Вы слышали, что плодное яйцо может иметь неправильную форму? Я тоже не знала, что такая патология существует. Сегодня мы с вами поговорим, что такое деформированное плодное яйцо на ранних сроках беременности и почему это происходит. Но главное – разберемся, является ли это состояние опасным и как избежать его.
Важна ли форма
Как только женщина понимает, что наступила беременность, она обязана встать на учет у врача, чтобы специалист мог наблюдать за состоянием мамочки и ее ребенка. В первом триместре обязательно назначают различные исследования, в том числе, УЗИ.
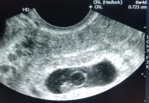
Специалист в первую очередь определяет наличие беременности, о чем расскажет наличие плодного элемента – это эмбрион и различные оболочки, окружающие его. Он диагностируется уже на 5 неделе срока. Тогда же определяется патология.
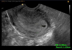
В исследованиях главным показателем является средний и внутренний диаметр плодного яйца (СВД). О сроке беременности судят по размеру имеющегося плодного яйца, которое в первые недели должно быть овальной или сферической формы. Это норма.
Поэтому прогноз для беременности в случае с деформированным плодным элементом почти всегда положительный. Но более точно можно будет сказать только после проведения определенных исследований.
Почему это происходит
Мамочек больше всего интересует вопрос о том, почему ее плодное яйцо может быть на раннем сроке деформировано. На самом деле причин патологии может быть несколько. Основная заключается в деформировании за счет серьезного гипертонуса матки. Это сказывается на форме плодного яйца, которое сдавливается.
К другим факторам риска следует отнести:
- перенесенный стресс;
- возникшие инфекции в органах половой системы;
- инфекции вирусного и бактериального типа в других органах;
- гормональный дисбаланс.
Это далеко не весь перечень причин. Что это значит для женщины? Полный спектр исследований, после которых обычно врач назначает медикаментозное лечение. Но и самой мамочке нужно будет вести себя аккуратно, иначе последствия могут быть непредсказуемыми.
Что делать? Вернее, чего не стоит делать, так это заниматься любовью с мужем, нагружать организм физическими упражнениями, переживать по разным пустякам.
Что еще покажет исследование
УЗИ показывает врачу не только форму, но и патологии, которые могут быть вызваны при этом. Например, уже на 6 неделе можно спрогнозировать замирание беременности.
Патологии могут быть разными:
- плодное яйцо маленького размера;
- большой размер яйца;
- вытянутая форма.
Говорить о маленьком размере следует, если яйцо не соответствует сроку беременности. Но чаще всего это является не патологией, а ошибкой при определении недели беременности. Но это же может наблюдаться при наличии замершей беременности.
В данной ситуации нужно будет провести исследования дополнительного характера. Но если у женщины наблюдаются к тому же и коричневые выделения, то стоит поспешить со сдачей анализов. Это может быть связано с замершей или внематочной беременностью. Промедление недопустимо!
Большое яйцо также свидетельствует о неправильно развивающейся беременности. Исследования показывают, что оно развивается без эмбриона. Но в этом случае часто допускаются ошибки при ультразвуковом исследовании, поэтому лучше всего его проводить после 7 недели беременности.
В норме форма может быть круглой или овальной. Но иногда УЗИ показывает вытянутость яйца. Обычно речь идет о гипертонусе матки, который требует лечения в стационаре. Яйцо вытянутой формы наблюдается при двойне и это не свидетельствует о патологии, это норма.
Поврежденное при двойне плодное яйцо часто заканчивается потерей одного эмбриона. Второй может развиваться дальше при отсутствии других патологий.
Из эмбриона – в плод
Часто женщин интересует, почему, когда говорят о неправильном развитии яйца не упоминают плод? Все просто. До 8 недели акушеры новую жизнь в теле женщины называют не плодом, поскольку это не совсем ребенок, а некая субстанция, которая очень скоро превратится в малыша. Но с каждой неделей она развивается, прибавляя в размере.
Это позволяет определять форму развивающегося плодного яйца по неделям:
- до 16 недели — в день 1 мм;
- до окончания беременности – в день до 2,5 мм.
Важной является 6 неделя, в это время зарождаются пищеварительная система, селезенка. При размере в 16 мм – желудок и пищевод. Именно в это время говорят о том, что женщина носит ребенка. А это сложный период, связанный не только с перестройкой всего организма, но и дискомфортом, который женщина испытывает при этом.
И каждая из нас желает после благополучных родов выглядеть также привлекательно, как до «интересного положения». И в этом мамочкам поможет специальный крем от растяжек для беременных – «Babycoccole». Объем в 300 мл позволяет использовать состав длительное время.
А его компоненты совершенно безопасны для женщины, вынашивающей ребенка. Перед употреблением рекомендуется принять душ, и на участок, склонный к растяжкам, нанесите небольшое количество крема. Обычно это живот, грудь, бедра.
Лечится ли патология?
Как правило, деформированный плодный элемент на очень раннем сроке никак не сказывается на самочувствии женщины. Но при обнаружении такого состояния на исследовании врач сразу должен предпринять меры. Обязательно сдаются анализы, в том числе, на прогестерон, чтобы исключить гормональный сбой.
Если этот диагноз подтверждается, гинеколог назначает Дюфастон или Утрожестан. Отзывы о препаратах самые хорошие, что свидетельствует о высокой эффективности средств. Что касается дозировки, то она всегда индивидуальна и определяется степенью дефицита гормона.
Если есть необходимость, нужно лечь в стационар. Здесь важно не только следовать рекомендациям врача, но и чувствовать себя комфортно. В последнем женщинам помогает комплект – халат с сорочкой «Мамаландия». Очень удобная одежда для пребывания дома и в больнице.
Вы можете надеть сорочку, а если нужно выйти, просто накиньте халат сверху и завяжите его на тесемки. Никаких пуговиц, грубых замков! Комплект предназначен для любого срока беременности, благодаря, как раз такому варианту крепления. Одежда будет незаменима и при кормлении малыша.
Как вы узнали, деформированное плодное яйцо – это вполне объяснимое и главное не опасное в отдельных случаях состояние. Но важны оперативность исследования и лечения.
Причины плодного яйца без эмбриона
Анэмбриония это особый случай замершей беременности, когда гибель эмбриона происходит так рано, что плодное яйцо оказывается пустым. Анэмбриония случается в 15% всех случаев прерывания беременности на раннем сроке. Что это такое?
При анэмбрионии или вовсе не происходит закладка эмбриона, или же он погибает на таком раннем сроке, что в полости плодного яйца ничего не обнаруживают.
Этот диагноз требует повторного проведения УЗИ, потому что достаточно часто встречаются случаи, в которых анэмбриония не подтвердилась при УЗИ через неделю или две.
Причина того, что эмбрион не увидели, может быть и в том, что срок обследования был слишком ранним, и тогда надежда что вы всё же станете мамой, конечно, есть.
Причины анэмбрионии
Если у женщины диагностирована анэмбриония, причины чаще всего в том, что или произошло порочное зачатие, была не полноценная зигота, или же на эмбрион повлияли вредные факторы, убившие его. Иногда это случается у совершенно здоровой женщины и причины установить не удается.
Наиболее часто встречаются следующие факторы:
1. ОРВИ и другие инфекционные заболевания у матери в первые недели беременности.
2. Интоксикации и отравления, прием эмбриотоксичных запрещенных при беременности лекарств, алкоголь, курение.
3. Радиоактивное облучение
4. Стрессы и значительные физические нагрузки
5. Перегрев или высокая температура на ранних сроках
6. Гормональные нарушения у мамы
УЗИ диагностика анэмбрионии
Как уже упоминалось, этот диагноз звучит всегда при УЗИ обследовании. Никаким другим способом его не поставить. Врач УЗИ видит плодное яйцо с полостью, но не видит эмбрион и сердцебиение.
Как известно, при УЗИ на раннем сроке в полости плодного яйца должно быть два образования, желточный мешок и рядом с ним эмбрион. Желточный мешочек при анэмбрионии может определяться, но сам эмбрион не виден. Если УЗИ сделали очень рано, возможна ошибка, поэтому его стоит повторить через неделю или две.
ХГЧ при анэмбрионии
То, как растет ХГЧ при анэмбрионии, может быть совсем не показательным.
Дело в том, что этот гормон беременности вырабатывает хорион, то есть, плодные оболочки, а плодное яйцо при анэмбрионии есть, и это живые клетки, конечно уровень ХГЧ при анэмбрионии может оставаться высоким и даже расти. Однако развитие этой беременности в любом случае патологическое, и поэтому рост ХГЧ при анэмбрионии замедлен.
Ваш врач при подозрении на этот диагноз назначит вам контрольные анализы на ХГЧ с промежутком в 2 дня, что бы убедиться растет ли ХГЧ. При анэмбрионии не будет характерного для нормально развивающейся беременности удвоения уровня гормона каждые 2 дня.
Симптомы и признаки анэмбрионии
Как и обычная беременность, анэмбриония сопровождается характерными изменениями в организме матери. Так как плодные оболочки есть, и гормоны продуцируются, вы можете испытывать все симптомы обычной беременности.
Признаки анэмбрионии, которые могли бы указать на то, что ребенок уже не развивается, отсутствуют, могут быть все обычные симптомы, такие как задержка менструации, нагрубание груди, сонливость, слабость, раздражительность. Даже токсикоз при анэмбрионии может быть самый обычный, достаточно сильный и выраженный.
Лишь иногда организм реагирует при неразвивающейся беременности по типу анэмбрионии выкидышем, тело само избавляется от погибшего зародыша. Тогда появляются признаки угрозы прерывания, такие как боли внизу живота, кровянистые выделения, и женщина обращается к врачу.
Лечение анэмбрионии
Если женщина услышала такой приговор как анэмбриония, лечение только одно, беременность необходимо прервать как можно скорее. Конечно, возможно в части случаев анэмбриония ошибочный диагноз, поэтому врачи не торопятся, назначая повторное УЗИ и выжидая некоторое время.
Выкидыш при анэмбрионии иногда случается спонтанно, но всё же чаще всего беременность может продолжаться неопределенно долгое время, и её требуется прервать.
На совсем маленьком сроке возможно прерывание таблетками, но чаще врачи прибегают к выскабливанию, в народе это зовут чистка. Процедура напоминает обычный аборт.
Выскабливание при анэмбрионии делают в условиях гинекологического отделения под кратковременным наркозом. Затем женщине назначают антибиотики, и через несколько дней выписывают домой.
Планирование беременности после анэмбрионии
Если в вашей жизни случилось такое несчастье, планирование беременности после анэмбрионии нужно отложить минимум на 6 месяцев.
Профилактика не желательной беременности проводится с помощью гормональных контрацептивов. Вам с мужем нужно обязательно обследоваться перед новой беременностью.
Если есть объективная причина, и будущая мама не получает адекватное лечение после анэмбрионии, всё может повториться.
Анэмбриония действительно повторяется, и что бы этого не случилось, беременность надо планировать.
Сущность проблемы
Анэмбриония – это феномен, при котором внутри плодного яйца по какой-либо причине не формируется зародыш, что свидетельствует о явной патологии.
При этом матка готова к вынашиванию ребенка, организм вырабатывает гормоны беременности, плодные оболочки тоже визуализируются на УЗИ.
На сегодняшний день в медицинской практике существуют два формы развития анэмбрионии: либо зародыш изначально не сформировался, либо плод вырос до определенных размеров, после чего его развитие остановилось.
Во втором случае специалисты говорят о том, что нарушение развития эмбриона происходит на ранних сроках, не позднее 4-5 недель гестации. Если у пациентки в полости матки при УЗИ визуализировано плодное яйцо без эмбриона, следует предположить либо малый срок развивающейся беременности, либо анэмбрионию.
После оплодотворения плодное яйцо имплантируется в стенку матки, однако эмбрион не растет или же развивается с сильной задержкой. Во время ультразвукового исследования отмечается увеличивающаяся в размерах матка, утолщающийся эндометрий и пустое плодное яйцо. Обычно его диаметр составляет около 20-25 мм.
Анэмбриония встречается примерно у 12-15% женщин. Она не является генетической аномалией или рецидивирующей патологией. Это значит, что последующая беременность после анэмбрионии в абсолютном большинстве случаев протекает нормально.
Если ультразвуковое исследование проводится на ранних сроках беременности, то велика вероятность ложной анэмбрионии. В таком случае специалист во время процедуры просто не может разглядеть слишком маленький эмбрион. В таком случае УЗИ назначается повторно через 10-15 дней.
После процедуры обычно проводится гормональная терапия, которая необходима для нормализации работы половой системы женщины.
Плодное яйцо маленькое: причины
Беременность на ранних сроках больше всего подвержена риску. Большинство выкидышей происходит именно на первых неделях беременности. Поэтому новоиспеченным будущим мамам следует себя беречь уже с первых дней.
Причиной самопроизвольного аборта на раннем сроке беременности может стать отслойка плодного яйца. Вернее, она является его первой стадией.
Плодное яйцо начинает отторгаться от хориона, здесь образуется ранка вследствие повреждения сосудов, за плодной оболочкой скапливается кровь, образуя гематому, из-за чего это явление в акушерстве называется еще ретрохориальной гематомой.
Это кровяное образование может увеличиваться и еще больше способствовать отслойке плодного яйца. В конечном счете, происходит его полное отторжение и гибель.
Если не предпринять никаких мер, то почти что наверняка, что беременность прервется. Однако своевременное лечение в большинстве случаев может остановить процесс.
Причины отслойки плодного яйца
Почему плод начинается отторгаться в каждом конкретном случае, выяснить практически невозможно. Но причин, способствующих такому начинающемуся выкидышу, может быть большое множество:
- гормональные нарушения (в частности, недостаток прогестерона в организме женщины);
- стрессы, эмоциональные потрясения;
- чрезмерные физические нагрузки;
- патология строения и развития матки;
- гинекологические заболевания;
- опухоли различного происхождения;
- перенесенные инфекционные и вирусные заболевания;
- пороки развития плода;
- резус-конфликтная беременность;
- употребление алкоголя;
- проведение искусственных абортов в прошлом;
- прочие неблагоприятные факторы (бытовые, экологические, производственные).
Симптомы отслойки плодного яйца
Предугадать отслойку, к сожалению, не представляется возможным, но произойти подобное может с любой из беременных. Поэтому каждая из них должна быть крайне внимательной к себе и сразу же реагировать при появлении любых подозрительных признаков.
На вероятное отторжение плода в первую очередь укажут тянущие боли внизу живота, которые могут отдавать в поясницу как при месячных, сопровождающиеся кровянистыми выделениями.
Следует незамедлительно ехать в больницу, если вы обнаружили следы крови на белье (при отслойке они имеют кофейный или сукровичный цвет).
Коричневые выделения говорят о том, что гематома начинает уже рассасываться, но не исключен повторный надрыв, поэтому, если вы не желаете испытывать судьбу, то лучше обратиться за врачебной помощью. Обычно отслойку диагностирую на УЗИ.
К слову, бытует мнение, что на начальном этапе беременности происходит естественный отбор. И если плод является полноценным и самодостаточным, то он выживет без посторонней помощи. В процессе его борьбы за жизнь отслойка может повторяться по нескольку раз, но в конечном итоге плодное яйцо надежно закрепляется и начинает благополучно расти и развиваться.
В общем, не все женщины предпочитают ложиться на сохранение при отслойке плодного яйца на ранних сроках. Однако врачи настаивают: риски прерывания беременности из-за начавшегося отторжения плода без лечения невероятно высоки.
Лечение отслойки плодного яйца
Если подозрения отслойки плодного яйца будут подтверждены, женщину, безусловно, кладут в больницу. Отслойка лечится стационарно и под наблюдением врачей, хотя вы вправе отказаться от госпитализации.
Самое важное при начавшейся отслойке – это полный покой беременной женщины. Нельзя не только выполнять мало-мальски тяжелую работу, но даже ходить. Брюшная стенка должна находиться в абсолютно расслабленном состоянии, а это возможно только в положении лежа.
При выполнении любых действий она хоть в самой малой степени, но все же напрягается, а при ходьбе еще создается вибрация и в любом случае усиливается внутрибрюшное давление, что также приводит матку в тонус и может лишь ускорить отслоение.
Слишком активная перистальтика кишечника сейчас также представляет определенную опасность, из-за чего женщине назначается щадящая диета с исключением из рациона продуктов, которые крепят, слабят и вызывают газообразование, а также кофе и чая.
О половых контактах и говорить не приходится: любой секс при угрозе прерывания беременности категорически запрещен!
Не меньшее значение имеет и эмоциональный покой будущей мамы. Необходимо исключить любой стресс и переживания из жизни женщины.
К сожалению, без медикаментов тоже не обходится, но они помогают сохранить беременность, говорят врачи.
Это могут быть кровоостанавливающие препараты (Этамзилат), спазмолитики (Но-шпа, Папаверин, Магне В6), успокаивающие (преимущественно Экстракт валерианы), витамины (главным образом, фолиевая кислота и витамин Е), гормональные препараты (Дюфастон, Утрожестан) и прочие. Все назначения должен делать лечащий врач.
Длительность лечения в каждом индивидуальном случае будет отличаться, но она составит не менее двух недель. Во многом она зависит от степени соблюдения женщиной всех врачебных предписаний. Так что если хотите быстрейшего улучшения, то выполняйте их в строгости.
В дальнейшем беременная, у которой на ранних сроках была отслойка плодного яйца, должна находиться под строгим врачебным контролем до самого конца вынашивания. Не пренебрегайте плановыми осмотрами и обследованиями. Гинекологи говорят, что повышенные риски рецидивов сохраняются, пока плацента не завершит своего формирования.
Что означает деформированное плодное яйцо. Причины изменения
Каждая будущая мамочка с наступлением беременности встает на учет к гинекологу.
До самых родов она находится под наблюдением доктора, сдает всевозможные анализы, приходит на осмотры и ультразвуковые исследования.
Основной целью УЗИ считается оценка расположения плода, его состояния, жизнедеятельности, размера и роста, строения, а также выявление возможных осложнений беременности и патологий.
Самый распространенный диагноз, выявляемый УЗИ, — деформированное плодное яйцо, причины которого мы постараемся разобрать. По сути, этот диагноз — следствие постоянного тонуса матки, а это является угрозой для развития малыша.
Деформированное плодное яйцо: причины
Ультразвуковое исследование позволяет специалисту выявить размеры яйца по внутренним контурам. Вообще, плодное яйцо на УЗИ рассматривается в том числе с целью определения диаметра. Однако данные измеряются с некоторыми погрешностями, которые составляют одну-две недели. Именно это и является причиной того, что доктор ставит срок беременности не тот, который поставила сама мамочка.
УЗИ помогает выявить замершее плодное яйцо, беременность в данном случае прерывается. Плод характеризуется меньшими размерами для своего срока, нечеткостью контуров, отсутствием сердцебиения, деформацией и уменьшением толщины хориона. По сути, замершей беременностью считается прекращение развития плода и его гибель.
Довольно часто после результатов УЗИ ставится диагноз «деформированное плодное яйцо», причины которого заключаются в повышенном тонусе матки. Практически каждая мама воспринимает такую новость, как приговор, и начинает ждать только самого худшего. Но это не правильно. Такой диагноз не означает, что у малыша нет шансов выжить и вырасти здоровым человеком.
Причин для повышения тонуса матки существует великое множество, но и бороться с этим чаще всего не так уж и сложно. Первый фактор и наиболее частый — психологическое состояние беременной.
Стрессы, хоть на них и не принято среди будущих мамочек обращать внимание, являются очень серьезной причиной. Беременность — это радость, именно так и нужно к ней относиться.
А все домочадцы обязаны создать правильную психологическую обстановку вокруг будущей роженицы.
Деформированное плодное яйцо, причины которого кроются в повышенном тонусе матки, может возникнуть вследствие перенесенных инфекций различного характера, из-за полового акта и даже после ощупывания живота. Матка — мышечный орган, реагирующий на физические раздражители.
Не стоит путать с тонусом матки естественное напряжение мышц. О нем можно говорить, если появляется боль при перемене позы или резких движениях. Пробежалась мамочка до консультации, как следствие — повышение тонуса. Но это состояние временное. Постоянного контроля требует именно частое пребывание матки в тонусе.
Всегда стоит подстраховаться, выполняя все предписания врача, беречь себя и малыша. А вот наводить панику категорически запрещается. Радуйтесь каждому дню, приближающему вас к рождению крохи. Старайтесь быть рассудительными и бережно относитесь к своему психическому состоянию! Все будет хорошо!
Деформация плодного яйца на ранних сроках беременности: причины
Бывает, что на УЗИ беременной ставят не совсем точный срок беременности. Это часто случается, так как на первых неделях сложно установить определенную дату по размерам плодного маленького плодного яйца причины.
В дальнейшем рекомендуется повторить ультразвуковое исследование, начиная с шестой или восьмой недели беременности.
Важно изначально контролировать процесс методом УЗИ. Другое дело, когда плодное яйцо имеет неправильные очертания. Данное явление является патологией и чаще всего свидетельствует о неправильном развитии плода.
Маленькое плодное яйцо: вопросы гинекологии и советы по лечению
В норме яйцо должно иметь овальную или круглую форму. Если оно сплюснуто по бокам, то это — первый признак гипертонуса матки. Пациентке нужно находиться под маленьким плодным яйцом причины врача какое-то время.
Если в дальнейшем не развивается какая-либо опасная симптоматика, то угроза исключается. В случае, если беременная ощущает боль или появляются выделения из влагалища, то нужно незамедлительно принять меры.
Прописывается постельный режим и абсолютный покой.
Плодное яйцо без эмбриона: что делать и почему это происходит?
Диагноз пустое плодное яйцо без эмбриона не редкость, он ставится в 5-10% случаев. Самым неприятным является то, что шансы выявить его причины минимальны. Чтобы запланированная беременность увенчалась успехом специалисты рекомендуют принимать мультивитаминные комплексы и вести здоровый образ жизни.
Почему это происходит?
Пустое плодное яйцо – это по сути беременность, которая не начала развиваться. Процесс развития прекратился еще до этапа формирования эмбриона. Причин такого нарушения достаточно много.
Любые негативные изменения в организме женщины могут его спровоцировать.
При постановке диагноза анэмбриония следует немедленно принять необходимые меры, так как это влечет за собой неизбежную гибель плода.
Среди основных причин пустого плодного яйца выделяют:
- Генетические нарушения.
- Инфекционные заболевания.
- Внешние факторы (состояние окружающей среды).
- Неправильный режим питания.
- Недостаток витаминов.
То есть в каждой конкретной ситуации определить причину образования пустого плодного яйца крайне сложно.
Генетические нарушения начинаются на первоначальном этапе деления клеток и влекут за собой последующие ошибки. Это может быть формирование лишних хромосом либо наоборот, их неполного набора.
В таком случае превращение яйца в эмбрион не происходит, организм женщины это понимает и начинает его отторгать.
По статистике из 100 женщин у 5-10 нет эмбриона в плодном яйце.
Как проявляется анэмбриония?
На первоначальном этапе пустая беременность заметна не будет. Ее невозможно определить даже с помощью гинекологического осмотра.
Нарушения становятся видимыми уже на самой крайней стадии, когда организм начинает отторгать плод.
На данном этапе наблюдаются боли внизу живота, коричневые выделения из влагалища и резкий запах — и это уже признаки плодного яйца без эмбриона который организм начал отвергать.
Как меняется ХГЧ при пустом плодном яйце?
Контроль динамики показателя ХГЧ – один из способов определения пустого плодного яйца. Значения ХГЧ будут меняться, но значительно меньше, чем при нормальном течении беременности. Также возможен вариант, когда значения показателя ХГЧ стоят на месте – это основной признак существования проблем с развитием плода.
Симптомы пустой беременности не отличаются от обычной: это задержка менструации, проявления токсикоза, постоянное чувство усталости.
На ранних сроках крайне сложно выявить пустое плодное яйцо. Так как размеры эмбриона очень малы и его можно просто не заметить. Только по прошествии 5 недель, появляется возможность определить отсутствие плода.
Узи диагностика
Только на шестой неделе беременности пустое плодное яйцо можно диагностировать с помощью УЗИ. Оно проводится в любом случае, чтобы определить месторасположение плода, а также исключить внематочную беременность.
Такой страшный диагноз, как анэмбриония женщина может услышать даже если чувствует себя хорошо и у нее нет никаких симптомов.
Первый триместр беременности это наиболее важное время формирования плода, на данном этапе будущей маме стоит особо тщательно следить за своим здоровьем, так как угроза выкидыша очень высока.
Если у женщины обнаружено пустое плодное яйцо без эмбриона потребуется сделать медицинскую коррекцию (очищение матки).
Что делать при анэмбрионии?
Если был поставлен такой неутешительный диагноз, нужно будет сделать коррекцию. Медицинская коррекция возможна с помощью двух способов.
Хирургический метод
Это наиболее распространенный вариант коррекции. Такой способ позволяет почистить полость матки без последствий. При хирургическом вмешательстве используется общая анестезия. Операция проходит очень быстро от 10 до 25 минут. Доктор должен выскоблить маточный слой и пустое плодное яйцо. Уже через пару часов женщина может отправляться домой.
Медикаментозный аборт
Аборт с применением специальных препаратов может быть использован, если срок беременности составляет меньше 6 недель. Женщина принимает лекарство и ждет когда начнутся схватки. Это больно. Вся процедура происходит в больнице под контролем врача. После того, как из матки выйдет все лишнее, женщина должна провести в больнице пару дней до того, как закончится кровотечение.
Чтобы уточнить причину нарушения развития беременности материал, полученный из матки в процессе чистки, отправляют на гистологическое исследование. Такое исследование должно выяснить причины прекращения развития эмбриона и когда именно он прекратил свое развитие.
После аборта нужно делать УЗИ.
При завершении любого из двух методов аборта нужно сделать УЗИ. Таким образом, можно удостовериться, что матка чистая и в ней не остались частички плодного яйца.
Профилактика
Проблему лучше предотвратить, чем решать ее последствия. Если обнаружено пустое плодное яйцо, то принимаются уже крайние меры. Но если при планировании беременности руководствоваться некоторыми рекомендациями, то можно снизить вероятность развития патологий.
Уменьшить риск формирования пустого плодного яйца можно следующими способами:
- обоим супругам пройти полное медицинское обследование (сделать анализы, УЗИ, проконсультироваться с гинекологом и терапевтом, чтобы исключить хронические заболевания, также рекомендуется посетить узких специалистов);
- по рекомендации специалиста начать прием мультивитаминов, в том числе фолиевой кислоты. Курс витаминов следует начать принимать за 2-3 месяца до зачатия;
- при подготовке к беременности следует отказаться от вредных привычек: употребления алкоголя, курения. Пересмотреть свой режим питания, рацион: наполнить его продуктами богатыми витаминами и минералами.
Стоит заранее договориться с акушером-гинекологом, который будет вас консультировать на протяжении всей беременности. Важно понимать, что единичный случай пустого плодного яйца – это еще не приговор.
Это абсолютно не означает, что у кого-то из партнеров существуют нарушения в репродуктивной системе.
Главное не расстраиваться и продолжать попытки забеременеть (после анэмбрионии за продолжение рода можно браться через полгода), тогда все обязательно получится.
Анэмбриония (плодное яйцо без эмбриона): причины, симптомы, лечение
Неразвивающаяся беременность по типу анэмбрионии — это беременность, при которой развивается плодное яйцо без эмбриона. В народе такое отклонение называют «пустая яйцеклетка». Но в медицинских кругах такого определения следует избегать, поскольку в большинстве случаев в плодном яйце все-таки обнаруживается гистологический материал эмбриона.
При нормальной беременности, сперма оплодотворяет яйцеклетку вскоре после овуляции. В течение нескольких часов оплодотворенная яйцеклетка начинает делиться, сначала образуя две клетки, затем четыре, восемь, и так далее. 10 дней спустя, разросшееся скопление клеток сформирует эмбрион внутри плодного яйца.
После имплантации яйцеклетки в стенку матки, организм начинает активно вырабатывать женские гормоны. Но стоит отметить, что может наблюдаться рост хгч и при анэмбрионии. В течение следующих нескольких недель, эмбрион активно растет, и примерно через месяц после оплодотворения может быть обнаружен на снимке УЗИ.
Но в некоторых случаях клетки останавливают свое деление в первые дни после оплодотворения. В результате чего, оплодотворенная яйцеклетка никогда не развивается в зародыш, но имплантируется в матку. Так возникает анэмбриональная беременность.
Анэмбриония: причины возникновения и последствия
Отсутствие эмбриона в плодном яйце не означает, что яйцеклетка была полностью пустая. Исследования генетического материала из аномальных яйцеклеток позволили узнать, что почти 95% тканей имели дефектные хромосомы.
Причины анэмбриональной беременности:
- во время деления клеток, значительно изменился здоровый хромосомный набор;
- яйцеклетка или сперматозоиды, которые образовали зиготу, обладали дефектными генами;
- генетические мутации.
Анэмбриония очень часто диагностируется у пожилых женщин с поздним климаксом. Последние яйцеклетки настолько истощены, что им просто не хватает энергии для нормального деления. Если у женщины старше 35 лет диагностирована анэмбриония когда надежды уже нет, можно обратиться к услугам суррогатной матери или сделать ЭКО. Иногда для профилактики назначают дюфастон и анэмбриония отступает.
К сожалению, если поставлен диагноз анэмбриония—лечение лишь одно: чистка матки. Но если анэмбриония заканчивается самопроизвольным выкидышем, то не стоит сильно горевать.
Это означает лишь то, что организм самостоятельно распознал хромосомные аномалии в яйцеклетке и отторг генетический мусор.
В таком случае можно быть уверенным практически на 100 %, что следующая беременность после анэмбрионии будет здоровой.
Стоит насторожиться в том случае, если врач самостоятельно определил околоплодное яйцо без эмбриона, а организм не спешит отторгать его.
К сожалению, это означает, что следующая беременность после анэмбрионии может закончиться рождением ребенка с лишней хромосомой. Организм просто не сможет распознать отклонение на ранних сроках, когда прерывание беременности еще будет возможно.
Чтобы предотвратить такие страшные последствия, необходимо тщательно планировать беременность вместе с врачом генетиком.
Плодное яйцо без эмбриона: признаки и явные симптомы
Даже после того, как оплодотворенная яйцеклетка перестает развиваться, организм продолжает готовиться к вынашиванию ребенка.
Подготовка проявляется в усиленной выработке гормонов, что вызывает ранние симптомы беременности (утреннее недомогание, боли в груди и вздутие живота).
Рост хгч при анэмбрионии приводит к тому, что уже через 7 дней после оплодотворения, тест на беременность покажет 2 полоски.
Выделяют следующие явные признаки анэмбрионии:
- сильное вагинальное кровотечение, похожее на обильные месячные;
- болезненные спазмы в животе (этот симптом также может указывать на другие осложнения, в том числе внематочную беременность, поэтому необходимо срочно обратиться к врачу);
- через пару недель после положительного теста, на полоске появляется отрицательный результат (хгч при анэмбрионии перестает вырабатываться уже через несколько дней после имплантации);
- УЗИ на 7-й неделе беременности, показывающее плодное яйцо без эмбриона.
Диагностика и признаки анэмбрионии на УЗИ
Если проявились симптомы анэмбрионии, назначается трансабдоминальное или трансвагинальное УЗИ. Диагноз анэмбриония ставится, когда надежды уже нет, и врач четко видит один или несколько следующих признаков:
- невозможно четко определить эмбрион с помощью ультразвукового трансабдоминального исследования;
- контур плодного яйца на снимке нечеткий либо имеет разорванные границы;
- на снимке видна лишь однородная жидкость внутри плодного яйца (без затемнений и точек).
На ранних сроках, когда кажется, что проявились симптомы анэмбрионии, ультразвуковое исследование может не выявить никаких отклонений. Ведь здоровый эмбрион не всегда заметен на снимке УЗИ в первые недели после оплодотворения.
Поэтому, даже если есть причины подозревать анэмбрионию, необходимо подождать пока околоплодное яйцо не вырастет. Диагностику и лечение анэмбрионии не начинают, пока околоплодное яйцо не достигнет размера 25 мм.
Если анэмбриония подтверждена, назначают дюфастон сразу после прерывания беременности.
Размеры плодного яйца и аномалии в его развитии
Плодное яйцо — это зародыш вместе с зародышевыми оболочками. Период формирования плодного яйца является первым этапом развития беременности.
После слияния половых клеток яйцеклетка находится на стадии активного деления. Сначала она делится пополам, затем на четыре и так далее. Количество клеток и размер зародыша постепенно растет. Он продвигается вдоль маточной трубы в матку для закрепления там.
Имплантация осуществляется примерно через семь дней после оплодотворения. До этого времени зародыш получает питательные вещества яйцеклетки, а после прикрепления — из слизистой оболочки матки.
Такое питание продолжается до того момента, пока не образуется плацента.
Плацента формируется из внешних слоев плодного яйца, плотно покрытого ворсинками. Именно они в месте имплантации устраняют слизистый маточный слой и внедряются в подготовленный участок.
Наличие плодного яйца является первым признаком нормально начавшейся беременности. На УЗИ-мониторе его можно увидеть через 14 дней после задержки, а эмбрион — лишь спустя пять недель.
Величина плодного яйца в соответствии с неделями
В случае, если плодное яйцо имеет размер всего четыре миллиметра, то это свидетельствует об очень раннем сроке беременности — до шести недель. Чаще всего такие размеры плодного яйца говорит о сроке в четыре недели. На сроке пяти недель оно равно шести миллиметрам, а в пять недель и три дня — семи.
Можно с точностью сказать, что плодное яйцо растет с каждым днем на один миллиметр на сроке до 15-17 недель. Далее оно увеличивается по два с половиной миллиметра ежедневно.
Бывает, что на УЗИ беременной ставят не совсем точный срок беременности. Это часто случается, так как на первых неделях сложно установить определенную дату по размерам плодного яйца. В дальнейшем рекомендуется повторить ультразвуковое исследование, начиная с шестой или восьмой недели беременности.
Деформации плодного яйца
Маленькое плодное яйцо на раннем сроке — это еще не повод волноваться, так как обычно все приходит в норму через некоторое время. Важно изначально контролировать процесс методом УЗИ. Другое дело, когда плодное яйцо имеет неправильные очертания.
Данное явление является патологией и чаще всего свидетельствует о неправильном развитии плода. В норме яйцо должно иметь овальную или круглую форму. Если оно сплюснуто по бокам, то это — первый признак гипертонуса матки. Пациентке нужно находиться под наблюдением врача какое-то время. Если в дальнейшем не развивается какая-либо опасная симптоматика, то угроза исключается.
В случае, если беременная ощущает боль или появляются выделения из влагалища, то нужно незамедлительно принять меры. Прописывается постельный режим и абсолютный покой. Обязательно назначаются средства для снижения тонуса матки и гормональные препараты. Вполне возможно, что женщине придется провести в больнице весь оставшийся срок до родов.
Отслойка плодного яйца
Отслойка плодного яйца — это раннее отторжение яйца от стенки матки. Если вовремя диагностировать самопроизвольный аборт, то есть много шансов сохранить беременность.
Отслойка плодного яйца проявляется в ноющей боли внизу живота и пояснице, кровотечением или темно-красными выделениями.
Причины патологии:
- нарушения в функционировании яичников;
- воспалительные процессы;
- обострение инфекционных процессов;
- наличие опухолей;
- недоразвитие половых органов;
- сильные физические нагрузки;
- сильный токсикоз;
- стрессы.
При обнаружении первых признаков отслойки нужно немедленно вызвать неотложную помощь. До того, как приедут специалисты, женщине нужно лечь на спину и поднять ноги вверх, положив их на какую-либо опору (на стену, спинку дивана).
Отсутствие эмбриона в плодном яйце
На самых ранних сроках беременности эмбриона в плодном яйце еще не видно, и это является нормой. Однако начиная с пятой недели, он уже должен быть заметен на мониторе аппарата. Если не удается визуализировать эмбрион, то назначается повторное ультразвуковое исследование через две недели.
Если при повторном обследовании эмбриона и сердцебиения не наблюдается, то диагностируется анэмбриональная беременность. В этом случае проводится выскабливание.
Нельзя назвать точные причины данной патологии. Чаще всего ее возникновение связано с генетическими факторами. Кроме того, анэмбрионию может вызвать применение некоторых медицинских средств, запрещенных к употреблению в период беременности.
Анэмбриония не говорит о невозможности успешно зачать ребенка в будущем. Вполне возможно, что следующая беременность будет благоприятной. Однако планирование нужно начинать не ранее, чем через полгода.
Пациентке важно обеспечить не только физическую реабилитацию, но и психологическую. Потеря еще даже не сформировавшегося ребенка является тяжелым испытанием.
Многоводие
Многоводие тоже можно отнести к аномалиям развития плодного яйца. Эта патология является весьма опасной и может привести к возникновению заболеваний у плода. Чрезмерное количество жидкости может спровоцировать преждевременные роды, обвитие плода пуповиной или же стать показанием к проведению кесарева сечения.
Во время родов также возможно возникновение осложнений, например, развитие гипоксии у ребенка.
Причины многоводия:
- сахарный диабет;
- перенесенный грипп, ОРЗ;
- резус-конфликт;
- заболевания почек;
- патологии сердечнососудистой системы;
- многоплодная беременность;
- слишком крупный размер плода.
Чтобы исключить многоводие, проводится УЗИ обследование, кардиотокграфия, исследуется кровь. Если же диагноз подтверждается, то обычно назначаются различные медицинские препараты: мочегонное, витамины, средства для повышения обменных процессов.
Признаки многоводия: боль и тянущие ощущения внизу живота, быстрая утомляемость и потеря тонуса, учащенное сердцебиение, отечность рук и ног, отдышка, бульканье в животе, тошнота и рвота.
Следует немедленно обратиться в больницу при обнаружении каких-либо признаков многоводия.





