Физиологическая роль пальцев стопы – поддержание баланса, необходимого при ходьбе. Во время нее стопа словно перекатывается – пальцы помогают урегулировать такое перекатывание при ходьбе по разному рельефу. Поэтому перелом пальцев стопы (нарушение их целостности) чреват для нормального передвижения человека.
Признаки данного вида повреждения неспецифические: болевой синдром, отечность мягких тканей, нарушение функций (невозможность сгибания и разгибания в межфаланговых суставах), синюшность.
Неосложненный перелом лечат путем иммобилизации гипсовой повязкой. При открытом типе повреждения фаланг пальцев со смещением понадобится оперативное вмешательство.
Общие данные
Переломы пальцев стопы диагностируются в 2-7% случаев всех костных повреждений нижней конечности. По разным данным, у 10-30% пострадавших они сочетаются с переломами плюсневых костей (тех, которые являются своеобразным связывающим звеном между фалангами пальцев и костями предплюсны).
Описываемое повреждение наблюдается часто из-за активности человека, а также потому, что фаланги пальцев не являются достаточно прочными от природы.
Пик диагностирования данного вида патологии выпадает на возраст от 30 до 45 лет, когда часто задействованы в травмоопасных сферах человеческой деятельности – производственной, спортивной и так далее. Также высокая частота формирования этого вида повреждения обусловлена тем, что в таком возрасте нередко выясняют отношения силовыми методами, при этом травмируя друг друга. По озвученным причинам перелом пальцев стопы диагностируется чаще у представителей мужского пола, чем у женского: на одну женщину приходится три-четыре мужчины с описываемой разновидностью травмы.
Обратите внимание
Как и аналогичное повреждение пальцев кисти, перелом пальцев стопы чаще всего возникает из-за несчастных случаев и в спорте, несколько реже – в производственных и бытовых условиях.
Перелом пальцев стопы является распространенной травмой, часто возникающей в результате ударов или падений. Врачи отмечают, что основные признаки включают боль, отек, синяки и ограничение подвижности. При подозрении на перелом важно обратиться за медицинской помощью, так как неправильное лечение может привести к осложнениям. Врачебная тактика обычно включает рентгенографию для подтверждения диагноза, а также назначение покоя, иммобилизации и, в некоторых случаях, хирургического вмешательства. Профилактика таких травм заключается в ношении удобной обуви, внимательности при занятиях спортом и соблюдении правил безопасности в быту. Врачи подчеркивают важность своевременного обращения за помощью для минимизации последствий и быстрого восстановления.

Причины
Непосредственная причина возникновения описываемой патологии – воздействие на пальцы стопы силового агента, которое приводит к нарушению целостности костной ткани. Ситуации, в которых возникает перелом, бывают очень разные – от бытовых и спортивных до дорожно-транспортных происшествий и катастроф (производственных и природных).
Механизмы травматического повреждения пальцев стопы те же, что и при переломе пальцев кисти. Это сильный удар по пальцам, их сдавливание или зажимание, падение на ноги, когда ударная сила поверхности приходится в основном на пальцы стопы, огнестрельное ранение и другие.
По разным данным, в 20-30% случаев перелома пальцев стопы пострадавшие, по их же признаниям, не соблюдали элементарных правил техники безопасности. В одних случаев это наблюдалось вынужденно (человек опаздывал на работу, бежал, споткнулся – сломал пальцы стопы). Но в других случаях описываемый вид травмы возникал из-за халатности по отношению к собственному здоровью – во время шуточного противоборства взрослых в форме игр, при игнорировании погодных условий (количество переломов пальцев стопы возрастает во время зимнего периода – а именно при гололеде), из-за прыжков вперед ногами в малоизученные водоемы с опасным рельефом дна и так далее. Нередко наблюдаются достаточно курьезные случаи перелома пальцев стопы – например, рассерженный человек в порыве эмоций пытается пнуть ногой твердый громоздкий предмет, который в нормальных условиях не сдвинуть с места, или кто-то кому-то наступает на ногу (в частности, острым каблуком женской обуви).
Нередко переломы пальцев стопы возникают при потере элементарной осторожности человеком:
- в состоянии алкогольного опьянения;
- после приема наркотических веществ.
Возросло количество случаев данного травматологического нарушения, связанных с неудавшимися суицидальными попытками. Как правило, такие переломы диагностировались у пострадавших, которые выпрыгивали из окна или с балкона, при этом оставались живы, но ломали себе верхние и нижние конечности (в том числе пальцы стоп), неудачно приземлившись на твердую поверхность.
Обратите внимание
Количество переломов пальцев стопы возрастает в летний период – а именно во время сбора урожая с плодово-ягодных деревьев. Сборщики урожая неправильно оценивают свою физическую подготовку и способность балансировать на высоте, падают с дерева и повреждают пальцы стоп.
В производственных и сельскохозяйственных условиях описываемый вид повреждения, как и перелом пальцев кисти, чаще всего возникает при нарушении элементарных правил техники безопасности, а также при создании травмоопасной ситуации в рабочем пространстве. Львиная доля переломов пальцев стопы на производстве возникает из-за того, что человек зацепляется за валяющиеся предметы либо порог.
Перелом пальцев стопы чаще диагностируют в следующих видах спорта – это:
- футбол;
- баскетбол;
- борьба;
- конный, лыжный, горнолыжный мотоциклетный и автоспорт.
Так как фаланги пальцев не отличаются большой прочностью, переломы пальцев стопы часто диагностируются у людей, которые попали под обвалы (при техногенных либо природных катастрофах).
В ситуациях криминального характера описываемый вид травматического повреждения возникает не так часто, как перелом пальцев кисти.
Развитие патологии
У первого (большого) пальца стопы имеется две фаланги – основная и дистальная (то есть, наиболее отдаленная от туловища). У пальцев стопы от второго до пятого есть по три фаланги – основная, средняя и дистальная.
Обратите внимание
Самыми крепкими и устойчивыми к травматическому повреждению являются фаланги большого пальца. Причина банальная: они наиболее массивные в сравнении с фалангами других пальцев стопы.
После лечения неосложненных переломов ногтевой и средней фаланг каких-либо последствий не возникает. Иная ситуация наблюдается при повреждении основных фаланг. Они принимают участие в формировании плюснефалангового сустава, поэтому осложнения, связанные со сложностью перелома или его неправильным лечением, могут быть чреваты в будущем для походки: при этом могут возникать боли и нарушение перекатывания подошвы стопы, что влияет на походку в общем.
Как и травматические повреждения других костных структур, переломы пальцев стопы бывают:
- единичные и множественные;
- закрытые и открытые;
- без смещения и со смещением костных отломков;
- осложненные инфекцией и/или кровотечением.
В силу различных механизмов травматизации могут возникать переломы фаланг разных пальцев стопы или переломы всех фаланг одного пальца.
Помимо травматического, возникает патологический перелом пальцев стопы – нарушение целостности фаланг без травматического влияния на них: иногда пациенту стоит только сделать несколько шагов, чтобы возник перелом. Такое нарушение наблюдается на фоне патологий, способных спровоцировать ослабление костной ткани.
Перелом пальцев стопы — распространенная травма, часто возникающая в результате ударов или падений. Люди отмечают, что основными признаками являются резкая боль, отек и синяки в области поврежденного пальца. Иногда наблюдается затруднение при ходьбе. Врачебная тактика включает рентгенографию для подтверждения диагноза, а также назначение покоя, иммобилизации и, в некоторых случаях, хирургического вмешательства. Важно следить за состоянием травмированной области и обращаться к врачу при ухудшении симптомов. Профилактика включает ношение удобной обуви, избегание травмоопасных ситуаций и укрепление мышц стопы с помощью физических упражнений. Заботясь о своих ногах, можно значительно снизить риск подобных травм.

Симптомы перелома пальца на ноге
Описываемый вид травмы никогда не проходит бессимптомно. Наблюдаются следующие признаки:
- болевой синдром;
- деформация пальцев;
- отек мягких тканей;
- посинение кожи;
- крепитация;
- нарушение функций стопы.
Боли при переломе пальцев стопы имеют следующие характеристики:
- по локализации – в области перелома;
по распространению – иррадиация не наблюдается;
- по характеру – ноющие;
- по интенсивности – средней выраженности либо интенсивные, требующие инъекционного введения анальгетиков;
- по возникновению – появляются в момент травмы. Некоторые пациенты отмечают, что при травмировании не чувствовали боли – она возникала несколько позже.
Деформация пальца возникает при повреждении со смещением костных отломков. Она усугубляется за счет отека тканей. При переломе пальцев стопы отек может возникнуть не только в области пострадавшей фаланги, но и распространиться на соседние ткани.
Синюшность появляется при повреждении мелких сосудов и излитии крови в ткани пальца.
Крепитация – это хруст, который появляется при трении костных фрагментов друг о друга. Он наблюдается, как правило, при переломах фаланг большого пальца, так как образуются отломки большого размера.
При переломе пальцев стопы пациент не может опереться на пальцы – он использует для этого только пятку, а при ходьбе хромает, опираясь на задние отделы стопы.
Диагностика
Диагноз перелома пальцев стопы ставят по жалобам пациента, нюансам анамнеза (истории) перелома и результатам дополнительных методов обследования. Информативными являются физикальное обследование и инструментальные методы.
Важными анамнестическими данными является информация про обстоятельства травмы, динамику состояния пострадавшего (выясняется, ему стало хуже или состояние без изменений).
При физикальном обследовании выявляется следующее:
- при осмотре – определяются отек, деформация травмированного пальца (или пальцев), посинение;
- при пальпации (прощупывании) – определяются отечность, боли, деформация, крепитация.
Для выяснения сохранности функции врач просит пациента выполнить сгибание и разгибание в межфаланговых пальцах.
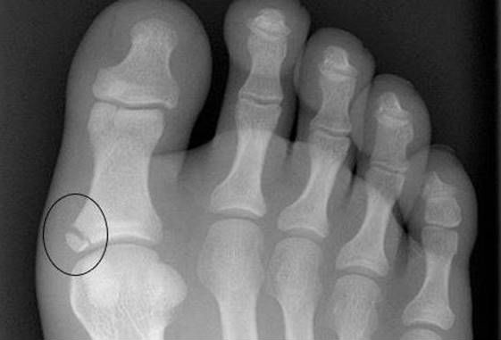
Из инструментальных методов в диагностике перелома пальцев стопы чаще всего используется рентгенографическое исследование.
Снимки делают в прямой, боковой, а также косых (в сомнительных случаях) проекциях. При этом выявляют нарушение целостности фаланги пальца, его характер, состояние краев костных отломков, которые образовались в момент травмы.
Другие методы инструментальной диагностики в массовом порядке не привлекают – рентгенографического обследования достаточно, чтобы выявить перелом, оценить его характеристики и принять решение про конкретный метод лечения. Если по техническим причинам, а также из-за анатомических особенностей пациента рентгенография неинформативна, то привлекается компьютерная томография (КТ) – компьютерные срезы позволяют рассмотреть место перелома, «разворачивая» в разные стороны изображение стопы на экране компьютера.
Лабораторные методы исследования позволяют выявить характер патологий, которые могли привести к слабости костной ткани, и осложнения перелома. Это:
- общий анализ крови – при инфицировании на фоне открытого перелома выявляются признаки воспаления – повышение количества лейкоцитов (лейкоцитоз) и СОЭ, при нагноении – их существенное повышение и смещение лейкоцитарной формулы влево. При опухолевом поражении отмечается существенное повышение СОЭ;
- биохимический анализ крови – на фоне патологий, которые приводят к слабости костных структур (в том числе – пальцев стопы), отмечается уменьшение количества микроэлементов (натрия, калия, флора, хлора, кальция);
- бактериоскопическое исследование – при открытом переломе под микроскопом изучают воспалительное выделяемое раны, определяют вид возбудителя;
- бактериологическое исследование – делают посев выделений раневой поверхности, возникшей при открытом переломе, на специальные питательные среды, по колониям идентифицируют возбудителя. Сделав посев на питательные среды, приготовленные с использованием антибактериальных средств, выявляют чувствительность микроорганизмов к антибиотикам.

Дифференциальная диагностика
Дифференциальную (отличительную) диагностику чаще всего проводят между:
- переломами разных фаланг;
- переломами основной фаланги и плюсневых костей.
Осложнения
Осложнения, которые сопровождают перелом пальцев стопы, могут быть:
- неинфекционные;
- инфекционные.
К первым относятся:
- нарушение сращения костных отломков. Возобновление целостности костных фрагментов может проходить на протяжении более длительного времени, чем обычно;
- гематома – кровоподтек;
- травматический шок – ухудшение микроциркуляции, которое спровоцировано нарушением нейро- и гуморальной (эндокринной) регуляции из-за болевого шока;
- повреждение нервных окончаний с последующим нарушением чувствительности;
- нарушение двигательной активности на фоне повреждения нервных окончаний – вплоть до обездвиживания.
Инфекционные осложнения являются последствием открытого перелома. Чаще всего это:
- нагноение раны;
- нагноение гематомы;
- абсцесс – ограниченный гнойник;
- флегмона стопы – разлитое гнойное поражение мягких тканей;
- лимфаденит – воспалительное поражение регионарных (подколенных) лимфатических узлов;
- лимфангит – воспаление лимфатических сосудов;
- остеомиелит – образование гнойно-некротических очагов в костной ткани, сопровождающееся образованием в мягких тканях свищей (патологических ходов);
- сепсис – распространение патогенной микрофлоры с током крови или лимфы по всему организму с образованием метастатических гнойных очагов.
Перелом пальцев на ноге: что делать
Лечение перелома пальцев стопы бывает консервативное и оперативное. При необходимости проведения хирургического вмешательства продолжают ряд консервативных назначений.
Медицинское вспоможение заключается в оказании первой медицинской помощи и дальнейшем лечении.
При переломе пальцев стопы до прибытия медиков выполняются следующие действия:
- купирование кровотечения с целью предупреждения кровопотери. Как правило, при описываемом виде травмирования достаточно давящей повязки. При открытом переломе и выстоянии костных отломков в ране палец пережимают выше места повреждения;
- местно холодовое воздействие;
- установка шины для временного обездвиживания поврежденного пальца и предупреждения смещения его отломков;
- обезболивание. Как правило, используют инъекционные ненаркотические анальгетики;
- обработка антисептиками раневой поверхности, которая возникла при открытом переломе.
Далее пациента транспортируют в клинику. В условиях медицинского учреждения при неосложненных переломах проводят иммобилизацию поврежденного пальца (или пальцев) – накладывают гипсовую повязку. При переломе со смещением проводят сопоставление костных отломков, фиксируют их с помощью гипсовой повязки и позволяют пациенту отправиться домой для амбулаторного лечения.
Если в месте перелома кожные покровы были повреждены, но сам перелом выявился неосложненным, то проводят первичную хирургическую обработку раны (ПХО). Во время нее из раны удаляют инородные тела (например, обрывки носков), рану санируют (промывают антисептическими растворами) и накладывают швы. После этого выполняют иммобилизацию гипсовой повязкой и проводят консервативную терапию (она перекликается с послеоперационными назначениями, о которых будет сказано ниже).
Оперативное лечение перелома пальцев стопы проводится по показаниям. Ими являются переломы:
- открытый со смещением;
- оскольчатый;
- внутрисуставной;
- сопровождающийся нарушением целостности сосудов и нервных структур.
При описанных выше переломах сложно добиться правильной репозиции костных отломков, поэтому для их фиксации используют различные металлические приспособления (проволоку, болты и так далее) – операция в этом случае называется остеометаллосинтезом. Во время хирургического вмешательства оценивают состояние костных отломков, образовавшихся при травмировании пальцев стопы. При этом придерживаются щадящих принципов – отломки удаляют в том случае, если они:
- сильно загрязнены;
- нежизнеспособные;
- не связаны с надкостницей (тонкой соединительнотканной пленкой, кровеносные сосуды которой обеспечивают питание костной ткани);
- слишком мелкие.
После операции продолжают консервативное лечение. Назначаются:
- функциональный покой – не только пораженного пальца, но и всей стопы;
- перевязки;
- обезболивающие;
- употребление в пищу продуктов с высоким содержанием микроэлементов – в первую очередь – кальция. Это молоко и молочные продукты, миндаль, чеснок и другие;
- антибиотики – для профилактики и купирования послеоперационных инфекционных осложнений;
- аптечные препараты кальция для внутреннего применения;
- витамины – в виде аптечных комплексов (для приема внутрь) или инъекционных препаратов.
Выяснив из анамнеза наличие заболеваний, которые могли спровоцировать слабость костной ткани и тем самым поспособствовать возникновению перелома, проводят контрольное обследование и делают необходимые назначения. Поэтому таких пациентов лечат не только травматологи, но и смежные специалисты.
Важно
При снятии гипса пациент должен щадить пострадавшие пальцы – в раннем периоде костная мозоль еще не окрепшая, при силовом воздействии может возникнуть повторный перелом. Чтобы уменьшить нагрузку на стопу со стороны поражения, рекомендуется использовать трость.
Независимо от методов лечения перелома пальцев стопы проводят контрольное рентгенологическое исследование. Если наблюдается нормальное сращение костных отломков, то назначаются реабилитационные мероприятия. Это:
- ЛФК (комплекс упражнений, которые разработаны специально для пальцев стопы);
- массаж (курс при необходимости повторяют);
- физиотерапевтические методы лечения. Это СВЧ, УВЧ, лазеротерапия, в более позднем периоде – аппликации озокерита.
Профилактика
Основной мерой профилактики травматических переломов пальцев стопы является избегание любых (бытовых, рабочих, спортивных и других) ситуаций, во время которых есть риск повреждения пальцев стопы.
Если трудовая или другая деятельность связана с возможной травматизацией, то род деятельности следует менять.
Действия, которые помогут предотвратить возникновение патологических переломов пальцев стопы, следующие:
- правильное питание – регулярное употребление продуктов с высоким содержанием кальция, других микроэлементов и витаминов;
- регулярные занятия физкультурой – благодаря им укрепляется организм в целом и костная ткань в частности;
- регулярные профилактические осмотры. Их проводят для раннего выявления и ликвидации патологий, при которых может наблюдаться ослабление костной ткани, провоцирующее легкое возникновение перелома даже при невыраженном травматическом воздействии.
Прогноз
Прогноз при переломе пальцев кисти разный. Угрозы для жизни при таком виде травмы нет, но дальнейшее благополучие и функциональная активность поврежденных пальцев зависят от ряда факторов. Это:
- выраженность перелома – чем больше фаланг пальцев пострадало, тем сложнее такого пациента лечить;
- своевременное обращение пациента в клинику;
- его возраст;
- развитие осложнений.
Прогноз ухудшается при таких обстоятельствах, как:
- развитие осложнений – в первую очередь, контрактуры (ограничения амплитуды движений пальцев стопы), а также инфицирования при открытом переломе;
- самолечение;
- несоблюдение пациентом рекомендаций врача – в частности, слишком ранняя нагрузка на поврежденные пальцы.
Если лечение было успешным, но реабилитационный период – неадекватным, то возникает риск ухудшения функциональных возможностей пораженных пальцев. На фоне системных патологий костных тканей период консолидации может затянуться, а в более позднем периоде могут наступить повторные переломы.
Ковтонюк Оксана Владимировна, медицинский обозреватель, хирург, врач-консультант
Вопрос-ответ
Что делают врачи при переломе пальцев?
Лечение переломов фаланг пальцев Переломы фаланг пальцев с незначительным смещением или без смещения лечат наложением гипсовой повязки на 3-4 недели. При смещении для обеспечения движения в суставах пальцев производится хирургическое лечение – остеосинтез (фиксация отломков).
Что делают при переломе пальцев на ноге?
На сломанный палец накладывается шина, которая приматывается к соседнему пальцу, Репозиция пальца с последующей фиксацией, При переломе пальцев ноги со смещением осуществляется металло остеосинтез – фиксация костных отломков при помощи металлоконструкций: пластин, спиц и др.
Как оказать первую помощь при переломе стопы?
Приложить холод к стопе. Раны обработать антисептиком, наложить стерильную повязку. Зафиксировать конечность при помощи досок, фанеры. Сустав нужно фиксировать выше и ниже места перелома.
Как определить перелом пальца стопы?
Как диагностировать перелом пальца При переломе ощущается резкая боль, которая может отдавать в ближайшие отделы стопы. Деформация фаланги, неестественное положение пальца. Вздутие и сильная (острая) пульсация в месте перелома. При переломе, пострадавший не может пошевелить поврежденным пальцем.
Советы
СОВЕТ №1
При подозрении на перелом пальца стопы, немедленно обратитесь к врачу для диагностики. Самостоятельная диагностика может привести к неправильному лечению и осложнениям.
СОВЕТ №2
Если у вас произошел перелом, старайтесь избегать нагрузки на поврежденную ногу. Используйте костыли или другие средства передвижения, чтобы не усугубить травму.
СОВЕТ №3
Для профилактики переломов пальцев стопы носите удобную обувь, которая хорошо поддерживает стопу и защищает пальцы от ударов. Избегайте высоких каблуков и слишком тесной обуви.
СОВЕТ №4
Регулярно выполняйте упражнения для укрепления мышц и связок ног, чтобы повысить их устойчивость к травмам. Это поможет снизить риск получения переломов в будущем.





