Самым надежным, доступным, информативным и относительно дешевым методом подтверждения беременности является ультразвуковая диагностика. Ультразвук считается безопасным как для материнского организма, так и для эмбриона. Для будущей матери особенно важно знать, когда на УЗИ видно беременность и что представляет из себя эмбрион на мониторе аппарата.
Критерии беременности
В медицине все критерии беременности подразделяются на три условные группы:
- Предположительные. Признаки этой группы не являются подтверждением беременности, а могут только навести на мысли о ней, а в некоторых случаях являются симптомами предменструального синдрома или какого-либо заболевания. К ним относят утреннюю тошноту, иногда с присоединением рвоты, эмоциональную нестабильность, извращение вкуса, обоняния и появление ранее не характерных пристрастий в пище.
- Вероятные. Они в большей степени указывают на наличие беременности, но при этом также могут встречаться при разнообразных заболеваниях. В первую очередь это задержка менструаций, особенно более, чем на 10 дней. Также к ним относится появление пигментаций на половых губах, срединной линии живота и на внутренней стороне бедер, положительный результат теста на беременность. Наблюдается нагрубание молочных желез и в редких случаях – выделение из них молозива. Возможно появление учащенного мочеиспускания и увеличение матки в размерах, которое зарегистрировать может только врач-гинеколог.
- Достоверные. В их число входит беременность на УЗИ (визуализация эмбриона и увеличенной матки) и пальпация частей плода (спинка, головка, конечности) во время общего гинекологического осмотра. Бывали случаи, когда женщина обращалась в женскую консультацию только после ощущения «шевеления» плода в утробе.
Когда делать УЗИ на беременность
В идеале беременность на ранних сроках подтверждается с помощью положительного теста, осмотра врача-гинеколога и высокого уровня хорионического гонадотропина в периферической крови. При этом первое УЗИ для определения беременности, вернее, для уточнения ее срока и диагностики состояния плода, проводится лишь на 11-13-й неделе (первый скрининг).
Распространенные показания к раннему ультрасонографическому исследованию:
- Тест показывает беременность при условии в анамнезе эктопической локализации эмбриона. Увидеть внематочную беременность с помощью трансвагинального метода УЗ-диагностики можно лишь на пятой неделе, а при использовании трансабдоминального способа – не ранее 7-8-й недели.
- Наличие длительной задержки менструации и отрицательного теста на беременность.
- Когда врач во время осмотра и с помощью уровня ХГЧ подтверждает беременность, а у женщины в анамнезе заболеваний есть фибромиома матки, киста яичника или другая серьезная патология репродуктивной системы. В таком случае диагностика проводится не только с целью подтверждения наличия плодного яйца, но и для определения степени тяжести заболевания.
- Также на ранних сроках проводится УЗИ для подтверждения беременности после ЭКО. Обычно процедура назначается на 21-й день после подсаживания эмбрионов.
Сроки определения беременности
Определение нормальной беременности по УЗИ требует наличия ряда факторов. Во-первых, должно пройти как минимум две-три недели после зачатия, чтобы эмбриональный бугорок достаточно сформировался и имел размеры, видимые с помощью ультразвука.
Во-вторых, женщина не должна иметь воспалительных изменений в полости матки, так как они приводят к отеку ее слизистой оболочки, что в значительной степени ухудшает визуализацию плодного яйца.
В-третьих, обследование должно проводится врачом-сонологом, специализирующимся на акушерстве и только на ультразвуковом сканере с высоким разрешением.
Таким образом, целесообразно процедуру назначать тогда, когда видно плодное яйцо на УЗИ, то есть на 7-8-й день задержки или спустя три недели после зачатия. Однако наиболее информативно диагностировать беременность с помощью трансвагинальной эхографии через 10 дней задержки менструаций.
Иногда выполняется УЗИ всего на 2-й неделе беременности, когда эмбрион представлен маленьким диском, не превышающим 2 мм в диаметре. Такое маленькое плодное яйцо видит только высокочувствительный аппарат и высококвалифицированный специалист.
Первое сердцебиение плода можно прослушать уже на сроке в 7-8 недель. Однако и это зависит от продолжительности менструального периода, а также от того, на какой день цикла была овуляция и через какое время произошла имплантация зиготы.
Почему УЗИ не показывает беременность
Многих женщин волнует, может ли УЗИ не показать беременность. Существует ряд причин «отсутствия» плодного яйца в матке:
- Слишком маленький эмбрион. Большое количество женщин имеют нерегулярный менструальный цикл, поэтому точно не знают день овуляции. В таком случае сложно подсчитать срок предполагаемой беременности.
- Также УЗИ не показывает беременность в том случае, если плодное яйцо закрепилось в фаллопиевой трубе, в шейке матки или на мочевом пузыре. Сама матка будет увеличена, однако толщина эндометрия останется практически неизменной, что и будет указывать на отсутствие эмбриона в положенном месте.
- Немаловажную роль играет фирма и чувствительность УЗ-аппарата, так как не каждый из них способен увидеть плодное яйцо маленьких размеров. Не стоит забывать и об опыте врача, который может поспособствовать «пропуску» беременности на ранней ее стадии.
- Иногда на УЗИ-диагностике не видно плодного яйца из-за аномалий строения матки либо вследствие расположения эмбриона на ее задней стенке. Возможны погрешности в диагностике из-за воспаления эндометрия.
Эхокартина плодного яйца
УЗИ диагностика беременности предполагает обнаружение плодного яйца в полости матки. В норме на 5-6-й неделе оно имеет вид каплевидного или округлого эхонегативного образования, окруженного по всей периферии гиперэхогенным валиком, диаметром в 6 мм. При этом на ранних сроках эмбрион ежедневно в среднем увеличивается на 1 миллиметр.
К 6-7-й неделе плодное яйцо практически полностью заполняет маточную полость и при продольном сканировании имеет овальную форму, а при поперечном – округлую.
Также врачу важно найти желточный мешок, который лучше всего визуализируется на 8-й неделе (5 мм) и представлен округлой формой с жидкостным содержимым. Эмбрион же определяется как утолщение его краев, поэтому на мониторе виден «двойной пузырек».
Неблагоприятным признаком считается отсутствие желточного мешка при диаметре эмбриона в 10-11 мм, так как это является критерием угрозы самопроизвольного выкидыша. О гибели зародыша говорит пустое плодное яйцо в диаметре от 16-17 мм, деформированные плодные оболочки и неровные границы децидуального мешочка.
Виды УЗ-диагностики
Далее рассмотрим ,какое УЗИ определяет беременность наиболее точно. Если речь идет о малых сроках предполагаемой беременности, то целесообразно назначить трансвагинальную эхографию, при которой чувствительный датчик вводится непосредственно во влагалищную полость и располагается вблизи матки. Такой способ выявляет зародыш уже на 3-5-недельном сроке.
Подготовка к трансвагинальному обследованию заключается в гигиене наружных гениталий и в соблюдении диеты (2-3 дня). Чтобы предупредить вздутие кишечника, которое может исказить картину, из рациона питания женщины исключаются все бобовые культуры, газированная вода, хлебобулочные изделия, рис и свежие овощи. Мочевой пузырь должен оставаться пустым.
Трансабдоминальную ультрасонографию целесообразно проводить уже в 7-8 условных недель, так как на более ранних сроках этот метод может оказаться малоинформативным. При подготовке также соблюдаются диетические рекомендации, но в день исследования наполняется мочевой пузырь (выпивается примерно 1 л негазированной воды за час до процедуры).
Таким образом, идти на ультразвуковую диагностику рекомендуется не ранее, чем через 10-14 дней задержки, после осмотра врача и сдачи крови на уровень хорионического гонадотропина.
Как часто и на каких сроках делают УЗИ при беременности?
Всего 40-50 лет назад наши бабушки и не мечтали увидеть малыша до того, как он появится на свет. Теперь же периодические свидания с пузожителем – привычное дело. Хотя польза от проведения ультразвукового исследования очевидна, до сих пор не умолкают споры о его опасности или неопасности по отношению к малышу, находящемуся в утробе.
Что такое УЗИ?
Узи представляет собой метод исследования внутренних органов и тканей. Проводится оно с помощью УЗИ-аппарата, оборудованного специальным датчиком и монитором. Датчик называется трансдюсером.
Он, соприкасаясь с кожей живота беременной, производит колебания (звуковые волны), которые направляет вглубь тела.
УЗИ бывает двухмерным, трехмерным и четырехмерным. Какая между ними разница? При двухмерном УЗИ на мониторе видны лишь неясные очертания плода в черно-белых тонах. Благодаря трехмерному УЗИ врач сможет увидеть объемное цветное изображение, детально рассмотреть органы и системы малыша. Четырехмерное УЗИ позволяет увидеть движения плода.
Данная процедура абсолютно безболезненная и не создает какого-либо дискомфорта.
Для чего делают УЗИ во время беременности?
Проведение исследования с помощью ультразвука обусловлено не прихотями будущих родителей, а острой необходимостью в диагностике разнообразных отклонений развития ребенка, проблем протекания самой беременности.
Собственно, первое УЗИ сможет подтвердить беременность на ранних сроках, установить наличие плодного яйца (иногда целых два, а то и три), определить точный срок беременности. Очень ценным является этот метод при наличии внематочной беременности. Ведь, если диагностировать ее на ранних сроках, можно избежать хирургической операции.
Более того, на более поздних сроках ультразвук позволяет увидеть, существуют ли патологии. К ним относят отслоение плаценты, угрозу самопроизвольного аборта, гипертонус матки.
Вовремя диагностированные патологии и, соответственно, принятые меры позволят сохранить беременность и родить здорового малыша. Также УЗИ позволяет выявить пороки развития плода.
Иногда их можно вылечить, а иногда, к сожалению, женщине будет предложено прервать беременность.
Накануне родов УЗИ позволит узнать некоторые нюансы, от которых будет зависеть как течение самого процесса, так и поведение врачей. Помните, только этот метод может с точностью в 100% сказать, есть ли обвитие пуповиной. А это очень важно, поскольку грозит осложнениями родового процесса, а иногда и создает опасность здоровью, или даже жизни, малыша.
Не стоит пренебрегать процедурой, если до этого у вас уже были беременности, которые закончились неудачно (выкидыши, замершая беременность) или же, если в семье есть серьезно больные (например, с синдромом Дауна).
Когда делают первое узи при беременности?
Направление на первое УЗИ при беременности женщина обычно получается на 12-13 неделе беременности. Этот ранний метод исследования необыкновенно важен: с его помощью врач сможет оценить первичное формирование плода, дать оценку процессу закладки органов и систем.
В некоторых случаях первое УЗИ при беременности может проводиться раньше. Во-первых, для подтверждения наличия беременности, а также – для исключения факта беременности внематочной.
Подозрение на внематочную беременность требует обязательного исследования при помощи ультразвука – только таким образом будет возможность достоверно установить, действительно ли имеет место это патологическое состояние.
И только так будет возможность вовремя вмешаться в ситуацию и провести необходимую чистку, иначе серьезных последствий не избежать.
Причиной для более раннего проведения УЗИ могут послужить и тревожные симптомы в виде влагалищных кровотечений (или кровянистых выделений) и тянущих болей внизу живота. Такие симптомы с большой долей вероятности сигнализируют об угрозе прерывания беременности.
И, хоть исключительно только методом УЗИ определить, есть ли угроза выкидыша очень сложно, однако, посредством такого исследования можно узнать причину кровотечения.
Согласно результатам УЗИ врач сможет комплексно оценить ситуацию и дать женщине соответственные рекомендации.
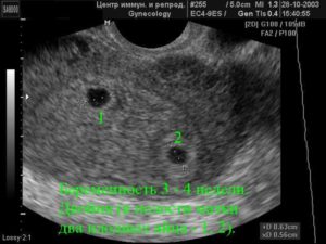
Возникает вопрос: на каком сроке УЗИ покажет беременность и есть ли смысл на 1-2 неделе задержки идти на обследование, чтобы уже окончательно определиться? Ответ – стоит: УЗИ способно показать беременность уже на сроках в 3-4 недели, а это как раз и есть те самые 1-2 недели задержки месячных.
Вот только не всегда, если УЗИ покажет плодное яйцо на самых ранних сроках, можно гарантировано говорить о наличии беременности. К сожалению, плодное яйцо может оказаться пустым и не содержать в себе эмбриона, и установить это будет возможно только с 5 недели беременности.
На каких сроках делают плановые УЗИ при беременности?
Если беременность протекает благоприятно и без каких-либо отклонений, за все время вынашивания ребеночка женщине будет назначено три плановых сеанса УЗИ. Первое УЗИ проводится в первом триместре, второе – во втором, третье, соответственно, – в третьем триместре. Плановое УЗИ при беременности позволяет оценить, все ли идет «по плану», а, при наличии подозрений, проводится повторно.
Первое плановое УЗИ служит методом диагностики беременности как таковой, позволяет определить, есть ли риски выкидыша, диагностировать «сбои» в развитии плода на самых ранних стадиях – когда происходит закладка всех жизненно-важных органов и систем и любое отклонение чревато развитием патологий.
Второе плановое УЗИ при беременности назначается во втором триместре с целью оценить развитие ребеночка, а вместе с тем – состояние плаценты. Кроме того, при проведении второго сеанса ультразвукового исследования обычно уже можно определить пол будущего ребеночка.
Третье плановое УЗИ приходится, как можно догадаться, на временной промежуток третьего триместра. На этом этапе традиционно исследуется степень развития ребеночка, состояние маточно-плацентарного кровотока и даже предлежание малыша.
Четко ответит на вопрос, когда делать УЗИ при беременности, специалист, который беременность ведет. Как правило, сроки выполнения УЗИ определяются следующим образом:
- первое УЗИ – 10-14 неделя. Определяется срок беременности и примерный срок родов, количество эмбрионов, оценивается тонус матки. Также исследуется состояние формирования плода, вероятность хромосомных аномалий и пороков развития, оценивается толщина шейной складки (воротниковой зоны) – одного из основных маркеров синдрома Дауна;
- второе УЗИ – 19-23 неделя. Определяется пол малыша, размер плода и соответствие этих показателей сроку беременности. Помимо того, что оценивается размер и темпы роста плода, есть возможность оценить и развитие внутренних органов малыша. Кроме того, изучается состояние плаценты, количество околоплодных вод, подтверждается отсутствие хромосомных аномалий;
- третье УЗИ – 32-36 неделя. Необходимо для диагностики поздних аномалий развития плода, которые не проявлялись ранее. Определяются размеры плода, еще раз уточняется дата предстоящих родов. Оценивается состояние плода и его положение перед родами, исключается возможность обвития пуповиной.
Вредно ли проведение УЗИ для плода при беременности?
Большинство представителей современной медицины в один голос уверяют, что УЗИ безопасно для плода и не вызывает эмбриотоксических эффектов. Их противники, представители разных сфер жизнедеятельности, в один голос заявляют о якобы чудовищных последствиях использования УЗИ-аппарата.
На самом деле, существует информация, что почти все «страшилки» очень преувеличены и не имеют под собой каких-либо серьезных доказательств. Да, УЗИ на самом деле вызывает небольшое нагревание клеток тела, но на состояние и здоровье плода это никак не влияет.
Связь же между использованием ультразвука и различными патологиями и аномалиями новорожденных не доказана.
Но если это жизненно необходимо – другой вопрос, ведь иногда 10 минут обследования спасают жизнь крохе. Неужели нужны еще какие-либо аргументы? Для тех, кого и это не убедило, сообщаем: доказано, что в течение получаса ультразвук безопасен и для малыша, и для мамы.
А излучение, которого так боятся противники УЗИ, на самом деле длится меньше минуты. Остальное время аппарат работает на прием.
Когда на УЗИ видно признаки беременности?
В настоящее время при первых подозрениях на беременность сразу же после аптечного теста на присутствие ХГЧ в моче женщины торопятся пройти ультразвуковое исследование, чтобы врач подтвердил признаки развивающейся беременности.
Всегда ли можно установить наличие беременности, поставить срок гестации и обнаружить аномалии в развитии плода на ранних сроках?
Какие виды УЗИ применяют для установления срока беременности
Для установления наличия и срока беременности врач проводит трансвагинальное УЗИ. Этот доступ позволяет лучше рассмотреть полость матки, достовернее измерить размер и оценить структуру плодного яйца.
Помимо визуализации самого плодного яйца врач обязательно оценивает все внутренние органы репродуктивной системы у женщины: матку, шейку, яичники, а также мочевой пузырь.
У худых женщин на ранних неделях плодное яйцо иногда бывает видно и с помощью трансабдоминального доступа.
Начиная с 11-12 недели беременности строение плода, срок беременности и признаки нормального развития оценивают обычно с помощью трансабдоминального УЗИ.
Как можно определить срок беременности по эхографическому исследованию?
На раннем сроке с 4 по 6 недели срок беременности устанавливают по диаметру плодного яйца. Для этого врач проводит измерение диаметра плодного яйца по его внутреннему контуру в 3 взаимоперпендикулярных плоскостях.
Нормальные значения копчиково-теменного размера (КТР) в зависимости от срока гестации (полные недели + дни), данные в миллиметрах, нижняя граница – 5-й перцентиль, верхняя граница – 95-й перцентиль.
На каждом определенном этапе развития в его строении появляются новые органы и структуры. Зная эти особенности врач может увидеть соответствует ли развитие плода возрастным нормам.
На какой день после задержки стоит делать УЗИ?
Трансвагинальное УЗИ покажет плодное яйцо в полости матки, когда наступят 4,5 – 5,0 недель беременности. Стоит отметить, что врачи считают продолжительность беременности с первого дня крайних месячных.
То есть не стоит сразу же торопиться на УЗИ, если задержка менструаций составляет 1 – 2 дня. Эхография может показать первые признаки гестации только спустя 3 – 5 суток задержки от даты ожидаемых месячных.
Почему врач УЗД может не видеть зародыш
Вполне частой ситуацией является когда тест на беременность положительный, и женщина в этот же день идет на УЗИ, но врач при этом не видит беременности в полости матки. Почему такое может быть?
Яйцеклетка оплодотворяется сперматозоидами в фаллопиевых трубах, и оплодотворенная постепенно продвигается по ним к матке в течение нескольких суток. Примерно к 4 неделе от первого дня последней менструации зародыш достигает полости матки и имплантируется в эндометрий.
У некоторых женщин овуляция и соответственно оплодотворение происходит позже середины цикла, поэтому и зародыш достигает полости матки немного позже. В таком случае на УЗИ можно еще не увидеть признаки плодного яйца в матке, хотя тест на беременность будет положительным. В этой ситуации врач назначает повторное УЗИ через 7-10 дней.
Другой уже опасной ситуацией, из-за какой зародыш может быть не видно, является внематочная беременность. Плодное яйцо может локализоваться в трубах, полости живота. И если его размеры малы, врач не сможет увидеть его с помощью ультразвука.
Когда уже можно увидеть плодное яйцо
Примерно спустя неделю после оплодотворения зародыш попадает в полость матки и начинает имплантироваться в ее слизистую оболочку – эндометрий.
В это время размеры плодного яйца пока еще очень малы, и разрешающая способность ультразвукового сканера не позволяет врачу увидеть признаки зародыша.
Через две с половиной недели после зачатия, то есть на четвертой – пятой акушерской неделе беременности, врач уже начинает видеть плодное яйцо в полости матки с помощью трансвагинального УЗИ.
Какие показатели используют для измерения на ранних неделях
В ранние сроки, как и при стандартном гинекологическом УЗИ, измеряют размеры матки, яичников, шейки матки.
Специфическими показатели, которые обязательно определяются в первом триместре являются:
- диаметр плодного яйца (с 4 по 6 неделю);
- копчико – теменной размер (с 7 по 14 неделю);
- диаметр желточного мешка;
- размер желтого тела в яичнике.
Какие бывают аномалии плодного яйца
В первые недели гестации по разным причинам могут возникать отклонения в созревании плодного яйца, которые в некоторых случаях приводят к угрозе или гибели плода.
Среди таких патологий с помощью ультразвукового обследования могут быть обнаружены следующие:
1. Аномалия прикрепления. В норме для благоприятного развития беременности зародыш должен имплантироваться в дне или средней трети полости матки. Если он прикрепляется в области нижней трети или внутреннего зева, то высок риск выкидыша.
2. Изменение формы плодного яйца. В норме оно имеет округлую конфигурацию. Вытянутая форма чаще всего является следствием повышенного тонуса матки и также угрожает выкидышем.
3. Инфицирование плодного яйца. Проявляется трансформацией его формы на круглую и появлением в его полости взвеси.
4. Неразвивающаяся беременность. Она проявляется прекращением роста зародыша, исчезновением или деформацией в нем желточного мешка после 6 недели, отсутствием эмбриона после 7 недели, отсутствием сердцебиения у эмбриона, отсутствием динамики развития при контрольном исследовании через 7 дней.
Причинами отсутствия развития могут быть гормональная недостаточность, инфекции половых путей, грубые хромосомные аномалии эмбриона и другие.
Эта аномалия является критерием неразвивающейся беременности, но требует контрольного исследования через несколько дней, так как в редких случаях здоровый эмбрион начинает визуализироваться позже положенного срока.
6. Трофобластическая болезнь. Характеризуется развитием доброкачественной опухоли внутри плодного яйца. Причиной такой аномалии чаще всего являются воспалительные изменения в эндометрии.
7. Многоводие. Это повышенное накопление околоплодных вод в амниотической полости. На ранних сроках оно может привести к отслойке плаценты и смерти эмбриона.
Польза раннего обследования
Ультразвуковое исследование является неотъемлемым методом диагностики, когда у акушера-гинеколога возникают подозрения на наличие у женщины каких-либо осложнений беременности. УЗИ помогает при подозрениях на внематочную беременность, угрозу прерывания, выкидыш, замершую беременность.
В ранние сроки с помощью УЗД устанавливают точный срок беременности, число плодов, их жизнеспособность и наличие грубых аномалий развития.
Ультразвуковая диагностика помогает врачам установить беременность всего спустя несколько дней от задержки менструаций, а также наблюдать за правильным развитием эмбриона с самых ранних сроков.
Тем не менее не стоит самостоятельно еженедельно посещать кабинет УЗИ.
Это исследование в первые месяцы беременности должно проводиться по показаниям на основании каких-либо жалоб у беременной или подозрении на нарушения в развитии беременности.
На каком сроке видно беременность на УЗИ?
На каких сроках видно беременность на УЗИ? Этот вопрос интересует многих, кто планируют рождение малыша.
Прочитав статью, вы сможете понять, на какой неделе УЗИ покажет беременность и какие еще есть способы ее определить и подтвердить.
Когда можно определить беременность?
Чаще всего у женщины появляется подозрение на беременность в связи с задержкой менструации.
Для этого необязательно знать дату своей овуляции либо день зачатия – достаточно понимания собственного цикла и дату последней менструации.
Именно от нее и будет вестись акушерский срок – это период от зачатия до родов.
На раннем сроке плод себя никак не проявляет: у некоторых могут возникнуть такие симптомы, как тошнота или усталость, однако непосредственно двигательная активность эмбриона может быть заметна только на 16 – 22 неделях.
После того как женщина заподозрила у себя беременность, ей нужно обратиться к гинекологу, который, с помощью осмотра сможет установить факт ее наличия или отсутствия.
На более позднем сроке наличие эмбриона можно будет установить и просто с помощью измерения окружности живота, а также высоты маточного дна.
УЗИ является одним из наиболее точных способов установления факта наличия плода, однако и его возможности несколько ограничены.
Дело в том, что непосредственно после оплодотворения яйцеклетку не видно ни на одном аппарате – впервые заметить наличие зародыша можно не менее чем через 5 дней после того, как была обнаружена задержка.
Однако в первом триместре эта процедура имеет свои нюансы. Например, провести УЗИ можно будет только трансвагинальным методом, когда датчик вводится внутрь, а не находится на стенке живота.
Это связано с тем, что в первые недели плод еще слишком мал, чтобы зафиксировать его внешним способом. Обычно этот способ используют, чтобы увидеть внематочную беременность – ее заметно.
Трансвагинальное УЗИ несет определенные риски, особенно, если у женщины наблюдаются такие симптомы, как кровяные выделения и боли, поэтому делают его только по показанию врача, например, чтобы установить внематочную беременность.
В остальных же случаях установить факт сможет обычный гинекологический осмотр.
Внематочную беременность любым УЗИ видно на сроке чуть более недели – 10 – 12 дней после зачатия, а вот для определения обычного расположения эмбриона придется подождать не менее, чем 3 недели.
Показания к раннему исследованию
Хотя УЗИ на раннем сроке может быть опасно, существует ряд показаний, при которых проведение его очень желательно. В первую очередь это возможность определить внематочную беременность.
Назначение на УЗИ дают только после гинекологического осмотра, если к тому есть показания.
Также с помощью процедуры будет видно, где конкретно находится плодное яйцо, что в некоторых случаях является важным для врача.
Иногда УЗИ назначают, если женщина обнаружила задержку, но тест отрицательный.
В этом случае процедура необходима, чтобы выявить возможное наличие проблем, например, кисты яичников или фибромиомы матки.
УЗИ, проведенное в первые недели, поможет более точно установить срок беременности и сделать расчет ее длительности.
Эту информацию врач получает с помощью замеров родового яйца – на этом сроке у плода еще нет никаких индивидуальных черт и вычислить эту цифру гораздо проще.
Также с помощью процедуры на раннем сроке можно узнать, один или несколько плодов находятся в матке, однако этот вопрос не является непосредственным показанием к исследованию, к тому же точность определения количества плодов в первые недели не всегда верна.
Несмотря на то, что никаких подтверждений вреда для УЗИ нет, врачи не рекомендуют к нему прибегать слишком рано, поскольку до 5 недели с точностью сказать, происходит развитие плода или нет, не всегда получается.
Сроки беременности
Рассчитать, на каком сроке находится беременность, можно с помощью измерения длины плода.
Этот показатель измеряют на сроке до 8 недель – в это время видно, где расположено плодное яйцо, а также его размеры, что позволяет установить текущий срок беременности с точностью в 1-2 дня.
На этом сроке скрининг не покажет еще наличие патологий в развитии органов и систем эмбриона, поскольку оно только началось, однако сможет определить застывшую или внематочную беременность.
УЗИ на раннем сроке проводят с помощью обычного 2D-аппарата, а 3D-скрининг может быть использован, начиная со второго триместра.
На более позднем сроке УЗИ покажет дополнительные физические параметры эмбриона: это размер и окружность его головы в нескольких измерениях, диаметр грудины, трубчатых костей и расстояние от темени до копчика.
На более позднем сроке установленные нормы параметров играют заметно меньшую роль, поскольку с 10 – 12 недели развитие плода протекает более индивидуально, к тому же его рост, как правило, волнообразный, а не постепенный.
На раннем же сроке плодное яйцо развивается одинаково, поэтому определить, насколько оно соответствует норме, гораздо проще.
На поздних сроках для оценки развития обычно используют 3D- и 4D-скрининг, которые помогают получить информацию по разным параметрам.
Точность информации
Многих интересует вопрос о том, насколько точным является исследование УЗИ на раннем сроке и разумно ли доверять этой информации.
Сегодня доказано, что эта процедура наиболее точно показывает наличие плода, и если у врача есть в этом сомнения, то УЗИ будет последним вариантом, который поможет это выяснить.
Однако при высокой точности риск погрешности все равно остается – на это влияет несколько факторов.
Врачи говорят, что при отсутствии каких-либо специфических симптомов, прибегать к скринингу стоит не ранее чем через 10 дней после обнаружения задержки – именно после этого времени установить наличие беременности будет заметно проще.
Старый аппарат – банальная, но вполне реальная причина, по которой беременность не видно.
Если после гинекологического осмотра подозрение на беременность есть, но аппарат показал отрицательный результат, то можно провести повторное исследование, которое даст более точную картину и подтвердит или опровергнет полученные данные.
Человеческий фактор – то есть неправильная расшифровка результатов УЗИ – также может стать причиной, почему факт беременности не удалось установить.
В этом случае все зависит от женщины – если компетенция гинеколога кажется ей недостаточной, то лучше обратиться к другому врачу и пройти исследование еще раз.
Опасность процедуры
Хотя на данный момент не существует данных, подтверждающих, что УЗИ может нанести какой-либо вред развитию плода или здоровью женщины, врачи не рекомендуют проводить УЗИ на ранних сроках, если к тому нет особых показаний.
К ним относятся, в первую очередь, риск внематочной беременности, а также замирания плода, но могут быть и другие причины, например, кровотечения или боли, установить причину которых также можно с помощью УЗИ.
Если же подобных проблем нет, то наилучшим вариантом будет дождаться планового скрининга – всего на протяжении беременности их предусмотрено три, и в каждом триместре врач измеряет определенные показатели развития плода, чтобы проконтролировать, насколько нормально все протекает.
Поскольку на раннем сроке плодное яйцо не имеет никаких специфических черт и развивается одинаково, торопиться с УЗИ нет смысла.
К тому же, первое УЗИ более сложное, чем последующие, т. к. проводится изнутри.
Учитывая все эти факторы, становится очевидно, что без предписания врача прибегать к УЗИ только для определения беременности не стоит, т. к. для этого есть более безопасные методы, отличающиеся высокой точностью.
На каком сроке возможно определить беременность по УЗИ
Ультразвуковая диагностика – это один из немногих достоверных и высоко информативных методов определения беременности и ее сроков.
Несмотря на огромное количество различных технологий для визуализации внутренних органов и оценки их состояния, только УЗИ обладает оптимальными характеристиками для беременной женщина:
- неинвазивность – отсутствие повреждений кожи и слизистых оболочек предотвращает развитие таких осложнений как: гнойное воспаление раны, формирование рубца, возможности повреждения внутренних органов и так далее. Это чрезвычайно важно для профилактики возникновения внутриутробных инфекций;
- отсутствие повреждающего действия на клетки и их микроструктуры – в отличие от рентгенологических методов (рентгеноскопия, рентгенография, КТ), ультразвуковые волны абсолютно безвредны для плода и матери. После УЗИ не возникают тератогенные эффекты. Этот факт многократно проверен ВОЗ;
- метод не требует специализированной подготовки пациентки и изменения ее образа жизни, что позволяет провести ее в любой день, удобный для будущей мамы;
- после процедуры не требуется реабилитационный период;
- хорошая визуализация – так как плод образован преимущественно мягкими тканями, его легко оценить с помощью ультразвуковых волн. На УЗИ можно определить состояние его внутренних органов, плаценты и отследить эти показатели в динамике. Для этого требуется только выбрать один день в каждом месяца беременности и посвятить его диагностике.
Все эти причины определили выбор ультразвукового метода, как основного в определении наличия беременности или когда необходимо оценить ее течение.
Первая визуализация беременности
По рекомендациям академиков РАМН, в том числе Савельевой Г.М., Панина О.Б., Шапиной Р.И., определены критерии визуализации, и на каком сроке УЗИ показывает достоверно эти признаки.
Маточную (нормальную) беременность можно обнаружить, когда пройдет более 3-х недель после зачатия плода.
Определены следующие показатели ультразвукового исследования в различные сроки, которые подтверждают наличие беременности:
- 3-я неделя – в это время можно увидеть первый достоверный признак формирования плода, при качественно проведенном исследовании (независимо от его вида – трансабдоминальное или трансвагинальное). На мониторе УЗИ визуализируется начальное изображение плодного яйца, которое начинает формироваться на 15-й день. Оно виден, как эхонегативное образование (участок темного пространства). Форма, как правило, круглая или слегка вытянутая по полюсам. Диаметр на 20-й день составляет от 4-х до 6-ти мм;
- 4-5 недель – это этап беременности, когда возможно получить первое изображение формирующегося эмбриона. Данный признак значительно проще определить, чем плодное яйцо, поэтому диагностировать беременность может практически любой врач-диагност. Эмбрион имеет вид эхопозитивного (участка белого цвета на мониторе) образования, формы овала или полоски. Чаще, он располагается в горизонтальной проекции. Поверхность его неровная – визуально определяются диффузные выпячивания, которые отчетливо видны на тридцатый день. Размер эмбриона в диаметре – около 7 мм;
- период после 8-9 недели – характеризуется наиболее достоверным признаком беременности – визуализацией головки плода. Она выглядит на экране УЗИ как отдельное образование, округлой формы, диаметром 9-11 мм.
Несмотря на то, что первый признак беременности можно увидеть на ультразвуковом исследовании, когда пройдет три недели с момента зачатия, наиболее достоверным критерием является визуализация эмбриона, которую можно осуществить на 30-й день гестации. Это объясняется различной квалификацией врачей диагностов и возникновением различных трудностей при проведении исследования (наличие выпота в брюшную полость, аномальное положением петель кишечника и так далее).
Определение срока беременности при первой визуализации
Как правило, беременные женщины приходят на ультразвуковое исследование с неизвестным сроком гестации, поэтому важно определить, когда был зачат плод. Это значительно облегчит последующее ведение беременности и поможет более точно указать возможный срок родоразрешения и выбрать день госпитализации.
В первом триместре (1-91 день беременности), помимо вышеперечисленных критериев, используют различные морфологические признаки плода и оценивают его жизнедеятельность.
В первом случае, используют копчиково-теменной размер, сокращенно КТР. Его можно определить только при визуализации эмбриона (после 4-й неделе).
До этого, в случае ранней диагностики беременности, измеряют диаметр плодного яйца, и врач оценивает его возраст, в соответствии с этими критериями.
Другой структурой в организме матери, которая позволяет определить время зачатия и возраст плода, является плацента. Ультразвуковыми методами исследования можно с высокой точностью оценить ее поперечный размер и структуру.
Как правило, с этой целью используют трансвагинальное исследование. Диагностическим критерием будет являться определение в поле зрения ворсин хориона. Такое изображение возможно получить, когда пройдет 5 недель после начала гестации.
Максимальная ошибка, как правило, не превышает 5-ти дней.
Другой группой признаков, которые свидетельствуют о возрасте плода, является его функциональное состояние (сердечные сокращения, активные движения). Первые данные о работе сердца появляются, когда пройдет тридцатый день после зачатия. При этом ЧСС (частота сокращений сердца) составляет 150-160 уд./мин. В последующем происходит постепенное увеличение этого показателя:
- 7-8 недели – 175-185 уд./мин;
- после 12 недели – около 160 уд./мин (происходит повторное снижение ЧСС).
Первые движения плода можно определить методами ультразвуковой диагностики, начиная с 7-8 недель после зачатия.
Благодаря методу УЗИ можно уже после 3-й недели достоверно определить наличие беременности, при достаточной квалификации врача.
Это является «золотым стандартом» диагностики, который помимо высокой точности гарантирует безопасность матери и плода.
Процедура является обязательным компонентом скрининга будущих мам, которая позволяет уже с начала беременности определить ее будущее течение и возможный день госпитализации для родов.
Когда на УЗИ видно беременность?
Инфекционные заболевания, онкопатологии, ранее замершая беременность, выкидыш – повод при задержке как можно раньше обратиться к специалистам. Когда тест показывает положительный результат, невозможно определить, нормально ли протекает беременность и закрепилось ли плодное яйцо в матке, а не за её пределами. Так, на каком сроке УЗИ покажет беременность?
Плановые УЗИ при беременности
При помощи современной УЗ-диагностики можно определить факт беременности на начальных сроках, установить размеры плода, дифференцировать внематочную локализацию яйца.
Ультразвуковое исследование назначают несколько раз, плановые процедуры:
- 11 –13 недель. Обязательная первая процедура, которая подтверждает факт зачатия, необходима для определения точного срока гестации и оценки базовых параметров развития плода. Оценивает объём амниотической жидкости, маточную полость, плацентарную оболочку. На этом сроке даёт возможность исключить хромосомные отклонения у плода. Проводят скрининговое УЗИ и для определения размера воротниковой зоны (в сочетании с биохимическим скринингом определяет риск синдрома Дауна, Патау, Эдвардса).
- 18–22 недель. Вторая процедура нужна для оценки роста внутренних органов ребенка. Оценивают структуру плаценты, исключают гипоксию у плода. Во 2 триместре сравнивают показатели первого УЗИ с полученными данными, чтобы отследить динамику внутриутробного развития. Используют только трансабдоминальный способ.
- 30–34 недель. В 3 триместре оценивают маточно-плацентарный кровоток, функциональность плаценты и рассчитывают вес ребенка. Определяют предлежание, оценивают риски в период родовспоможения, при необходимости рекомендуют кесарево сечение.
Если во 2 триместре обследование показало отклонения, следующую, 3 процедуру выполняют в 28–30 недель. При сомнительных данных повторяют в 35–36 недель.
Почему не стоит проводить диагностику на ранних сроках?
Делать УЗИ в начале 1 триместра не рекомендуют по ряду причин:
- Невысокая информативность. До 9–11 недель возможно положение ложноположительных или ложноотрицательных результатов.
- Нарушение процесса прикрепления оплодотворенной яйцеклетки. Вмешательство в такой процесс влагалищным датчиком может привести к прерыванию беременности и сбою в процессе имплантации.
- Нагрев клеток. Ультразвук, сталкиваясь с поверхностью тканей и отражаясь от них, нагревает клетки. Больше всего те, в которых содержится максимальный объём воды. Размер эмбриона в начале гестационного периода превышает нескольких миллиметров – для тканей плода такой перегрев может быть опасен, особенно для мозга.
- Доплер-УЗИ имеет высокий термический индекс (нагревание тканей более чем на 1 градус), до 12 недель гестационного периода диагностику назначают только по строгим показаниям и не чаще одного раза.
Исследования, которые бы опровергли или подтвердили опасность УЗИ в первые недели для плода, не проводились.
Показания к исследованию на малых сроках
УЗ-диагностику на раннем сроке рекомендуют в следующих случаях:
- Диагностика для определения здоровой беременности. Уровень ХГЧ растёт при обычной, внематочной и замершей беременности, такой анализ не считают информативным для выявления плодного яйца вне матки.
- УЗИ показывает точный срок с погрешностью 8–10 дней. До 5 недель визуализируется плодное яйцо, спустя 5 недель – плод.
- Наличие у матери хронических заболеваний, которые могут повлиять на развитие плода, – патологии кровеносной, сердечно-сосудистой, нервной системы, диабет.
- Наличие в анамнезе замершей беременности, выкидышей и других аномалий развития плода.
- Онкологические патологии беременной.
- Оплодотворение при помощи ЭКО.
Минимальные сроки определения
Самый ранний срок, когда можно проводить исследование – минимум 5–7 день задержки, что соответствует акушерскому сроку 5 недель (эмбриональный срок – 3 недели). Размер тела плода не превышает 4 мм. Но на УЗИ беременность иногда не видна – плодное яйцо нередко напоминает фрагменты полипа, к тому же, требуется современный сканер с высоким разрешением.
Определение беременности разными видами ультразвука:
- Трансвагинальное УЗИ. Применяют влагалищный датчик, при беременности используют до 14 недель. Этот способ более информативен – исследуемые зоны отделены от датчика тонкой стенкой влагалища, а не более толстой стенкой брюшной полости. Показывает присутствие в маточной полости яйца, угрозу выкидыша, отслойку плаценты, внематочную беременность. Обычную маточную при таком способе обследования можно увидеть на 5 день задержки.
- Абдоминальное УЗИ. Такой метод для подтверждения беременности применяют редко, уточнить место прикрепления и само наличие плодного яйца не дают петли кишечника, перекрывающие маточную полость. Если исследование проводится, рекомендуют максимально наполнить мочевой пузырь водой для формирования «акустического окна». Максимальную информацию такой вид исследования даёт только на 7–8 неделе после зачатия – показывает локализацию, соответствие размеров тела периоду гестации, сердцебиение ребенка.
Об эктопической (вне полости матки) беременности трансвагинальным УЗИ можно узнать на сроке 5–6, трансабдоминальным – 7–8 недель.
Причины ошибочных результатов ультразвука
Главные причины ошибочных результатов при расшифровке результатов УЗИ-обследования:
- низкая квалификация врача;
- невысокое качество аппаратуры;
- проведение первого обследования не в срок.
Самая частая ошибка – ложное отсутствие плодного яйца. Такое случается, если УЗИ было проведено слишком рано, до 5 недели. Иногда может быть видно ложное яйцо – заполненное жидкостью, но не содержащее эмбрион, в то время как плод будет развиваться вне полости матки.
Возможность получить точную информацию о наличии и состоянии беременности при проведении УЗИ на ранних сроках зависит от многих факторов – во время или после овуляции произошло оплодотворение, насколько высокое разрешение у аппаратуры, какова квалификация врача. Идти на УЗИ до 11 недель нужно только по строгим показаниям, поскольку опасность или безопасность влияния ультразвуковых волн на плод до конца не выяснена.





