Киста предстательной железы диагностируется чаще у мужчин старше 50 лет и представляет отграниченную полость, заполненную жидкостным содержимым.
Как правило, кисты в простате носят доброкачественный характер и озлокачествляются редко. Патологии подвержены мужчины любого возраста, но установлена корреляция — чем старше, тем больше риск развития кистозного новообразования.
Симптомы неспецифичны, трансректальная пальпация простаты не позволяет установить диагноз.
Для диагностики чаще применяют ТРУЗИ (трансректальное ультразвуковое исследование). Если есть подозрение на злокачественный процесс, выполняют магнитно-резонансную томографию, позволяющую дать оценку отношению кисты (опухоли) к близлежащим тканям.
Какие бывают кисты простаты
Выделяют врожденные и приобретенные кистозные новообразования, истинные и ложные, воспалительного и невоспалительного генеза, осложненные и без осложнений.
Врожденные кисты, в свою очередь, делят на кисты маточки простаты, Мюллерова протока, семенного пузырька, семявыбрасывающего протока.
К приобретенным относят доброкачественную кистозную гиперплазию, паразитарные и ретенционные кисты, кисты семявыбрасывающего протока, абсцесс и кистозный рак.
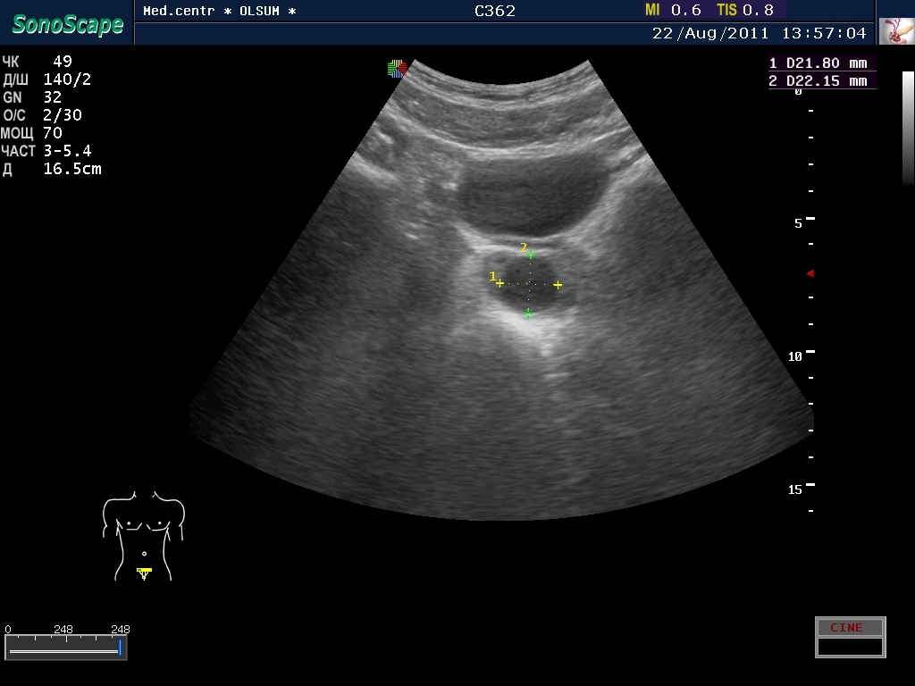
Кисты простаты диагностируются на сонограммах за счет типичной локализации и характерных очертаний. Иногда для установления окончательного диагноза проводят трансректальную биопсию под контролем ультразвука.
Врачи отмечают, что киста предстательной железы может возникать по различным причинам, включая воспалительные процессы, гормональные изменения и травмы. Часто такие образования являются безболезненными и не требуют вмешательства, однако в некоторых случаях могут вызывать дискомфорт и затруднения при мочеиспускании. Специалисты подчеркивают важность регулярных обследований, так как ранняя диагностика позволяет избежать осложнений. Лечение кисты зависит от ее размера и симптоматики: в легких случаях достаточно наблюдения, в то время как более крупные или болезненные кисты могут потребовать медикаментозной терапии или хирургического вмешательства. Врачи рекомендуют пациентам не игнорировать симптомы и обращаться за медицинской помощью при первых признаках проблемы.

Врожденные кисты
Чаще урологи сталкиваются с кистами предстательной маточки, которая возникает из-за ее перерастяжения. Форма — грушевидная или каплевидная, контуры гладкие. За основание семенного бугорка не выступают. При аспирировании содержимого получают желтоватую жидкость без сперматозоидов.
К образованию кисты Мюллерова протока приводит отсутствие редуцирования (исчезновения) самого протока в процессе эмбриогенеза.
Киста Мюллерова протока соединена с семенным бугорком, способствует растяжению простатической капсулы, может содержать конкременты и скопления солей.
Врожденные кисты семявыносящего и семявыбрасывающего протока диагностируются редко, и в большинстве случаев, сочетаются с другими аномалиями. Причина развития — атрезия – врожденное отсутствие естественного выводного отверстия.
Как правило, пациент обращается на прием с жалобами после начала активной половой жизни, иногда единственный признак кальцифицированной кисты – появление крови в сперме. Новообразвания могут иметь связь с мочевым пузырем, что проявится гематурией. В содержимом неактивные сперматозоиды.
Приобретенные кисты
Доброкачественная кистозная гиперплазия предстательной железы — образование множества небольших кист в переходной зоне простаты. Это приводит к сдавлению центральных и периферических участков.
Пи кистах семявыбрасывающего протока при ультразвуковом обследовании видно расширение семенного пузырька на стороне поражения.
Большая часть кист семявыбрасывающего протока возникает вследствие его обструкции. Обычно они лежат в месте ожидаемого прохождения семявыбрасывающего протока в
Ретенционные кисты простаты развиваются вследствие дилатации железистых долек при приобретенной закупорке мелких протоков. Они могут появиться в любом локусе предстательной железы, чаще — в периферии.
Несмотря на то, что злокачественные новообразования в простате встречаются часто — кистозная форма рака развивается редко. При УЗИ диагностики злокачественные кисты неровной формы, разнородного содержимого, визуализируются гипоэхогенные участки — проводят исследование на рак простаты (простатспецифический антиген и трансректальная биопсия простаты).
Киста предстательной железы — это довольно распространенное заболевание, о котором говорят многие мужчины. Причины ее появления могут быть разнообразными: от воспалительных процессов до гормональных изменений. Некоторые пациенты отмечают, что киста может не проявляться симптомами, и они узнают о ней только при плановом обследовании. Однако в других случаях могут возникать дискомфорт и боли в области таза.
Лечение кисты часто зависит от ее размера и наличия симптомов. Врач может рекомендовать наблюдение, если киста небольшая и не вызывает проблем. В более серьезных случаях может потребоваться медикаментозная терапия или даже хирургическое вмешательство. Многие мужчины делятся опытом, что своевременное обращение к специалисту и регулярные обследования помогают избежать осложнений и поддерживать здоровье.

Что способствует образованию кист
Предрасполагающие факторы к образованию кист:
- усиленная секреция желез;
- доброкачественная гиперплазия простаты;
- хронический простатит с частыми рецидивами;
- рак;
- травмы половых органов;
- камни простаты;
- фиброз простаты;
- застойные явления в органах малого таза ( отсутствие необходимой двигательной активности, варикозное расширение вен малого таза, нерегулярная половая жизнь или, наоборот, сексуальные эксцессы (мастурбация, прерванный половой акт и пр.);
- оперативные вмешательства и манипуляции на предстательной железе.
Обратите внимание
Профессиональную деятельность, связанную с вибрацией, также относят к факторам риска.
Симптомы и признаки кисты простаты
Маленькие кисты скорее будут находкой при ультразвуковом обследовании.
Клинические симптомы зависят от расположения образования, его размеров, сопутствующих заболеваний простаты.
Если киста оказывает сдавливающее действие на мочеиспускательный канал, появляются жалобы, характерные для нарушения оттока мочи на фоне обструкции нижних мочевых путей:
- изменение качества струи мочи;
- необходимость натуживания при мочевыделении;
- дискомфорт во время акта мочеиспускания;
- чувство неполного опорожнения мочевого пузыря;
- боль во время секса, усиливающая при семяизвержении;
- ретроградная эякуляция;
- нарушение потенции;
- дискомфорт в промежности;
- субфебрильная температура.

Как диагностировать кисту предстательной железы
При сборе жалоб и пальпации предстательной железы через прямую кишку не всегда можно даже предположить диагноз, для этого образование должно граничить со стенкой прямой кишки.
Для уточнения диагноза выполняют ультразвуковое исследование с трансректальным датчиком.
При выполнении ультразвуковой диагностики трансректальным доступом лучше видны кисты с диаметром больше 10 мм, при обычном, трансабдоминальном исследовании, маленькие образования диагностировать невозможно.
МРТ — более информативный метод, но учитывая его высокую стоимость, к магнитно-резонансной томографии прибегают только при подозрении на рак простаты.
Иногда может понадобиться уретроцистоскопия (периуретральная киста простаты) или уретрография.
При нарушениях оттока мочи выполняют урофлоуметрию.
Лабораторная диагностика
Не существует специфических анализов лабораторной диагностики, которые однозначно могли бы подтвердить присутствие кисты в предстательной железе.
Секрет простаты может содержать эритроциты, лейкоциты, что может встречаться при множестве урологических патологий.
В общем анализе мочи, как правило, каких-либо изменений нет, исключение — киста, сообщающаяся с полостью мочевого пузыря, при которой может быть выделение мочи с кровью.
Спермограмма поможет ответить на вопрос о сохранении фертильности у мужчины.
Лечение кисты предстательной железы
За небольшими новообразованиями (до 6-8 мм) наблюдают в динамике: сдают 1 раз в год кровь на ПСА и выполняют ТРУЗИ.
Если при обследовании есть данные за воспалительный процесс — назначают антибактериальную, противовоспалительную терапию.
Важно
Физиопроцедуры при кисте простаты, особенно у возрастного пациента не показаны, так как могут спровоцировать активный рост.
По этой же причине врачи рекомендуют избегать препаратов для местного лечения, способных усилить обменные процессы и кровообращение в железе.
Операции при кисте простаты
При значимых размерах кисты, выраженном сдавлении тканей и жалобах, не ослабевающих на фоне медикаментозной терапии, прибегают к хирургичесим вмешательствам. Выбор зависит от месторасположения новообразования, его типа (простая киста или сложная, с перегородками), размеров и потенциального вреда.
Как правило, в современной урологии кисту простаты можно удалить малоинвазивным способом, что позволяет максимально сохранить функции простаты.
Кисты часто сопутствуют доброкачественной гиперплазии железы, здесь выясняют, что именно способствует развитию симптомов обструкции нижних мочевыводящих путей.
Перед принятием решения об операции могут быть назначены альфа-адреноблокаторы.
Пункция простой кисты простаты выполняется с помощью тонкой иглы под контролем ультразвука. Полученную жидкость анализируют на атипичные (раковые) клетки.
Чтобы добиться спадения стенок с последующим рубцеванием — в полость образования вводят специальный раствор — склерозант.
Если киста приводит к рецидивам хронического воспалительного процесса, отмечается ее рост или нагноение – удаление производят трансректально или трансуретрально.
Лазерная энуклеация кисты (HoLEP) выполняется только при отсутствии рака простаты и абсцесса.
В некоторых клиниках выполняют трансуретральную резекцию (ТУР).
Нежелательные последствия кисты в простате
Если не лечиться, то у мужчины киста в простате может привести к следующему:
- острая задержка мочеиспускания;
- склерозирование;
- абсцесс;
- камни простаты;
- острое воспаление;
- бесплодие;
- ретроградная эякуляция;
- разрыв кисты с инфицированием;
- рак простаты (в редких случаях при озлокачествлении развивается кистозный рак простаты).
Не всегда можно предотвратить патологию, но при отказе от вредных привычек, ежегодных врачебных осмотрах, своевременном лечении воспаления, избегании провоцирующих факторов и профилактике ЗППП – шанс развития кисты в простате снижается.
Мишина Виктория, уролог, медицинский обозреватель
Вопрос-ответ
Что такое киста предстательной железы и как она образуется?
Киста предстательной железы — это заполненное жидкостью образование, которое может возникать в тканях простаты. Она может образовываться в результате воспалительных процессов, травм, инфекций или нарушений в работе железы. Кисты могут быть как врожденными, так и приобретенными, и часто не вызывают симптомов.
Какие симптомы могут указывать на наличие кисты предстательной железы?
В большинстве случаев кисты простаты не проявляют себя и не вызывают симптомов. Однако, если киста становится большой или воспаляется, могут возникнуть такие симптомы, как боль в области таза, затрудненное мочеиспускание, частые позывы к мочеиспусканию или дискомфорт во время полового акта.
Как проводится лечение кисты предстательной железы?
Лечение кисты предстательной железы зависит от её размера и наличия симптомов. В большинстве случаев, если киста не вызывает дискомфорта, лечение не требуется. При наличии симптомов могут быть рекомендованы медикаментозные препараты для облегчения состояния, а в более сложных случаях — хирургическое вмешательство для удаления кисты.
Советы
СОВЕТ №1
Регулярно проходите медицинские осмотры. Ранняя диагностика кисты предстательной железы может значительно улучшить прогноз и облегчить лечение. Не игнорируйте симптомы, такие как боль в области таза или затрудненное мочеиспускание.
СОВЕТ №2
Обратите внимание на образ жизни. Здоровое питание, регулярные физические нагрузки и отказ от вредных привычек могут снизить риск развития кисты и других заболеваний предстательной железы. Включите в рацион больше овощей, фруктов и полезных жиров.
СОВЕТ №3
Не стесняйтесь обсуждать свои симптомы с врачом. Открытое общение о проблемах с мочеиспусканием или болях поможет врачу правильно оценить ситуацию и назначить необходимое лечение. Чем больше информации вы предоставите, тем эффективнее будет подход к вашему лечению.


