Подвывих голеностопного сустава – одно из его наиболее распространенных травматических повреждений. При подвывихе наблюдается неполное смещение друг по отношению к другу суставных поверхностей костей, которые формируют сустав ‒ эпифизов большеберцовой и малоберцовой костей, а также таранной кости стопы.
Так как голеностопный сустав фактически «несет» на себе все тело, то даже при его незначительном подвывихе опорная функция нижней конечности нарушается, также человек не может перемещаться в пространстве (ходить, бегать, танцевать).
Диагноз ставят по клиническим симптомам, а подтверждают с помощью рентгенологического обследования. Лечение заключается во вправлении подвывиха, а при необходимости ‒ кратковременной иммобилизации (обездвиживании) сустава.
Общие данные
Подвывих голеностопного сустава ‒ один из лидеров среди вывихов и подвывихов. По разным данным, его диагностируют у 7‐11% пациентов с такими нарушениями. Также он является одним из всех наиболее часто возникающих повреждений, включая переломы, ожоги и так далее.
Страдают все категории населения во всех регионах планеты ‒ взрослые и дети, мужчины и женщины, пожилые и беременные, домохозяйки и спортсмены.
Обратите внимание
Наименьшая частота возникновения подвывиха голеностопного сустава ‒ у дошкольников, а среди них ‒ у детей в возрасте от 0 до 3 лет.
Подвывих голеностопного сустава ‒ это патология периода жизни, характеризующегося высокой активностью. Чаще всего нарушение возникает в возрасте от 20 до 45 лет. Что касается гендерного преимущества, то как и при максимальном большинстве травм, представители мужского пола страдают чаще, чем женского, так как они чаще заняты в травмоопасных сферах (рабочей, спортивной), а также чаще дерутся.
Это нарушение в целом относится к категории неопасных, его лечить несложно, оно не приводит к каким-либо критическим последствиям. При длительном отсутствии медицинского вспоможения могут развиться некоторые осложнения, из-за которых физиологический комфорт пациента нарушается.
Врачи отмечают, что подвывих голеностопного сустава часто возникает в результате травмы, например, при падении или неудачном приземлении. Симптомами данного состояния являются боль, отек, ограничение подвижности и иногда видимые деформации. Важно отметить, что подвывих может быть менее заметен, чем полный вывих, что затрудняет его диагностику.
Для лечения специалисты рекомендуют сначала обеспечить покой поврежденной конечности и приложить холодный компресс для уменьшения отека. В некоторых случаях может потребоваться иммобилизация с помощью бандажа или шины. Физиотерапия и упражнения для восстановления подвижности также играют ключевую роль в реабилитации. Врачи подчеркивают, что своевременное обращение за медицинской помощью и правильное лечение помогут избежать осложнений и восстановить функцию сустава.

Причины
Причиной появления подвывиха голеностопного сустава является воздействие на него физической силы. Нарушение имеет сугубо механический характер ‒ травмирующий агент, действуя на суставные концы сочленения, заставляет их смещаться в разные стороны. Есть мнение, что подвывих возникает у конкретного человека, у которого для появления полноценного вывиха потребуется травматическое воздействие в 1,5-2 сильнее. Так как в формировании голеностопного сустава принимают участие три кости, то могут наблюдаться различные комбинации подвывиха этого сочленения.
Как и другие типы повреждения данного сустава, в частности, и травматические нарушения в целом, описываемая патология может возникать в быту, на производстве, в сельском хозяйстве, в спорте, реже ‒ в более серьезных ситуациях (ДТП, промышленных катастрофах), в которых возникают более критичные повреждения.
В бытовых условиях подвывих голеностопного сустава чаще всего возникает при следующих обстоятельствах:
- человеку на его пути встречаются физические преграды, которые он может задеть стопой;
- человек не контролирует, как ставит стопу. Так, можно зацепиться за обычный порог, из‐за чего возникнет подвывих;
- он находится в состоянии алкогольного опьянения, из‐за чего теряет равновесие ‒ типичным является механизм возникновения подвывиха при «заплетании» ноги за ногу;
- появляется кратковременная судорога, которая не позволяет стопе «приземлиться» правильно.
Реже подвывих голеностопного сустава возникает при падении с высоты, так как стопа при этом «опускается» на землю или асфальт не всегда латеральной (боковой) поверхностью, удар приходится на сустав, но суставные поверхности костей не смещаются.
Подвывих голеностопного сустава в промышленных или сельскохозяйственных условиях чаще всего наблюдается при нахождении в загроможденных помещениях ‒ срабатывает механизм подворачивания стопы, когда человек зацепляется ею за какой‐либо лежащий предмет.
Обратите внимание
Очень часто подвывихи голеностопного сустава возникают в спорте ‒ а именно в командных играх. Своеобразным лидером является футбол: во время игры соперники выполняют так называемый подкат, стараясь выбить мяч, при этом носок стопы одного спортсмена может ударить в голеностопный сустав другого, происходит смещение суставных поверхностей.
Другими обстоятельствами возникновения подвывиха голеностопного сустава являются:
- потеря равновесия спортсмена и его падение ‒ например, во время различных забегов;
- подворачивание стопы после ранее перенесенных спортивных травм голеностопного сустава ‒ переломов и полноценных вывихов, при которых из‐за временной иммобилизации (обездвиживания) может наступить ослабление связок сустава, они не фиксируют его, развивается его гипермобильность (чрезмерная подвижность), стопа при неаккуратном движении подворачивается.
Последние случаи наблюдаются чаще у спортсменов‐любителей, которые не проходят полноценный период реабилитации после травм.
Также подвывих голеностопного сустава может возникать спортсменов, которые задействованы в различных видах мотоциклетного спорта ‒ таких, как мотокросс (гонки по пересеченной местности), супермотокросс (экстремальные гонки по треку с пересеченной местностью и трамплинами), мотофристайл (прыжки и пируэты на мотоциклах).
Как и другие повреждения, подвывих голеностопного сустава нередко возникает в драках ‒ особенно тех, во время которых по противнику наносятся удары ногами или тяжелыми предметами (в частности, в область голеностопного сустава).
При других обстоятельствах, в которых могут возникать травмы (это ДТП, техногенные катастрофы и природные катаклизмы), подвывих голеностопного сустава возникает редко ‒ чаще наблюдаются более выраженные повреждения: переломы и вывихи. Если он все же возник, то, как правило, клиника невыраженная, и подвывих могут диагностировать не сразу, концентрируя внимание на более тяжелых повреждениях.
Во время дорожно‐транспортного происшествия данный вид травмы, как и подвывих плечевого сустава, возникает чаще всего у велосипедистов или мотоциклистов при падении, а также при наезде транспортного средства на пешехода, велосипедиста или водителя мотоцикла.
У детей подвывих голеностопного сустава диагностируется в основном в младшем и среднем школьном возрасте. Мальчики в силу своей активности страдают чаще, чем девочки. Описываемая травма может возникать:
- на уроке физкультуры;
- во время перемен, когда школьники, не контролируя собственных движений, бегают и толкают друг друга;
- во внеурочное время, когда дети играют на улице.
Механизмы развития подвывиха голеностопного сустава у детей практически те же, что и у взрослых ‒ ребенок при этом:
- может зацепиться за лежащий предмет, стопа подворачивается;
- играет в слишком подвижные игры и переоценивает свои возможности ‒ так, в беге наперегонки может не скоординировать движения стопы, что опять таки, ведет к ее подворачиванию
и так далее.
Важно
Подвывих голеностопного сустава возникает у хилых от природы или ослабленных после болезни детей, которые, поддаваясь коллективному духу, принимают участие в играх, при этом часто травмируя не только голеностопный сустав, но и другие структуры.
Голеностопный сустав ‒ достаточно подвижное сочленение, подвывих которого мог бы возникать при малейшем движении. Но этого не случается благодаря фиксации:
- суставной сумкой ‒ соединительнотканным «мешком», который окружает сустав со всех сторон;
- связками ‒ короткими пучками соединительной ткани, которые, крепясь на костных структурах голеностопного сустава, не позволяют суставным поверхностям костей, его формирующих, смещаться больше, чем это необходимо для обеспечения движения.
Мобильность сустава (а значит риск возникновения подвывиха) увеличивается при ослаблении суставной сумки и/или связок. Это наблюдается в таких случаях, как:
- ранний период после перенесенных травм голеностопного сустава с разрывом сумки и/или связок;
- неправильная тактика лечения повреждений данного сочленения либо неполноценный реабилитационный период;
- регулярное подворачивание стопы, которое приводит к «разболтанности» суставной сумки и связок;
- системные заболевания соединительной ткани, при которых страдают все структуры, имеющие ее в своем составе. Очень часто это аутоиммунные заболевания ‒ патологии, при которых иммунные реакции возникают на собственные ткани.
У детей возникновению подвывиха голеностопного сустава могут способствовать врожденные патологии соединительной ткани, которые возникли из‐за нарушения внутриутробного развития. Такое часто случается, если на беременную женщину (а значит, и на плод) воздействуют различные патогенные факторы:
- аномальные температуры;
- радиоактивное облучение;
- травмы живота беременной;
- агрессивные химические вещества, поступающие в организм беременной извне;
- некоторые лекарства;
- патогенная микрофлора;
- экологические факторы
и многие другие.
Симптомыподвывиха голеностопного сустава
Выраженность симптоматики подвывиха голеностопного сустава может варьировать в зависимости от степени смещения суставных поверхностей костей, формирующих его. В отличие от подвывихов других суставов, описываемый вид повреждения всегда манифестируется клинической симптоматикой ‒ в частности, при попытке движений. Основными признаками этой травмы являются:
- болевой синдром;
- отечность;
- нарушение функций сочленения.
Характеристики болей следующие:
- по локализации – в области голеностопного сустава;
- по распространению – боли локальные, на соседние структуры не распространяются;
- по характеру – ноющие;
- по выраженности – слабые или средней интенсивности, терпимые;
- по возникновению – наблюдаются в момент травмирования, усиливаются при попытке движений, в состоянии покоя уменьшаются, но могут беспокоить до того момента, пока не будет выполнено вправление сустава.
Ткани при подвывихе голеностопного сустава опухают в области сочленения, при этом образуется характерная мягкая «подушечка». Отек, как правило, невыраженный, но появляется при подвывихе голеностопного сустава всегда.
При возникновении описываемого нарушения пациент не может:
- стать на ногу со стороны повреждения ‒ ухудшается ее опорная функция из‐за болей и частичного изменения конфигурации сустава;
- выполнять активные движения с привлечением голеностопного сустава ‒ идти, бежать.
Если при подвывихе голеностопного сустава повреждены нервные либо сосудистые структуры, то могут возникнуть:
- побледнение кожных покровов;
- парестезии (нарушение чувствительности) ‒ онемение, покалывание, «бегание мурашек» и другие.
Подвывих голеностопного сустава — это распространенная травма, о которой часто говорят как спортсмены, так и люди, ведущие активный образ жизни. Симптомы могут варьироваться от легкой боли и отека до затруднений при ходьбе. Многие отмечают, что при подвывихе сустав может выглядеть деформированным, а движения в нем становятся ограниченными. Лечение обычно включает покой, лед и компрессию для уменьшения отека. В некоторых случаях требуется физиотерапия для восстановления подвижности и укрепления мышц. Важно обратиться к врачу для точной диагностики и назначения адекватного лечения, чтобы избежать осложнений и повторных травм.

Диагностикаподвывиха голеностопа
Диагноз описываемого травматического повреждения ставят, опираясь на жалобы пострадавшего, данные анамнеза (истории) травмы, а при необходимости ‒ на результаты дополнительных методов диагностики.
Обратите внимание
Если при подвывихе голеностопного сустава наблюдаются признаки поражения нервной или сосудистой системы, возникшие из‐за механического воздействия сместившихся суставных концов костей, то может потребоваться консультация нейрохирурга (или невропатолога) и сосудистого хирурга.
Выясняя детали травмы, врач должен задать пациенту следующие вопросы:
- при каких обстоятельствах возникла травма;
- каков был ее механизм ‒ пациент зацепился стопой, переступая преграду, подвернул ее во время бега, его ударили и так далее;
- наблюдались ли у пострадавшего травмы голеностопного сустава ранее;
- была ли оказана первая помощь.
Результаты физикального обследования будут такими:
- при осмотре – визуализируется отек тканей в области голеностопного сочленения, пациент не опирается на пострадавшую ногу, держит ее, выпрямив, перед собой. У некоторых пострадавших из‐за особенностей реакции мягких тканей может отмечаться небольшое покраснение кожных покровов в области голеностопного сустава;
- при пальпации (прощупывании) – отечность подтверждается, выявляется небольшая болезненность.
Просьбу врача выполнить движения в голеностопном суставе (сгибание, разгибание, вращение) пациент не может удовлетворить из‐за болезненности и нарушения правильной структуры сочленения (его суставные поверхности не способны свободно смещаться одна по отношению к другой). Определять возможность выполнения пассивных движений следует осторожно: для этого врач одной рукой обхватывает нижнюю треть голени пострадавшего, другой ‒ стопу и выполняет в ней движения. При болевом синдроме такого тестирования не проводят.
Из инструментальных методов исследования в диагностике подвывиха голеностопного сустава привлекаются:
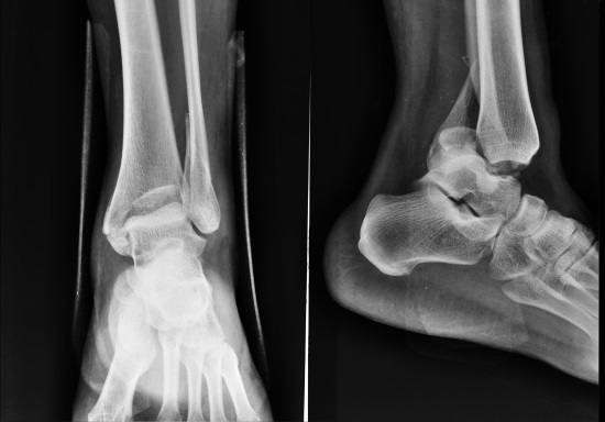
- рентгенологическое обследование ‒ рентгенологические снимки делают в прямой и боковой проекциях (иногда ‒ в косой при необходимости проведения дифференциальной диагностики подвывиха голеностопного сустава с другими типами его повреждений). С помощью рентгенологических снимков оценивают степень смещения суставных поверхностей костей;
- магнитно‐резонансная томография (МРТ) ‒ ее проведение может понадобиться для оценки состояния мягких тканей, пострадавших при подвывихе. Также с помощью метода выявляются нарушения, характерные для патологий, которые спровоцировали слабость связок ‒ дегенеративно‐дистрофические, воспалительные и другие. Компьютерные срезы позволяют оценить характеристики глубоких слоев тканей.
Лабораторные методы обследования не являются ведущими в диагностике подвывиха голеностопного сустава. Их могут привлечь для выявления характера той патологии, которая спровоцировала слабость связок либо суставной капсулы. Это:
- общий анализ крови ‒ при воспалительном поражении отмечается увеличение количества лейкоцитов (лейкоцитоз) и СОЭ;
- определение маркеров аутоиммунных реакций ‒ в первую очередь, определяются антинуклеарный фактор и антинуклеарные антитела
и так далее.
Дифференциальная диагностика
Дифференциальная (отличительная) диагностика описываемой травматической патологии проводится чаще всего с такими нарушениями, как:
- перелом диафизов большеберцовой и/или малоберцовой костей ‒ часто может наблюдаться одновременно;
- вывих голеностопного сустава – полноценное смещение суставных поверхностей большеберцовой, малоберцовой и таранной костей;
- перелом таранной кости;
- перелом костей плюсны.

Осложнения
Осложнения подвывиха голеностопного сустава наблюдаются нечасто. Как правило, они возникают из‐за повреждения сосудистых и нервных структур сместившимися суставными концами костей, формирующих данное сочленение. Это:
- парестезии;
- контрактура – уменьшение амплитуды движений в сочленении.
В отдаленном периоде иногда возникают:
- артроз ‒ поражение суставных поверхностей сочленения, которое носит дегенеративно‐дистрофический характер;
- артрит ‒ воспалительное поражение сочленения.
Лечениеподвывиха голеностопного сустава
В лечении подвывиха голеностопного сустава используют консервативные методы. Назначения будут такими:
- вправление костей, формирующих сустав;
- покой;
- иммобилизация;
- купирование системных заболеваний соединительной ткани, на фоне которых могли быть поражены связки голеностопного сустава, что привело к его нестабильности.
При повторном подвывихе анестезия при вправлении, как правило, не требуется. Ее проводят пациентам с низким болевым порогом и детям. Во время вправления аккуратно смещаются суставные концы костей, задействованных в формировании голеностопного сустава. Если при проведении процедуры был слышен характерный щелчок, пациент отметил исчезновение болей, смог стать на стопу и сделать движения в голеностопном суставе, это свидетельствует про успешность процедуры.
После вправления рекомендуется функциональный покой на протяжении 6‐12 часов (в зависимости от самочувствия пациента ‒ он сам может регулировать свою физическую активность). Если у пострадавшего отмечаются повторные подвывихи голеностопного сустава, то после текущего вправления рекомендуется иммобилизация сочленения, длительность которой устанавливает врач. Показаниями для ее проведения являются микроповреждения суставной капсулы и связок голеностопного сустава. Как правило, накладывается крестообразная повязка. Должен быть зафиксирован голеностопный сустав, но при этом пациент может делать движения пальцами стопы.
Обратите внимание
Неосложненный подвывих голеностопного сустава после вправлений не требует специального лечения. Если он возник из‐за слабости связочного аппарата на фоне каких-либо системных патологий, то проводят их лечение, а нагрузку на сустав ограничивают.
После иммобилизации могут потребоваться реабилитационные мероприятия в виде ЛФК и массажа ‒ для предупреждения нарушений со стороны мышц и тех же связок, которые появляются на фоне временного бездействия голеностопного сустава.
Профилактика
Методы профилактики описываемого нарушения перекликаются с мерами, профилактирующими подвывихи других суставов в частности и другие травматические повреждения в целом. Их выполнение не требует больших усилий ‒это:
- избегание ситуаций в быту, на производстве, в сельском хозяйстве и спорте, которые могут быть чреваты травмированием ‒ в частности, голеностопного сустава. Если такие ситуации регулярно повторяются в связи с профессиональной спецификой, необходимо решить вопрос смены рода деятельности ‒ особенно это касается футбола и мотоциклетного спорта;
- использование индивидуальных средств, которые защитят голеностопный сустав от повреждения, а также от подворачивания стопы (в последнем случае подойдут обычные повязки, фиксирующие стопу);
- занятия физкультурой ‒ для укрепления связочного аппарата голеностопного сочленения;
- предупреждение, выявление и купирование патологий соединительной ткани, которые провоцируют слабость связочного аппарата и, как результат, повышают риск возникновения подвывиха голеностопного сустава;
- избегание будущей матерью влияния агрессивных факторов во время беременности, которые способны спровоцировать нарушение внутриутробного развития плода ‒ в частности, развитие врожденных патологий соединительной ткани.
Прогноз
Прогноз при подвывихе голеностопного сустава оптимистичный. В большинстве случаев пациенты через короткое время после вправления суставных концов могут выполнять различные движения в суставе.
Нарушения иннервации и кровоснабжения, которые могут возникнуть при смещении суставных концов костей, формирующих сочленение, как правило, некритичны.
Прогноз ухудшается при таких обстоятельствах, как:
- игнорирование услуг квалифицированных специалистов и самолечение;
- привлечение услуг так называемых «костоправов», которые не имеют медицинского образования;
- позднее обращение в клинику;
- ранняя активность после осложненного подвывиха.
Ковтонюк Оксана Владимировна, медицинский обозреватель, хирург, врач-консультант
Вопрос-ответ
Как лечится подвывих голеностопного сустава?
Методы лечения Терапия травмы заключается в закрытом вправлении сустава и наложении гипса с регулярным рентгеновским контролем, проводимым на 5–6-й день для исключения вторичного смещения и других осложнений. Вправление осуществляется под анестезией.
Можно ли ходить при вывихе голеностопа?
Сначала врач вправляет смещенный сустав, предварительно обезболив конечность. Затем голеностоп фиксируется при помощи жесткой повязки. Фиксация ноги обязательно должна осуществляться в течение 3 дней. После того, как фиксация будет снята, можно совершать медленные пешие прогулки.
Как понять, что вылетел голеностоп?
Симптомы вывиха голеностопного сустава Чаще всего вывих голеностопного сустава сопровождается болью в лодыжке, усиливающейся при ходьбе, когда увеличивается давление на повреждённые связки. Другим симптомом является отёк (опухоль) и синяк – это происходит довольно часто, хотя и не во всех случаях.
Сколько проходит вывих голеностопного сустава?
Восстановление после перенесенного повреждения, травмы суставов стопы, занимает от 5 до 12 недель. Все зависит от характера травмы, ее тяжести и прочих индивидуальных параметров.
Советы
СОВЕТ №1
При первых признаках подвывиха голеностопного сустава, таких как боль, отек или ограничение подвижности, немедленно обратитесь к врачу. Самолечение может усугубить травму и привести к серьезным осложнениям.
СОВЕТ №2
Используйте лед для уменьшения отека и боли в первые 48 часов после травмы. Приложите лед к поврежденной области на 15-20 минут с перерывами, чтобы избежать обморожения кожи.
СОВЕТ №3
После получения медицинской помощи следуйте рекомендациям врача по реабилитации. Упражнения на растяжку и укрепление мышц помогут восстановить подвижность и предотвратить повторные травмы.
СОВЕТ №4
Обратите внимание на свою обувь. Неправильная или неудобная обувь может увеличить риск травм голеностопа. Выбирайте обувь с хорошей поддержкой и амортизацией, особенно если занимаетесь спортом.






