После проведения УЗИ некоторым беременным сообщают, что увеличены одна или обе почки у плода.
Безусловно, такое сообщение вызывает тревогу у женщины, возникает желание узнать о причинах такой патологии и о том, что делать, чтобы ребенок был здоров.
У плода при проведении ультразвукового исследования могут быть обнаружены увеличенные лоханки, чашечки почек, а также увеличенный мочеточник.
Соответственно, врач диагностирует три разных патологии: пиелоэктазию, пиелокаликоэктазию и уретеропиелоктазию.
Однако согласно медицинской статистике все-таки наиболее распространенным врожденным заболеванием является пиелоэктазия – увеличение лоханок почки.
Увеличение почек не рассматривается как самостоятельная патология, такое заболевание является следствием нарушений в работе почечных органов.
В редких случаях пиелоэктазия не нуждается в лечении, после рождения заболевание проходит само по себе, без медицинского вмешательства.
Однако в некоторых случаях врачам приходится рассматривать вопрос о дальнейшем серьезном лечении.
Увеличенную почку или одновременно оба органа у плода диагностируют всего лишь в 2% от всех беременностей. Чаще такому заболеванию подвержены мальчики.
По медицинским данным именно у них в три раза чаще диагностируют увеличенные почки. Это связано с особенностями строения мочевыделительной системы плода мужского пола.
Врач обнаруживает увеличение почек, начиная с шестнадцатой недели беременности. Безусловно, почки, как и остальные внутренние органы, увеличиваются в размерах одновременно с ростом плода. Это естественное увеличение, не представляющее опасности.
Для того чтобы распознать патологическое увеличение врачи ориентируются на установленные предельные значения, соответствующие норме.
Если почечные лоханки увеличены до 8 мм, врачи не вмешиваются и не предпринимают никаких действий, исключение составляет только постоянный медицинский контроль.
При таких показателях в большинстве случаев к концу беременности все стабилизируется, и ребенок рождается абсолютно здоровым.
Если же почечный орган увеличен до 10 мм, то это представляет опасность для малыша, поэтому сразу же после рождения начинается процесс интенсивного и незамедлительного лечения.
Причины
Основной причиной увеличения лоханок почек является неправильное развитие почечных органов или наследственная предрасположенность к такому заболеванию.
Когда моча не имеет возможности свободно выходит из почек, вынуждена возвращаться обратно в них, то из-за повышения давления, переполнения мочой лоханки почек начинают увеличиваться.
Помешать нормальному оттоку мочи может закупорка мочеточника, нарушения строения органов мочевыделительной системы, патологическое сужение просвета мочевыводящих путей.
Достаточно частой причиной увеличения почек у плода является наличие подобного заболевания в прошлом у матери. Также перенесенные до беременности воспаления почек у женщины могут повлиять на развитие патологии у плода.
Общее неправильное внутриутробное развитие плода влияет на работу мышечной системы, ослабляет силу мышц, вследствие чего почки не способны функционировать должным образом. Такие нарушения приводят к увеличению лоханок почек.
При сдавливании мочеточника другими органами провоцируется его неправильное развитие, вследствие чего просвет может стать достаточно маленьким, замедляющим отток мочи.
После рождения такая патология мгновенно проявляется. Ребенок очень часто мочиться.
Увеличенные почки сами по себе представляют серьезную опасность, но помимо этого они еще провоцируют возникновение различных осложнений.
На фоне увеличенных почек может начаться увеличение мочеточника.
В связи с увеличением давления в мочевом пузыре в мочевыводящих каналах возникают спазмы. Такая патология называется мегауретером.
Увеличение почек может спровоцировать прекращение работы сфинктера и возникновению пузырно-мочеточникового рефлюкса. Плод мужского пола может испытать на себе еще одно осложнение в виде поражения уретральных клапанов.
Плод, у которого наблюдается увеличение почки, предрасположен в дальнейшем к таким заболеваниям как цистит, пиелонефрит и прочие воспалительные процессы.
Лечение
Пиелоэктазия обязательно подлежит медицинскому контролю и лечению в зависимости от форм ее проявления. Различают три формы патологии: легкая, средняя и тяжелая.
Прогнозировать дальнейшее развитие патологического процесса ни один врач не может. В большинстве случаев пиелоэктазия, протекающая в легкой или средней форме, проходит даже без вмешательства врачей.
Но даже при таком благоприятном исходе медики обязательно контролируют развитие малыша и всех его органов мочевыделительной системы еще достаточно длительный период времени, чтобы не прозевать возникновение любых осложнений.
Тяжелая форма патологии и ее прогрессирование негативно сказываются на работе почек, кардинально ухудшая их функциональную деятельность.
В этом случае с целью спасения жизни малыша врачи проводят хирургическое вмешательство.
Тяжелая форма пиелоэктазии составляет около 1/3 от общего количества детей с такой патологией.
Проведение хирургического вмешательства достаточно обоснованно. Именно благодаря квалифицированным действиям хирургов удается нормализовать отток урины и устранить пузырно-мочеточниковый рефлюкс.
Во избежание воспалительного процесса мочевыделительных путей малышу перед операцией обязательно дают противовоспалительные средства, разрешенные для употребления грудничкам.
Такие средства должны быть произведены только на растительной основе.
К сожалению, не существуют в медицинской практике профилактических действий, позволяющих избежать увеличения почки у будущего ребенка.
Поэтому врачи рекомендуют будущим мамам перед планированием беременности пройти полноценное диагностическое исследование. При выявлении любой патологии незамедлительно приступить к лечению.
При обнаружении увеличения почки у будущего ребенка беременная женщина обязана неукоснительно выполнять все предписания врача во избежание серьезных последствий.
Патология почек у плода: причины, развитие, лечение
Беременность — это очень сложный физиологический процесс, проходящий в организме женщины. Иногда, под воздействием негативных факторов развивается патология почек у плода. Чтоб избежать летального исхода, а также остановить патологию на раннем этапе, нужно знать, к каким врачам обратиться, и какие меры предпринять.
Что собой являет патология почек?
Человеческий организм развивается по одной и той же схеме на протяжении миллионов лет, но есть ситуации, при которых внутриутробное развитие нарушается, и ребенок рождается уже больным. Патология почек у плода, как правило, носит название пиэлоктазия и заключается в расширении почечных лоханок.
Лоханки — это определенный участок почек, они напоминают собой резервуары, в которых скапливается моча, перед тем как отправиться в мочеточники и вывестись естественным путем. Если имеются какие-то сбои в выведении мочи из этих резервуаров, в процессе жизнедеятельности в них накапливается все больше, и больше жидкости.
Под огромным давлением, стенки органа растягиваются и в определенный период могут попросту разорваться, и моча выльется в брюшину.
Если вместе с увеличением почечных лоханок у плода наблюдается увеличение мочеточника, патология носит в медицине называние уретеропиелоктазия. Этот вариант неправильного развития органа выводящей системы встречается намного реже, но принцип лечения и контроля аномалии такой же, как и у пиелоэктазии.
Такое явление как пиелоэктазия не принято считать отдельным заболеванием, это скорей последствие неправильного развития почек. При нормальном развитии ребенка, почки у плода 20 недель хорошо просматриваются и можно уже сделать определенные выводы о их состоянии.
Патология чаще подвергает мальчиков, нежели девочек. Этот факт не является случайностью, а скорей закономерность, вызванная анатомическим типом строения мужской мочевыводящей системы.
Нормальный размер почечной лоханки в 20 недель должен не превышать 5 мм, на третьем триместре 7 мм. Если уже после двадцатой недели лоханка расширяется больше чем на 10 мм, определенный объём жидкости начинает скопляться в почках, и развивается состояние под названием гидронефроз.
С развитием малыша увеличивается и сам орган, но при этом выведения мочи не происходит, а почечные лоханки под давлением жидкости увеличиваются еще больше. В конечном итоге, малыш рождается с многократно увеличенными органами и сразу после рождения, должен быть прооперирован.
Не своевременно проведенная операция, может быть чревата летальным исходом.
Диагностика патологии
Контролируют процесс развития патологии путем ультразвукового обследования матери раз в две недели, вплоть до самого рождения малыша. Ультразвуковая диагностика вполне безопасна для плода, поэтому переживать о ее негативном влиянии не стоит.
Процедура полностью безболезненна и проводится очень быстро. На живот женщины наносят специальный гель, который улучшает контакт кожи с датчиком, и проводится сканирование малыша в утробе.
Благодаря инновационным технологиям, доктор может достаточно четко рассмотреть размеры внутренних органов не только матери, но и малыша, что находится в ее утробе.
Обнаружена на раннем этапе патология и своевременное лечение, не несет опасности, патология встречается достаточно часто, поэтому врачи легко с ней справляются. Важно обеспечить малышу в дальнейшем правильный уход, ведь могут развиваться такие заболевания, как:
- мегауретрит;
- пузырно-мочеточниковый рефлюкс;
- поражение клапана задней области уретры;
- цистит.
Недолеченная пиелоэктазия провоцирует обратный поток мочевой жидкости, из мочевого пузыря вновь в почки, что для человека ничем хорошим не заканчивается. Все вышеперечисленные болезни устраняются медикаментозным путем, но требуют лечения в стационаре, поэтому мама должна быть готова к продолжительному перебиванию в стенах больницы с новорожденным малышом.
Причины развития патологии
Когда будущей маме доктор сообщает, что у ее малыша пиелоэктазия, у нее возникает масса вопросов, которые первым делом касаются причин такого аномального развития внутренних органов плода. Известно, что в человеческом организме ничего не происходит само собой, всегда есть провокатор патологического процесса. Среди самых частых провокаторов патологии отмечают:
- чрезмерное употребление жидкости беременной женщиной;
- негативные экологические условия проживания;
- токсические отравления в процессе беременности и курение будущей мамы;
- злоупотребление спиртными напитками;
- генетический фактор;
- пиелонефрит у матери и воспалительные заболевания мочевого пузыря;
- бактериальные инфекции у беременной, что остались без должного лечения;
- гормональный сбой в организме и наличие сахарного диабета.
Если вышеперечисленные причины исключены, то провокатор недуга находится непосредственно в организме ребенка. Патологию могут вызвать:
- закупорка мочеточника;
- суженый просвет мочевыводящих путей;
- наличие уретрального клапана;
- сдавливание мочеточника большим кровеносным сосудом при несоразмерном росте органов;
- неправильное строение почек.
Все вышеперечисленные сбои в развитии формируются из-за мутации определенного гена или же в процессе гормонального сбоя в организме малыша, контролировать либо как-то избежать патологии в данном случае, мать ребенка не может. Патология очень часто встречается у недоношенных детей, но это считается только признаком недоразвитости плода, как правило, хирургическое вмешательство не проводится, патология проходит сама по себе.
Среди современных врачей существует предположение, что порок у плода может развиваться на почве пиелоэктазии у самой беременной женщины. Главной причиной развития расширения лоханок у беременной, считается большое давление, что наносит растущая матка на мочеточники.
Второй не менее распространенной причиной является снижение тонустности гладкой мускулатуры мочевого пузыря. Снижение тонуса может быть вызвано гормональными изменениями и нарушениями в работе эндокринной системы.
Если эта патология у самой женщины развилась первично из-за беременности, то после рождения ребенка все восстановится, и выводящая система будет работать нормально.
Главной задачей врачей является точно определить причины образования патологии и устранить их. Ситуация достаточно серьезная, поэтому подобное явление еще раз подтверждает целесообразность планирования беременности, которое включает обязательную диагностику внутренних органов, а непосредственно почек.
Методика устранения патологического состояния
До тех пор, пока малыш находится в утробе матери, врачи не могут предпринимать какие-либо меры. Лечение проводится только после рождения малыша и в большинстве случаев рекомендовано кесарево сечение. Подобная аномалия не является поводом для искусственного прерывания беременности или штучных родов.
Сам недуг может протекать в легкой, средней и тяжелой формах. После рождения малыша с подобным диагнозом, даже самый высококвалифицированный доктор не может предсказать, как поведет себя болезнь в данном случае, поэтому готовятся к самым тяжелым последствиям.
Пиелоэктазия у ребенка оперируется с помощью миниатюрных инструментов. Перед проведением операции малыш проходит соответствующую подготовку, которая подразумевает употребление безопасных противовоспалительных лекарств исключительно на растительной основе.
Подобные лекарства позволяют снизить воспаление в органе и снять болезненные ощущения.
После хирургического вмешательства малыш должен еще два года находиться на диспансерном лечении и употреблять уросептики. Каждые 15 дней на протяжении трех месяцев, новорожденному проводят анализ мочи для контроля работы почек.
Дети, что однажды столкнулись с патологией, должны на протяжении всей жизни потом контролировать состояние выделительной системы и проходить профилактические осмотры два раза в год. Особую опасность несет в себе возраст 6-7 лет, когда начинается активный рост полового органа, а также период полового созревания.
Внутреннее органы не всегда успевают приспособиться к бурному росту организма, поэтому высокий риск рецидива врожденной патологии.
К большому сожалению, определенной профилактики развития пороков почек плода на сегодняшний день не существует, но женщина может еще в процессе планирования беременности снизить риск развития аномалии.
Порой именно нехватка в организме беременной определенного микроэлемента провоцирует генетические изменения в органах плода.
Женщина, которая готовится стать матерью, должна заботиться о своем организме, побольше отдыхать и испытывать только положительнее эмоции.
Если же случилось так, что вам поставили неприятный диагноз, не впадайте в панику, современная медицина стремительно развивается и научилась хорошо справляться с аномалиями развития плода.
Ваше эмоциональное состояние обязательно скажется негативным образом на организме ребенка, поэтому держите себя в руках и предоставьте заботу о своем состоянии врачам.
Расширенные лоханки почек у плода. Причины, профилактика, лечение
Расширенные лоханки почек у плода – одна из патологий, встречаемых в эмбриологии. В чем суть этого явления, почему оно развивается у малыша? Опасность и методы лечения пиелоэктазии.
Что такое почечная лоханка и пиелоэктазия?
Структура почки считается одной из самых сложных в организме. Лоханки и чашечки связывают почку с мочевыводящими протоками – мочеточниками. В каждой из крупных лоханок находится несколько больших чашечек. Каждая чашечка, в свою очередь, состоит из чашечек ещё меньших размеров. Специалисты выделяют несколько типов лоханок, которые находятся в почках плода:
- Эмбриональные – в такой лоханке нет больших чашечек. Присутствуют только маленькие, которые соединяются с большой лоханкой.
- Фетальные – отсутствуют сами лоханочные структуры. Их заменяют большие чашечки, которые связываются непосредственно с мочеточниками.
- Зрелые – имеют же такое строение, как почечные лоханки у взрослого человека.
Первичное расширение лоханки называется гидронефрозом. Он характеризуется затрудненным оттоком мочи, который вызывается патологическими процессами. Когда лоханка уменьшается в размере – это гипоплазия. В некоторых ситуациях лоханочные составляющие вообще могут отсутствовать.
Пиелоэктазия – это расширение лоханок из-за переполнения их мочой. Они становятся слишком маленькими, для поступающих в них больших объемов мочи и из-за этого растягиваются.
Существует два вида этой болезни:
- односторонняя;
- двусторонняя.
Есть и другая классификация пиелоэктазий:
- пиелоэктазия – расширяются только лоханки;
- пиелоуретроэктазия – изменение размера мочеточника и лоханки;
- каликопиелоэктазия – рост всех составляющих чашечно-лоханочной системы.
Чаще всего расширение лоханок почек происходит у плодов мужского пола. У каждого 5 мальчика встречается этот недуг. Этот факт объясняется особенностями анатомии мужского организма.
Физиология мочевыводящих путей у мальчиков сложнее, поэтому они больше подвержены пиелоктазии.
Причины расширения лоханок почек у плода
Есть некоторые факторы, которые могут предрасполагать к недугу или напрямую вызывать его. К таковым относятся:
- наследственная предрасположенность к болезни;
- интенсивное воздействие токсических веществ на организм плода (когда мамы употребляют алкоголь и наркотики, курят, едят плохую пищу, потребляют некачественную воду, дышат слишком грязным воздухом и так далее);
- патологически узкие мочеточники;
- присутствует обратный ток мочи по мочеточникам (пузырно-мочеточниковый рефлюкс);
- в организм плода поступает слишком много жидкости;
- уретральные клапаны недоразвиваются при внутриутробном развитии;
- закупорка мочеточников;
- аномалии в развитии чашечно-лоханочной системе;
- засорение мочеполовых путей сторонними веществами: опухоли, слизь, гнойный сгусток или конкремент;
- гипертонус мочевого пузыря;
- роды произошли раньше срока (малыш недоношенный), из-за чего у ребенка присутствует слабость мышечной системы;
- у матери присутствуют воспалительные процессы в почках и пиелонефрит;
- присутствуют нарушения (нейрогенного характера) функции мочевого пузыря, из-за чего у малыша редкие позывы к мочеиспусканию, вследствие чего моча застаивается и лоханки переполняются;
- аномалии строения мочевыводящих путей и почек.
В большинстве случаев лоханки почек у плода расширяются из-за нарушения процессов оттока мочи. Причинами этого может стать стеноз – спазмирование стенок мочеточников. Как уже говорилось, лоханка – это своеобразные мисочки, где моча скапливается до того времени, пока не поступит в мочевыводительные пути. При спазме она просто не может попасть в мочеточники и дальше в мочевой пузырь.
Обратите внимание! Дети, у которых присутствовало расширение лоханок левой или правой почки, когда они находились в состоянии плода, во взрослом возрасте часто появляются другие патологии мочеполовой системы.
Опасно ли это явление?
Расширение почечных лоханок опасно для ребенка появлением различных осложнений. К таковым относятся:
- Расширение мочеточников. Появляется из-за сильного давления внутри полости мочевого пузыря (так как мочи становится очень много). Спазмы, которые случаются в нижележащих отделах мочеиспускательного канала тоже стимулируют расширение.
- Уретроцеле. Так называется сужение мочеточникового устья, которое приводит к образованию кистовидного или шаровидного выпячивания внутрипузырного отдела мочеточника. Из-за чего происходит уретрогидронефротическая трансформация, нарушение оттока мочи и пиелонефрит.
- Цистит и пиелонефрит. Это воспалительные заболевания в мочевом пузыре и чашечно-лоханочной системе почек, которые появляются из-за застоя мочи и появления патологической микрофлоры.
- Нарушение сфинктральной функции. Начинает плохо работать сфинктер, который находится между мочевым пузырем и мочеточником. В норме он закрывается и не дает моче обратно забрасываться в почки.
- Гибель нефронов. Нефрон – это наименьшая функциональная единица почечной ткани. Вследствие воспалений и других патологических процессов, протекающих в почках, они начинают отмирать. Соответственно, страдает функционал почечных органоидов.
- Атрофия почек. Происходит из-за поражения структурных единиц органа.
- Пролапс. Так называется запущенная стадия нефроптоза (опущения почки). Орган перестает держаться в нормальном положении и выпадает в уретру или полость влагалища.
- Опущение почки. Так как чашечно-лоханочные структуры начинают переполняться мочой, вес почек начинает расти. Из-за этого связочный аппарат и фасции, которые формируют почечное ложе и удерживают орган в физиологически правильном положении, слабнут и почка начинает опускаться.
Диагностирование пиелоэктазии
Данное заболевание обычно диагностируется во второй половине срока беременности. Таблица размеров расширения лоханок почек у плода:
| Второй триместр (норма) | Третий триместр (норма) | Патологический размер (гидронефроз) |
| 5 мм | 7 мм | 10 мм и выше |
Патология выявляется при проведении плановых ультразвуковых исследований. Они как раз и нужны для своевременного выявления разных дисфункций и аномалий в организме ребенка.
Обратите внимание! Объем лоханок в почках часто меняется в зависимости от мочеиспускания. Поэтому важно анализировать расширение до и после похода в туалет.
Лечебные меры
Тактика лечения полностью зависит от того, на какой стадии была обнаружена патология. Если степень легкая или средняя – врачи просто мониторят состояние ребенка. Используется только наблюдение потому что есть большой шанс самопроизвольного излечения, ведь мочеиспускательный канал и другие структуры системы только развиваются. Мониторинг происходит посредством УЗИ.
Когда присутствует тяжелая пиелоэктазия – делается операция. Она, конечно же, производится уже после рождения ребенка. Вмешательство проводится с использованием миниатюрного инструмента, который не сможет повредить ткани. Вводится он в мочеиспускательный канал.
Чтоб у ребенка не было осложнений, ему дают противовоспалительные лекарства, которые можно пить новорожденным. Основной целью операции является восстановление нормального оттока мочи и ликвидация обратного заброса жидкости из мочеточников в полость мочевого пузыря.
Важно: лечение расширения почечных лоханок медикаментами не является эффективным.
Послеоперационный период
Чтоб организм ребенка лучше восстановился, ему назначается особая диета (если малыш на прикорме). Если он находится на грудном вскармливании – рекомендаций по питанию нужно придерживаться маме. Женщине лучше убрать из рациона полностью:
- соленое;
- острое;
- жирное;
- кислое;
- жаренное;
- крепкий чай и кофе.
Большинство потребляемой еды должно быть вегетарианской. О построении рациона для малыша сможет детально рассказать доктор.
Прогноз
Операция не дает 100% гарантии, что патология не вернется. Поэтому маленькие пациенты должны находится под наблюдением педиатра. Особо важен контроль за состоянием здоровья таких детей в 6 лет и в период полового созревания. В эти промежутки у ребенка может случиться рецидив, так как у него активно растут мышцы и скелет.
Существует ли профилактика?
Четких наставлений для избежания расширения лоханок почек у плода женского и мужского полов нет.
Врачи рекомендуют потенциальным мамам проходить комплексные обследования, во время которых могут выявить какие-то дисфункции.
Если пиелоэктазия у малыша была обнаружена уже при внутриутробном развитии – женщине рекомендуется уменьшить объемы потребляемой жидкости. Так же хорошо на состояние ребенка может повлиять легкая физическая активность мамы.
Обследование и лечение ребенка после родов
У большинства малышей пиелоэктазия самоустраняется после того как органы мочевыделительной системы дозревают (это происходит уже после родов).
Если у плода наблюдалась умеренное расширение почечных лоханок – достаточно будет регулярно (раз в 2-3 месяца) на протяжении первого года жизни проходить ультразвуковое обследование.
Если помимо этого недуга присутствовала ещё и мочевая инфекция – врач может назначить антибиотики.
Когда у детей диагностируется запущенная пиелоэктазия или прогрессирование этого недуга – малыша направляют на комплексное урологическое обследование.
Если вследствие болезни у ребенка начала ухудшаться почечная функция – делается операция (о ней мы говорили ранее).
Расширение лоханок почек у плода – одна из очень часто встречаемых патологий в строении почек у детей. Она имеет свойство устраняться сама собой, когда малыш растет. При этом тяжелые стадии пиелоэтазии требуют обязательного хирургического вмешательства, так как способны вызвать целый ряд серьезных осложнений. Мамам не рекомендуется отказываться от проведения такой операции.
Уже после рождения малыша важно регулярно водить его на УЗИ обследования, чтоб специалисты могли своевременно выявлять ухудшения состояния ребенка и прогнозировать возможные рецидивы. Детей с тяжкими степенями недуга ставят на пожизненный диспансерный учет. Берегите здоровье своего крохи и будьте здоровыми!
Лоханка почки расширена у плода: возможные причины и последствия для здоровья
Ультразвуковое исследование, которое должна проходить каждая беременная женщина – это не только способ «познакомиться» со своим малышом, но и метод диагностики большинства внутриутробных патологий и врожденных аномалий.
Согласно статистике, одной из частых проблем на этом этапе развития становится пиелоэктазия – расширение лоханок почек. Она определяется примерно в 2% от всех беременностей.
С чем может быть связана пиелоэктазия почек у плода, опасно ли это состояние, и требует ли оно лечения: попробуем разобраться.
Где норма, а где – патология
Почки – орган мочевыделения со сложным анатомо-функциональным строением. В нем происходит фильтрация, образование, реабсорбция, первичное накопление и выведение мочи. Одной из структурных единиц почек являются лоханки, в которые моча по пирамидам поступает из канальцев и нефронов, а затем под действием сокращений гладкой мускулатуры эвакуируется по мочеточникам в мочевой пузырь.
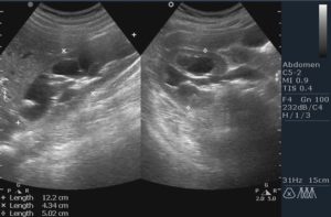
Уже на 16-18 неделе внутриутробного развития врач может четко визуализировать чашечно-лоханочную систему (ЧЛС) плода с помощью УЗИ. Нормальные размеры лоханки при этом не должны превышать:
- 5 мм – во ll триместре;
- 7 мм – в lll триместре.
Пиелоэктазия – расширение лоханок почек – у новорожденного или плода диагностируется, как правило, уже на втором скрининговом УЗ-обследовании, которое проводится на сроке 20-24 недели. У мальчиков патология развивается немного чаще, чем у девочек. Вероятно, это связано, с различиями в анатомическом строении органов мочевыделения.
Расширение лоханки почек у плода классифицируют:
По локализации
- одностороннее;
- двухстороннее.
По распространенности поражения
- пиелоэктазия – изолированное расширение лоханок;
- пиелоуретероэктазия – расширение и лоханок, и мочеточников;
- пиелокаликоэктазия – увеличение размеров и, лоханок, и чашечек;
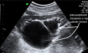
- гидронефроз – значительное увеличение размеров ЧЛС (10 мм и более), при котором происходит сдавливание паренхиматозной ткани почек, и её функция нарушается.
Причины и механизм развития увеличения размеров ЧЛС
Среди основных причин развития пиелоэктазии выделяют:
- влияние наследственного фактора;
- действие на плод токсинов (в том числе никотина и алкоголя);
- аномалии развития мочеточников – стриктуры, нарушения работы клапанного аппарата, рефлюкс и др.;
- гипертонус мочевого пузыря;
- нейрогенные нарушения работы мочевого пузыря;
- хронический пиелонефрит/гломерулонефрит или другие воспалительные заболевания почек у беременной женщины.
Нарушение физиологического оттока мочи приводит к ее застою в ЧЛС и перерастяжению стенок лоханки. Часто после рождения причинный фактор исчезает сам по себе, и состояние ребенка компенсируется. В других случаях пиелоэктазия прогрессирует и в конечном итоге приводит к хронической почечной недостаточности.
Узи – главный метод диагностики пиелоэктазии у плода
Расширенные лоханки почек у плода легко визуализируются с помощью ультразвукового исследования. Чаще всего такое нарушение в строении органов мочевыделения диагностируется с 17 по 22 неделю антенатального развития.
Специалисты утверждают, что увеличение размеров лоханки на 0,5-1 мм часто устраняется самостоятельно, без медицинского вмешательства.
А вот лоханки, расширенные на 2-3 и более миллиметров, требуют тщательного контроля со стороны врача.
Если расширение почечных лоханок, диагностированное у плода, не проходит к рождению, ребенку назначается дополнительное обследование, включающее:
- УЗИ почек (повторно);
- внутривенную урографию;
- цистографию;
- лабораторные исследования крови и мочи (ОАК, ОАМ, БАК и др.).
При этом важно выявить не только то, насколько увеличены почечные лоханки, но и почему такая врождённая аномалия развилась. В зависимости от причины пиелоэктазии врачом составляется план наблюдения и, при необходимости, лечения ребенка.
Кроме этого, всем парам, чьи дети родились с врождёнными аномалиями развития, рекомендуется проконсультироваться с генетиком.
План ведения новорожденных с пиелоэктазией
Незначительно расширенные лоханки почек у плода требуют лишь тщательного наблюдения. При дальнейшем развитии органов мочевыделения велик шанс компенсации состояния и благополучного исхода без какой-либо терапии.
Тяжелая пиелоэктазия – показание для хирургического вмешательства. Операция проводится через мочеиспускательный канал новорожденного и направлена на:
- восстановление оттока мочи;
- устранение регургитации (обратного забрасывания мочи из мочевого пузыря и мочеточников в ЧЛС почек);
- предотвращение развития осложнений.
Отсутствие своевременного лечения может привести к следующим патологическим состояниям:
- мегауретер – равномерное расширение мочеточника, связанное с нарушением оттока мочи;
- уретроцеле – появление выпячивания в стенке мочеточника;
- хронический пиелонефрит, цистит и другие ИМВП;
- пузырно-мочеточниковый рефлюкс;
- нефроптоз;
- пролапс мочеточников;
- атрофические изменения органов мочевыделения, хроническая почечная недостаточность.
К сожалению, специфических мер профилактики пиелоэктазии почек до сих пор не разработано.
Каждая беременная женщина должна помнить о важности диагностических УЗИ – чем раньше будет обнаружено расширение чашечно-лоханочной системы у будущего ребенка, тем лучше.
Не стоит забывать и о важности здорового образа жизни, отказа от вредных привычек, полноценного питания и своевременного лечения острых и хронических заболеваний. Все это поможет снизить риск врождённой патологии у плода.
Увеличенный размер почек у плода
Гидронефроз почек у плода входит в перечень заболеваний, которые выявляются у малыша еще до рождения (вследствие так называемого перенатального обследования). Заметить с помощью УЗИ почки и мочевой пузырь врач может уже с 15 недели беременности. Заподозрить развитие аномалии и более детально рассмотреть органы — с 18-20 недели.
Что такое гидронефроз?
Мочевыделительная система каждого человека состоит из: мочеиспускательного канала, мочевого пузыря, почечных лоханок и чашечек, почек. Моча собирается только в двух отделах — чашечках и лоханках.
Если жидкости в течение длительного времени много, эти части растягиваются. Поэтому врачи диагностируют гидронефроз у плода.
Степень расширения органов напрямую зависит от давления, образующегося в результате застоя. Стенки лоханки при этом заметно истончаются, постепенно возникает атрофия паренхимы почек. Это очень опасное состояние.
Даже если гидронефроз по определенным причинам и перестает развиваться, однако самое важное время будет опущенным. Почку малыша уже не удастся спасти.
Еще сложнее ситуация, когда поражение является двусторонним. Такую патологию труднее диагностировать, а затем лечение начинается с существенным опозданием. Велика вероятность в этой ситуации, что обе почки прекратят свое функционирование, наступает внутриутробная гибель.
Однако не в каждом случае есть причины для волнений. Врачи не ставят диагноз гидронефроза, если почки ребенка расширены в диапазоне 8-10 мм. В таком случае детский организм помогает матери.
Чтобы компенсировать нехватку, организм плода берет часть нагрузки на себя, увеличивая к допустимой норме размер органа. В нормальном состоянии опорожнение малыша в утробе матери происходит по несколько раз в день.
Хотя патология на практике встречается довольно часто, указать на конкретное число случаев гидронефроза еще у не рожденных малышей сложно, ведь количество диагностических методов, которые разрешается использовать, небольшое.
Медики отмечают, что патология чаще встречается у мальчиков, чем девочек, и имеет преимущественно односторонних характер. И левосторонний, и правосторонний гидронефроз имеет одинаковые особенности и механизмы развития, одинаково диагностируется и лечится. На практике правая почка поражается более часто.
В общем количестве патологий мочеиспускательной системы на это заболевание приходится 4,7%. Закупорка может возникнуть на любом участке мочеиспускательного пути: в месте, где мочеточник соединяется с лоханками; в месте соединения с самим мочевым пузырем; в любой точке мочеточника.
Стадии патологии
Под влиянием давления мочи осуществляется незначительное растяжение лоханки почки. На УЗИ врач замечает несколько увеличенный размер органа, однако его функционирование продолжается в обычном режиме. В этом случае нет причин для преждевременного волнения. Нет необходимости и в лечении.Давление на лоханки увеличивается, поэтому и размер всего органа тоже больший. Жидкость начинает давить на паренхиму, поэтому постепенно происходит ее атрофия. Функции органа плода явно нарушены. Возникает необходимость в дополнительном обследовании. Если женщина находится на третьем триместре беременности, возможен вариант вызывания преждевременных родов. Лечение новорожденного проходит более эффективно.Атрофия органа увеличивается. Функционирование почки фактически отсутствует. Постепенно фиксируется полное разрушение всего органа. Жизнь плода оказывается в большой опасности.
По каким причинам возникает?
Причин, что приводят к гидронефрозу, может быть много. Преграды к нормальному оттоку мочи из лоханки могут содержаться как в самой мочеиспускательной системе, так и в ближайших тканях.
Большинство их связаны с врожденными патологиями:
Изменения мочеточника. Как правило, это перекручивание, деформация, сдавливание или перегиб. Вызывает застой мочи только с одной стороны.Патологические изменения в самом мочевом пузыре. Сюда относятся: патология формы органа, наличие опухолей, разрастание рубцовой ткани, большие складки слизистой оболочки. Такая причина достаточно серьезная, приводит в основном к двустороннему поражению почек. Лечится только оперативным методом.Сужение пространства мочеточника. Вызвано в основном разрастанием соединительной ткани.Воспалительные процессы в тканях таза.Гипотония, или атония, мочеиспускательных путей. Слабый тонус не обеспечивает нормального оттока. Наблюдается такая проблема чаще всего на ранних этапах беременности. Имеет хороший прогноз лечения. Иногда будущей матери приходится пройти 1 курс лечения поливитаминами.
Крайне редкая патология — появление образование камней в мочеточниках. Удаление их полностью решает проблему с застоем мочи.
Как диагностируется?
Наиболее достоверный и подходящий для выявления патологий почек диагностический метод — рентгенографический — во время беременности применять категорически запрещается, будущим мамам назначается УЗИ. Начиная с 1970 года, такой инструментальный метод был признан обязательным для комплексного обследования плода.
С его помощью врач может оценить:
- размер почек;
- эхогенность паренхимы;
- наличие и количество амниотической жидкости;
- наполненность мочевого пузыря;
- задний и передний размер лоханок (до 33 недели беременности нормой их является размер 4 мм, с 34 — 7 мм);
- наличие новообразований в мочеиспускательной системе.




