Микоплазмы — самые маленькие из известных свободно живущих форм жизни. Они почти повсеместно распространены как в растительном, так и в животном царстве как патогенные объекты. Они похожи на микробы, но лишены клеточной стенки. Тем не менее, они имеют уникальную клеточную мембрану, которая содержит стерины, которых нет ни в бактериях, ни в вирусах. Заражение микоплазмой грозит ребенку развитием различных вариантов инфекции, в зависимости от поражения того или иного органа. Сложности возникают в их выявлении, постановке правильного диагноза и лечении, так как микоплазменная инфекция у детей проявляется особым образом.
Общие данные о микоплазме
Когда они были впервые обнаружены, микоплазменные организмы считались вирусами, потому что они проходят через фильтры, которые задерживают бактерии. Однако, в отличие от вирусов, они способны расти в бесклеточной среде и содержат как РНК, так и ДНК.
Микоплазмы вызывают инфекцию преимущественно как внеклеточные паразиты, прикрепляясь к поверхности мерцательных и эпителиальных клеток дыхательных и половых путей. На них реагирует иммунная система, формируя антитела, но полностью они не уничтожаются. Микоплазмы могут вызывать прямое повреждение эпителиальных клеток и воспалительный ответ, опосредованный мононуклеарными клетками или реакциями антиген-антитело.
Mycoplasma pneumoniae является одним из немногих видов микоплазм, вызывающих заболевания человека. Заболевания ограничены дыхательными путями; однако респираторные инфекции M. pneumoniae также связаны с различными внелегочными проявлениями. Механизм внелегочных осложнений неизвестен, но считается, что он является реакцией иммунитета. Системное распространение бактерии встречается редко. Половые микоплазмы связаны с многочисленными заболеваниями мочеполового тракта и репродуктивных органов, но также могут вызывать инфекции в других местах.
К ним относятся Mycoplasma hominis, Mycoplasma fermentans, Mycoplasma genitalium, Ureaplasma, они передаются половым путем. Частота колонизации для видов M. hominis и Ureaplasma составляет 20-50% и 40-50% соответственно. Эти организмы провоцируют многочисленные заболевания мочеполового тракта и репродуктивные расстройства. Они могут быть связаны с преждевременными родами и инфекциями у глубоко недоношенных новорожденных.
Микоплазма у детей является актуальной темой для врачей, поскольку инфекция может проявляться разнообразными симптомами, такими как кашель, высокая температура, усталость и затрудненное дыхание. Врачи отмечают, что микоплазменные инфекции часто имеют легкое течение, однако могут приводить к серьезным осложнениям, если не начать лечение вовремя. Важно, чтобы родители обращали внимание на состояние ребенка и при появлении первых признаков заболевания консультировались со специалистами. Лечение обычно включает антибиотики, которые эффективно борются с микоплазмами. Врачи подчеркивают, что самолечение недопустимо, так как неправильный выбор препаратов может усугубить ситуацию. Регулярные обследования и профилактика также играют ключевую роль в предотвращении распространения инфекции.

Особенности микоплазменных инфекций
Болезнь распространяется по всему миру, независимо от времени года. Атипичные организмы, такие как M. pneumoniae, провоцируют до 40% случаев внебольничной пневмонии. Заболеваемость может быть намного выше, потому что большинство случаев принимаются за ОРВИ и лечатся дома.
Большинство инфекций M. pneumoniae приводят к клинически выраженному заболеванию верхних дыхательных путей. Симптомы включают фарингит, кашель, головную боль, озноб и миалгию (боль в мышцах). У 10% маленьких пациентов (при этом показатель зависит от возраста), инфекция прогрессирует до трахеобронхита или пневмонии и обычно не распространяется за пределы дыхательной системы. Плеврит (обычно незначительный) встречается у 5-20% пациентов. M.pneumoniae активно участвует в развитии астмы, что приводит к периодическим и хроническим хрипам у некоторых детей.
Кроме того, M. pneumoniae также могут вызывать дерматологические патологии (25%) и поражения ЦНС (1-10%), хотя также сообщалось о сердечных, скелетно-мышечных, гематологических и желудочно-кишечных симптомах. Дети с ослабленным иммунитетом, в том числе с гуморальным иммунодефицитом, чаще имеют осложнения. У детей с серповидно-клеточной анемией микоплазменная инфекция может быть тяжелой, с острой дыхательной недостаточностью.
Обратите внимание
Необычно тяжелая инфекция M. pneumoniae была также отмечена у детей с синдромом Дауна, особенно с врожденным пороком сердца.
Распространенность у детей
У детей младше 3 лет развивается инфекция верхних дыхательных путей. Инфекция M. pneumoniae на первом году жизни бывает редко; однако у новорожденных это может вызвать тяжелые респираторные заболевания и внелегочные поражения. Инфекция M. pneumoniae часто встречается у детей школьного возраста и подростков, причем самый высокий уровень инфекции наблюдается у малышей в возрасте 5–9 лет, у которых наблюдается тенденция к развитию бронхита и пневмонии. Колонизация младенцев генитальными видами микоплазм обычно происходит во время прохождения через инфицированный родовой канал, и генитальные микоплазменные организмы были выделены из верхних дыхательных путей у 15% младенцев. Колонизация обычно длится не более 2 лет.
Микоплазма у детей вызывает много вопросов у родителей, поскольку симптомы могут быть неочевидными. Часто наблюдаются кашель, затрудненное дыхание, высокая температура и общее недомогание. Эти проявления могут напоминать обычную простуду, что усложняет диагностику. Важно помнить, что микоплазменная инфекция может привести к более серьезным осложнениям, если не начать лечение вовремя. Врач может назначить антибиотики, которые эффективны против этого возбудителя. Также рекомендуется поддерживать иммунитет ребенка с помощью витаминов и сбалансированного питания. Регулярные осмотры у педиатра помогут выявить инфекцию на ранних стадиях и избежать осложнений. Родителям стоит быть внимательными к изменениям в состоянии здоровья детей и не игнорировать симптомы.

Симптомы микоплазмы у детей
Симптомы инфекции Mycoplasma pneumoniae часто неспецифичны. Начало обычно похоже на ОРВИ, с жаром, недомоганием, головной болью и кашлем. Кашель является отличительной чертой инфекции М. pneumoniae. Частота и тяжесть кашля могут увеличиться в течение нескольких дней после начала заболевания, влажный кашель может быть длительным. У пациентов, у которых инфекция прогрессирует до заболевания нижних дыхательных путей, симптомы сохраняются и ухудшаются, кашель становится сильнее. В некоторых случаях в результате повреждения слизистых может присутствовать белая или с прожилками крови мокрота и боль в груди. Средний отит и синусит встречаются редко. Постинфекционный бронхит может сохраняться неделями. Инфекция M. pneumoniae может осложнять астму и усугублять хроническую обструктивную болезнь легких. На фоне микоплазменной инфекции может впервые обостриться астма.
Заражение генитальными микоплазмами может иметь различные проявления, в том числе со жгучей болью при мочеиспускании (негонококковый уретрит); болью внизу живота, лихорадкой и ознобом (наводящим на мысль о пиелонефрите). У девочек могут быть выделения из влагалища; симптомы воспаления тазовых органов, лихорадка. У новорожденных могут быть симптомы кашля, менингита или абсцесса мозга.
Пациенты с инфекцией M. pneumoniae обычно не кажутся больными, и болезнь часто называют «ходячей пневмонией». Глотка может быть красной, но лимфоузлы не увеличены. Прослушивание грудной клетки и легких выявляет небольшие отклонения. Отличительная черта микоплазменной пневмонии — это несоответствие между физическими данными (относительно немного) и рентгенографическими данными о пневмонии. Может возникнуть одышка, особенно у детей с астмой. Редко может возникнуть молниеносная пневмония с дыхательной недостаточностью.
Физические признаки генитальной микоплазменной инфекции варьируют в зависимости от типа инфекции. У новорожденных, особенно недоношенных детей, могут отмечаться свистящее дыхание, синева вокруг рта и дыхательная недостаточность или признаки менингита/абсцесса мозга (например, судороги, летаргия, крики и плач).
Внелегочные проявления микоплазменной инфекции могут включать следующее:
- красную сыпь в виде мелких бугорков;
- красные пятна;
- мелкие пузырьки по телу;
- синдром Стивенса-Джонсона (с или без классических поражений кожи);
- крапивницу — феномен Рейно.
Возможны сердечные проявления в виде аритмии или нарушения ЭКГ (дефекты проводимости), перикардит, миокардит, эндокардит. В редких случаях инфекция приводит к менингиту или энцефалиту, острому артриту, панцитопении.
Дифференциальный диагноз
Микоплазменную инфекцию у детей нужно отличать от таких заболеваний, как:
- Хламидиоз (хламидийные инфекции мочеполовой системы).
- Грипп.
- Легионеллезная инфекция.
- Вирус парагриппа.
- Ку-лихорадка.
- Респираторно-синцитиальная вирусная инфекция.
- Риновирусная инфекция.
- Риккетсиальная инфекция.

Методы диагностики микоплазмы у детей
Диагностические тесты на M. pneumoniae наиболее полезны у госпитализированных детей, которые могут подвергаться риску возникновения молниеносной болезни легких и осложнений внелегочной инфекции. Основу составляют анализы крови и антитела к микоплазме.
Важно
Посевы не помогают выявить инфекцию, так как микоплазма плохо растет на питательных средах.
ИФА используется для выявления иммуноглобулина М (IgM) и иммуноглобулина G (IgG), направленных против M. pneumoniae. Специфичность превышает 99%, а чувствительность составляет 98%, когда получены оба результата. Результат IgM может быть отрицательным на раннем этапе (через 7-10 дней) и может не помочь при проведении начальной терапии.
Анализ с помощью полимеразной цепной реакции (ПЦР) выявляет ДНК микоплазмы. Этот анализ выявляет ее раньше всего.
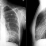
Рентгенограмма грудной клетки выявляет характерные особенности инфекции M. pneumoniae: двустороннее поражение легких, мультифокальное или диффузное затемнение и ретикулярные инфильтраты. В редких случаях плевральные выпоты могут накладываться на паренхиматозные заболевания.
КТ с высоким разрешением может выявить поражение долей и интерстициальные нарушения при пневмонии М. pneumoniae лучше, чем рентгенография грудной клетки. Однако компьютерная томография с высоким разрешением дороже, и облучение увеличивается.
Важно
КТ с высоким разрешением обычно не проводится при плановом обследовании детей.
Методы лечениямикоплазмы у детей
Микоплазменная инфекция у детей лечится на дому, только при тяжелых ситуациях детей кладут в больницу. Обычно применяемые антибиотики – пенициллины и цефалоспорины не эффективны. Макролиды являются препаратами выбора. Тетрациклины могут использоваться у пациентов старше 8 лет. Фторхинолоны могут быть рассмотрены после 12 лет, если макролиды или тетрациклины не являются подходящими из-за аллергии.
Реакция на терапию, как правило, отличная, ребенок быстро выздоравливает при полном курсе лечения. Дальнейшая стационарная помощь пациентам с микоплазменными инфекциями обычно необходима только в том случае, если возникают тяжелая пневмония или внелегочные осложнения.
Парецкая Алена, врач, медицинский обозреватель
Вопрос-ответ
Как понять, что у ребенка микоплазма?
Повышение температуры тела до субфебрильных, реже – фебрильных значений, ломота в теле, слабость, головная боль, реже – боли в животе, тошнота, рвота, нарушения стула.
Чем лечат микоплазменную инфекцию у детей?
Основным в лечении микоплазменной инфекции является антибиотикотерапия. Но какой антибиотик, длительность приема и дозировка определяется только врачом. Специфической профилактики микоплазмоза в настоящее время нет, необходимо соблюдение общепринятых санитарно-гигиенических противоэпидемических мероприятий.
Какой кашель при микоплазме?
При микоплазменных поражениях верхних дыхательных путей отмечается сухой мучительный кашель, боль в горле, ринорея.
Как протекает микоплазменная пневмония у детей?
Пневмония, вызываемая Mycoplasma pneumoniae, нередко маскируется под обычную простуду – повышается температура, нарастает общая слабость, появляются насморк, боль в горле. К концу первой-второй недели появляется малопродуктивный кашель с трудно отделяемой мокротой.
Советы
СОВЕТ №1
Обратите внимание на симптомы. Микоплазменная инфекция может проявляться различными симптомами, такими как кашель, затрудненное дыхание, высокая температура и общая слабость. При их появлении важно своевременно обратиться к врачу для диагностики и назначения лечения.
СОВЕТ №2
Не занимайтесь самолечением. Если у вашего ребенка подозревается микоплазма, избегайте самостоятельного назначения антибиотиков или других препаратов. Лечение должно быть основано на результатах анализов и рекомендациях специалиста.
СОВЕТ №3
Следите за гигиеной. Микоплазменные инфекции могут передаваться от человека к человеку, поэтому важно соблюдать правила личной гигиены, такие как регулярное мытье рук и использование масок в общественных местах, особенно в период эпидемий.
СОВЕТ №4
Поддерживайте иммунитет ребенка. Убедитесь, что ваш ребенок получает достаточное количество витаминов и минералов, а также придерживается здорового образа жизни. Это поможет укрепить иммунную систему и снизить риск инфекций.

