Флюороз — заболевание зубной ткани, формирующееся при продолжительном поступлении в организм чрезмерного количества фтора с водой. Случаи флюороза регистрируются на определенной местности, для которой свойственно увеличенное содержание в воде фтора.
Флюороз: причины возникновения
Оптимальным показателем фторосодержания в питьевой воде считают 1,0 мг/л фтора. Согласно санитарным нормам, принятым в РФ, верхней границей допустимого содержания этого микроэлемента является 1,5 мг/л. Превышение указанного показателя провоцирует развитие флюороза у большинства людей.
В первую очередь недугу подвержены дети, проживающие в эндемической местности с высоким показателем фторосодержания в воде. При этом болезнь поражает постоянные зубы. А вот молочные зубы совсем не страдают от недуга, ведь плацента задерживает избыток микроэлемента и не позволяет ему проникать к плоду. Так, на момент рождения малыша зачатки молочных зубов достаточно минерализованы. Но если ребенок несколько лет проживает в эндемической местности, избыточный фтор постепенно накапливается в организме. И тогда на месте выпавших молочных зубов вырастают постоянные, но уже измененные флюорозом.
Взрослые люди устойчивее к действию фтора. Однако значительное превышение в питьевой воде уровня этого химического элемента (свыше 6 мг/л), способно вызвать развитие флюороза и у взрослого человека.
Что же происходит при флюорозе? Избыток фтора повреждает амелобласты — клетки, отвечающие за синтезирование зубной эмали. Изменение функционирования амелобластов приводит к снижению минерализации эмали.
Врачи отмечают, что эндемический флюороз является серьезной проблемой, особенно в регионах с высоким содержанием фтора в питьевой воде. Основной причиной заболевания является длительное потребление воды с повышенной концентрацией фтора, что приводит к накоплению этого элемента в организме. Симптомы флюороза могут варьироваться от легких изменений в эмали зубов до серьезных поражений, таких как коричневые пятна и разрушение зубной структуры. Врачи подчеркивают важность ранней диагностики, поскольку на начальных стадиях заболевание может быть обратимым. Лечение включает в себя коррекцию диеты, использование фторсодержащих препаратов в ограниченных количествах и, в некоторых случаях, стоматологические процедуры для восстановления поврежденных зубов. Профилактика играет ключевую роль, и врачи рекомендуют регулярные проверки качества воды и информирование населения о рисках, связанных с высоким содержанием фтора.

Симптомы флюороза
Клиническая картина недуга зависит от концентрации фтора в потребляемой воде и имеющейся у человека формы заболевания. Так, при небольшом превышении этого микроэлемента в воде флюорозное поражение локализуется только на резцах, а при выраженном превышении — на всех зубах.
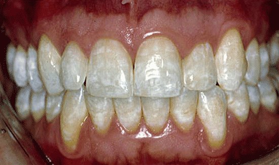
В норме зубная эмаль блестящая, гладкая. При флюорозе эмаль на пораженных участках тускнеет и белеет, становится словно мел. В дальнейшем эти участки могут накапливать пигмент и окрашиваться в желтый, коричневый цвет.
Стоматологи различают такие формы заболевания:
- Штриховая;
- Пятнистая;
- Меловидно-крапчатая;
- Эрозивная;
- Деструктивная.
Штриховая форма
О развитии штриховой формы говорят, когда на зубной эмали обнаруживаются небольшие меловидные полоски по типу штриховых линий. Полоски могут четко визуализироваться, в других случаях врач обнаруживает их лишь после предварительного осушивания поверхности зуба. Сливающиеся полосы формирует пятно с различимыми штрихами. Эта форма недуга чаще всего возникает на вестибулярных (обращенных к губам и щекам) поверхностях резцов.
Эндемический флюороз — это заболевание, связанное с избыточным потреблением фтора, который может поступать в организм через воду, пищу или воздух. Люди, живущие в районах с высоким содержанием фтора в питьевой воде, часто сталкиваются с его симптомами. Наиболее заметные проявления — это изменения в эмали зубов: появление белых или коричневых пятен, а в тяжелых случаях — разрушение зубной структуры. Кроме того, флюороз может затрагивать костную ткань, вызывая боли и повышенную ломкость костей.
Мнения о лечении варьируются. Некоторые специалисты рекомендуют уменьшить потребление фтора и улучшить гигиену полости рта, в то время как другие подчеркивают важность профилактики, включая контроль за качеством питьевой воды. Важно, чтобы люди, живущие в эндемичных зонах, проходили регулярные обследования у стоматолога, чтобы выявить проблему на ранних стадиях и предотвратить дальнейшие осложнения.

Пятнистая форма
Эта форма проявляется отчетливыми сплошными меловидными пятнами без полосатого рисунка на зубной эмали. Пятен обычно много и они разбросаны по всей поверхности зуба. Пятнышки могут сливаться в крупное пятно. Такие очажки поражения нередко приобретает коричневатый оттенок. При этом эмаль в этой области гладкая, блестящая. Пятнистая форма проявляется на всех зубах, но отчетливо выражена именно на резцах.
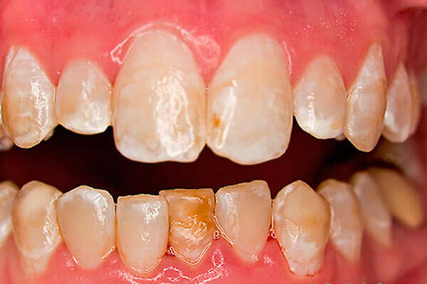
Меловидно-крапчатая форма
Для этой формы флюороза свойственны различные проявления. Зачастую эмаль на всех зубах становится матовой, а на ее поверхности визуализируются пигментированные пятна. В других случаях эмаль становится желтой и покрывается точками, пятнами. Иногда на поверхности зуба формируются даже крапинки с убылью эмали в глубину. Дно таких точечных образований окрашивается в желтый, коричневый цвет.

Эрозивная и деструктивная формы
При эрозивной форме на фоне измененной, окрашенной эмали формируются ее дефекты, именуемые эрозиями. Дефекты могут быть абсолютно различной формы. Во время осмотра стоматолог определяет стирание эмали и даже дентина.
Для деструктивной формы свойственно изменение формы зубной коронки в результате разрушения твердых тканей. Зубы, попросту говоря, крошатся и ломаются.
Степени флюороза
Во всем мире существует множество различных классификаций флюорозного поражения. Согласно наиболее распространенной в странах СНГ классификации различают три степени флюороза:
- Первая — на поверхности отдельных зубов появляются мелкие белые полосы, пятна.
- Вторая — в патологический процесс вовлекаются уже несколько зубов, страдает верхняя часть коронки. На зубах появляются меловидные, а также желтые, коричневые полоски и пятна.
- Третья — повреждается значительная часть коронки. На зубах удается обнаружить не только пигментированные участки, но и деформацию коронки, отламывание части зуба.
Профилактика флюороза
Если в источнике питьевого водоснабжения фтор содержится в повышенном количестве, нужно задуматься о смене источника. Если же это невозможно проводят дефторацию — очищение воды от избыточного фтора с помощью специальных фильтров.
Нужно учитывать, что маленькие дети весьма уязвимы к действию избыточного фтора. Поэтому во время приготовления детских смесей нужно использовать только доброкачественную воду.
Взрослым и детям нужно обогатить свой рацион продуктами с большим содержанием кальция. Это молокопродукты, овощи и фрукты.
Лечение флюороза
Особенности лечения определяются с учетом имеющейся у больного формы флюороза. При сохранении тканей зуба, когда болезнь проявляется лишь окрашиванием эмали, лечение начинают с отбеливания зубов.
После отбеливания зубов приступают к реминерализации. Эта стоматологическая процедура восстанавливает минеральный состав эмали и предотвращает ее дальнейшее разрушение. Во время реминерализации зубную эмаль насыщают кальцием и фосфором. Минералы проникают в ткани зуба и тем самым укрепляют его. Минеральный состав стоматологи наносят несколькими способами:
- С помощью аппликаций;
- С помощью электрофореза и ультрафонофореза.
Перед стартом реминерализации в обязательном порядке санируют полость рта. Весь курс минерализации состоит в среднем из пятнадцати процедур. Помимо этого для насыщения организма минералами врач может назначить пациенту прием внутрь кальция и фосфора.
При эрозивно-деструктивной формах флюорозного поражения на зубной эмали формируются дефекты, справиться с которыми путем отбеливания не удастся. В таком случае прибегают к методам реставрировании зуба — восстановление зубной эмали композитными пломбировочными материалами или применение виниров. При разрушении зуба стоматолог проводит установку коронок.
Кроме того, для успешного излечения от флюороза нужно следовать некоторым рекомендациям. Прежде всего, нужно заменить существующий источник питьевой воды. Кроме того, хотя бы немного снизить концентрацию фтора в воде можно перемешав ее с водой из другого источника водоснабжения с минимальным содержанием фтора. Также можно использовать покупную воду с подходящим минеральным составом в бутылях.
Людям с флюорозом нужно тщательно выбирать зубную пасту. Многие пасты содержат фтор, таких средств стоит избегать. Предпочтение отдают реминерализирующим зубным пастам.
Григорова Валерия, медицинский обозреватель
Вопрос-ответ
Что такое эндемический флюороз?
Избыточное поступление фтора в детский организм вызывает флюороз. При этом поражается эмаль зубов. Это эндемическое заболевание характерно для регионов, вода в которых содержит больше 0, 5 мгл фтора. Внешний вид зубов портится, но этого можно избежать, если вовремя обратиться к стоматологу.
Почему появляется флюороз?
Основная причина флюороза – большое содержание в питьевой воде фтора. Оптимальная концентрация фтора в воде составляет 1 мг/л, при превышении указанного значения развивается флюороз. В детском возрасте даже небольшое увеличение содержания фтора приводит к резкому росту случаев заболевания.
Как остановить развитие флюороза?
При появлении признаков флюороза нужно записаться на прием к стоматологу. Обязательно проводят анализ питьевой воды. Если концентрация растворенных фторидов в ней слишком высока, ее прекращают употреблять, переходят на фильтрованную, очищенную воду, чтобы остановить развитие заболевания.
Какие зубы поражаются флюорозом?
Поражаются в основном постоянные зубы, в редких случаях – молочные у детей. Это связано с тем, что минерализация первых зубов у малыша начинается и заканчивается еще в период внутриутробного развития. В это время плацента защищает организм ребенка от переизбытка фтора.
Советы
СОВЕТ №1
Обратите внимание на качество воды, которую вы употребляете. Эндемический флюороз часто связан с высоким содержанием фтора в питьевой воде. Если вы живете в районе с известными проблемами, рассмотрите возможность установки фильтров для воды или использования бутилированной воды.
СОВЕТ №2
Регулярно посещайте стоматолога для профилактических осмотров. Специалист сможет оценить состояние ваших зубов и выявить ранние признаки флюороза, что позволит начать лечение на ранней стадии и предотвратить дальнейшие осложнения.
СОВЕТ №3
Обратите внимание на свои привычки в уходе за зубами. Используйте зубные пасты с низким содержанием фтора, если вы находитесь в зоне риска. Также старайтесь не глотать зубную пасту, особенно если она содержит фтор, чтобы снизить его уровень в организме.
СОВЕТ №4
Изучите информацию о флюорозе и его последствиях. Чем больше вы знаете о заболевании, тем легче будет распознать его симптомы и обратиться за помощью к специалистам на ранней стадии. Это поможет вам сохранить здоровье зубов и избежать серьезных проблем в будущем.





