Инфаркт легкого – это кислородное голодание участка легочной ткани, которое наблюдается из-за того, что кровь, несущая кислород, не поступает к тканям. Препятствие току крови в свою очередь происходит из-за возникновения барьера в кровеносном сосуде, кровоснабжающем определенный участок легочной паренхимы.
Суть заболевания
Чаще всего кислородное голодание легкого наступает из-за тромбоза (образования кровяного сгустка на внутренней стенке артерии, закупоривающего ее просвет) или эмболии (закупорки инородным телом, принесенным с током крови из любого участка человеческого тела – в данном случае оно называется эмболом). Реже патологический процесс наступает из-за сдавливания кровеносного сосуда извне. Инфаркт легкого также называют легочной эмболией, подразумевая под эмболией закупорку сосуда в общем, независимо от закупоривающего фактора.
В силу анатомических особенностей инфаркт легкого случается на ограниченном сегменте (участке) ткани легкого, так как тромбом или эмболом закупориваются отдельные артерии – долевые, сегментарные или более мелкие. Множественной эмболии могут подвергнуться сосуды мелкого калибра, но они кровоснабжают небольшой участок легкого – благодаря этому кислородное голодание органа не тотальное, а ограниченное.
Согласно статистике:
- инфаркт правого легкого наблюдается в 2 раза чаще, чем левого;
- нижние доли легких поражаются в 4 раза чаще, чем верхние.
Таким образом, наиболее часто подвергающаяся инфаркту локация – нижние доли правого легкого. Любая патология, развивающаяся в них (в частности, с выраженной симптоматикой ишемии тканей), должна каждый раз вызывать настороженность пульмонологов, не развился ли там инфаркт легкого.
Врачи отмечают, что инфаркт легкого является серьезным состоянием, требующим немедленного медицинского вмешательства. Основными симптомами являются резкая боль в груди, одышка, кашель с кровью и учащенное сердцебиение. Эти проявления могут быть ошибочно приняты за другие заболевания, что затрудняет диагностику. Лечение инфаркта легкого включает в себя применение антикоагулянтов для растворения тромба, а в некоторых случаях может потребоваться хирургическое вмешательство. Прогноз зависит от своевременности оказания помощи и общего состояния пациента. Специалисты подчеркивают важность профилактических мер, таких как контроль за факторами риска, чтобы снизить вероятность возникновения этого опасного состояния.
https://youtube.com/watch?v=nv8d8s9RTxU
Причины
Одна из главнейших причин заболевания – тромбоэмболия легочной артерии (ТЭЛА): из-за нее наблюдается от 10 до 25% клинических случаев инфаркта легкого. Выдвигается предположение, что их на самом деле намного больше – но часто патология не выявляется при жизни из-за ошибочной диагностики и не подтверждается после смерти в силу медицинской этики (необходимость реагировать положительно на отказ родственников умершего от его вскрытия). На данный момент считается, что по причине тромбоэмболии легочной артерии летальный исход от инфаркта легкого наступает у 5-30% больных с этим заболеванием.
ТЭЛА не только сама по себе считается патологией с высокой вероятностью возникновения кислородного голодания легочной ткани – риск фатальных случаев при вызванном ею инфаркте легкого еще больше возрастает из-за таких факторов, как:
- отсутствие лечения;
- неоднократно рецидивирующие тромбозы – повторное образование тромба в одном и том же сосуде, нередко – в одном и том же его месте. Причина рецидивов – физико-химическое компрометирование внутренней оболочки сосуда;
- тромбоэмболии, наблюдающиеся в роду (отягощение наследственности по ТЭЛА);
- возраст старше 60 лет;
- прием гормональных контрацептивов;
- ожирение;
- опухоли поджелудочной железы;
- легочная гипертензия (повышение давления в легочной артерии);
- фоновые (сопутствующие) заболевания, ухудшающие общее состояние пациента;
- неправильное использование внутривенных катетеров, применяемых для капельных вливаний (они могут провоцировать тромбообразование в месте введения).
Одними из самых опасных фоновых болезней в плане возникновения ТЭЛА и последующего инфаркта легких считаются заболевания крови – в частности:
- серповидно-клеточная анемия (эритроциты имеют форму серпа);
- ДВС-синдром (нарушение баланса свертывающей системы крови, которое приводит к образованию множественных тромбов).
Помимо ТЭЛА, большинство клинических случаев инфаркта легкого развивается у пациентов, которые страдают другими сердечно-сосудистыми заболеваниями (в частности, хроническими). В первую очередь это такие патологии сердца, как:
- мерцательная аритмия (хаотическое сокращение отдельных волокон сердечной мышцы);
- митральный стеноз (сужение левого предсердно-желудочкового отверстия сердца);
- ишемическая болезнь сердца (поражение сердечной мышцы из-за нехватки кислорода);
- инфаркт миокарда как осложнение ИБС (омертвение сердечной мышцы);
- кардиомиопатии (поражения различного происхождения, кроме нарушения кровеобеспечения);
- инфекционный эндокардит (инфекционное воспаление внутренней оболочки сердца);
- миксома предсердия (доброкачественная опухоль);
- сердечная недостаточность;
- васкулиты (воспаление сосудов с их последующим разрушением)
и так далее.
При патологии сердца тромбы в большинстве случаев образуются на внутренней поверхности ушка правого предсердия. Некоторое время они могут удерживаться в месте формирования, пока ток крови не оторвет их и не занесет в артерии малого круга кровообращения, благодаря которому легкие обеспечиваются кровью.
Из других причин, не связанных с патологией сердца, чаще всего к легочной эмболии, которая провоцирует инфаркт легкого, могут привести следующие заболевания и состояния:
- тромбозы вен (чаще – глубоких) нижних конечностей;
- тромбофлебиты глубоких тазовых вен;
- постельный режим, назначенный в послеродовом или послеоперационном периоде, по поводу тяжелых заболеваний или требуемый в силу специфики тех или иных состояний (например, пребывание пациента в коме);
- иммобилизация (обездвиживание) верхних и нижних конечностей при переломах.
Обратите внимание
Постельный режим и иммобилизация конечностей длительностью даже в одну неделю значительно повышают риск возникновения тромбоза, влекущего за собой инфаркт легкого.
В послеоперационном периоде риск тромбоза с развитием инфаркта легкого – самый высокий при:
- кесаревом сечении;
- операциях на органах брюшной полости;
- гинекологических вмешательствах;
- операциях на органах грудной полости;
- геморроидэктомии (удалении геморроя);
- операциях по поводу варикозного расширения вен нижних конечностей, осложненного тромбозом или тромбофлебитом (воспалением сосудистой стенки и образованием в этом месте тромба).
Важно
Особенно опасны тромбы, которые к внутренней поверхности сосуда крепятся очень маленькой поверхностью (в сравнении со всей площадью своей поверхности). Такие тромбы называются флотирующими (плавающими). Они практически всегда отрываются и заносятся током крови в долевые и сегментарные сосуды легкого.
Помимо сгустка крови (тромба), в качестве эмбола, закупоривающего сосуд, могут служить:
- жировые частицы;
- скопления опухолевых клеток;
- скопления микроорганизмов или их фрагментов;
- конгломераты яиц паразитов, попавших в ток крови;
- газовые пузырьки.
Жировая эмболия кровеносных сосудов легких может наступить при:
- ошибочном введении в кровеносное русло жировых суспензий (взвесей);
- переломе трубчатых костей – особенно при политравме (множественных травматических повреждениях – например, в тяжелых ДТП), когда ломается несколько костей, и риск эмболизации существенно возрастает.
Опухолевую эмболию теоретически могут вызвать клетки любых опухолей, но в подавляющем количестве случаев ее причиняют скопления клеток, образовавшиеся при распаде злокачественных новообразований на терминальных стадиях.
Если место, откуда прибыл эмбол, неизвестно, такой инфаркт легкого называют первичным, если оно определено – вторичным.
Развитие болезни
Классически инфаркт легкого может развиться от 2-3 часов до суток. После острого периода в пострадавшие ткани откладываются солевые соединения – процесс называется организацией. Длится он не более 7 суток.
В силу строения легкого его участок, пострадавший от нехватки кислорода, по форме похож на пирамиду (или клин). Ее верхушка направлена в сторону корня легкого, а основание – в противоположную сторону.
По мере того, как пораженная ткань страдает от нехватки кислорода, она становится темно-вишневого цвета, плотной по консистенции и выпирает над соседними здоровыми участками. Несмотря на то, что кровоснабжение плевры, прилегающей к пораженному фрагменту легкого, не страдает, она изменяется тоже – становится матовой, а дальше и вовсе тусклой, в соответствующем участке плевральной полости может накапливаться кровянистое содержимое.
Кислородное голодание фрагмента легкого, случившееся из-за закупорки ветвей легочных артерий, приводит к тому, что клетки легочной ткани начинают повреждаться. Бывает, что из соседних участков легкого с нормальным кровоснабжением сюда устремляется кровь – развивается так называемая геморрагическая (кровяная) разновидность инфаркта легкого. К очагу поражения нередко устремляется инфекция, поэтому при инфаркте легкого может присоединиться так называемая инфаркт-пневмония, существенно осложняющая течение заболевания.
Инфаркт легкого – это не окончательный результат нарушенного кровоснабжения. Его возможные исходы:
- резорбция (рассасывание измененной из-за кислородного голодания ткани);
- инфильтрационные изменения (уплотнение);
- рубцевание;
- абсцесс (нагноение) пострадавшего участка легкого;
- гангрена (разрушение) легочной ткани.
Инфаркт легкого — это серьезное состояние, которое вызывает множество вопросов и опасений у людей. Симптомы могут варьироваться от резкой одышки и боли в груди до кашля с кровью. Многие отмечают, что такие проявления часто путают с другими заболеваниями, что затрудняет своевременную диагностику. Лечение обычно включает антикоагулянты и, в некоторых случаях, хирургическое вмешательство. Важно помнить, что ранняя помощь значительно повышает шансы на благоприятный исход. Прогноз зависит от степени повреждения легочной ткани и общего состояния пациента. Люди, перенесшие инфаркт легкого, часто говорят о необходимости внимательного отношения к своему здоровью и регулярных медицинских осмотрах, чтобы избежать повторных эпизодов.

Симптомы инфаркта легкого
Симптомы инфаркта легкого зависят от того, на каком уровне случилась закупорка кровеносного сосуда. Она бывает следующих видов:
- эмболия мелких ветвей легочных артерий;
- субмассивная (эмболы забивают ветви, которые отвечают за кровоснабжение сегментов легкого или целых его долей);
- массивная (закупорка центрального ствола легочной артерии или ее основных ветвей).
По этим критериям различают такие виды инфаркта легкого, как:
- ограниченный – закупориваются те ветви легочной артерии, которые обеспечивают кровью сегменты легкого и меньшие его участки;
- обширный – поражаются более крупные сосуды или множество мелких (множественная эмболия).
Симптомы инфаркта легкого развиваются не сразу с момента закупорки кровеносного сосуда– они начинают четко проявляться в среднем через 2-3 дня с момента закупорки. Основные клинические признаки заболевания:
- боль в грудной клетке;
- кровохарканье – отделение мокроты с примесью крови («ржавая мокрота»);
- повышение температуры тела;
- при выраженной гипертермии возможны одышка (до 20 актов дыхания за минуту) и учащение сердцебиения (более 100 ударов в минуту);
- бледность, а затем цианоз (синюшность) кожных покровов и видимых слизистых оболочек;
- возможны перебои в работе сердца аритмического характера, а также снижение артериального давления – в критических случаях с развитием коллапса (внезапно развивающейся сердечно-сосудистой недостаточности).
Боль в грудной клетке при инфаркте легкого имеет следующие характеристики:
- острая;
- интенсивная (похожая отчасти на боль при стенокардии – грудной жабе);
- усиливается при активностях – кашле, попытке вдохнуть глубже, наклоне туловища.
Важно
Болевые ощущения означают, что поражена плевра (сама легочная ткань не болит) – в месте пораженного фрагмента легкого развивается так называемый реактивный плеврит, им страдает около половины больных с инфарктом легкого.
Кровохарканье наблюдается почти у половины больных с инфарктом легкого. У 5-6% пациентов возможно легочное кровотечение.
Гипертермия составляет от 37,1 до 37,8 градусов по Цельсию. Она способна удерживаться длительное время – до 2 недель. Если развилась инфаркт-пневмония – температура тела может подняться до 39 градусов по Цельсию.
Следует помнить, что при инфаркте легкого могут развиться симптомы со стороны не только сердечно-сосудистой и дыхательной, но и других органов и систем – в первую очередь:
- головного мозга;
- пищеварительной системы.
Возможные церебральные расстройства:
- обморочные состояния;
- судороги;
- кома.
Симптомы ос стороны желудочно-кишечного тракта:
- тошнота;
- рвота, не связанная с приемом пищи;
- желтуха (она наступает из-за вторичных изменений в печеночной ткани, которые влекут к распаду гемоглобина).
Если поражен участок легкого, расположенный близко к диафрагмальной плевре, могут возникнуть признаки острого живота – в первую очередь выраженные боли в животе и нарушение работы кишечника.
Инфаркт легкого бывает:
- неосложненный;
- осложненный.
Самыми частыми осложнениями той патологии являются:
- бактериальная пневмония;
- кандидоз (грибковое поражение);
- абсцесс легкого (ограниченное нагноение);
- гангрена (омертвение) легкого;
- эмпиема плевры (нагноение с нечеткими границами);
- сепсис (тотальное инфекционное поражение организма).
Диагностика инфаркта легкого
Инфаркт легкого диагностируют совместными усилиями пульмонолог и кардиолог. Диагноз ставят на основании жалоб, данных физикального исследования (осмотр, ощупывание грудной клетки, ее простукивание и выслушивание фонендоскопом) и результатов дополнительных методов исследования.
При инфаркте легкого информативным являются целый ряд инструментальных методов исследования – это:
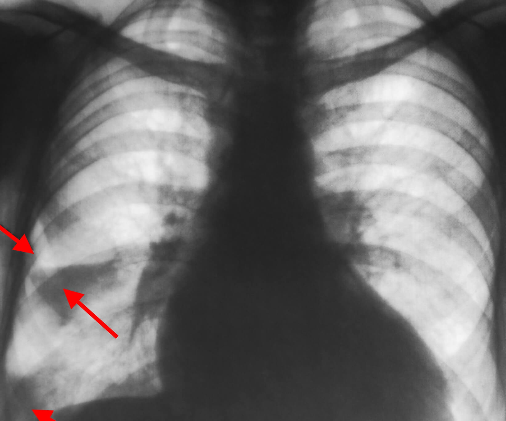
- рентгенография легких в двух проекциях – на снимке можно увидеть тот самый «клин» легочной ткани, пострадавший от нехватки кислорода, а также жидкость в плевральной полости;
- компьютерная томография и ее более прогрессивная разновидность мультиспиральня компьютерная томография (МСКТ) – результаты будут те же, что и при рентгенографии;
- ЭКГ – фиксируются признаки перегрузки правой половины сердца;
- эхокардиография (ЭхоКГ) – во время нее выявляют признаки (их еще называют ЭхоКГ-маркерами) повышения давления крови в легочной артерии, а также тромбы в расширенных правых отделах сердца;
- ультразвуковая допплерография вен нижних конечностей (УЗДГ), или УЗИ сосудов – с ее помощью можно выявить тромбы в венах нижних конечностей;
- ангиопульмонография – она демонстрирует закупорку ветвей легочной артерии;
- сцинтиграфия легких – с помощью этого метода подтверждают ухудшение кровоснабжения ткани легкого.
Лабораторные методы исследования, которые применяют в диагностике инфаркта легкого, следующие:
- общий анализ крови – диагностируется умеренное увеличение количества лейкоцитов как реакция на «испорченные» клетки легкого;
- биохимический анализ крови – в нем будут повышены лактатдегидрогеназа (образуется в процессе клеточного дыхания) и общий билирубин (из-за распада гемоглобина во вторично пораженной печени);
- анализ газового состава крови – фиксируется снижение количества кислорода.

Дифференциальная (отличительная) диагностика
Из-за схожести признаков инфаркт легкого следует отличать от таких заболеваний, как:
- крупозная пневмония (воспаление легких с образованием жидкости в альвеолах);
- спонтанный пневмоторакс (появление без видимых причин воздуха в плевральной полости);
- ателектаз (спадание) легкого;
- инфаркт миокарда (омертвение сердечной мышцы из-за нехватки кислорода);
- перикардит (воспаление сердечной сорочки);
- миокардит (воспаление сердечной мышцы различного происхождения);
- перелом ребер
и некоторые другие.
Лечение инфаркта легкого
Лечебные мероприятия при инфаркте легкого заключаются в:
- первой помощи;
- лечении в условиях стационара.
В связи с тем, что кислородное голодание легких чревато для всего организма, лечение инфаркта легкого следует начать в экстренном порядке.
В качестве первой помощи купируют болевой синдром – с этой целью вводят сильнодействующие ненаркотические или наркотические обезболивающие. Больного незамедлительно доставляют в отделение реанимации и интенсивной терапии.
Первейшая лечебная задача при инфаркте легкого:
- ликвидировать уже имеющийся тромб;
- предотвратить последующее тромбообразование;
- повысить артериальное давление, снизившееся из-за закупорки легочной артерии.
Для разрушения (растворения) уже образовавшихся тромбов используют фибринолитики.
Для предотвращения повторного тромбообразования применяют антикоагулянты:
- прямого действия (к ним относится и гепарин);
- непрямого действия.
Антикоагулянты следует вводить под постоянным контролем коагулограммы, чтобы не спровоцировать кровотечение .Необходимо помнить, что они имеют противопоказания к применению – это:
- внутреннее кровотечение любого происхождения;
- язвенная болезнь желудка и 12-перстной кишки;
- геморрагические диатезы (повышенная кровоточивость тканей);
- злокачественные опухоли различной локализации.
При артериальной гипотонии вводят препараты, сужающие сосуды, а также проводят внутривенное капельное введение инфузионных растворов.
Для лечения, а также профилактики инфарктной пневмонии назначают антибиотики широкого спектра действия.
Крайне важным методом лечения при инфаркте легкого является ингаляция кислорода.
Если все эти методы не вызвали должного эффекта, ставится вопрос об оперативном извлечении тромба из легочной артерии – тромбоэктомии. Во время этой операции также в систему нижней полой вены вставляют специальный фильтр, который в дальнейшем будет «отсеивать» тромбы.
При закупорке ветвей легочной артерии другими эмболами лечение практически то же. В том числе вводят препараты, предотвращающие образование тромбов – при эмболии любого генеза может развиться коагулопатия (нарушение свертывания крови).
Профилактика
Для предупреждения инфаркта легкого следует избегать всех факторов, которые могут вызвать закупорку легочной артерии. Так как в подавляющем количестве случаев эмболизацию вызывает тромб, следует придерживаться образа жизни, исключающего тромбообразование или по крайней мере снижающего его риск:
- своевременно оказывать медицинскую помощь при признаках тромбофлебитов (особенно при варикозном расширении вен нижних конечностей);
- при заболеваниях вен нижних конечностей использовать трикотажное белье (специальные эластические чулки) или, как минимум, проводить бинтование ног эластическими бинтами (архаичный метод, но менее затратный);
- после оперативных вмешательств не игнорировать занятия обычной лечебной гимнастикой, уповая только на медикаменты;
- по мере возможностей после операций практиковать ранний подъем;
- соблюдать сроки использования внутривенных катетеров для капельного введения лекарств;
- бросить курить (вызывая сужение сосудов, никотин усугубляет течение инфаркта легкого).
Прогноз при инфаркте легкого
Прогноз при инфаркте легкого – довольно непростой: промедление в диагностике и лечении может привести к необратимому разрушению легочной ткани. Угрозы для здоровья и жизни пациента можно избежать благодаря своевременной диагностике и экстренным лечебным мерам.
Риск для здоровья и жизни при инфаркте легкого повышается при следующих условиях:
- наличие тяжелой хронической сердечно-сосудистой недостаточности;
- наступившие осложнения (инфаркт-пневмония, абсцесс и гангрена легкого, сепсис);
- повторяющиеся случаи тромбоэмболии легочной артерии.
Ковтонюк Оксана Владимировна, медицинский обозреватель, хирург, врач-консультант
Вопрос-ответ
Как проявляется инфаркт легкого?
Первые симптомы инфаркта легкого появляются через 2-3 дня с момента закупорки тромбом ветви легочной артерии и выражаются в следующем: внезапная боль в области груди, усиливающаяся при глубоком дыхании, кашле и наклонах, кровохарканье, легкое кровотечение (2, 5% всех случаев),
Можно ли вылечиться от инфаркта легкого?
Да, спортсмены могут полностью восстановиться после тромбоза глубоких вен, тромбоэмболии легочной артерии и инфаркта легкого . Инфаркт не должен вызывать снижение функции легких. Большинство спортсменов (если у них не развивается ХТЭЛГ) могут полностью восстановиться. Если вы возвращаетесь в контактный вид спорта и принимаете антикоагулянты, вам может потребоваться пересмотреть свою деятельность.
Является ли инфаркт легкого серьезным заболеванием?
В то время как небольшие инфаркты легких обычно не имеют долгосрочных последствий, крупные инфаркты могут вызвать достаточно серьезные повреждения легких, вызывая хронические симптомы, и даже могут привести к летальному исходу .
Что такое инфарктная пневмония?
Инфарктная пневмония представляет собой застойные изменения, развившиеся на месте некротизированного участка ткани, образовавшегося вследствие острого нарушения кровоснабжения. В зависимости от размеров тромба могут поражаться сосуды различного диаметра: долевые, сегментарные или более мелкие.
Советы
СОВЕТ №1
Обращайте внимание на симптомы. Если вы заметили резкое ухудшение дыхания, боль в груди, кашель с кровью или сильную усталость, немедленно обратитесь к врачу. Ранняя диагностика может значительно повысить шансы на успешное лечение.
СОВЕТ №2
Следите за своим образом жизни. Регулярные физические нагрузки, сбалансированное питание и отказ от курения могут снизить риск развития инфаркта легкого. Здоровый образ жизни укрепляет иммунитет и улучшает общее состояние организма.
СОВЕТ №3
Не игнорируйте хронические заболевания. Если у вас есть заболевания легких или сердечно-сосудистой системы, регулярно проходите медицинские осмотры и следуйте рекомендациям врача. Это поможет предотвратить осложнения и снизить риск инфаркта легкого.
СОВЕТ №4
Обсуждайте с врачом возможные риски. Если вы принимаете лекарства или проходите лечение, обязательно проконсультируйтесь с врачом о возможных побочных эффектах и рисках, связанных с вашим состоянием. Это поможет вам лучше понять свое здоровье и принимать обоснованные решения.











