Грибковая пневмония – это воспаление легких, вызванное патогенными грибами.
Симптомами патологии являются кашель, одышка, гипертермия, слабость, разбитость, боли в мышцах. Характерный признак – откашливание густой мокроты с гнойным содержимым.
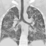
Грибковую пневмонию выявляют благодаря анализу жалоб и результатов дополнительных методов исследования – в первую очередь рентгенологических.
В лечении патологии применяют противогрибковые средства, иммуностимуляторы, дезинтоксикационные растворы.
Грибковая пневмония: что это
Грибковая пневмония – довольно специфический вид воспалительного поражения легких, причем, один из самых тяжелых. Несмотря на повышающийся уровень пульмонологического медицинского вспоможения, разработку новых методов, усовершенствование протоколов лечения, количество случаев грибковой пневмонии в структуре других видов воспаления легких возрастает. Также за последние годы увеличилось количество осложненных грибковых пневмоний и летальных исходов, наступивших из-за этой патологии. Клиницисты объясняют такие тенденции возникновением стойких к лечению штаммов патогенных грибов.
Данное заболевание имеет еще одно название – пневмомикоз. Иногда его называют микотическим (грибковым) альвеолитом, но альвеолит несколько отличается от пневмонии, хотя фактически и при одном, и при другом заболевании воспалительным процессом поражена легочная паренхима (рабочая ткань).
Грибковая пневмония вызывает все большее беспокойство у медицинских специалистов. Врачи отмечают, что данное заболевание чаще всего возникает у пациентов с ослабленным иммунитетом, таких как люди с ВИЧ, онкологическими заболеваниями или после трансплантации органов. Симптомы грибковой пневмонии могут включать кашель, одышку, лихорадку и общую слабость. Важно отметить, что эти проявления могут быть схожи с симптомами бактериальной пневмонии, что затрудняет диагностику.
Для лечения грибковой пневмонии врачи рекомендуют использовать противогрибковые препараты, такие как амфотерицин B или итраконазол. Однако выбор терапии зависит от конкретного вида грибка и состояния пациента. Специалисты подчеркивают важность ранней диагностики и своевременного обращения за медицинской помощью, так как запущенные случаи могут привести к серьезным осложнениям и даже летальному исходу. Профилактика, включая укрепление иммунной системы и избегание контакта с потенциальными источниками инфекции, также играет ключевую роль в борьбе с этим заболеванием.

Причины
Грибковую пневмонию вызывают различные виды патогенных грибов – чаще всего таких, как:
- плесневые;
- дрожжеподобные (или кандиды);
- эндемичные диморфные;
- пневмоцисты.
Просвет респираторной системы сообщается с окружающей средой, поэтому в него попадают многие инфекционные возбудители – в том числе патогенные грибы.
Но не все заболевают грибковой пневмонией. Причина в том, что для развития этой патологии нужен толчок – факторы, которые непосредственно грибковую пневмонию не вызывают, но способствуют ее возникновению. К ним относятся:
- болезни крови – анемия, злокачественные патологии;
- радиоактивное облучение (прохождение рентгенологических методов обследования, лучевая терапия, контакт с радиоактивными веществами при выполнении профессиональных обязанностей);
- химиотерапия;
- прием некоторых препаратов – в частности, иммунодепрессантов и кортикостероидных гормонов;
- ВИЧ-инфекция и СПИД;
- эндокринные патологии – сахарный диабет (сбой метаболизма углеводов из-за дефицита гормона инсулина), гипотиреоз (нехватка гормонов щитовидной железы), гипертиреоз (их чрезмерное количество в крови);
- специфические инфекции – туберкулез (поражение микобактериями туберкулеза);
- послеоперационный период;
- состояние после интубации трахеи и искусственной вентиляции легких;
- злоупотребление антибактериальными препаратами.
Развитие патологии
Патогенные грибы в большинстве случаев попадают в организм человека из внешней среды. Ими могут быть заражены почва, водоемы, древесина, их обнаруживают в быту (в пыли), в медицинских учреждениях (на хирургическом инструментарии).
Пути проникновения этих возбудителей в человеческий организм следующие:
- при вдыхании загрязненного воздуха;
- с продуктами питания и водой;
- при непосредственном контакте с зараженным человеком (так передается возбудитель пневмоцистной пневмонии).
При грибковой пневмонии патогенные грибы редко выявляют изолированно – как правило, они обнаруживаются в сочетании друг с другом и другими возбудителями. Во втором случае возникает иммунодефицит, благодаря чему патология развивается быстрее и осложняется чаще.
Обратите внимание
Морфологически грибковые очаги поражения легких выглядят как классическое воспаление, а при прогрессировании – как очаги деструкции (распада) тканей с образованием полостей, в которых скапливается гной, и образуется абсцесс.
При поражении легких аспергиллами в патологический процесс могут втягиваться соседние структуры – средостение, плевра, лимфатические узлы и сосуды. При поражении сосудов возможно формирование тромбов (сгустков крови). Аспергиллезная пневмония довольно часто приобретает хронический рецидивирующий характер.
Поражение легких кандидами сопровождается массивным распадом тканей, что клинически проявляется выраженной интоксикацией. При этом в легких образуется одна или несколько кист (ограниченных замкнутых полостей, окруженных тонкой оболочкой).
При пневмоцистозе патологический процесс протекает таким образом, что сперва инфицируются ограниченные участки легочной ткани, после чего происходит самозаражение – переход инфекции на другие участки.
Грибковая пневмония — это инфекционное заболевание, вызванное грибами, чаще всего рода Aspergillus и Candida. Она возникает, когда споры грибов попадают в легкие, особенно у людей с ослабленной иммунной системой. Симптомы могут варьироваться от легкого кашля и одышки до высокой температуры и болей в груди. Часто пациенты жалуются на общую слабость и утомляемость. Лечение включает противогрибковые препараты, которые могут назначаться как в виде таблеток, так и внутривенно, в зависимости от тяжести состояния. Важно также поддерживать иммунитет и избегать факторов риска, таких как курение и хронические заболевания. Ранняя диагностика и своевременное лечение играют ключевую роль в успешном выздоровлении.

Симптомы грибковой пневмонии
Признаки грибковой пневмонии во многом повторяют признаки воспаления легких, которое имеет другое происхождение. Симптоматика при этом бывает местная и общая.
Местными признаками описываемого заболевания являются:
- кашель;
- одышка.
Кашель при грибковой пневмонии невыраженный, на ранних этапах развития это неинтенсивное покашливание. Как правило, кашель сухой, но мокрота появляется при прорыве гнойных грибковых очагов – она слизисто-гнойного характера.
Обратите внимание
Раннее отсутствие мокроты, а затем ее резкое появление в большом количестве – один из признаков, по которым можно предположить грибковое происхождение воспаления легких.
Одышка при грибковой пневмонии ничем особенным от такого же признака других пневмоний не отличается. Сперва она возникает при физических усилиях (быстрой ходьбе, беге, прыжках), а при отсутствии лечения быстро прогрессирует – возникает при невыраженной физической занятости, а далее в состоянии покоя.
Общая симптоматика возникает из-за того, что в кровь попадают токсины – продукты жизнедеятельности грибков и распада мицелия. Возникают такие признаки, как:
- гипертермия – повышение температуры тела. При грибковом типе воспаления легких она возникает в виде эпизодов, при которых температура повышается до 38,0-38,5 градусов по Цельсию, но может быть более выраженной – от 38,5 до 39,5 градусов и даже выше;
- озноб – ощущение содрогания тела. Если такой признак сочетается с повышенной температурой, то данное состояние называется лихорадкой. Оно неспецифическое – возникает не только при грибковой пневмонии;
- общая слабость, потребность при выполнении какой-либо работы (даже самой простой) делать частые паузы;
- недомогание;
- миалгии – боли в мышцах. Обычно такие ощущения возникают со стороны верхних и нижних конечностей;
- беспричинные головные боли;
- ухудшение аппетита, а затем и его полное отсутствие;
- нарушение сна – бессонница ночью, сонливость днем.
Клинические проявления описываемого заболевания при поражении легочной ткани различными грибками могут быть разными:
- при аспергиллезном поражении состояние пациента тяжелое – его мучает регулярный кашель, при котором выделяется мокрота в большом количестве и с характерными крупинками, боли в грудной клетке довольно интенсивные, а одышка может трансформироваться в удушье;
- в случае поражения грибками кандидами температура тела может быть нормальной, но пациент продолжает ощущать слабость, недомогание, как при классическом интоксикационном синдроме. При этом его мучает выраженный кашель, а в мокроте выявляют гной и кровь;
- пневоцистоз нередко начинается без каких-либо признаков, но они при прогрессировании патологии все же появляются, при этом нарастают медленно: это кашель и невыраженная одышка.
Диагностика
Поставить диагноз грибковой пневмонии только на основании клинических данных затруднительно – понадобится ряд дополнительных методов исследования. Играют роль жалобы больного, данные анамнеза (истории течения) пневмонии, которые при разных видах задействованных грибков могут отличаться, результаты дополнительных методов исследования (физикальных, инструментальных, лабораторных).
Из анамнеза выясняют следующее:
- не отмечалась ли неэффективность лечения воспаления легких антибактериальными препаратами;
- не появлялись ли одновременно признаки гнойного бронхита (это может указывать на причастность аспергилл к воспалительному процессу в легких);
- не было ли беловатых выделений в полости рта, а у женщин – из половых органов (такие данные позволяют предполагать кандидозную разновидность описываемого заболевания);
- не появлялись ли другие инфекционные патологии на фоне признаков пневмонии (такой нюанс указывает на ухудшение иммунного ответа организма, которое довольно часто наблюдается при грибковом поражении).
Что врач выявляет при физикальном обследовании? Результаты будут такими:
- при общем осмотре – общее состояние больного обычно средней степени тяжести. Кожа и видимые слизистые бледные с синюшным оттенком. При кандидозном поражении может быть выявлен белесый налет на внутренней поверхности щек;
- при местном осмотре – без каких-либо особенностей. Как и при других видах пневмонии дыхание частое, поверхностное;
- при пальпации (прощупывании) – выявляют ослабление голосового дрожания (это невидимое глазу сотрясение грудной клетки, которое можно ощутить при произнесении пациентом звуков, охватив ладонями грудную клетку);
- при перкуссии (простукивании) – перкуторный звук над зонами поражения притупленный, но обычно несущественно;
- при аускультации (прослушивании фонендоскопом) – везикулярное дыхание ослаблено, на ранних этапах слышны сухие хрипы, при прогрессировании патологии появляются влажные.
Инструментальные методы в большинстве случаев позволяют установить сам факт воспаления легких, но на его грибковую природу не указывают. Привлекаются:
- рентгенографическое исследование грудной клетки в двух проекциях – на рентгенограммах выявляют очаги затемнения;
- бронхоскопия – в просвет бронхов вводят бронхоскоп, их осматривают изнутри. Могут быть выявлены реактивные воспалительные изменения со стороны бронхов, а при кандидозном типе пневмонии – белесые выделения;
- спирография – пациент делает вдохи, выдохи, задержку дыхания, при этом измеряют объем воздуха, по данным измерений выявляют ухудшение дыхательной функции легкого;
- радионуклидное исследование – внутривенно вводят дозу фармпрепарата с радионуклидами, которые, попав с током крови в ткани легкого, при томографии создают специфическое изображение. По нему и делают выводы про изменения в легочной паренхиме;
- компьютерные методы – компьютерные срезы позволяют выявить небольшие очаги поражения, «спрятанные» глубоко в паренхиме легких. Привлекают компьютерную томографию (КТ) и мультиспиральную компьютерную томографию (МСКТ), которая является усовершенствованной версией КТ;
- магнитно-резонансная томография (МРТ) – цели те же, что и при проведении компьютерных методов, но информативность и точность выше, так как МРТ более информативна при изучении мягких тканей;
- транскутанная биопсия – тонкой иглой, проколов грудную стенку и плевру, делают забор фрагментов легочной ткани, их отправляют в лабораторию для исследования под микроскопом.
Из лабораторных методов исследования в диагностике застойной пневмонии используются:
- общий анализ крови – выявляются неспецифические признаки воспаления в виде повышенного количества лейкоцитов (лейкоцитоза) и СОЭ (скорости оседания эритроцитов). Характерным является повышение количества эозинофилов, но такой показатель также выявляют при аллергических реакциях и поражении паразитами;
- микроскопия биологического материала – под микроскопом изучают мокроту и промывные воды бронхов, в них выявляют друзы грибка, лейкоциты и эпителиальные клетки в большом количестве, прожилки гноя;
- культуральный метод исследования – делают посев мокроты или промывных вод бронхов на питательные среды, по выросшим колониям определяют, какой вид патогенного грибка привел к развитию описываемого заболевания инфекцию. Также выявляют бактериальный возбудитель, который мог присоединиться в качестве интеркуррентной (сопутствующей) инфекции. С помощью данного метода определяют чувствительность присоединившейся бактериальной инфекции к антибактериальным препаратам, результаты важны для последующего лечения;
- микроскопия биоптата – в нем выявляют друзы грибков, воспалительное полнокровие легочной паренхимы, скопления лейкоцитов;
- метод полимеразной цепной реакции (ПЦР) – исследуют биологический материал, выявляют ДНК возбудителя, по ней определяют вид грибка, спровоцировавшего развитие описываемого заболевания;
- серологические методы – в биологическом материале выявляют антитела к антигенам патогенного грибка, что является косвенным подтверждением его наличия.

Дифференциальная диагностика
Дифференциальную (отличительную) диагностику в данном случае проводят между видами грибковых возбудителей, которые могли спровоцировать развитие описываемой болезни. Что касается других заболеваний и патологических состояний, то дифференциальную диагностику грибковой пневмонии чаще всего проводят с такими нарушениями, как:
- альвеолит – воспалительное поражение альвеол (структур, из которых состоит легочная ткань);
- плеврит – воспалительный процесс в плевре (соединительнотканной пленке, укутывающей каждое легкое и покрывающей изнутри грудную стенку);
- амилоидоз – появление в легочной ткани белково-полисахаридного комплекса амилоида. Обычно является проявлением системного амилоидоза;
- опухоли легких и средостения (комплекса органов между легкими) – добро- и злокачественные;
- саркоидоз легкого – образование в легочной паренхиме (рабочей ткани) большого количества мелких гранулем (бугорков невоспалительного происхождения);
- туберкулез легкого – поражение легочной ткани микобактериями туберкулеза(палочкой Коха).
Осложнения
Грибковую пневмонию могут сопровождать следующие осложнения:
- микотический медиастинит – грибковое воспаление средостения (органов и тканей, которые располагаются между легкими);
- вторичная бактериальная пневмония;
- легочное кровотечение – выход крови за пределы сосудистого русла (в ткани и бронхи);
- легочная гипертензия – повышение давления крови в малом кругу кровообращения;
- легочное сердце – увеличение правой половины сердца, возникающее на фоне легочной гипертензии;
- дыхательная недостаточность – ухудшение дыхательной функции легких, из-за чего ухудшается газообмен (поступление в легкие кислорода и высвобождение из них углекислого газа);
- полиорганная недостаточность – нарушение работы других органов, которое наблюдается на фоне дыхательной недостаточности (из-за кислородного голодания);
- абсцедирование – формирование гнойника в виде замкнутого полостного образования с гнойным содержимым внутри;
- гнойный плеврит – воспаление плевры, которое имеет гнойный характер, так как воспаление возникает при попадании гноя на плевру из прорвавшегося абсцесса;
- тромбоз легочной артерии – ее закупорка тромбом (сгустком крови);
- гангрена легкого – омертвение легочной паренхимы из-за острого кислородного голодания, которое возникает на фоне тромбоза легочной артерии;
- лимфаденит – воспаление регионарных лимфатических узлов (в данном случае внутригрудных);
- лимфангит – воспаление лимфатических сосудов.
Обратите внимание
Грибковую природу болезни могут не распознать вовремя и лечить нерелевантными (неподходящими) препаратами, поэтому у пациента возможно возникновение вторичных последствий (они определяются как осложнения осложнений). Чаще всего это микотический сепсис – распространение патогенного грибка по всему организму, поражение им других органов и тканей.
Также возможны осложнения из-за прогрессирования присоединившейся бактериальной инфекции. Чаще всего это:
- бактериальный сепсис;
- менингит – воспалительное поражение тканей головного мозга;
- энцефалит – воспалительный процесс в мозговых оболочках;
- менингоэнцефалит – сочетанное воспаление мозговых оболочек и тканей.
Лечение грибковой пневмонии
Лечение неосложненной грибковой пневмонии – консервативное, при возникновении осложнений – оперативное.
В основе консервативной терапии – следующие назначения:
- противогрибковые препараты;
- ингибиторы фолиевой кислоты;
- иммуностимуляторы;
- инфузионная терапия – для ликвидации интоксикационного синдрома. Пациенту внутривенно капельно вводят солевые растворы, электролиты, глюкозу, белковые препараты;
- антибактериальные препараты – только в случае присоединения интеркуррентной бактериальной инфекции.
При возникновении абсцесса легкого его вскрывают – с этой целью проводят полноценное оперативное вмешательство. При признаках перехода патологического процесса на плевру проводят пункцию плевральной полости и ее санацию.
Профилактика
Методами профилактики грибковой пневмонии являются:
- предотвращение попадания грибковой инфекции в организм. Для этого важно соблюдать общие санитарно-гигиенические правила – избегать запыленных мест, мыть руки после посещения улицы и мест скопления людей, не контактировать тесно с незнакомыми людьми;
- профилактика, диагностика и лечение болезней крови;
- избегание радиоактивного облучения, рациональное привлечение рентгенологических методов обследования и лучевой терапии, соблюдение техники безопасности при контакте с радиоактивными веществами в случае выполнения профессиональных обязанностей;
- рациональное проведение химиотерапии;
- рациональное назначение препаратов, при употреблении которых повышается риск грибкового поражения (в частности, иммунодепрессантов и кортикостероидных гормонов), а также антибактериальных препаратов;
- борьба с ВИЧ-инфекцией и СПИДом;
- предупреждение, выявление и купирование эндокринных патологий и специфических инфекций;
- грамотное ведение периода после операции, интубации трахеи и искусственной вентиляции легких.
Прогноз
Прогноз при грибковой пневмонии разный, но в целом при ранней диагностике и адекватном лечении – благоприятный. В то же время осложнения патологии проходят очень тяжело в сравнении с осложнениями других видов воспалительного поражения легких.
Важно
Грибковая пневмония – это одна из самых частых причин смертей в пульмонологии из-за поздней диагностики и неправильного лечения, а также чрезвычайно частая причина летального исхода пациентов, у которых были обнаружены ВИЧ и СПИД.
При аспергиллезной форме грибкового воспаления легких возможно развитие молниеносной формы и ранняя смерть пациента.
Кандидозная форма описываемого заболевания протекает легче, но очень часто при ней возникает деструкция легких, которая очень тяжело купируется – лечение занимает очень много времени.
Для пневмоцистоза характерно затяжное течение с присоединением вторичной бактериальной инфекции и ранним возникновением осложнений.
Ковтонюк Оксана Владимировна, медицинский обозреватель, хирург, врач-консультант
Вопрос-ответ
Как понять, что грибковая пневмония?
Кашель, часто с мокротой, которая может быть желтоватого или зеленоватого цвета, Одышка, Лихорадка, Слабость, Боли в груди, Потеря аппетита, Головная боль.
Как лечить пневмонию грибкового происхождения?
При грибковой пневмонии выписывают противомикотические лекарства. При неизвестном возбудителе назначают комбинированную антибиотикотерапию из 2-3 препаратов. Курс лечения может продолжаться от 7-10 до 14 дней, возможна смена антибиотика. Симптоматическая терапия.
Как узнать, есть ли грибок в легких?
Головные боли, боль в груди, сильный сухой кашель (может выделяться небольшое количество слизистой или слизисто-гнойной трудно отхаркиваемой мокроты), озноб, потливость (особенно в ночные часы), повышенная температура тела (субфебрильная или фебрильная), выраженная общая слабость, Ещё
Как узнать, является ли пневмония грибковой?
Признаки и симптомы грибковой пневмонии неспецифичны и неотличимы от признаков, связанных с респираторными инфекциями другого происхождения. Результаты физикального обследования у пациентов с грибковой пневмонией могут включать следующее: Повышение температуры .
Советы
СОВЕТ №1
Обратите внимание на симптомы: грибковая пневмония может проявляться кашлем, одышкой, повышенной температурой и общей слабостью. При появлении этих признаков, особенно если у вас есть факторы риска, такие как ослабленный иммунитет, немедленно обратитесь к врачу.
СОВЕТ №2
Не занимайтесь самолечением: грибковые инфекции требуют специфического лечения, которое может назначить только квалифицированный специалист. Не пытайтесь лечить пневмонию самостоятельно, так как это может привести к осложнениям.
СОВЕТ №3
Поддерживайте иммунную систему: для профилактики грибковых инфекций важно вести здоровый образ жизни, включая правильное питание, регулярные физические нагрузки и достаточный сон. Это поможет вашему организму лучше справляться с инфекциями.
СОВЕТ №4
Следите за условиями проживания: грибки могут размножаться в сырых и плохо проветриваемых помещениях. Регулярно проветривайте свои жилые и рабочие пространства, а также поддерживайте чистоту, чтобы снизить риск заражения.


