Операция коронарного шунтирования в наши дни является достаточно широко распространенной процедурой. Хирургическое вмешательство необходимо пациентам, страдающим ишемической болезнью сердца при неэффективности медикаментозного лечения и прогрессировании патологии.
Коронарное шунтирование — это операция на сосудах сердца, в ходе которой восстанавливается артериальный кровоток. Иными словами, шунтирование – это создание дополнительного пути в обход суженного участка венечного сосуда. Собственно шунт представляет собой дополнительный сосуд.
Что такое ишемическая болезнь сердца?
Ишемическая болезнь сердца – это острое или хроническое снижение функциональной активности миокарда. Причиной развития патологии является недостаточное поступление артериальной крови к сердечной мышце, в результате чего возникает кислородное голодание тканей.
В большинстве случаев развитие и прогрессирование заболевания обусловлено сужением венечных артерий, отвечающих за снабжение миокарда кислородом. Проходимость сосудов снижается на фоне атеросклеротических изменений. Недостаточность кровоснабжения сопровождается болевым синдромом, который на начальных стадиях патологии появляется при значительной физической или психоэмоциональной нагрузке, а по мере прогрессирования – и в состоянии покоя. Боли в левой части груди или за грудиной получили название стенокардии («грудной жабы»). Они, как правило, иррадиируют в область шеи, левое плечо или угол нижней челюсти. Во время приступа пациенты ощущают недостаток кислорода. Характерно также появление чувства страха.
Важно: в клинической практике встречаются т. н. «безболевые» формы патологии. Они представляют наибольшую опасность, поскольку нередко диагностируются уже на поздних стадиях.
Наиболее опасным осложнением ишемической болезни является инфаркт миокарда. При резком ограничении поступления кислорода в участке сердечной мышцы развиваются некротические изменения. Инфаркты являются ведущей причиной смертности.
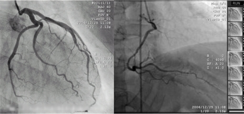
Наиболее точным методом диагностики ИБС является рентгеноконтрастное исследование (коронарография), при котором контрастное вещество вводится в венечные артерии посредством катетеров.
На основании данных, полученных в ходе исследования, решается вопрос о возможности проведении стентирования, баллонной ангиопластики или коронарного шунтирования сосудов сердца.
Коронарное шунтирование является одним из наиболее эффективных методов лечения ишемической болезни сердца. Врачи подчеркивают, что показаниями к проведению операции являются тяжелые стенозы коронарных артерий, не поддающиеся лечению медикаментозной терапией или ангиопластикой. Также шунтирование рекомендуется пациентам с высоким риском сердечно-сосудистых событий, особенно при наличии сопутствующих заболеваний.
Послеоперационный период требует внимательного наблюдения и реабилитации. Врачи акцентируют внимание на важности соблюдения режима, правильного питания и регулярной физической активности. Это способствует не только восстановлению, но и снижению риска повторных сердечно-сосудистых заболеваний. В целом, успешное шунтирование может значительно улучшить качество жизни пациентов и продлить ее.

Операция коронарного шунтирования
Данная операция является плановой; пациента обычно помещают в стационар за 3-4 дня до вмешательства. В предоперационном периоде больной проходит всестороннее обследование и обучается методикам глубокого дыхания и откашливания. У него есть возможность познакомиться с хирургической бригадой и получить подробную информацию о сути и ходе вмешательства.
Накануне проводятся подготовительные процедуры, включающие очистительную клизму. За час до начала осуществляется премедикация; больному дают препараты, уменьшающие чувство тревоги.
Своевременно проведенная операция предупреждает развитие необратимых изменений в миокарде. Благодаря вмешательству существенно повышается сократительная способность сердечной мышцы. Хирургическое лечение позволяет улучшить качество жизни больного и увеличить ее продолжительность.
Средняя продолжительность операции составляет от 3 до 5 часов. В большинстве случаев требуется подключение больного к аппарату искусственного кровообращения, но в некоторых ситуациях возможно и вмешательство на бьющемся сердце.
У хирургического лечения без подключения пациента к аппарату искусственного кровообращения имеется ряд преимуществ, в числе которых:
- меньшая продолжительность вмешательства (до 1 часа);
- сокращение сроков восстановления после коронарного шунтирования;
- исключение возможного повреждения форменных элементов крови;
- отсутствие других осложнений, связанных с подключением пациента к аппарату ИК.
Доступ осуществляется через разрез, выполненный посередине грудной клетки.
Дополнительные разрезы делают в той области тела, из которой берут графт.
Ход и продолжительность операции зависят от следующих факторов:
- тип поражения сосудов;
- степень тяжести патологии (количество создаваемых шунтов);
- необходимость параллельного проведения устранения аневризмы или реконструкции сердечных клапанов;
- некоторые индивидуальные особенности организма больного.
В ходе операции графт подшивают к аорте, а другой конец трансплантата – к ветви венечной артерии в обход суженного или обтурированного участка.
Для создания шунта в качестве трансплантата берут фрагменты следующих сосудов:
- большая подкожная вена (с нижней конечности);
- внутренняя грудная артерия;
- лучевая артерия (с внутренней поверхности предплечья).
Обратите внимание: использование фрагмента артерии позволяет создать более полноценный в функциональном отношении шунт. Предпочтение фрагментам подкожных вен нижних конечностей отдается по той причине, что данные сосуды обычно не поражены атеросклерозом, т. е. являются сравнительно «чистыми». Кроме того, забор такого трансплантата впоследствии не приводит к появлению проблем со здоровьем. Оставшиеся вены ног берут на себя нагрузку, и кровообращение в конечности не нарушается.
Конечной целью создания подобного обходного пути является улучшение кровоснабжения миокарда для предотвращения приступов стенокардии и инфарктов. После коронарного шунтирования продолжительность жизни пациентов с ИБС существенно возрастает. У больных повышается физическая выносливость, восстанавливается работоспособность и уменьшается потребность в приеме фармакологических препаратов.
Аортокоронарное шунтирование: послеоперационный период
После окончания операции пациента помещают в отделение реанимации, где за ним осуществляется круглосуточное наблюдение. Средства для наркоза негативно влияют на дыхательную функцию, поэтому прооперированного человека подключают к специальному аппарату, подающему обогащенный кислородом воздух через специальную трубочку во рту. При быстром восстановлении необходимость в использовании данного устройства обычно отпадает уже в течение первых суток.
Обратите внимание: во избежание неконтролируемых движений, которые могут привести к развитию кровотечения и отсоединению капельниц руки пациента фиксируются до полного прихода в сознание.
В сосуды на шее или бедре ставятся катетеры, через которые вводятся лекарственные препараты и производится забор крови для анализов. Из полости грудной клетки выводятся трубочки для отсасывания скапливающейся жидкости.
К телу пациента, перенесшего аортокоронарное шунтирование, в послеоперационном периоде крепят специальные электроды, позволяющие осуществлять мониторинг сердечной деятельности. К нижней части грудной клетки фиксируются проводки, посредством которых при необходимости (в частности – при развитии фибрилляции желудочков) проводится электростимуляция миокарда.
Обратите внимание: пока продолжается действие препаратов для общей анестезии, больной может находиться в состоянии эйфории. Характерна также дезориентация.
По мере улучшения состояния пациента переводят в обычную палату специализированного отделения стационара. В течение первых дней после шунтирования нередко отмечается повышение общей температуры тела, что не является поводом для беспокойства. Это нормальная реакция организма на обширное повреждение тканей в ходе операции. Непосредственно после коронарного шунтирования пациенты могут предъявлять жалобы на неприятные ощущения в месте разреза, но болевой синдром успешно купируется введением современных анальгетиков.
В раннем послеоперационном периоде необходим строгий контроль диуреза. Пациенту предлагается заносить в специальный дневник данные о количестве выпитой жидкости и объеме отделяемой мочи. Для профилактики развития такого осложнения, как послеоперационная пневмония больного знакомят с комплексом дыхательных упражнений. Положение лежа на спине способствует застою жидкости в легких, поэтому пациенту через несколько дней после операции рекомендуется поворачиваться на бок.
Для предупреждения скопления секрета (улучшения откашливания) показан осторожный местный массаж с постукиваниями в проекции легких. Пациента необходимо информировать о том, что откашливание не приведет к расхождению швов.
Обратите внимание: лля ускорения процесса заживления часто применяется торакальный корсет.
Потреблять жидкость больной может уже через полтора-два часа после удаления дыхательной трубки. В первое время пища должна быть полужидкой (протертой). Срок перехода к обычному питанию определяется строго индивидуально.
Восстановление двигательной активности должно быть постепенным. Вначале пациенту разрешается занимать сидячее положение, несколько позже – недолго прохаживать по палате или коридору. Незадолго до выписки позволяется и даже рекомендуется увеличивать время прогулок и подниматься по лестничному пролету.
Первые дни повязку регулярно меняют, а швы промывают раствором антисептика. По мере того, как рана затягивается, повязку снимают, поскольку воздух способствует подсыханию. Если регенерация тканей протекает нормально, то швы и электрод для стимуляции снимают на 8-ой день. Спустя 10 суток после операции область разрезов разрешается промывать обычной теплой водой с мылом. Что касается общих гигиенических процедур, то принять душ можно только через неделю-полторы после снятия швов.
Грудина полностью восстанавливается только через несколько месяцев. Пока она срастается, у больного могут появляться болевые ощущения. В таких случаях показан прием ненаркотических анальгетиков.
Важно: до полного заживления кости грудины исключается поднятие тяжестей и совершение резких движений!
Если трансплантат брали с ноги, то первое время пациента могут беспокоить жжение в области разреза и отек конечности. Через некоторое время эти осложнения бесследно проходят. Пока сохраняются симптомы, целесообразно использовать эластичные бинты или чулки.
После коронарного шунтирования больной находится в стационаре еще 2-2,5 недели (при условии отсутствия осложнений). Пациента выписывают только после того, как лечащий врач будет полностью уверен в стабилизации его состояния.
Для предупреждения осложнений и снижения риска развития сердечно-сосудистых заболеваний требуется коррекция рациона питания. Пациенту рекомендуется сократить потребление поваренной соли и свести к минимуму количество продуктов, содержащих насыщенные жиры. Лицам, страдающим никотиновой зависимостью, следует полностью отказаться от курения.
Уменьшить риск рецидива помогут комплексы ЛФК. Умеренные физические нагрузки (в т. ч. регулярные пешие прогулки) способствуют скорейшей реабилитации пациента после коронарного шунтирования.
Коронарное шунтирование — это серьезная операция, о которой люди высказываются по-разному. Многие пациенты отмечают, что показания к проведению процедуры, такие как стенокардия, ишемическая болезнь сердца и недостаточная эффективность медикаментозного лечения, становятся для них настоящим спасением. Послеоперационный период, как правило, требует значительных усилий: восстановление может занять от нескольких недель до нескольких месяцев. Пациенты делятся опытом о необходимости соблюдения режима, физической активности и правильного питания. Некоторые отмечают, что после операции качество жизни значительно улучшается, а боли в груди уходят. Однако важно помнить, что успех операции во многом зависит от индивидуальных особенностей организма и соблюдения рекомендаций врачей.

Статистика смертности после аорто-коронарного шунтирования
Согласно данным, полученным в ходе многолетних клинических наблюдений, через 15 лет после успешной операции смертность среди пациентов такая же, как и в популяции в целом. Выживаемость во многом зависит от объема хирургического вмешательства.
Средняя продолжительность жизни после первого шунтирования составляет около 18 лет.
Обратите внимание: на момент завершения масштабного исследования, целью которого являлось составление статистики смертности после аорто-коронарного шунтирования, некоторые пациенты, перенесшие операцию в 70-е годы прошлого столетия, уже успели отпраздновать 90-летний юбилей!
Плисов Владимир, медицинский обозреватель
Вопрос-ответ

В каком случае делают коронарное шунтирование?
— Коронарное шунтирование проводится при ишемической болезни сердца — это когда в артериях сердца образуются атеросклеротические бляшки и закупоривают просвет сосудов изнутри либо приводят к выраженному сужению этого просвета. Соответственно, крови к сердцу и сердечной мышце поступает меньше, чем нужно.
Когда можно ходить после шунтирования сердца?
К выписке больной уже может гулять на улице. Если никаких осложнений нет, то примерно на 6-7 день снимаются швы, а через 10-12 дней после операции больного выписывают домой.
Кому показано шунтирование?
Операция выполняется на работающем сердце, без применения метода искусственного кровообращения. Она показана в тех случаях, когда поражение артерий сердца выражено настолько, что использование других методов восстановления коронарного кровотока невозможно.
Сколько дней лежат в реанимации после шунтирования?
После операции пациент переводится в реанимационное отделение, где находится до момента восстановления сознания – в среднем одни сутки. После чего его переводят в обычную палату кардиохирургического отделения. После операции шунтирования артерий больной проводит в стационаре от 3 до 10 суток.
Советы
СОВЕТ №1
Перед операцией обязательно обсудите с врачом все ваши медицинские истории и текущие заболевания. Это поможет врачу лучше понять вашу ситуацию и выбрать оптимальный подход к лечению.
СОВЕТ №2
После коронарного шунтирования следуйте рекомендациям врача по реабилитации. Это включает в себя правильное питание, физическую активность и регулярные проверки состояния сердца, что поможет ускорить восстановление.
СОВЕТ №3
Обратите внимание на психоэмоциональное состояние после операции. Стресс и тревога могут негативно сказаться на процессе восстановления, поэтому не стесняйтесь обращаться за поддержкой к психологу или группам поддержки.
СОВЕТ №4
Заботьтесь о своем образе жизни после операции: откажитесь от курения, ограничьте потребление алкоголя и следите за уровнем холестерина. Эти изменения помогут предотвратить повторные сердечно-сосудистые заболевания.









