Коронарография – рентгенологический способ оценки питающих сердце сосудов, использующий контрастирование. Это оптимальный выбор для распознавания ишемической болезни, атеросклероза. Перед ангиохирургическими, кардиальными оперативными вмешательствами (аорто-коронарным шунтированием, баллонной ангиопластикой, стентированием) проведение коронарографии обязательно. Она помогает и оценить результаты операций. Дополнительно исследование дает представление о кровоснабжении сердечных камер. Для введения контрастирующего вещества используется катетеризация бедренной, лучевой артерии. Инвазивность, свойства контраста, суммарная лучевая нагрузка определяют риски, перечень возможных осложнений процедуры. Другое название диагностики – коронароангиография.
Коронарография сосудов сердца: что это такое
Коронарные (венечные) артерии обеспечивают приток крови ко всем слоям сердечной мышцы, эндокарда, перикарда. Сужение, закупорка их вызывает разную степень кислородного голодания сердечных тканей, проявляющуюся болевыми сердечными приступами разной продолжительности, купируемости, вплоть до острого коронарного синдрома, кардионекроза. Уточнение характера коронарного поражения, степени окклюзии, стеноза помогают выбрать способ лечения (чрезкожная баллонная ангиопластика, стентирование, АКШ или консервативная медикаментозная терапия). Также необходимо уточнять тип кровоснабжения сердечной мышцы. Например, при преобладании левой коронарной артерии в питании большей массы миокарда, нарушение ее проходимости несет большие риски обширного, затрагивающего все слои стенки инфаркта, чем при равном вкладе обеих артерий в коронарный кровоток.
Коронарография — это диагностическая процедура, позволяющая визуализировать коронарные артерии и оценить состояние сердечно-сосудистой системы. Врачи отмечают, что данное исследование обычно проводится с использованием рентгеновского оборудования и контрастного вещества, которое вводится через катетер, установленный в артерии. Процедура позволяет выявить сужения или блокировки, что важно для диагностики ишемической болезни сердца.
Специалисты подчеркивают, что коронарография обычно безопасна, но, как и любая медицинская манипуляция, может иметь свои риски, включая аллергические реакции на контрастное вещество или осложнения, связанные с введением катетера. В большинстве случаев пациенты восстанавливаются быстро и могут вернуться к обычной жизни в течение нескольких дней. Однако врачи рекомендуют внимательно следить за своим состоянием и сообщать о любых необычных симптомах после процедуры.

Показания
Основные причины, препятствующие току крови в венечных артериях, это: сужение за счет атеросклеротической бляшки, закупорка тромбом. Критичным можно назвать перекрытие просвета на 70% и более. Вытекающие из этого последствия, требующие коронарографии, можно сгруппировать так:
- Ишемические поражения сердца:
- Стенокардия напряжения 3- 4 функциональных классов, не поддающаяся лекарствам.
- Высокий риск внезапной смерти.
- Состояние после реанимации по поводу остановки сердца.
- Больные приступами желудочковой тахикардии.
- Нестабильные варианты стенокардии среднего, высокого риска.
- ИБС с невозможностью уточнить риски.
- Атипичные боли в груди при наличии рисков (возраст, курение, высокое АД, уровни липидного спектра), если его нельзя дифференцировать нагрузочными пробами (велоэргометрией).
- Подозрение на стенокардию вследствие коронарного спазма (вариант Принцметал).
- Планирование операции восстановления кровоснабжения сердца при инфаркте, если противопоказан тромболизис или в качестве альтернативы ему.
- Отсутствие эффекта тромболизиса, возможность чрезкожного оперативного вмешательства восстановления кровотока пораженной артерии.
- Сохраняющаяся при инфаркте нестабильность кровообращения (кроме кардиогенного шока).
- Стенокардия минимальных физнагрузок, сердечная недостаточность, злокачественные аритмии при сократительной способности левого желудочка не выше 40% после инфаркта.
- Планирование хирургического исправления механических осложнений инфаркта: псевдоаневризмы сердца, дефекта перегородки, острой недостаточности митрального клапана.
- Подозрение, что причиной инфаркта стал эмбол, травма, эндартериит.
- Постинфарктные желудочковые фибрилляции, тахикардии, не чувствительные к лекарствам.
- Фракции выброса <45% у пациента в постинфарктном периоде, перпятствующая проведению нагрузочных тестов.
- Иные заболевания:
- Аневризма аорты перед оперативной коррекцией.
- Гипертрофическая миокардиопатия, сочетающаяся со стенокардией.
- Перед операцией по поводу ТЭЛА.
- Свежая тупая травма груди при подозрении на инфаркт миокарда.
- Болезнь Кавасаки.
Дополнительные показания
Не только инфаркт или боли в сердце становятся поводом для назначения ангиографии. Плановые оперативные вмешательства по реваскуляризации миокарда или по поводу некардиальных заболеваний нередко требуют назначения диагностики.
- До, после несердечных хирургических вмешательств при ИБС, высоких рисках, нестабильной или устойчивой стенокардии.
- Перед операцией высокого риска для тех, чьи нагрузочные тесты сомнительны, а сердечнососудистый риск велик.
- Пациенты среднего риска перед ангиохирургией.
- Срочное оперативное пособие в восстановительном периоде после острого инфаркта миокарда.
- Инфарцирование во время операции.
- Признаки эмболов коронаров при инфекционном эндокардите.
- Планируемая хирургическая коррекция врожденных пороков, сочетающихся с ИБС, врожденными коронарными аномалиями.
- Перед трансплантацией печени, почки, легкого у лиц после 40 лет.
- Перед хирургией клапанов сердца у больных с клиникой ишемии, положительными нагрузочными тестами или у пациентов без этих факторов, но старше 40 лет.
Коронарография — это диагностическая процедура, позволяющая оценить состояние коронарных артерий, которые снабжают сердце кровью. Многие пациенты отмечают, что процесс проведения коронарографии относительно безболезненный. Обычно используется местная анестезия, и через небольшое отверстие в артерии вводится катетер. С помощью рентгеновского оборудования врачи получают изображения сосудов, что помогает выявить сужения или блокировки.
После процедуры большинство людей чувствуют себя хорошо, хотя некоторые могут испытывать легкий дискомфорт или синяки в месте введения катетера. Важно отметить, что коронарография — это не только диагностический, но и лечебный метод. В некоторых случаях во время процедуры можно сразу же провести ангиопластику или установить стент. Однако, как и любая медицинская манипуляция, она может иметь свои риски, включая аллергические реакции на контрастное вещество или осложнения, связанные с сердечно-сосудистой системой. Поэтому важно обсудить все возможные последствия с врачом перед проведением процедуры.

Как делают коронарографию сосудов сердца
Коронарография – несколько проекций рентгеновских изображений венечных артерий. Чтобы просмотреть ход, ширину, внутренний рельеф, сосуды туго заполняют контрастирующим раствором. В качестве рентгеноконтраста пользуются йодсодержащими водорастворимыми веществами (натрия амидотризоат, урографин) Входящий в состав препарата йод улучшает поглощение рентгеновского излучения. Перед процедурой выполняется обезболивание. Выбирается доступ через прокол бедренной или лучевой артерии. Вводится катетер, достигающий венечных сосудов. Используются катетеры разных модификаций дистального отдела. В нем имеется одно или несколько отверстий для подачи контраста, различается форма, количество изгибов. Сегодня чаще пользуются многослойными катетерами. Наружный слой пропитывается висмутом или барием, что обеспечивает рентгеноконтрастность приспособления. Дополнительно может использоваться интродьюсер – пластиковая трубка с клапаном, препятствующим обратному току крови и имеющая боковой инфузионный канал. Его гидрофильная поверхность при контакте с кровью становится гладкой, скользкой и облегчает проведение катетера, оберегая периферическую артерию от перфорации.
Бедренный доступ обычно более быстр, однако невозможен при окклюзии подвздошный артерий. Лучевой доступ проще, дает меньше осложнений в виде кровотечений, предпочтителен у тучных. Ему может препятствовать анатомическая извитость брахиоцефальных или самой лучевой артерии. После коронарографии и удаления интродьюсера на место сосудистого прокола накладывается давящая повязка с валиком. Постельный режим при лучевом доступе — порядка 2 часов, при бедренном – сутки. После того, как катетер расположен в пункте назначения, выполняются тесты на переносимость контраста, после чего следует заполнение им коронаров. В норме пациент ощущает лишь небольшое чувство жара в грудной клетке.
Обратите внимание
Если начинает чесаться кожа, горло, появляется ощущение нехватки воздуха, затруднение дыхания, следует незамедлительно проинформировать врача.
Современная коронароангиография возможна в трех вариациях.
- Общая предполагает снимки всей коронарной системы кровоснабжения. Требует госпитализации, несет максимальные риски при высокой информативности.
- Селективная (избирательная) прицельно направлена на определенные участки или артерию. Снижает лучевую нагрузку.
- Мультиспиральная компьютерная томография лучше определяет кальцинаты, атеросклеротические бляшки сосудистых стенок, стенозы, превышающие 50%. Преимуществами методики является возможность амбулаторного выполнения, оценки анатомическойго и функционального состояния миокарда, малая инвазивность.
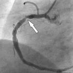
Что видит рентгенангиохирург
Врач устанавливает лучевую трубку в нескольких позициях. При этом пациента могут попросить задержать дыхание и не дышать, не двигаться, чтобы лучше получить изображение. Как делают снимки? Так как нужна детальная информация о всех сегментах коронарного русла, делается, как минимум две взаимно перпендикулярные проекции каждого участка. При этом важно, чтобы не было наложения изображений боковых ветвей. Для профилактики таких осложнений, как связанное с контрастом поражение почек, ишемия или нарушение ритма, избегают делать слишком много проекций, ограничивают разумными пределами время съемки. Подготовка, ход процедуры протоколируются врачом. В протоколе отражают и результаты обследования. Атеросклеротическая бляшка дает визуальный эффект песочных часов за счет нарушения заполнения контрастом сосуда.
При полной закупорке, ведущей, например, к инфаркту, ход артерии обрывается в виде пенька.

Противопоказания
Ситуаций, когда коронарография противопоказана совсем, не существует. Среди относительных противопоказинй выделяют.
- Аллергию на контраст,
- хроническую болезнь почек,
- острую недостаточность почек,
- кровотечение их желудка, 12-перстной кишки,
- свежую инфекцию,
- лихорадку неясного происхождения,
- инсульт,
- тяжелую анемию,
- устойчивые к лекарствам формы гипертонической болезни,
- неконтактный из-за нарушений ЦНС пациент,
- тяжелые электролитные нарушения,
- отравление препаратами наперстянки,
- заболевания сосудов, затрудняющие их катетеризацию,
- тяжелые нарушения свертываемости,
- эндокардит аортального клапана.
Вероятные осложнения и последствия коронарографии сердца
Последствия, которые несет коронарография, во многом зависят от того, насколько четко проведена подготовка к исследованию, учтены аллергические реакции пациента, адекватно выбраны доступ и продолжительность процедуры. Обычно это безопасное обследование. Осложняется не более 2% всех диагностических манипуляций. Самыми частыми негативными последствиями можно считать аллергию на урографин и проблемы в месте сосудистого доступа: кровотечение, гематомы, диссекция, тромбоз, аневризма периферической артерии, ее ветвей. Более тяжелыми последствиями можно считать связанную с контрастом нефропатию, поражения щитовидной железы. Инсульт, инфаркт, тяжелые расстройства ритма развиваются не чаще 1 случая на 1000 пациентов. Летальность от процедуры не превышает 1 на 1500.
Таким образом, коронароангиография – незаменимое диагностическое средство, помогающее кардиологам и ангиохирургам не ошибиться в выборе, а людям с кардиальными патологиями – повысить качество жизни.
Постнова Мария, врач-терапевт, медицинский обозреватель
Вопрос-ответ
Какие последствия могут быть после проведения коронарографии?
Аллергическая реакция на контрастное вещество, нарушение сердечного ритма, боль в груди или одышка, покраснение, болезненные ощущения, сильная припухлость, кровоподтеки, кровотечение в области прокола, повышение температуры тела, изменение цвета конечности, через которую вводили катетер.
Что такое коронарография и опасно ли это?
Коронарография — рентгеноконтрастный метод исследования, который является наиболее точным и достоверным способом диагностики ишемической болезни сердца (ИБС), позволяя точно определить характер, место и степень сужения коронарной артерии, патологические изменения, окклюзии.
Сколько держат в больнице после коронарографии?
После коронарографии в случае отсутствия осложнений вас могут выписать домой в тот же день, либо на следующий день по усмотрению врача. Вы должны пить много жидкости, чтобы помочь организму избавиться от введенного рентгеноконтрастного препарата.
Сколько минут делается коронарография?
Коронарография выполняется в первой половине дня, натощак, и длится от 30 до 120 минут. Если исследование проводят амбулаторно, предварительной госпитализации не требуется, и пациент приходит утром сразу на коронарографию. В стационаре же госпитализация выполняется накануне.
Советы
СОВЕТ №1
Перед проведением коронарографии обязательно обсудите с врачом все ваши медицинские истории и текущие заболевания. Это поможет избежать возможных осложнений и позволит врачу выбрать наиболее подходящий метод исследования.
СОВЕТ №2
Убедитесь, что вы понимаете процесс коронарографии и что вас ожидает во время процедуры. Задавайте вопросы врачу, чтобы развеять все сомнения и страхи, связанные с исследованием.
СОВЕТ №3
После процедуры следуйте рекомендациям врача по восстановлению. Это может включать в себя ограничения в физической активности и контроль за состоянием здоровья в течение нескольких дней после исследования.
СОВЕТ №4
Не забывайте о важности регулярных обследований и профилактических мер для поддержания здоровья сердца. Обсуждайте с врачом возможные изменения в образе жизни, которые могут снизить риск сердечно-сосудистых заболеваний.


