При многих заболеваниях ротовой полости стоматологу для постановки правильного диагноза может потребоваться не «прицельный» рентгеновский снимок 2-3 зубов, а панорамная картина – ортопантомограмма (ОПТГ).
Что такое ортопантомограмма?
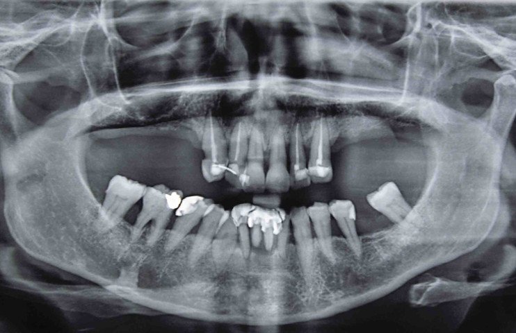
Ортопантомограмма представляет собой обзорный круговой рентгеновский снимок. На нем челюсть представлена полностью и развернута в плоскости.
Несомненным преимуществом методики является возможность оценить не только состояние зубов (в т. ч. корневых каналов), но и близлежащих структур – челюстных костей, придаточных пазух и т. д.
Ортопантомограмма позволяет выявить:
- аномалии развития зубо-челюстной системы;
- кариозные поражения (в т. ч. скрытые и на ранних стадиях);
- патологические зубо-десневые карманы;
- гранулемы;
- кистозные образования;
- фибромы;
- воспалительные процессы;
- функциональную активность височно-нижнечелюстного сустава;
- точную локализацию ретинированных (непрорезавшихся) зубов;
- болезни костных структур (остеопороз и т. д.);
- степень плотность и высоту костной ткани;
- состояние и качество лечения корневых каналов;
- наличие или отсутствие патологий придаточных пазух носа (в частности – гайморит).
Обратите внимание
Процедура абсолютно незаменима, если планируется ортодонтическое лечение – постановка брекетов или элайнеров.
Процедура ОПТГ совершенно необходима, если у пациента в перспективе процедура имплантации зубов. С помощью данной диагностической процедуры хирург-стоматолог способен проанализировать – достаточно ли костной ткани в зоне предполагаемого внедрения имплантата или требуется синус-лифтинг (постепенное наращивание костных структур). Ортопантомограмма позволяет определить оптимальное количество устанавливаемых элементов и сделать прогноз по их приживлению.
Большое значение имеет ортопантомограмма для выявления положения и общего состояния третьих моляров («зубов мудрости»). Панорамный снимок позволяет сделать вывод: имеет ли смысл лечить «восьмерку» или прибегнуть к ее экстракции во избежание возможных осложнений.
Показаниями для исследования являются подготовка к коррекции аномалий прикуса, постановке ортопедических конструкций и имплантов, а также к некоторым хирургическим вмешательствам.
Ортопантомограмма зубов представляет собой панорамный рентгеновский снимок, который позволяет получить полное изображение зубочелюстной системы пациента. Врачи отмечают, что этот метод диагностики является незаменимым инструментом для выявления различных заболеваний, таких как кариес, парадонтит, а также для планирования ортодонтического лечения и имплантации. Показания к проведению ортопантомограммы включают наличие зубной боли, необходимость оценки состояния зубов перед хирургическими вмешательствами и контроль после лечения. Однако у данного метода есть и противопоказания. Врачи предостерегают от его использования у беременных женщин и пациентов с повышенной чувствительностью к радиации. Важно помнить, что решение о проведении ортопантомограммы должно приниматься врачом на основании индивидуальных показаний и состояния здоровья пациента.

Как проводится процедура?
Особой подготовки для проведения ортопантомограммы не требуется. Во избежание возможных искажений целесообразно снять серьги, цепочки, кулоны, элементы пирсинга и другие украшения, поскольку металлические артефакты способны перекрыть интересующий стоматолога участок. Если пациент носит съемные ортопедические конструкции, их также необходимо временно снять.
Пациент подходит к аппарату и надевает специальный защитный воротник и фартук, чтобы излучение не влияло на другие зоны тела. Затем ему следует прикусить особый пластиковый фиксатор, чтобы верхний и нижний зубные ряды находились в неподвижном положении. Непосредственно в ходе самой процедуры ОПТГ вокруг головы больного вращается источник рентгеновского излучения. По сути, ортопантомограф представляет собой классический аппарат для рентгенографии, адаптированный для исследования челюстно-лицевой области.
Важно
Губы во время процедуры должны быть плотно закрыты, а язык прижат к небу.
Современная аппаратура
Ортопантомограмму нельзя назвать инновационной процедурой – она используется уже десятки лет, но на смену аналоговым пленочным аппаратам пришли инновационные цифровые устройства. Их несомненным достоинством является меньшая доза излучения, которую получает пациент.
Цифровые снимки заносятся в компьютер и электронную карту. При необходимости их можно дополнительно распечатать или перенести на цифровые носители (CD или флеш-карты).
Важно
Отдельно следует отметить гораздо более высокое качество снимков, выполненных посредством инновационной цифровой аппаратуры. Благодаря этому практически исключается ошибка при выявлении того или иного заболевания.
Отдельно следует отметить такой инновационный метод, как 3D– ортопантомограмма. В ходе диагностической процедуры цифровой аппарат последовательно делает снимки головы пациента в разных проекциях, что в ходе обработки с помощью специальной программы создает объемное изображение.
Обратите внимание
В отличие от рентгеновского аппарата, широко применяемые в настоящее время визиографы транслируют полученные данные на CCD сенсор – чип-микросхему из фотодиодов, аналогичных матрицам современных цифровых фотоаппаратов.
Благодаря 3D – снимкам стоматолог получает возможность изучить малейшие нюансы строения челюстей, зубов и близлежащих структур для точной постановки диагноза и составления оптимального плана лечения. Общее время манипуляций не превышает 1-2 минут.
В настоящее время цифровая ортопантомограмма проводится практически во всех стоматологических клиниках и специализированных кабинетах, оборудованных для работы с рентгенологическим оборудованием и наличием специалиста соответствующего профиля.
Ортопантомограмма (ОПГ) — это рентгеновский снимок, который позволяет получить общее изображение всех зубов, челюстей и окружающих тканей. Этот метод диагностики широко используется в стоматологии для выявления различных заболеваний, таких как кариес, парадонтит, а также для оценки состояния зубных рядов перед установкой имплантов или ортодонтическим лечением. Показания к проведению ОПГ включают планирование лечения, контроль за динамикой заболеваний и диагностику аномалий развития. Однако у процедуры есть и противопоказания: это беременность, наличие тяжелых заболеваний, связанных с облучением, и аллергия на контрастные вещества, если они используются. Важно помнить, что ОПГ — это безопасный и информативный метод, который помогает стоматологам принимать обоснованные решения о лечении.

Исследование в детском возрасте
Минимальная лучевая нагрузка дает возможность проводить диагностическую процедуру детям с 5-6 летнего возраста. При обследовании ребенка практикуется режим экспонирования. Перемещение датчика корректируется соответственно размеру челюсти. Для детей старшего дошкольного возраста ортопантомограмма имеет огромное значение, поскольку позволяет своевременно выявить патологии прикуса, развития челюстей, установить наличие адентии или наличия сверкомплектных зубов. Лечение, начатое в раннем возрасте, позволяет своевременно устранить дефекты. Настолько полную информацию при обычном осмотре получить практически невозможно. ОПТГ позволяет специалисту объективно оценить состояние зачатков постоянных зубов.
Преимущества ортопантомограммы
Абсолютных противопоказаний для ОПТГ нет!
Несомненными достоинствами аппаратов последнего поколения являются:
- возможность получения изображения высокой степени четкости без искажений;
- возможность увеличить определенную зону на экране монитора;
- снижение лучевой нагрузки (по сравнению с «обычными» аппаратами) на 70-90%;
- высокая степень информативности (на одном снимке врач видит все интересующие его структуры);
- возможность сохранения полученной информации в памяти ПК или на цифровом носителе, что позволяет использовать снимок в любое время и при необходимости периодически отслеживать динамику процесса.
Важно
Отдельно следует отметить безопасность метода, благодаря которому методику можно использовать для исследования женщин в период беременности (вне зависимости от срока) и грудного вскармливания. Некоторые специалисты считают, что от ортопантомографии целесообразно воздержаться в I триместре, когда у плода идет закладка органов и систем.
Стоматологи считают, что в связи минимальной лучевой нагрузкой допустимо проводить до 100 (!) процедур ОПТГ в течение года. Однако ортопантомографию на практике имеет смысл проводить всего дважды – до начала лечения и после. После вживления импланта может потребоваться несколько контрольных снимков.
Плисов Владимир, стоматолог, медицинский обозреватель

Вопрос-ответ
Кому нельзя делать панорамный снимок?
Когда нельзя делать панорамный снимок зубов? Прохождение ортопантомограммы противопоказано и будущим мамам. В первом триместре это категорически запрещено, а вот позже делать панорамный снимок допускается, но только после консультации с акушер-гинекологом. Период лактации также противопоказан для прохождения процедуры.
Для чего делают ортопантомограмму?
Ортопантомограмма – рентгеновский снимок, позволяющий провести первичное исследование общего состояния зубов, височно-нижнечелюстных суставов, костной ткани челюстей и гайморовых пазух.
Чем отличается панорамный снимок от ортопантомограммы?
По сравнению с традиционным рентгеновским аппаратом ортопантомограф дает пониженную лучевую нагрузку, поэтому его безбоязненно можно использовать при возникновении необходимости в панорамном снимке. На ортопантомограмме видны зубы, челюстно-лицевые суставы, кости лицевого отдела черепа, носовые пазухи.
Когда нужно делать панорамный снимок зубов?
Исследование проводится при наличии симптомов кариеса, пульпита, гингивита, пародонтита и других заболеваний полости рта. Кроме того, ОПТГ входит в список обязательных процедур перед протезированием зубов или во время коррекции брекет-системами.
Советы
СОВЕТ №1
Перед проведением ортопантомограммы обязательно проконсультируйтесь с вашим стоматологом. Он поможет определить необходимость исследования и объяснит, какие проблемы можно выявить с его помощью.
СОВЕТ №2
Убедитесь, что у вас нет противопоказаний к проведению рентгенологического исследования. Например, беременным женщинам следует обсудить возможность процедуры с врачом, так как рентген может быть небезопасен для плода.
СОВЕТ №3
Перед процедурой снимите все металлические предметы, такие как серьги и очки, чтобы избежать искажений на снимке. Это поможет получить более четкое изображение и облегчить диагностику.
СОВЕТ №4
После получения результатов ортопантомограммы обсудите их с врачом. Он объяснит, что именно было обнаружено на снимке, и предложит дальнейшие шаги по лечению или профилактике стоматологических заболеваний.




