.
Человек же заражается при употреблении овощей, ягод, загрязненных яйцами эхинококка. Кроме того, яйца паразита могут оставаться на шерсти собаки, на языке. И если человек погладит зараженную собаку, не помоет руки после этого или будут целовать ее (как делают многие хозяева), заглатывания яиц гельминта не избежать. Так человек заболевает эхинококкозом.
После заглатывания яиц эхинококка, они попадают в кишечник. Здесь из яиц уже выходят личинки, которые активно «пробуривают» стенку кишечника и проникают в кровеносные сосуды. С током крови эхинококк заносится во внутренние органы, где образует кисты с жидкостью, которые могут достигать двадцати сантиметров в диаметре. В кистах находится множество сколексов (головок паразита).
Первый барьер на пути продвижения эхинококка — печень. В большинстве случаев эхинококк «застревает» в печени, формируя в ее тканях кисты. Если же гельминту удается пройти этот барьер, он попадает в легкие. В редчайших случаях «путешествие» эхинококка продолжается, и тогда из легких он кровью заносится в мозг, почки, сердце, кости.
Может ли заразиться эхинококкозом человек от инфицированного человека? Нет, не может. Поэтому избегать каких-либо контактов с зараженным человеком не стоит.
Врачи отмечают, что эхинококкоз является серьезным заболеванием, вызванным паразитами, и его симптомы могут быть разнообразными. На ранних стадиях болезнь может протекать бессимптомно, однако со временем пациенты могут испытывать боли в животе, тошноту и потерю аппетита. При диагностике важным является использование ультразвукового исследования и компьютерной томографии для выявления кист, образуемых паразитом. Лечение включает антипаразитарные препараты, однако в большинстве случаев требуется хирургическое вмешательство для удаления кист. Врачи подчеркивают, что профилактика играет ключевую роль в предотвращении заболевания, включая соблюдение гигиенических норм и контроль за состоянием домашних животных. Регулярные медицинские осмотры также могут помочь в раннем выявлении заболевания.

Симптомы гидатиозного эхинококкоза
Эхинококкоз может годами протекать бессимптомно. Отмечаются лишь токсико-аллергические симптомы: слабость, утомляемость, зуд кожи, высыпания, периодические подъемы температуры. Возникновение этих явлений связано с токсическим воздействием производимых эхинококком продуктов жизнедеятельности. К сожалению, по этим неспецифическим признакам поставить диагноз эхинококкоз невозможно. Клинически значимые симптомы возникнут уже когда киста будет увеличиваться и тем самым нарушать работу внутренних органов.
Эхинококкоз печени
Более чем в 50% зарегистрированных случаев эхинококкоза отмечается поражение печени, причем зачастую киста локализуется в правой доли органа. Больные теряют аппетит, худеют, жалуются на снижение работоспособности, выраженную слабость, повышенную температуру. Затем возникают ноющие боли в животе, ощущение тяжести в правом подреберье, рвоту, расстройства стула.
Особенности клинической картины недуга зависят от того, где именно располагается эхинококковый пузырь. Так, если киста сдавливает желчные протоки, возникает желтуха. При сдавливании кистой нижней полой вены развивается портальная гипертензия, проявляющаяся расширением вен на животе, асцитом (увеличением живота).
Пораженная эхинококком печень увеличена, плотная на ощупь и безболезненная. Когда киста образуется на передней поверхности печени, врач ее даже может прощупать через кожу.
Стоит опасаться возникновения осложнений эхинококкоза печени:
- Нагноение эхинококкового пузыря с формированием абсцесса печени и его дальнейшем вскрытии в брюшную полость;
- Разрыв ненагноившегося пузыря с развитием аллергии (вплоть до анафилаксии) и рассеиванием эхинококка.
Эхинококкоз — это паразитарное заболевание, вызываемое личинками эхинококка, которое может поражать печень, легкие и другие органы. Люди часто отмечают, что симптомы болезни могут быть неявными на начальных стадиях, включая общую слабость, боли в животе и аллергические реакции. При запущенных формах могут возникнуть серьезные осложнения, такие как разрыв кисты. Лечение обычно включает хирургическое вмешательство для удаления кисты, а также медикаментозную терапию для уничтожения паразитов. Профилактика заболевания заключается в соблюдении правил гигиены, особенно при контакте с животными, и в отказе от употребления сырого мяса и немытых овощей. Важно также регулярно проходить медицинские осмотры, чтобы своевременно выявить возможные проблемы.
https://youtube.com/watch?v=s44OlfCQV2I
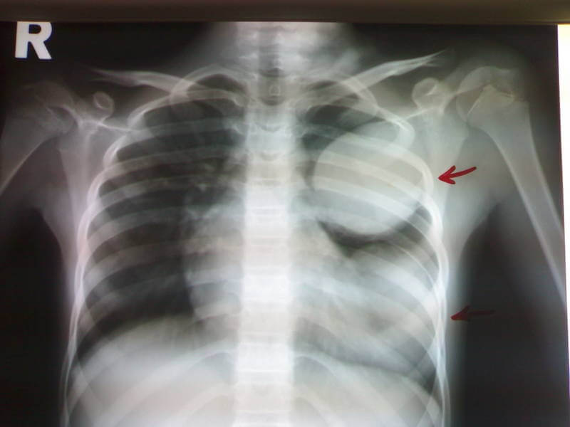
Эхинококкоз легких
Более чем в 20% всех зарегистрированных случаев эхинококкоза поражаются легкие. Клиническую картину болезни можно разбить на две стадии. Первая — это стадия нелопнувшей эхинококковой кисты. На этом этапе заболевшие жалуются на боли в грудной клетке, сначала периодические, а затем постоянные. Также возникают одышка, кашель сначала сухой, а затем — влажный с отделением слизисто-гнойной мокроты, кровохаркание. Все эти симптомы обусловлены сдавливанием растущей кистой тканей легкого, бронхов, сосудов. Пузырь может нагноиться. В таком случае формируется абсцесс легкого.
Вторая стадия — это период вскрывающейся кисты. При прорыве кисты в бронх возникают сильнейший кашель, удушье, цианоз кожи. В мокроте иногда можно обнаружить примеси крови, обрывки оболочки кисты в виде пленок. Эти симптомы сохраняются несколько дней и отягощаются тяжелой аллергией. При прорыве кистозного образования в плевральную полость возникают сильнейшая боль в грудной клетке, выраженный подъем температуры тела, озноб. Если разрывается жизнеспособная киста со сколексами эхинококка, тогда паразиты распространяются вокруг с развитием вторичного эхинококкоза. Клинически вторичный эхинококкоз проявляется спустя пару лет.
Эхинококкоз других органов
Эхинококковые кисты могут формироваться в мозге, сердце, почках, селезенке, костях, мышцах. Об эхинококковой кисте мозга можно заподозрить по таким признакам как головные боли, головокружение, рвота, судорожные припадки, парез конечностей, психические расстройства.
При эхинококкозе почки больного беспокоят высокая температура, ноющие боли в пояснице, а иногда и почечная колика. Эхинококкоз сердца сопровождается болью в груди, нарушением сердечного ритма. Сдавливание кистами коронарных сосудов может привести к инфаркту миокарда. При разрыве кисты возможна эмболия легочных артерий, сопровождающаяся болью в груди, кашлем, кровохарканьем.
Эхинококкоз костей регистрируется крайне редко. Симптомами этого патологического состояния являются переломы костей в участке внедрения гельминта.

Симптомы альвеолярного эхинококкоза
При альвеолярном эхинококкозе формируется многокамерная киста. По сути это конгломерат мелких пузырьков. Величина кисты может быть от одного до тридцати сантиметров в диаметре. Чаще всего при альвеококкозе поражается печень.
Пузырьки альвеококка быстро растут и внедряются в соседние органы (диафрагму, почки, поджелудочную железу, перикард). Этой особенностью альвеококкоз напоминает неукротимый рост злокачественной опухоли. При этом клиническая картина альвеококкоза схожа с таковой при гидатиозном эхинококкозе.
Первыми признаками недуга можно считать ноющую боль в правом боку, тошноту, нарушение стула. Состояние больного постепенно ухудшается, возникают слабость, потеря аппетита, похудение, желтуха. При распаде кисты усиливается боль в правом подреберье, повышается температура, нарастает слабость. Альвеококкоз способен метастазировать с формированием новых кист в других органах.
Диагностика
Клиническая картина при эхинококкозе неспецифическая, такие же симптомы могут отмечаться при самых разнообразных заболеваниях. Для определения точного диагноза пациенту необходимо пройти исследования:
- Клинический анализ крови — определяются увеличение эозинофилов, а также ускорение СОЭ;
- Биохимический анализ крови — нарушения соотношения белков крови, снижение альбумина и протромбина, увеличение гамма-глобулинов;
- Бактериоскопическое исследование мочи, мокроты — выявляются фрагменты эхинококка;
- Проба Касони — диагностическая аллергопроба, положительная реакция на которую свидетельствуют об инфицировании эхинококкозом;
- Иммунологические методы исследования (РНГА, РФА, ИФА) — определяются антигены эхинококка и антитела к нему;
- Инструментальные методы (УЗИ, КТ, МРТ, рентгенография) — определяются округлые образования (кисты) в ткани пораженного органа.
Лечение эхинококкоза, операция
Прогноз при эхинококкозе всегда серьезный. Имеющаяся киста не рассосется со временем, а наоборот может нагноиться и разорваться. Поэтому при выявлении заболевания, нельзя медлить, нужно приступать к лечению.
Основной метод лечения — хирургический. Если киста находится на поверхности органа, хирург во время операции полностью удаляет кисту с оболочкой и прилегающими тканями. Когда киста располагается глубоко в органе, хирург вскрывает кисту, удаляет из нее жидкость и обрабатывает полость дезинфицирующим раствором. Иногда хирургу приходится удалить часть органа. При эхинококкозе печени, учитывая расположение кисты, ее размер, хирург может провести операцию рассечением брюшной полости (лапаротомия) или же малоинвазивным чрезкожным методом (лапароскопия).
До или после операции пациенту могут назначить антигельминтное средство — Альбендазол. Дозировку и длительность приема лекарства врач определяет с учетом особенностей течения недуга.
Профилактика
Профилактические меры для предотвращения эхинококкоза достаточно просты. Нужно соблюдать личную гигиену: мыть овощи и ягоды, руки перед едой, не пить воду из открытых водоемов, не контактировать с уличными собаками. В частности очень важно объяснить детям необходимость соблюдения гигиены. Если же человек живет дома с собакой, значит, животному регулярно нужно проводить дегельминтизацию.
Григорова Валерия, медицинский обозреватель
Вопрос-ответ
Как делают операцию при эхинококкозе?
Лечение эхинококкоза печени проводят путем хирургического вмешательства, предусматривающего чрескожное дренирование кисты под ультразвуковым контролем аппарата Toshiba Sal-38A. На коже больного под контролем ультразвукового сканирования выбирают место для оптимального дренирования.
Можно ли вылечить эхинококкоз без операции?
Вылечить альвеолярный эхинококкоз нет никакой возможности. Лечение эхинококкоза только хирургическое.
Как лечится эхинококкоз?
Лечение эхинококкоза осуществляется только хирургическим путем. Во время операции удаляют эхинококковую кисту с капсулой и окружающими, патологически измененными тканями.
Можно ли полностью вылечиться от эхинококка?
Избавиться от паразита чрезвычайно сложно. Наиболее эффективным является хирургическое лечение эхинококкоза, однако оно возможно не во всех случаях.
Советы
СОВЕТ №1
Регулярно проходите медицинские осмотры и обследования, особенно если вы живете в регионах, где эхинококкоз распространен. Это поможет выявить заболевание на ранних стадиях и начать лечение вовремя.
СОВЕТ №2
Соблюдайте правила личной гигиены, особенно после контакта с животными. Тщательно мойте руки, особенно перед едой, чтобы минимизировать риск заражения.
СОВЕТ №3
Избегайте употребления сырого или недостаточно термически обработанного мяса, особенно от домашних животных. Это снизит вероятность попадания яиц эхинококка в ваш организм.
СОВЕТ №4
Если у вас есть домашние животные, регулярно проводите их дегельминтизацию и следите за их здоровьем. Это поможет предотвратить распространение инфекции и защитить вас и вашу семью.






