Периимплантит – это воспаление костных структур и других тканей, окружающих имплантат. В отсутствие своевременной диагностики и адекватного комплексного лечения патология ведет к резорбции (прогрессирующей убыли) костной ткани, подвижности имплантата и, в конечном итоге, потере конструкции.
Важно
Согласно разным данным, периимплантит развивается в 12-43% случаев.
Причины периимплантита
К числу причин заболевания относятся:
- одонтогенная инфекция;
- врачебные ошибки в ходе проведения процедуры вживления;
- низкое качество конструкции (встречается крайне редко);
- образование поддесневой гематомы с последующим нагноением;
- низкий уровень гигиены полости рта.
Если в ближайшем послеоперационном периоде периимплантит обусловлен преимущественно нарушением технологии постановки имплантата, то в отдаленные сроки на первое место выходит банальное несоблюдение больным элементарных правил гигиены.
Врачебные ошибки это – нарушения правил асептики и антисептики, некорректный подбор внутрикостного фрагмента, а также неправильно изготовленные ортопедические конструкции, приводящие к местной перегрузке и, как следствие, хронической травме периодонтальных тканей. К числу прочих ошибок стоматолога можно отнести наличие микроскопических зазоров между имплантантом и абатментом, а также нарушение целостности костных структур при чрезмерном усилии в процессе вкручивания и неадекватное ушивание разреза мягких тканей.
Особенности конструкции имплантата повышают вероятность скопления мягкого зубного налета и минерализованных отложений, поэтому несоблюдение правил гигиены и редкое посещение стоматолога с целью профилактического осмотра и профессиональной чистки зубов является важным предрасполагающим факторов развития периимплантита.
К факторам риска относятся:
- гингивит;
- пародонтит;
- низкий уровень иммунитета;
- сахарный диабет;
- бруксизм (ночное скрежетание зубами);
- никотиновая зависимость.
Важно
Инфекционные агенты аналогичны таковым при пародонтите.
Врачи отмечают, что периимплантит является серьезным осложнением, возникающим вокруг зубных имплантатов. Основными симптомами этого состояния являются покраснение, отек десен, а также наличие гноя и неприятного запаха изо рта. Важно, чтобы пациенты не игнорировали эти признаки, так как запущенный периимплантит может привести к потере имплантата. Специалисты рекомендуют регулярные профилактические осмотры и тщательную гигиену полости рта. Лечение может включать как консервативные методы, такие как антибиотики и профессиональная чистка, так и хирургические вмешательства в более сложных случаях. Врачи подчеркивают, что ранняя диагностика и адекватное лечение являются ключевыми факторами для успешного восстановления здоровья десен и сохранения имплантатов.

Симптомы периимплантита
Заболевание сопровождается следующими клиническими признаками:
- болевой синдром в области вживленной конструкции;
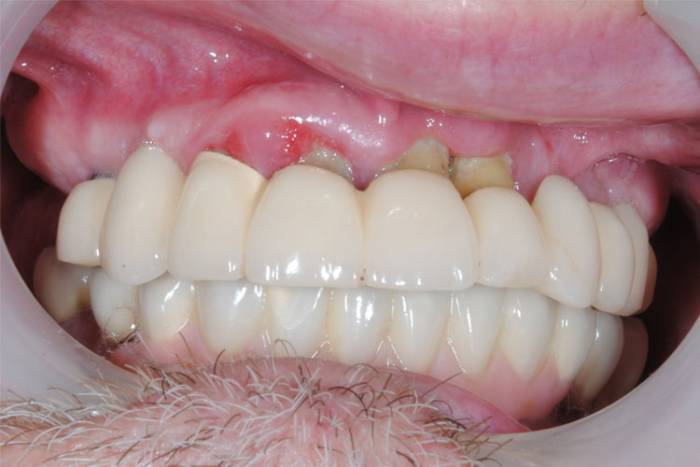
- гиперемия (покраснение) десны в проекции имплантата;
- воспалительная отечность мягких тканей;
- формирование патологического зубодесневого кармана;
- нарастающая подвижность конструкции;
- выделение крови или гноя.
Классификация
По клиническому течению принято различать 4 формы периимплантита:
- острый;
- субклинический (вялотекущий);
- стадия ремиссии;
- абсцедирование.
Обратите внимание
Для заболевания характерно поэтапное развитие.
Периимплантит — это воспалительное заболевание, которое поражает ткани вокруг зубных имплантатов. Многие пациенты отмечают, что основными симптомами являются покраснение, отечность десен и неприятный запах изо рта. Иногда может возникать гнойное выделение и даже боль в области имплантата. Важно помнить, что игнорирование этих признаков может привести к серьезным осложнениям, включая потерю имплантата.
Лечение периимплантита обычно начинается с профессиональной чистки и устранения бактериального налета. В некоторых случаях может потребоваться применение антибиотиков для борьбы с инфекцией. Если заболевание запущено, может понадобиться хирургическое вмешательство для восстановления тканей. Профилактика включает регулярные визиты к стоматологу и тщательную гигиену полости рта. Многие пациенты подчеркивают, что ранняя диагностика и своевременное лечение играют ключевую роль в успешном восстановлении здоровья десен и имплантатов.

Диагностика
При постановке диагноза стоматолог собирает подробный анамнез, проводит полный осмотр ротовой полости и проводит рентгенологическое исследование.
В ходе дифференциальной диагностики специалисту следует отличать периимплантит от мукозита – заболевания, характеризующегося воспалением мягких тканей без поражения костных структур.
Наиболее информативными диагностическими аппаратными методиками являются прицельная рентгенография, ортопантомография, а также компьютерная томография, позволяющие выявить наличие и степень резорбции костных структур. В качестве дополнительных методик применяются лабораторные методы исследования – полимеразная цепная реакция, бактериологическое исследование и определение рН жидкости полости рта.
Лечение периимплантита
Комплексное лечение патологии осуществляется поэтапно. Вначале прибегают к консервативным мерам с целью ликвидации воспаления и устранения мягких и минерализованных зубных отложений. На следующем этапе осуществляется полная очистка и стерилизация имплантата и костная пластика.
Важно
В тяжелых случаях показано удаление конструкции с последующей реимплантацией после курса терапии.
Консервативные методики включают профессиональную чистку ротовой полости, озонирование патологических карманов, лазеротерапию, полоскания и аппликации растворами с антисептическим эффектом.
При необходимости изготавливают новую коронку (наддесневую часть) для снижения нагрузки на проблемную область.
Хирургическое лечение предполагает надрез и откидывание периодонтального лоскута с последующей ревизией патологического кармана. Помимо этого проводится антисептическая обработка имплантата и тщательное промывание зубодесневого кармана антисептиком. На заключительном этапе в патологический карман вносят остеокондуктивный материал, служащий каркасом для формирования новой костной ткани, и особой барьерной мембраны. По окончании манипуляций проводится ушивание с наложением стерильной пародонтальной повязки.
После операции пациенту показаны полоскания растворами антисептиков и пероральный прием антибактериальных средств.
В тяжелых случаях и при рецидивах (обострениях) имплантат удаляют, и, после стихания воспалительных явлений, проводят реимплантацию, т. е. установку новой конструкции.

Профилактика
Как и большинство других патологий, периимплантит в большинстве случаев гораздо проще предупредить, чем вылечить.
Пациентам, перенесшим процедуру имплантации данного протеза, настоятельно рекомендуется обратить особое внимание на гигиену ротовой полости. Помимо обычных щеток и паст целесообразно приобрести флоссы (зубные нити), многопучковую щетку, особый ершик, а также инновационное устройство – ирригатор.
Следует соблюдать все предписания лечащего врача, принимать меры для укрепления общего и местного иммунитета, своевременно санировать очаги хронической инфекции (особенно в полости рта и носоглотке), а также отказаться от курения.
Плисов Владимир, стоматолог, медицинский обозреватель
Вопрос-ответ
Как понять, что начался периимплантит?
Основные признаки – воспаление слизистой и резорбция кости. В норме после имплантации отсутствует покраснение десны, кровотечение при зондировании, отек и нагноение. ” Перед появлением периимплантита чаще всего развивается мукозит.
Можно ли вылечить периимплантит?
Лечение периимплантита проводится исключительно при неподвижности искусственного корня. Если диагностируется даже малейшая подвижность, показано удаление зубного импланта.
Чем полоскать рот при периимплантите?
Для купирования воспаления врач прописывает курс антибиотиков. Чтобы поддерживать надлежащую гигиену полости рта, необходимо ежедневно полоскать рот антисептическим раствором, например, хлоргексидином. При наличии болей выписываются обезболивающие препараты. Все назначения врача необходимо строго соблюдать.
Как болит периимплантит?
Симптоматика периимплантита В начале развития болезни заметное покраснение и отек десен, ощутимый дискомфорт в зоне установленного имплантата. Кровоточивость десен. Образование кармане между имплантом и деснами (может сопровождаться выделением гнойного экссудата).
Советы
СОВЕТ №1
Регулярно посещайте стоматолога для профилактических осмотров. Это поможет выявить проблемы на ранних стадиях и предотвратить развитие периимплантита.
СОВЕТ №2
Обратите внимание на гигиену полости рта. Используйте зубную нить и антисептические ополаскиватели, чтобы уменьшить риск воспаления вокруг имплантов.
СОВЕТ №3
При появлении любых симптомов, таких как покраснение, отек или болезненность вокруг импланта, не откладывайте визит к стоматологу. Раннее вмешательство может предотвратить серьезные осложнения.



