Зачатки временных зубов формируются еще в эмбриональном периоде развития. Ряд внешних факторов может стать причиной гипоплазии — нарушений развития эмали, одним из которых являются тетрациклиновые зубы.
Почему формируются тетрациклиновые зубы?
Если мать в третьем триместре беременности принимала даже незначительные дозы антибактериальных препаратов тетрациклинового ряда, то зубы малыша, формировавшиеся на тот момент приобретают неестественный оттенок – от желтоватого до коричневого.
Антибиотики данной группы назначаются для лечения:
- инфекционных патологий кожи;
- инфекций органов зрения;
- бактериальных поражений дыхательных путей (в т. ч. воспаления легких);
- длительно незаживающих язв инфекционной этиологии;
- болезней мочевыводящих путей;
- холеры.
Важно
Вещества этой категории способны проникать через гематоплацентарный барьер, и воздействовать на организм плода.
Тетрациклин обнаруживается в грудном молоке, поэтому у грудничков, начиная с 6-месясного возраста, также отмечается патологическое окрашивание эмали, если они еще находятся на естественном вскармливании. Антибиотик способен нарушать синтез некоторых белков, что влияет на развитие твердых тканей зуба. Его молекулы образуют связи с кальцием, образуя ортофосфат тетрациклина.
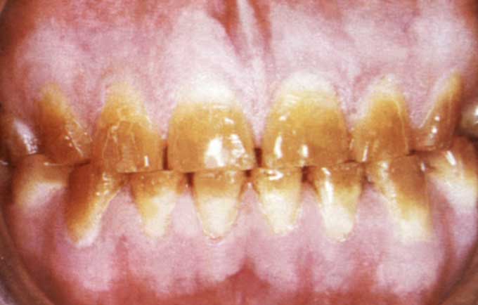
Данная разновидность гипоплазии эмали считается системной, поскольку пигментации подвергаются все поверхности зубов.
Врачи отмечают, что лечение и отбеливание тетрациклиновых зубов представляет собой сложную задачу. Тетрациклин, применяемый в детском возрасте, может вызывать стойкие изменения цвета эмали, что приводит к появлению серых или коричневых пятен. Специалисты рекомендуют начинать с профессиональной чистки и диагностики состояния зубов. В некоторых случаях эффективным решением может стать использование композитных материалов для маскировки дефектов. Однако, для достижения более заметного результата, врачи советуют рассмотреть возможность применения отбеливающих процедур, таких как лазерное или химическое отбеливание. Важно учитывать, что такие методы могут быть не всегда эффективны, и результат зависит от степени изменения цвета. Поэтому перед началом лечения необходимо проконсультироваться с опытным стоматологом, который сможет предложить индивидуальный подход и оптимальные решения для каждого пациента.

От чего зависит степень пигментации?
На степень интенсивности окрашивания эмали влияют дозы, продолжительность курсового приема и вид попавшего в организм антибиотика:
- Небольшие дозы приводят к желтому, серому или коричневому окрашиванию;
- Значительные дозировки становятся причиной недоразвития эмали и появлению хорошо заметных при осмотре поперечных полос;
- Окситетрациклин вызывает менее заметные изменения, а прием диметилхлортетрациклина изменяет пигментацию очень интенсивно.
Обратите внимание
Отмечено, что под влиянием солнечного ультрафиолета тетрациклиновые зубы меняют окраску на темно-коричневую или насыщенно-серую.
Описаны случаи, когда продолжительная антибиотикотерапия данным препаратом приводила к пигментации постоянных зубов. Детям до полного формирования зачатков постоянных зубов (12-14 лет) тетрациклин не назначается!
Диагностика
Если у специалиста возникает подозрение на наличие у ребенка такой формы гипоплазии, как тетрациклиновые зубы, он в первую очередь проводит подробный сбор анамнеза, т. е выясняет – не попадал ли антибиотик в организм маленького пациента.
Эффективным методом диагностики является осмотр зубов под ультрафиолетовыми лучами. Тетрациклиновые зубы могут принимать зеленый или голубоватый оттенок, т. е. флуоресцировать. Данный способ помогает при дифференциальной диагностике также вызывающей пигментацию зубов гемолитической болезни новорожденных.
Чаще всего окрашена лишь часть коронки (пришеечная часть), но при высокой концентрации антибактериального средства пигментация имеет хаотичный характер.
При ярко выраженных полосах в сочетании с коричневой пигментацией дополнительная диагностика обычно не требуется.
Лечение и отбеливание тетрациклиновых зубов вызывает множество мнений и обсуждений. Многие пациенты, столкнувшиеся с этой проблемой, отмечают, что тетрациклиновые зубы имеют характерный серо-коричневый оттенок, который сложно скрыть. Некоторые люди пробуют различные методы отбеливания, включая профессиональные процедуры у стоматологов, но не всегда достигают желаемого результата.
Стоматологи советуют подходить к лечению индивидуально, так как эффективность отбеливания может варьироваться. Важно учитывать, что некоторые методы могут быть агрессивными и повредить эмаль. Многие пациенты также делятся положительным опытом использования виниров или коронок, которые не только скрывают цвет, но и придают зубам эстетичный вид.
Тем не менее, существует и мнение, что лучше всего обратиться к специалисту, который поможет выбрать наиболее подходящий вариант лечения, учитывая состояние зубов и здоровье пациента.

Помогает ли отбеливание при тетрациклиновых зубах?
Отбеливание эффективно только в том случае, если пигментация эмали равномерная и не очень яркая. Перед процедурой обязательно осуществляется реминерализация, поскольку любой отбеливающий состав негативно влияет на прочность эмали. Для укрепления эмали используются такие элементы, как фтор, кальций и фосфор. Их наносят на поверхность посредством аппликаций или прибегают к физиопроцедурам – электро- или фонофорезу (от 15 до 20 процедур).
Тип и продолжительность отбеливающих процедур определяется стоматологом строго индивидуально. Незначительное окрашивание позволяет осветлить эмаль на дому с помощью специальных паст. При более интенсивной пигментации рекомендована чистка с помощью ультразвуковой установки, позволяющая добиться отбеливания на 1-2 тона.
Наиболее эффективными и современными методиками являются лазерное отбеливание и Zoom-процедуры. Они способствуют осветлению твердых тканей зубов сразу на 8-12 тонов, т. е. в ряде случаев привести зубы малыша в норму.
Если пигментация чрезмерно ярко выражена, а стандартные процедуры осветления оказываются неэффективными, то с целью улучшения эстетических характеристик ребенку или подростку может быть показана установка виниров – керамических пластин, прикрывающих вестибулярную поверхность зуба.
Профилактика
Данная патология относится к числу довольно сложных, и сама по себе не проходит.
Во избежание формирования тетрациклиновых зубов беременным и кормящим женщинам, а также детям до 12 лет не рекомендуется назначение антибиотиков тетрациклинового ряда, за исключением случаев, когда речь идет о жизненно важных причинах.
Плисов Владимир, стоматолог, медицинский обозреватель

Вопрос-ответ
Можно ли отбелить тетрациклиновые зубы?
Такой цвет невозможно устранить чисткой зубов отбеливающими пастами. Данная патология называется тетрациклиновые зубы. Аномалия является следствием приема будущей мамы антибиотиков тетрациклинового ряда или же следствием лечения маленького ребенка тетрациклином.
Как отбелить зубы, потемневшие от тетрациклина?
Поскольку зубы, окрашенные тетрациклином, требуют более длительного воздействия отбеливающего агента, ваш врач порекомендует отбеливающий гель с 10% перекисью карбамида . Перекись карбамида остается «активной» дольше, что означает, что вы можете получить отличные результаты.
Как тетрациклин влияет на зубы?
Тетрациклиновые зубы — это разновидность системной гипоплазии зубной эмали, которая также известна как дисколорит. Проявляется в окрашивании зубов в серый, жёлтый, коричневый, реже — в бурый оттенок вследствие приёма антибиотиков тетрациклиновой группы (откуда и название патологии).
Как убрать тетрациклиновые зубы?
При лечении тетрациклиновых зубов может использоваться усиленная реминерализация – в виде серии аппликаций с применением раствором глюконата кальция и фторида натрия. Чтобы минералы лучше усвоились, возможно использование электрофореза и фонофореза.
Советы
СОВЕТ №1
Перед началом лечения тетрациклиновых зубов обязательно проконсультируйтесь с опытным стоматологом. Он поможет определить степень изменения цвета зубов и предложит наиболее подходящие методы отбеливания, учитывая индивидуальные особенности вашего случая.
СОВЕТ №2
Рассмотрите возможность профессионального отбеливания в стоматологической клинике. Процедуры, такие как лазерное или фотобеление, могут быть более эффективными для удаления стойких пятен, чем домашние средства.
СОВЕТ №3
Не забывайте о поддерживающей гигиене полости рта. Используйте зубные пасты, содержащие фтор и специальные отбеливающие компоненты, а также регулярно посещайте стоматолога для профилактических осмотров и чисток.
СОВЕТ №4
Избегайте продуктов и напитков, которые могут ухудшить состояние зубов, таких как кофе, чай, красное вино и курение. Это поможет сохранить результаты отбеливания и улучшить общее состояние зубов.


