Остеосаркома бедренной кости – это ее злокачественное новообразование. Патология относится в числу широко распространенных.
Как и большинство неоплазий, остеосаркома развивается внезапно, нередко на фоне полного физиологического благополучия. Причины неизвестны – выделены только факторы, на фоне которых заболевание возникает чаще и прогрессирует быстрее.
Вначале в месте поражения появляются незначительные боли, которые нарастают, при дальнейшем развитии опухоли нарушаются функциональные возможности бедренной кости.
Диагноз ставят с помощью рентгенологического метода и КТ, а подтверждают гистологически. Лечение – комбинированное: оперативное удаление и химиотерапия.
Общие данные
Среди других злокачественных опухолей остеосаркома в целом и поражение ею бедренной кости в частности отличаются неблагоприятным течением – довольно бурным течением, быстрым прогрессированием и ранним метастазированием, что уменьшает шансы пациента на выживание. До внедрения современных методов лечения на протяжении первых пяти лет с момента постановки диагноза выживал только каждый десятый пациент с таким диагнозом. Сейчас благодаря комбинированному лечению (хирургическому и химиотерапевтическому) показатели выживаемости улучшились, но остеосаркома бедренной кости продолжает оставаться одной из насущных проблем онкологии.
Все те закономерности заболеваемости, которые характерны для остеосаркомы в целом, остаются актуальными при поражении ею и бедренной кости. В целом мужской пол заболевает чаще, чем женский, в 2-2,5 раза. Как правило, эта опухоль развивается в детском и молодом возрасте. Около 60% пациентов с данной патологией находятся в возрастной категории от 10 до 40 лет, причем, на детский возраст выпадает пик заболеваемости у пациентов женского пола, на подростковый и молодой – мужского. После 40 лет заболеваемость снижается, после 50 опухоль диагностируется редко, а после 60 лет ее случаи спорадичны (единичны). Такая закономерность дает повод предполагать, что развитие опухоли связно с процессами развития костной ткани и роста костей.
Врачи отмечают, что остеосаркома бедренной кости представляет собой одну из наиболее агрессивных форм злокачественных опухолей, чаще всего встречающуюся у подростков и молодых людей. Специалисты подчеркивают важность ранней диагностики, так как это существенно повышает шансы на успешное лечение. Симптомы, такие как боль в области колена или бедра, отечность и ограничение подвижности, могут быть признаками заболевания. Врачи рекомендуют не игнорировать эти симптомы и обращаться за медицинской помощью при их появлении. Лечение остеосаркомы требует комплексного подхода, включая хирургическое вмешательство и химиотерапию. Важно, чтобы пациенты находились под наблюдением опытных онкологов, что позволяет выбрать оптимальную стратегию лечения и повысить вероятность положительного исхода.

Причины
Причины появления остеосаркомы бедренной кости неизвестны: до сих пор непонятно, почему здоровые клетки (а тем более молодые) вдруг претерпевают злокачественную трансформацию.
Выделен ряд факторов, при наличии которых установлена более высокая частота возникновения этой патологии. Они бывают:
- ятрогенные;
- возрастные;
- травматические;
- инфекционно-воспалительные;
- эндокринные;
- химические;
- врожденные;
- экологические;
- вредные привычки.
Ятрогенными называют те факторы, которые связаны с врачебной деятельностью. В данном случае замечено, что риск развития и прогрессирования остеосаркомы бедренной кости увеличивается, если пациенту проводили лучевую или химиотерапию по поводу каких-то других злокачественных новообразований бедренного сегмента нижней конечности. Это выливается в проблему: с одной стороны, как будет сказано ниже, химиотерапия применяется в лечении описываемого заболевания, с другой она может спровоцировать развитие новых очагов остеросаркомного перерождения кости.
Обратите внимание
Детский, подростковый и молодой возраст являются тем опасным периодом жизни, во время которого риск развития остеосаркомы бедренной кости увеличивается.
Влияние травмы на возникновение описываемого заболевания остается спорным. Некоторые онкологи утверждают, что выявление остеосаркомы бедренной кости после травмы не означает прямую причинно-следственную связь, на самом деле может травмироваться фрагмент бедренной кости, уже пораженной опухолевым процессом. Также указывается на то, что дети из-за природной активности, характерной для данного возраста, часто падают – и это ошибочно расценивается как прямая причина возникновения остеосаркомы бедренной кости.
Патогенная микрофлора не способна сама по себе спровоцировать непосредственно развитие опухолевого процесса. Но было замечено, что описываемое новообразование чаще развивается на фоне остеомиелита – гнойно-некротического воспалительного процесса в костной ткани с последующим образованием свищей (патологических ходов). Считается, что инфекция только провоцирует гнойный процесс, а на фоне него уже запускается злокачественное перерождение костной ткани. Но такой механизм развития опухоли до конца непонятен.
Еще одним ярким примером патологии воспалительного характера, которая способна спровоцировать появление остеосаркомы бедренной кости, является болезнь Педжета – повышенное разрушение костной ткани, на фоне которого может возникнуть описываемое заболевание.
Выявлено, что остеосаркома бедренной кости чаще развивается у пациентов с гормональными нарушениями – в первую очередь, со стороны гормонов щитовидной железы, которые регулируют процессы обмена в организме. Это:
- гипотиреоз – недостаточное вырабатывание тиреоидных гормонов;
- гипертиреоз – их усиленная продукция.
Под химическими факторами, способствующими развитию остеосаркомы бедренной кости, понимают вещества, способные спровоцировать развитие и прогрессирование злокачественных опухолей в целом и описываемого заболевания в частности. Такие вещества называют канцерогенами. К их числу относятся некоторые химические соединения, используемые в промышленности и сельском хозяйстве. Попадание таких веществ в организм человека с последующей неопластической провокацией происходит, как правило, при отсутствующей системе техники безопасности на производстве либо при нарушении ее правил. Канцерогены попадают в организм через кожные покровы, пищеварительную и/или дыхательную системы, затем с током крови поступают в костные ткани бедра, где при кумуляции (скоплении) и провоцируют развитие злокачественного процесса.
Что имеется в виду под врожденными факторами появления остеосаркомы бедренной кости? Если во время внутриутробного развития плода нарушаются закладка, а далее развитие костной ткани, это после рождения ребенка может послужить толчком для возникновения описываемого заболевания.
Замечено, что остеосаркома бедренной кости чаще развивалась у пациентов, которые проживали в неблагоприятных экологических условиях:
- вдыхали атмосферный воздух, загрязненный промышленными выбросами и продуктами работы автомобильных моторов;
- употребляли пищу и воду, загрязненные вредными соединениями.
Вредные привычки остаются одним из главных провокаторов развития злокачественных патологий – в том числе остеосаркомы бедренной кости. Чаще всего роль играют:
- употребление самодельного алкоголя;
- курение.
Помимо непосредственных канцерогенных свойств никотина, для него характерно негативное влияние на кровоснабжение костных структур. Никотин сужает сосуды, из-за чего ток крови по ним замедляется, поступление крови к тканям (в данном случае – костным) ухудшается, а вместе с ним – и их обеспечение кислородом и питательными веществами. В результате таких нарушений восстановительные способности тканей страдают, клетки беспрепятственно подвергаются злокачественному перерождению, но из-за указанных метаболических нарушений здоровыми клетками не замещаются – образуется остеосаркома.
Обратите внимание
Помимо непонимания непосредственных причин и механизмов развития описываемой опухоли непонятным остается то, почему у одних пациентов при воздействии упомянутых факторов опухоль не развивалась, а у других она появлялась даже при несущественном влиянии на организм химических агрессоров, инфекции и так далее.
Развитие патологии
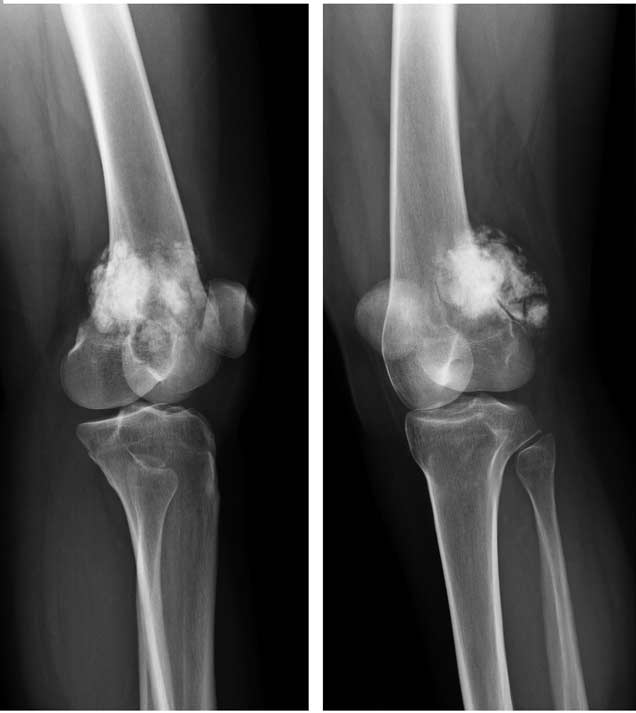
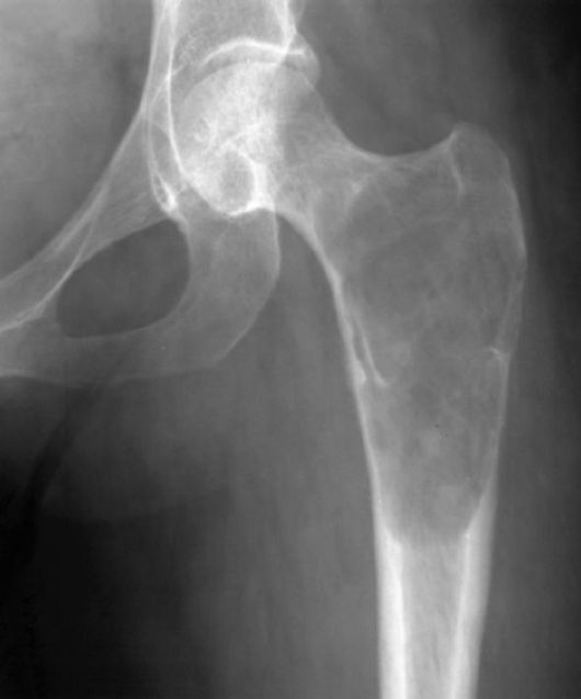
Замечено, что остеосаркома чаще всего развивается в тканях длинных трубчатых костей, к которым относится и бедренная кость. На ее долю выпадает основное количество диагностированных случаев описываемого заболевания – приблизительно в 80% всех диагностированных случаев остеогенных сарком был поражен дистальный конец бедренной кости (тот, который принимает участие в формировании коленного сустава). Такая статистическая закономерность касается всех возрастных групп, у представителей которых было выявлено описываемое заболевание.
На втором месте по поражению – метафиз. Так называют участок кости (в данном случае бедренной), который располагается между ее суставным фрагментом и диафизом (трубчатым участком). Сам же диафиз поражается наиболее редко – у каждого десятого пациента с описываемой патологией.
Развитие остеосаркомы бедренной кости типично. Сперва злокачественные изменения претерпевает группа клеток, далее их количество увеличивается до формирования видимого невооруженным глазом очага. В какой-то момент клетки остеосаркомы попадают в кровеносное русло и начинают мигрировать по всему организму, «оседая» в органах и тканях, незатронутых патологическим процессом, и формируя там вторичные метастатические опухоли. Отеосаркома бедренной кости относится к числу злокачественных новообразований с выраженным метастазированием – оно:
- наблюдается рано;
- прогрессирует быстро – через довольно короткий отрезок времени от начала заболевания у пациента выявляют отдаленные метастазы.
Остеосаркома бедренной кости — это серьезное заболевание, которое вызывает много тревог и вопросов как у пациентов, так и у их близких. Люди, столкнувшиеся с этой опухолью, часто делятся своими переживаниями о диагнозе и процессе лечения. Многие отмечают, что первоначальные симптомы, такие как боль и отек, могут быть легко проигнорированы, что затрудняет раннюю диагностику. Важным аспектом становится поддержка со стороны семьи и друзей, которая помогает справиться с эмоциональным бременем.
Пациенты рассказывают о сложностях, связанных с химиотерапией и хирургическим вмешательством, но также подчеркивают важность позитивного мышления и надежды на выздоровление. В социальных сетях создаются группы поддержки, где люди обмениваются опытом и советами, что помогает не только в психологическом плане, но и в поиске информации о новых методах лечения. Несмотря на трудности, многие находят силы продолжать борьбу и вдохновляют других не сдаваться.

Симптомы остеосаркомы бедра
Основными признаками остеосаркомы бедренной кости являются:
- боли;
- отечность мягких тканей;
- хромота;
- нарушение опорной и двигательной функции нижней конечности.
Характеристики болей следующие:
- по локализации – в месте формирования опухоли в любом участке бедренной кости. Таких пораженных участков может быть несколько;
- по распространению – иррадиация не характерна;
- по характеру – ноющие, тянущие;
- по выраженности – сперва невыраженные, далее нарастающие при прогрессировании остеосаркомы, в терминальных стадиях могут быть невыносимыми, не купируемыми обычными обезболивающими препаратами;
- по возникновению – появляются не сразу. Как правило, пациент отмечает первые болевые ощущения при попытке ходьбы, далее они могут наблюдаться и прогрессировать в состоянии покоя.
Отечность мягких тканей в месте поражения появляется при росте новообразования.
Обратите внимание
Если остеосаркомой поражены нижние участки бедренной кости, развивается хромота.
При дальнейшем прогрессировании новообразования пациенту все сложнее ходить – он не может опереться на нижнюю конечность со стороны поражения. При запущенной опухоли во время ходьбы и даже неуклюжего изменения положения тела может возникнуть патологический перелом.
При прогрессировании заболевания наблюдаются признаки нарушения общего состояния организма. Они развиваются из-за интоксикации опухолевыми клетками, продуктами их метаболизма и распада.
Это такие симптомы, как:
- гипертермия – повышение температуры тела. Как правило, она упорная, но невыраженная – температура тела при этом достигает субфебрильного уровня (37,3-37,4 градусов по Цельсию);
- общая слабость и необъяснимая разбитость;
- резкое снижение трудоспособности – даже при прежних нагрузках;
- тошнота;
- на поздних стадиях – ухудшение аппетита вплоть до его отсутствия, резкое похудение пациента.
Диагностика
Заподозрить злокачественное поражение бедренной кости можно на основании жалоб пациента, анамнеза (истории) болезни и данных осмотра. Но поставить конкретный диагноз представляется возможным только после дополнительного обследования – в частности, гистологического.
Из анамнеза нередко выясняется то, что боли в ноге нарастают и сопровождаются постепенным ухудшением общего состояния пациента.
Данные физикального обследования будут такими:
- при общем осмотре – на начальных стадиях без особенностей, при дальнейшем прогрессировании остеосаркомы бедренной кости отмечаются исхудание пациента и снижение его активности, бледность кожных покровов и видимых слизистых оболочек;
- при местном осмотре – участок кости в области формирования остеосаркомы выпирает, мягкие ткани припухшие. У ряда больных отмечается расширение подкожных вен;
- при пальпации (прощупывании) – припухлость мягких массивов бедра в месте поражения подтверждается, в этом месте отмечается выраженная болезненность. Также определяются увеличение и болезненность регионарных лимфатических узлов.
Какие методы инструментального исследования необходимо привлечь в диагностике остеосаркомы бедренной кости? Это:
- рентгенологическое исследование – его информативность не всегда удовлетворяет, но метод позволяет выявить опухоль в месте развития остеосаркомы, а при ее прогрессировании – существенный дефект тканей. К тому же, рентгенологические аппараты имеются даже в небольших клиниках – с их помощью ставят предварительный диагноз, после чего есть смысл направить пациента на прохождение более информативных методов исследования;
- компьютерная томография (КТ) – компьютерные срезы позволяют детально изучить структуру костной ткани в месте поражения;
- магнитно-резонансная томография (МРТ) – она более информативна при изучении мягких тканей, поэтому метод целесообразно применить для изучения мышечных массивов в области возникновения остеосаркомы бедренной кости;
- биопсия – забор фрагмента костной ткани в месте поражения с последующим изучением под микроскопом.
Для выявления метастазов потребуются другие методы инструментального обследования – это:
- рентгенография органов грудной клетки;
- ультразвуковое исследование головного мозга (УЗИ);
- ультразвуковое исследование органов брюшной полости;
- компьютерная томография других костных структур (КТ);
- магнитно-резонансная томография (МРТ)
и другие.
Из лабораторных методов исследования привлекаются:
- общий анализ крови – отмечается существенное увеличение СОЭ. При прогрессировании остеосаркомы выявляются признаки анемии – уменьшение количества эритроцитов и гемоглобина;
- гистологическое исследование – под микроскопом изучают тканевое строение биоптата;
- цитологическое исследование – под микроскопом изучают клеточное строение биоптата, при этом выявляют атипичные клетки.

Дифференциальная диагностика
Дифференциальную (отличительную) диагностику остеосаркомы бедренной кости чаще всего проводят с такими заболеваниями и патологическими состояниями, как:
- доброкачественные и другие злокачественные новообразования кости – нередко их можно различить только благодаря гистологическому (тканевому) исследованию;
- миалгия – боли в мышечных массивах бедренной кости, которые могут возникать на фоне различных видов поражения мышечной ткани;
- хрящевые наросты в области коленного и тазобедренного суставов;
- артрит коленного и тазобедренного сустава – их воспалительное поражение;
- артроз коленного и тазобедренного сустава – дегенеративно-дистрофические изменения в их суставных поверхностях.
В трех последних случаях дифференциальную диагностику следует проводить при поражении остеосаркомой суставных концов бедренной кости.
Осложнения
Главными осложнениями описываемой патологии являются:
- контрактура – нарушение подвижности в тазобедренном либо коленном суставе в случае его поражения остеосаркомой;
- патологический перелом – дефект костной ткани в месте ее «разъедания» опухолью, который появляется без травматической провокации, а только из-за того, что бедренная кость в силу своего расположения вынуждена «держать» на себе туловище;
- метастазирование – при этом поражаются головной мозг, легкие, другие трубчатые кости, печень и так далее с формированием вторичных злокачественных опухолей;
- раковая интоксикация – отравление организма продуктами распада злокачественных клеток;
- раковая кахексия – крайнее истощение пациента, которое наблюдается на поздних стадиях развития остеосаркомы бедренной кости;
- раковая кома – отсутствие сознания в терминальной (конечной) стадии описываемого заболевания.
Лечениеостеосаркомы бедра
Лечение остеосаркомы бедренной кости – комбинированное, при этом учитываются такие факторы, как:
- локализация опухоли;
- степень запущенности;
- возраст пациента;
- сопутствующие заболевания.
В основе лечения лежат:
- оперативный метод;
- химиотерапия – ее назначают до и после хирургического вмешательства. В первом случае целью является уменьшение размеров опухоли, во втором – ликвидация групп опухолевых клеток, которые не удалили во время операции.
Объем операции зависит от степени поражения бедренной кости. Хирургическое вмешательство может быть следующее:
- удаление опухоли с резекцией здорового участка бедренной кости по соседству;
- ампутация нижней конечности.
Если при резекции образовались большие дефекты, то также проводят пластическую операцию с использованием природных либо искусственных имплантов. В первом случае используют костный материал самого пациента либо трупную кость, во втором – металлические либо полимерные импланты.
При наличии метастазов их также удаляют хирургическим путем.
Назначения в послеоперационном периоде следующие:
- перевязки;
- антибактериальные средства – для профилактики и лечения послеоперационных инфекционных осложнений;
- обезболивающие препараты;
- по возможности – ранняя активность пациента.
Профилактика
Медицина еще не научилась управлять опухолевыми процессами – специфическая профилактика остеосаркомы бедренной кости не разработана. Но некоторые меры помогут снизить риск формирования описываемой патологии – это:
- соблюдение правил назначения лучевой и химиотерапии;
- избегание ситуаций, чреватых травмированием бедренной кости, а если это невозможно – применение индивидуальных средств защиты;
- профилактика, диагностика и лечение остеомиелита бедренной кости;
- предупреждение попадания в кровоток химических агрессоров;
- проживание в экологически допустимых условиях;
- отказ от вредных привычек.
Остеосаркома бедра: сколько с ней живут?
Прогноз при остеосаркоме бедренной кости в целом неблагоприятный. Но риски для жизни и здоровья у разных пациентов разные – они зависят от таких факторов, как:
- величина опухоли;
- степень запущенности;
- наличие отдаленных метастазов;
- сопутствующие патологии больного, наличие которых имеет значение для его общего состояния.
При проведении травмирующих операций (ампутаций) на протяжении пяти лет (стандартного срока для оценки результатов лечения в онкологии) после хирургического вмешательства выживало 5-10 пациентов из ста. На данный момент благодаря современным подходам к лечению остеосаркомы бедренной кости пятилетняя выживаемость составляет:
- 70% – у пациентов с локализованной остеосаркомой;
- 80-90% – при развитии опухоли, которая чувствительна к препаратам, используемым для проведения химиотерапии.
Прогноз при остеосаркоме бедренной кости в сравнении с рядом других злокачественных новообразований также ухудшается из-за высокого риска возникновения рецидивов – причем, опухоль может появляться в том же или другом месте. Диагностированы случаи появления повторной остеосаркомы бедренной кости в месте патологического перелома, который возник при первичной опухоли. Возникает повторное нарушение целостности бедренной кости – отломки при этом очень сложно сопоставить, они консолидируют (срастаются) с трудом, для такого процесса требуется больше времени.
Ковтонюк Оксана Владимировна, медицинский обозреватель, хирург, врач-консультант
Вопрос-ответ
Сколько живут люди с остеосаркомой?
Сколько живут с остеосаркомой? Процент пятилетней выживаемости зависит от стадии, на которой обнаружено заболевание, а также от состояния организма и возраста пациента. Если патология выявлена на начальном этапе, показатель выживаемости составляет около 75%. Для поздних стадий он уменьшается до 25-28%.
Куда метастазирует остеосаркома?
Как правило, остеогенная саркома метастазирует в легкие (правое или левое легкое), головной мозг, позвоночник. Движение аномальных клеток гематогенное, с током крови. Возможно формирование контрактур, стойких участков неподвижности сустава.
Что такое остеосаркома бедренной кости?
Остеосаркома – это вид онкологического заболевания, поражающей костную ткань. Среди всех форм рака кости, данный тип встречается в 50% случаев. Характеризуется агрессивным ростом и способностью к быстрому распространению.
Сколько человек может прожить с раком костей?
При своевременной диагностике и адекватной терапии показатель пятилетней выживаемости составляет 75–90%. Но шанс прожить 5 лет и более после операции значительно снижается у пациентов с метастазами в лёгких, костном мозге и других органах. Специфической профилактики рака костей не существует.
Советы
СОВЕТ №1
Обратите внимание на симптомы. Остеосаркома может проявляться в виде боли в области бедра, отека или ограниченной подвижности. Если вы заметили подобные симптомы, не откладывайте визит к врачу для диагностики.
СОВЕТ №2
Регулярно проходите медицинские осмотры, особенно если у вас есть предрасположенность к онкологическим заболеваниям. Раннее выявление опухоли может значительно повысить шансы на успешное лечение.
СОВЕТ №3
Обсуждайте все возможные варианты лечения с вашим врачом. Остеосаркома может требовать комплексного подхода, включая хирургическое вмешательство, химиотерапию и радиотерапию. Понимание всех этапов лечения поможет вам принимать более обоснованные решения.
СОВЕТ №4
Поддерживайте эмоциональное здоровье. Диагноз остеосаркомы может быть стрессовым, поэтому важно находить время для общения с близкими, участия в группах поддержки или обращения к психологу, чтобы справиться с эмоциональными трудностями.







