Эрозия зубной эмали – это некариозное поражение зубов. При развитии эрозии страдает не только эмаль, но и дентин на вестибулярной (передней) или щечной поверхности. Для дефектов характерно симметричное расположение. Патология является не только косметическим дефектом, но и серьезным стоматологическим заболеванием, требующим неотложного лечения, поскольку может довольно быстро прогрессировать.
Обратите внимание
Эрозия эмали достаточно часто сопровождается патологической стираемостью зубов.
Причины эрозии зубной эмали
Точная причина развития эрозии пока не выяснена.
К числу предрасполагающих факторов относятся:
- хронические механические повреждения (в т. ч. при использовании паст с крупными фрагментами абразива и зубных порошков);
- химические факторы (чрезмерное потребление кислых фруктов и содержащих ортофосфорную кислоту сладких газировок);
- перегрузка пришеечных областей при аномалиях зубных рядов;
- регулярный прием фармакологических средств, содержащих ацетилсалициловую или аскорбиновую кислоты);
- частое попадание в ротовую полость желудочного содержимого на фоне гастро-эзофагеальной рефлюксной болезни.
- эндокринные патологии (в т. ч. болезни щитовидной железы);
Согласно клиническим исследованиям, у больных, страдающих тиреотоксикозом, эрозия эмали диагностируется вдвое чаще, чем у здоровых людей. Ежегодно гипертиреоз увеличивает вероятность развития некариозного поражения на 20% и более.
Важно
В группу риска входят лица, чья трудовая деятельность сопряжена с вдыханием паров кислот и минеральной пыли.
Врачи отмечают, что эрозия зубной эмали является распространенной проблемой, которая может возникнуть по различным причинам. Основными факторами, способствующими разрушению эмали, являются неправильное питание, частое употребление кислых продуктов и напитков, а также недостаточная гигиена полости рта. Кроме того, некоторые заболевания, такие как гастроэзофагеальная рефлюксная болезнь, могут усугублять ситуацию.
Лечение эрозии зубной эмали зависит от степени повреждения. Врачами рекомендуется проводить регулярные осмотры и профессиональную чистку зубов. В случаях, когда эмаль уже повреждена, могут быть предложены специальные реминерализующие процедуры, которые помогают восстановить минералы в эмали. Также важно изменить привычки питания и использовать зубные пасты с фтором для защиты зубов. Врачи подчеркивают, что профилактика остается ключевым аспектом в борьбе с эрозией, и регулярные визиты к стоматологу помогут сохранить здоровье зубов на долгие годы.

Симптоматика и классификация
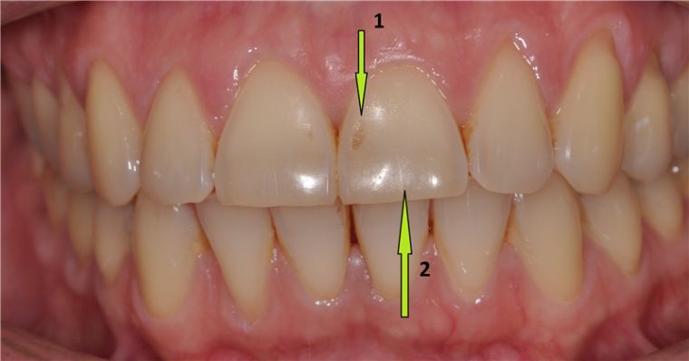
Эрозия чаще поражает зубы фронтальной группы (резцы, клыки, реже – премоляры). Основным клиническим признаком патологии являются дефекты или пятна, имеющие округлую, овальную или неправильную форму.
Важно
Согласно данным медицинской статистики, эрозия эмали диагностируется у 10-23% пациентов из числа не работающих на вредных производствах. Патология наиболее часто диагностируется у женщин среднего возраста.
На начальных стадиях развития процесса определяется лишь небольшая утрата естественного блеска эмали. По мере развития эрозии пациенты предъявляют жалобы на боли от химических и термических факторов, а на эмали образуются дефекты с блестящим и ровным дном. Течение может быть активным и стабилизированным. Если процесс развивается медленно (стабильно), то больной может долгое время не обращать внимания на наличие патологии. Чаще всего к специалисту обращаются женщины, поскольку даже на ранних стадиях заболевание приводит к появлению косметического дефекта. Эрозия фронтальных зубов заметна при улыбке.
К симптомам эрозии относятся:
- изменение цвета эмали;
- гиперчувствительность;
- выраженный косметический дефект.
Обратите внимание
Заболевание имеет склонность к прогрессированию; оно развивается постепенно (в течение 10-15 лет).
Различают активную и неактивную стадии процесса. При активной фазе размер дефектов возрастает каждые полтора-два месяца, а при стабильной наблюдается ремиссия на протяжении в среднем 9-11 месяцев.
В соответствии с принятой классификацией принято выделять три основных вида эрозии:
- Страдают только наружные слои эмали, а дефект чашеобразной формы имеет белесый оттенок;
- Эмаль поражена на всю толщину до дентина;
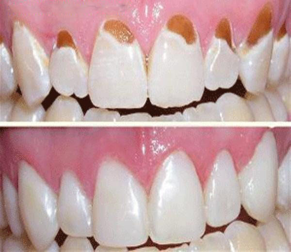
- Патология затрагивает слой дентина, и выявляется пигментация (цвет эрозии варьирует от светло-желтого до коричневого).
Диагностика
Заболевание выявляется в ходе осмотра при визуальном осмотре. Особенно хорошо дефекты становятся заметны после тщательного высушивания и обработки 5% настойкой йода. Раствор йода дает желто-коричневое окрашивание патологически измененной эмали.
Дифференциальная диагностика эрозии проводится с кариесом в «стадии пятна» и некариозными поражениями – гипоплазией эмали и клиновидными дефектами.
С целью выявления возможных сопутствующих нарушений функциональной активности щитовидной железы показано ультразвуковое сканирование данного органа внутренней секреции. Для исключения или подтверждения гастро-эзофагеального рефлюкса необходима консультация врача-гастроэнтеролога.
Эрозия зубной эмали — проблема, которая волнует многих. Люди часто отмечают, что причиной этого состояния могут быть как внешние факторы, так и внутренние. Кислые продукты, такие как цитрусовые и газированные напитки, а также недостаток минералов в организме способствуют разрушению эмали. Некоторые также упоминают о вредных привычках, таких как курение, которые негативно сказываются на здоровье зубов.
Что касается лечения, то многие советуют обратиться к стоматологу для профессиональной консультации. Врач может рекомендовать специальные пасты с фтором, которые помогают укрепить эмаль, а также провести процедуры реминерализации. Кроме того, важно изменить привычки питания и избегать частого употребления кислых продуктов. Регулярные визиты к стоматологу и соблюдение гигиенических норм помогут предотвратить дальнейшее разрушение эмали и сохранить здоровье зубов на долгие годы.

Лечение эрозии эмали зубов
Лечение эрозии эмали подразумевает активную реминерализующую терапию. Она включает процедуры аппликаций кальция и фосфора и электрофорез с растворами кальция. По окончании курса проводится покрытием зубов фторлаком или фторгелем. Также показан прием внутрь минеральных препаратов и витаминных комплексов на протяжении 2-3 недель (на усмотрение врача). При выраженном косметическом дефекте ставится вопрос о пломбировании дефекта современными композитными материалами или изготовлении ортопедических конструкций – коронок, покрывающих всю поверхность больного зуба. Альтернативой коронкам являются виниры – тонкие пластинки, которые врач фиксирует на вестибулярную поверхность зуба. Такой метод лечения позволяет добиться «голливудской улыбки» даже при запущенном некариозном поражении.
Критерием качества проведенной терапии начальных форм эрозии эмали является сглаживание дефекта и исчезновение болевого синдрома при воздействии химических и термических раздражителей. При лечении более запущенных форм заболевания, предполагающих заполнение дефекта композитом, пломба должна быть незаметной, т. е. соответствовать по цвету окружающим здоровым тканям.
Профилактика
Меры по предупреждению эрозии эмали включают замену жесткой зубной щетки на более мягкую. Необходимо как можно реже пользоваться абразивными и отбеливающими зубными пастами. Напитки, способные спровоцировать эрозию (соки и газировки), целесообразно потреблять через соломинку. После приема пищи желательно полоскать полость рта кипяченой водой или ополаскивателями, содержащими антибактериальные компоненты.
Для укрепления эмали настоятельно рекомендуется использовать зубные пасты с повышенным содержанием фтора.
Посещать стоматолога даже в профилактических целях необходимо не реже чем раз в полгода.
Плисов Владимир, стоматолог, медицинский обозреватель

Вопрос-ответ
Почему возникает эрозия эмали?
Причины эрозии эмали зубов Специалисты связывают эрозию с избыточным механическим воздействием на эмаль. Обычно развитие патологии провоцируется применением агрессивных отбеливающих зубных паст и специальных порошков, а также зубных щеток с жесткой щетиной.
Как убрать эрозию эмали?
Терапия. Назначаются укрепляющие препараты, содержащие витаминные и минеральные комплексы с фтором и кальцием. Полировка специальными пастами. Реминерализация. Электрофорез. Пломбирование. Установка виниров.
Как выглядит эрозия зуба?
Эрозия зубов представляет собой кругообразный либо овальный дефект эмали, который расположен в максимально выпуклой области вестибулярной поверхности коронковой части в поперечном направлении. Ее основание достаточно гладкое, твердое и блестящее.
Чем может быть вызвано повреждение эмали зубов?
Причины повреждения эмали: Аномалии прикуса. Состав и количество слюны. Плохая гигиена полости рта, неправильный выбор зубной щетки, неправильная техника чистки зубов. Частое употребление энергетиков, газированных напитков.
Советы
СОВЕТ №1
Регулярно посещайте стоматолога для профилактических осмотров. Это поможет выявить ранние признаки эрозии зубной эмали и принять меры до того, как проблема станет серьезной.
СОВЕТ №2
Обратите внимание на свою диету. Ограничьте потребление кислых продуктов и напитков, таких как цитрусовые, газированные напитки и уксус, которые могут способствовать эрозии эмали.
СОВЕТ №3
Используйте зубную пасту с фтором и щетку с мягкой щетиной. Это поможет защитить зубы от дальнейшего разрушения и минимизировать повреждения эмали.
СОВЕТ №4
Избегайте курения и чрезмерного потребления алкоголя, так как эти привычки могут негативно сказаться на состоянии зубной эмали и общем здоровье полости рта.




