Периостит – это воспалительный процесс в области надкостницы, который может протекать в острой и хронической форме, относиться к асептическому или инфекционному виду. В зависимости от того, какой характер носят патологоанатомические изменения, врачи выделят фиброзный, серозный, гнойный, сифилитический, оссифицирующий и туберкулезный периостит. Несмотря на то, что данное заболевание может поражать любые кости организма, чаще всего его локализация приходится на область нижней челюсти и диафизов трубчатых костей.
Воспалительный процесс обычно возникает в одном слое надкостницы (наружном или внутреннем) и только через некоторое время начинается его распространение на остальные слои. Так как кость и надкостница слишком тесно связаны между собой, то врачи нередко диагностируют остеомиелит на фоне периостита – в таком случае диагноз будет звучать как остеопериостит.
Виды воспаления надкостницы
Врачи отмечают, что периостит, воспаление надкостницы, может проявляться в различных формах, включая острый и хронический периостит. Острый период характеризуется резкой болью, отеком и покраснением в области поражения, что требует немедленного обращения к специалисту. Хроническая форма часто развивается на фоне травм или инфекций и может проявляться менее выраженными симптомами, что затрудняет диагностику. Лечение периостита зависит от его формы и причин. Врачи рекомендуют комплексный подход, включающий противовоспалительные препараты, физиотерапию и, в некоторых случаях, хирургическое вмешательство для удаления гноя или некротических тканей. Важно также учитывать индивидуальные особенности пациента, чтобы избежать рецидивов и обеспечить полное восстановление. Регулярные консультации с врачом помогут контролировать состояние и предотвратить осложнения.

Простое воспаление
Оно является асептическим процессом, возникает вследствие различных травм или же присутствия воспалительных очагов, близко распложенных к надкостнице.
Пациент с прогрессирующим простым воспалением надкостницы предъявляет жалобы на умеренно выраженную боль, а врач в месте поражения выявляет отечность мягких тканей незначительной интенсивности, болезненность этого места при пальпации.
Как правило, рассматриваемый вид воспаления надкостницы отлично поддается лечению, врачи в состоянии купировать патологический процесс за 5-6 дней. Крайне редко простая форма периостита переходит в хроническое течение оссифицирующего воспаления надкостницы.
Фиброзное воспаление надкостницы
Развивается при длительном раздражении надкостницы, что может произойти, например, при хроническом артрите, некрозе кости или хронической язве трофического характера с локализацией в голени. Для фиброзного периостита характерно постепенное начало и хроническое течение.
Симптомы фиброзного воспаления надкостницы:
- отек мягких тканей умеренной интенсивности в месте развития воспалительного процесса;
- в месте поражения имеется утолщение кости;
- место локализации патологического процесса отличается безболезненностью даже при интенсивной пальпации.
Если больной проходит грамотное лечение основного заболевания, то рассматриваемый процесс начинает регрессировать, то есть воспаление сходит на нет.
Обратите внимание: если фиброзный периостит протекает длительное время, то может произойти поверхностное разрушение костной ткани, есть даже сведения о случаях озлокачествления пораженного участка.
Периостит — это воспаление надкостницы, которое может вызывать значительный дискомфорт и боль. Люди, столкнувшиеся с этой проблемой, часто описывают симптомы как острые и пульсирующие, особенно при движении. Существует несколько форм периостита, включая острый и хронический, каждая из которых требует индивидуального подхода к лечению. Важно отметить, что причины воспаления могут варьироваться от травм до инфекций. В лечении обычно применяются противовоспалительные препараты, физиотерапия и, в некоторых случаях, хирургическое вмешательство. Многие пациенты отмечают, что своевременное обращение к врачу и соблюдение рекомендаций значительно ускоряют процесс выздоровления. Однако, несмотря на это, некоторые продолжают испытывать дискомфорт даже после лечения, что подчеркивает важность комплексного подхода к восстановлению.

Гнойное воспаление надкостницы
Развивается при проникновении инфекции из внешней среды, распространении микробов из соседнего гнойного очага либо при пиемии. Как правило, возбудителям гнойного воспаления надкостницы являются стафилококки или стрептококки. Чаще всего отмечается данный вид периостита в длинных трубчатых костях – например, большеберцовой, бедренной или плечевой, а если виновником патологии стала пиемия, то возможно формирование множественных очагов воспаления надкостницы.
Начальный этап развития гнойного периостита характеризуется воспалением надкостницы, появлением в ней серозного или фибринозного экссудата – вот он-то как раз и превращается потом в гной. Внутренний слой надкостницы пропитывается гноем и начинает отделяться от кости, в образовавшемся пространстве между костью и надкостницей формируется субпериостальный абсцесс. Дальнейшее развитие рассматриваемого заболевания вариативно:
- гной разрушает участок надкостницы и проникает в мягкие ткани, что приводит к формированию параоссальной флегмоны. Эта флегмона может в будущем либо распространиться в мягкие ткани, либо вскрыться наружу через кожу;
- гной отслаивает большой участок надкостницы, что приводит к ограничению питания кости и образованию поверхностного некроза.
Обратите внимание: гнойное воспаление надкостницы может иметь неблагоприятное развитие, и тогда гной будет проникать в костномозговую полость, что провоцирует развитие остеомиелита.
Гнойное воспаление надкостницы характеризуется острым началом:
- больной жалуется на сильные боли;
- температура тела повышается до субфебрильных показателей;
- появляются головные боли и общая слабость;
- исследование позволяет выявить отек, покраснение и резкую болезненность места развития рассматриваемой патологии.
В некоторых случаях врачи выделяют острейший/злокачественный периостит, который характеризуется мощными гнилостными процессами. И тогда надкостница набухает, стремительно разрушается и распадается, а кость оказывается буквально окутанной гноем.
Серозное альбуминозное воспаление надкостницы
Как правило, такой вид рассматриваемого заболевания развивается после травмы и поражает длинные трубчатые кости – бедро, плечо, а также ребра. Характерными признаками серозного альбуминозного воспаления надкостницы являются:
- образование большого количества серозно-слизистой жидкости, в составе которой обнаруживается много альбуминов;
- скопление экссудата в поднадкостничной области;
- зона экссудата окружена грануляционной тканью и покрыта плотной оболочкой.
Течение такого вида воспаления надкостницы может быть подострым или хроническим, жалобы больного сосредоточены только на боли в пораженной области. В самом начале заболевание может приводить к незначительному повышению температуры тела, а если очаг периостита расположен недалеко от суставов, то в них появится скованность движений.

Оссифицирующее воспаление надкостницы
Это достаточно распространенная форма воспалительного процесса, которая возникает при продолжительном раздражении надкостницы. Развитие заболевания может быть самостоятельным или быть следствием длительно текущего воспалительного процесса в окружающих тканях. Чаще всего оссифицирующее воспаление надкостницы диагностируется при:
- хроническом остеомиелите;
- хронических варикозных язвах голени;
- хроническом артрите;
- туберкулезе котно-суставного типа;
- врожденном и/или третичном сифилисе;
- рахите;
- костных опухолях.
Данный вид воспаления надкостницы проявляется разрастанием костной ткани в зоне воспаления, а перестает прогрессировать только в том случае, если проводится эффективное и успешное лечение основного заболевания.
Туберкулезное воспаление надкостницы
Оно всегда является первичным, чаще диагностируется у пациентов детского возраста и имеет локализацию в области черепа и ребер. Течение туберкулезного воспалительного процесса в надкостнице всегда носит хронический характер, может сопровождаться образованием свищей с гнойным отделяемым.
Сифилитическое воспаление надкостницы
Этот вид рассматриваемого заболевания может проявиться при врожденном или третичном сифилисе, но достаточно часто первые признаки обнаруживаются специалистом еще во вторичном периоде сифилиса. Пациенты предъявляют жалобы на очень сильные боли в местах поражения, которые усиливаются в ночное время. Пальпация позволяет выявить ограниченную припухлость, которая безболезненна.
Результатом сифилитического воспаления надкостницы может стать самопроизвольное рассасывание инфильтрата, разрастание костной ткани или нагноение с распространением на близлежащие мягкие ткани и образованием свищей.
Кроме перечисленных случаев, воспаление надкостницы может развиться и на фоне:
- гонореи;
- сыпного тифа;
- бластомикоза длинных трубчатых костей;
- ревматизма;
- варикозного расширения глубоких вен;
- болезни Гоше;
- заболеваний органов кроветворения;
- чрезмерной нагрузки на нижние конечности.
Диагностические мероприятия
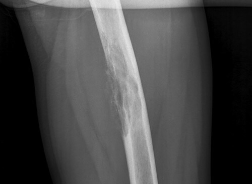
Острое воспаление надкостницы может быть диагностировано на основании анамнеза и симптомов, так как рентгенологическое исследование покажет патологическое изменение надкостницы только через 2 недели с начала заболевания. Главным методом диагностики рассматриваемого заболевания является рентгенография, которая позволяет оценить форму, структуру, очертания, размеры и распространенность наслоений в надкостнице. Но рентгенография позволяет врачу составить только лишь представление о характере, форме заболевания, но не дает возможности выяснить истинную причину прогрессирующей патологии. Чтобы диагностика была полноценной, пациенту назначают:
- ультразвуковое дуплексное сканирование глубоких вен;
- определение ревматоидного фактора и С-реактивного белка;
- определение уровня иммуноглобулинов;
- ПЦР-исследования.
Обратите внимание: врач будет делать назначения по конкретным диагностическим процедурам в индивидуальном порядке. Выбор исследований зависит от того, какую причину развития воспаления надкостницы подозревает специалист. Например, при подозрении на гонорею или сифилис совсем нецелесообразно проводить УЗИ глубоких вен, а вот ПЦР-исследования обязательно нужны.
Общие принципы лечения воспаления надкостницы
Лечение рассматриваемого заболевания зависит от того, какой именно вид патологии развивается у пациента. В любом случае все медицинские процедуры, в том числе и диагностические, проводятся в лечебном учреждении.
Если у больного ставится диагноз простое воспаление надкостницы, то ему будет показан покой, обезболивающие и противовоспалительные средства. Чаще всего такой вид периостита вылечивается за 14-20 дней, но только в том случае, если пациент действительно соблюдает постельный режим и проходит полный курс медикаментозного лечения. Кстати, через 7 дней после начала лечения врач будет проводить контрольное обследование больного и если будет отмечена положительная динамика, то пациента могут перевести на амбулаторное лечение.
Если же воспаление надкостницы протекает с образованием гноя, то врачи будут проводить вскрытие и дренирование гнойника. Такие раны нужно регулярно промывать антисептиками, параллельно с хирургическим лечением больному назначаются анальгетики и антибактериальные препараты.
Хроническая форма воспаления надкостницы требует длительного лечения, которое проводится в амбулаторных условиях. Сначала больной должен пройти терапию основного заболевания в лечебном учреждении, а затем уже его выписывают домой с назначениями лазерной терапии, ионофореза димексидом и хлоридом кальция.
Оперативное вмешательство по поводу рассматриваемого заболевания проводится крайне редко, чаще всего оно назначается при сифилитическом или туберкулезном воспалении надкостницы, когда уже имеются свищи с гнойным отделяемым.
Воспаление надкостницы – достаточно распространенное заболевание, которое представляет опасность для здоровья человека. При появлении самых первых симптомов патологического процесса стоит обратиться за квалифицированной медицинской помощью. Современная медицина умеет лечить рассматриваемое заболевание, но прогнозы будут благоприятными только в случае своевременного обращения к врачам.
Цыганкова Яна Александровна, медицинский обозреватель, терапевт высшей квалификационной категории
Вопрос-ответ
Как лечат воспаление надкостницы?
Периостит лечат хирургическим методом. Сначала слизистую оболочку в области поражения обеззараживают, затем обезболивают посредством местной анестезии, после чего, на десне возле пораженного зуба делают надрез, в который вставляют дренаж, чтобы обеспечить отток гноя.
Как лечить периостит?
При своевременном обращении к врачу лечение периостита занимает не более 10 дней. Оно заключается в удалении абсцесса: под анестезией в очаге воспаления делается надрез, ткани очищают от гноя, обрабатывают антисептиками. При необходимости на несколько дней устанавливается дренажная система.
Какие препараты назначают при периостите?
В начальной стадии острого периостита челюсти (острый серозный периостит) проводят терапевтическое лечение причинного зуба/зубов и консервативную лекарственную терапию. Назначают антибактериальные препараты следующих групп: пенициллины, фторхинолоны, цефалоспорины, макролиды, линкозамиды, тетрациклины.
Что помогает при воспалении надкостницы?
Лечение Для лечения надкостницы используется комплексное лечение, в которое входит: Медикаментозное лечение назначением антибиотиков и других противовоспалительных препаратов. Хирургическое, которое предусматривает вскрытие гнойного нарыва, тщательное его очищение от гноя и дезинфекция с применением антибиотиков.
Советы
СОВЕТ №1
Перед началом лечения периостита обязательно проконсультируйтесь с врачом. Самолечение может привести к осложнениям, поэтому важно установить точный диагноз и определить форму воспаления.
СОВЕТ №2
Следите за своим состоянием и обращайте внимание на симптомы, такие как боль, отек или покраснение в области пораженной кости. Чем раньше вы обратитесь за медицинской помощью, тем быстрее сможете начать лечение.
СОВЕТ №3
При лечении периостита важно соблюдать режим покоя и избегать физической активности, которая может усугубить состояние. Дайте своему организму время на восстановление.
СОВЕТ №4
Не забывайте о поддерживающей терапии, такой как физиотерапия или применение противовоспалительных препаратов, которые могут помочь уменьшить боль и ускорить процесс заживления. Обсудите эти варианты с вашим врачом.





