Грозными факторами, мешающими наступлению беременности у женщины, являются гормональный дисбаланс и инфекции. Именно эти нарушения вызывают целый ряд патологических изменений в женском организме, которые не позволяют состояться зачатию. Одним из последствий гормонального сбоя, осложненного инфекционным вмешательством, является рост полипов в маточной полости.
Насколько опасен этот процесс и, главное, можно ли забеременеть с полипом в матке, разберемся в нашей статье.
Чем опасны полипы эндометрия и цервикального канала
Полип – образование доброкачественной природы, которое состоит из увеличенного слоя эндометрия и находится в маточной полости или цервикальном канале. Новообразование может иметь разные размеры, варьирующиеся от 1 мм до 5-6 см, и «комплектацию»: вырост эндометрия может быть одиночным и диффузным. В последнем случае фиксируется множественные очаги наростов.
При полипах, имеющих минимальные размеры, женский организм никак не реагирует на них. Поэтому ярко выраженной симптоматики при патологии нет. Чаще всего образования «вычисляют» по время аппаратной диагностики, так как при осмотре на гинекологическом кресле их не всегда можно увидеть и прощупать.
Однако иногда проявляются косвенные симптомы, которые служат сигналом для начала исследования на наличие увеличенного эндометрия. К ним относят такие признаки:
- Обильные маточные кровотечения;
- В середине цикла появляются незначительные выделения крови мажущего типа;
- Маточное кровотечение в период климакса;
- Боль в виде схваток в низу живота;
- После интимной близости или гинекологического осмотра появляются кровотечения.
Почему начинает увеличиваться слой эндометрия, до сих пор до конца не выяснено. Раньше предполагалось, что главным виновником патологии является гормональный дисбаланс (увеличение содержания эстрогенов). Однако сейчас стало очевидно: шансы на развитие полипов увеличивают инфекции и ослабленный иммунитет.
Несмотря на то, что полипы имеют доброкачественный характер развития, до 2% его разновидностей могут переходить в злокачественные опухоли.
Заболевание может развиться у любой женщины, однако в большей степени ему подвержены такие пациентки:
- Часто делающие аборты;
- Болеющие сахарным диабетом или гипертензией;
- Имеющие проблемы с правильным обменом веществ;
- С гормональными нарушениями.
Незначительные по размеру эндометриальные полипы не несут серьезной угрозы здоровью женщины. Однако их интенсивный рост в маточной полости мешает сперме «подойти» к яйцеклетке, что делает зачатие невозможным.
Можно ли забеременеть с полипом в матке
Вероятность наступления беременности при наличии образований в полости матке небольшая. Тем не менее, она есть. Возможность зачатия зависит от вида полипов, их размеров и локализации.
Так, незначительные единичные наросты, возникновение которых не связано увеличением эстрогенов, не мешают активному сперматозоиду выполнить возложенную на него функцию. А оплодотворенная яйцеклетка без труда прикрепится к маточной полости, ведь места для нее там еще достаточно. Более того, наличие нароста никак не отразиться на течении беременности.
Полип, возникший по причине гормонального дисбаланса, отрицательно влияет на зачатие. В единичных случаях, когда беременность все же наступила, она заканчивается выкидышем.
Однако даже в этом случае полип эндометрия нельзя считать приговором: после квалифицированного лечения женщины успешно беременеют и вынашивают малышей. В этой ситуации нужно не откладывать визит к грамотному специалисту и набраться терпения на весь курс лечения, который может иметь продолжительность около полугода.
Многие специалисты сходятся во мнении, что забеременеть с полипом можно, так как связь нароста с бесплодием, на их взгляд, сомнительна. Такое предположение связано с тем, что наросты образуются под воздействием других гинекологических проблем: сбоя месячного цикла и нарушения процессов овуляции.
Тем не менее, при попытках забеременеть при полипе эндометрия с помощью экстракорпорального оплодотворения, медики не гарантируют успех. В этих случаях процедуру рекомендуют проводить только после удаления новообразования вместе с ножкой.
Методы лечения
Достигший значительных размеров полип в матке убрать можно только одним способом: хирургическим вмешательством.
Однако опытный специалист не назначит операцию сразу после диагностики. Связано это с тем, что некоторые образования могут самостоятельно «рассосаться», исчезнув после менструации. Поэтому нужно дождаться очередного ежемесячного кровотечения, а после повторить диагностические исследования. Если же счастливого события не произошло, без хирургического вмешательства не обойтись.
Современной операцией по удалению новообразований такого типа считается гистерорезектоскопия.
В зависимости от вида и размера образования проводят следующие методики операционного вмешательства:
- Выскабливание;
- Пережатие ножки нароста, после которого он отторгается;
- Гистерорезектоскопия;
- Прижигание;
- Криодеструкция;
- Ампутация.
Последняя операция проводится только тогда, когда диагностировано развитие злокачественных образований.
После того, как полип удалили, его направляют на гистологическое исследование, так как иногда (редко) он может содержать раковые клетки. Последующая терапия зависит от результатов гистологии.
Женщинам, которые планируют наступление беременности, назначают препараты гормонального и антибактериального воздействия, принимают которые в течение 3 месяцев.
В период медикаментозного лечения нужно отказаться от интенсивных физических нагрузок и тепловых процедур. Также следует ограничить интимную близость.
Беременность после удаления полипа
Когда можно забеременеть после удаления полипа, ответить точно не смогут даже опытные медики: организм каждой женщины имеет свои особенности.
В период терапии гормональными средствами зачатие не может наступить по понятным причинам: лекарства выполняют функцию противозачаточных средств.
После выскабливания полипа женщина находится под постоянным медицинским наблюдением, в процессе которого анализируются результаты ее анализов и данные УЗИ-диагностики. задача такого наблюдения – отследить возможность рецидива, когда после удаления полипа эндометрия на его месте появляется новый.
Беременность после гистероскопии полипа может наступить уже через 2 месяца после того, как будут отменен прием синтетических гормонов. Этого времени достаточно, чтобы в матке вырос нормальный слой эндометрия, необходимый для успешного зачатия.
Планируя беременность, лучше проконсультироваться с гинекологом, который проводил лечение.
Врач, зная индивидуальные особенности репродуктивной системы женщины, поможет определиться со сроками планирования.
Беременность после удаления полипа благополучно наступает о многих женщин, поэтому не стоит бояться хирургического вмешательства, ведь это единственный способ избавиться от опасных наростов.
Можно ли перепутать новообразование с беременностью
Существует расхожее мнение, что во время УЗИ-диагностики врач может перепутать плодное яйцо с наростом. Ведь при значительных размерах образований некоторые симптомы их нахождения в матке схожи с «интересным положением». Однако оно имеет под собой очень мало оснований.
Квалифицированный врач без труда отличит, полип или беременность он видит на мониторе приспособления. Плодное яйцо темного цвета и округлой формы, тогда как нарост светлый, имеющий цилиндрическую форму.
Полип во время беременности
Мы уже говорили о том, что полип и беременность иногда являются понятиями вполне совместимыми. Как правило, речь идет о маленьких наростах, о которых будущая мама даже не догадывается до тех пор, пока не пройдет первое УЗИ.
Если появление нароста не связано с гормональными нарушениями, за ними лишь наблюдают в течение всего срока вынашивания ребенка, чтобы исключить возможность разрастания. Ведь беременность может простимулировать рост образований.
Хирургическое лечение откладывают на послеродовый период. Однако иногда оно не требуется: полип исчезает сам после родов. В крайних случаях операционное вмешательство проводят во время беременности.
Можно ли полип на эндометрии матки перепутать с беременностью на УЗИ
Некоторых женщин беспокоит вопрос: можно ли полип перепутать с беременностью на УЗИ? Это одно из распространенных заблуждений относительно диагностики гинекологических состояний, периодически подтверждаемое недостаточным профессионализмом специалистов или некачественной аппаратурой.
Плодное яйцо или полипозное образование?
В обычных обстоятельствах квалифицированный гинеколог сразу же отличит, полип или беременность у пациентки. Для этого нужно иметь лишь базовые профессиональные познания и точные результаты диагностики.
Отличить полипозное новообразование в матке от плодного яйца не составит труда – они отличаются как по форме, так и по цвету. Плодное яйцо более округлое и имеет темную окраску, а полип – более светлый.
Кроме того, существует еще много других признаков, при которых можно спутать полип с беременностью невозможно.
Существует небольшая вероятность, что можно принять за плодное яйцо плацентарный полип на узи, поскольку он по окраске и контурах действительно напоминает зародыша. Однако квалифицированный врач-диагност без труда отличит эти два состояния. Ошибочный диагноз в таких случаях ставят крайне редко.
Поэтому женщинам не стоит беспокоиться по поводу того, могут ли полип перепутать с беременностью на УЗИ. Если после проведения диагностики у пациентки остаются сомнения, лучше всего обратиться к другому специалисту и удостовериться в результатах.
Особенности диагностики полипов
Если возникает подозрение на полип в матке, в качестве диагностического метода, преимущественно, назначают ультразвуковую диагностику. Она позволяет выявить полипы, развивающиеся в полости матки, и достаточно точно определить размеры новообразования, а также динамику их роста и развития.
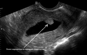
Полип эндометрия на УЗИ проявляется как достаточно четкая цилиндрическая структура белесоватого оттенка.
Ультразвуковое исследование органов малого таза помогает выявить также сопутствующие патологии матки – в частности, миоматические разрастания и эндометриальный кистоз.
Кстати, гинекология знает клинические случаи, когда проведенная диагностика может указывать на беременность при эндометриальной кисте.
Когда под вопросом полип, рекомендуется использовать дополнительные методы диагностики, в частности:
- кольпоскопию;
- гистероскопию;
- гистологию патологических тканей.
Гистероскопия представляет собой процедуру введение в маточную полость специального аппарата – гистероскопа, оснащенного миниатюрной видеокамерой. С его помощью проводится не только диагностика внутреннего пространства матки, но и непосредственное удаление полипа.
Метод гистероскопии достаточно эффективный, и позволяет снизить возможность возникновения рецидивных проявлений полипов. Однако прижигание, которое применяется для воздействия на очищенные от полипов ткани, ведет к формированию рубцов и шрамов на эндометрии.
А это, в свою очередь, может помешать матке эластично раскрыться при будущих родах.
Поэтому процедура диагностики и дальнейшего лечения полипов должна быть выполнена очень тщательно, с учетом всех необходимых анализов, а также индивидуальных особенностей организма пациентки и ее репродуктивных планов.
Специфика выявления полипов на УЗИ
Полипы в матке УЗИ выявляет достаточно эффективно, но иногда их можно перепутать с миомой, эндометриозом, другими гинекологическими патологиями.
Современные медицинские исследования не всегда дают достоверные результаты, хотя такие случаи не стоит принимать за закономерность.
В некоторых случаях за полипозное образование возможно принять обычную складку эндометрия.
Такие заблуждение не несут опасности для здоровья и жизни пациентки, однако могут вызывать психологическое беспокойство по поводу мнимой развивающейся патологии. Поэтому специалистам следует быть очень осторожными и аккуратными, когда они ставят диагнозы. Ведь задача медицины не только вылечить, но и, в первую очередь, не навредить.
Сделать УЗИ будет нелишним, если пациентка наблюдает у себя тревожные симптомы гинекологического характера:
- болевые проявления, локализирующиеся в паху и пояснице;
- кровянистые выделения ановуляторного характера;
- нарушения менструального цикла любого рода;
- общую слабость, головокружения.
Все эти проявления могут свидетельствовать о развитии полипов, хотя некоторые симптомы могут совпадать с явлениями, сопутствующими беременности.
Чтобы состояние беременности не приняли за полип или другой гинекологический недуг, рекомендуется пройти цикл специальных обследований, и проконсультироваться с несколькими специалистами.
Несмотря не малую вероятность, все же иногда полипы матки принимают также и за плодное яйцо на ранних этапах развития, хотя бывают и обратные ситуации.
Например, особо опасна неправильная диагностика при замершей беременности, которая может потребовать радикальных методов вмешательства ради спасения жизни и репродуктивного здоровья пациентки.
Точная диагностика: основа качественной медицины
Многие пациентки, которым поставили диагноз полип эндометрия, обращаются в другие клиники, и слышат там опровержения наличия ранее установленных патологий.
Это ведет к тому, что уровень доверия к медицине, и гинекологии, в частности, падает, а женщины начинают искать альтернативные пути диагностики и лечения, обращаются на разнообразные форумы, занимаются самолечением.
Хорошо, если женщина забеременела вместо того, чтобы заболеть на тот или иной гинекологический недуг – но здесь возникает вопрос о компетентности медицинских сотрудников и уровне врачебной этики.
Когда диагноз, который пациентке поставили, оказывается неверным, это может значить потерянное время в лечении и неминуемый ущерб для здоровья и качества жизни пациентки.
Для того чтобы избежать подобной ситуации, рекомендуется делать УЗИ органов малого таза не реже 1 раза в полгода.
Тогда женщина может быть уверена в гинекологическом здоровье и спокойно готовиться к будущему материнству, если она стремиться к этому.
Плацентарный полип — симптомы, причины, лечение
Плацентарный полип – доброкачественное внутриматочное новообразование. Формируется из сгустков крови, осевших и организовавшихся на остатках плаценты или хориона (ворсинчатой оболочки зародыша).
Плацентарный полип – это позднее осложнение прервавшейся или завершившейся беременности.
Если выкидыш или медицинский аборт произошёл в Ι триместре беременности, то плацентарный полип формируется из небольших остатков ворсинчатого хориона и кровяных сгустков.
С ΙΙ триместра беременности (после полного формирования плаценты) он образуется из кровяных сгустков и участков плацентарной ткани, оставшихся в матке после искусственных или физиологических родов.
Виды плацентарных полипов
- Плацентарный полип на тонкой ножке.
- Плацентарный полип на широком основании.
Причины образования плацентарного полипа
- Некачественный медицинский аборт.
- Неполный самопроизвольный аборт (неполный выкидыш).
- Замершая беременность.
- Особенности или аномалии развития плаценты (добавочные дольки, др.)
- Нерациональное ведение родов, кесарева сечения, послеродового периода.
Симптомы плацентарного полипа
Маточные кровотечения различного характера и интенсивности (от кровянистых мажущих выделений, до обильного кровотечения).
Кровотечения начинаются спустя 2-3-4 и более недель после родов или аборта (выкидыша).
- Слабость, быстрая утомляемость.
- Бледность кожи.
- Повышение температуры тела на фоне кровянистых выделений из матки.
- Головокружение, обморок.
- Неприятные ощущения или боли внизу живота, в пояснице.
Чем опасен плацентарный полип
На фоне плацентарного полипа могут развиться болезненные и угрожающие жизни состояния:
- Критическая кровопотеря.
- Анемия.
- Вторичная инфекция.
- Сепсис – заражение крови.
- Эндометрит – воспаление слизистой матки.
- В отдалённом периоде: бесплодие.
Диагностика плацентарного полипа
Кровянистые выделения, маточное кровотечение при плацентарном полипе, как правило, начинаются спустя несколько недель после: аборта, удаления плодного яйца (в случае замершей беременности), кесарева сечения, родов. Кровотечение может носить пульсирующий характер (то оно есть, то его нет).
При осмотре пациентки на кресле может определяться зияние наружного и внутреннего зева матки. Иногда плацентарный полип выступает из отверстия шейки матки.
- Кольпоскопия – осмотр слизистой влагалища и влагалищной части шейки матки с помощью оптического прибора.
- УЗИ.
- Доплерография – УЗИ кровотока матки.
- Гистероскопия – исследование полости матки при помощи специального эндоскопического оборудования.
Окончательный диагноз «плацентарный полип» ставится после гистологического исследования удалённых тканей полиповидного образования.
Лечение плацентарного полипа
Единственно эффективный способ лечения плацентарного полипа – хирургическое удаление.
- Удаление полипа корнцангом. Операцию проводят при визуализации части полипа в шейке матки или в случае противопоказаний к проведению лечебной гистероскопии.
- Хирургическая лечебная гистероскопия.
- Лазерная хирургия.
После удаления плацентарного полипа, как правило, производится раздельное диагностическое выскабливание слизистой матки. Противопоказанием к выскабливанию может быть инфекция (сепсис).
Удалённую в ходе операции ткань предполагаемого плацентарного полипа отправляют на гистологическое исследование. Важно исключить трофобластическую болезнь (пузырный занос, хорионэпителиому, хорионкарциному).
Плацентарный полип после родов
Возможные причины задержки участков плаценты и формирования плацентарного полипа в матке после родов:
- Нарушение физиологического отделения плаценты от стенки матки.
- Добавочные дольки, другие аномалии плаценты.
Признаки задержки частей плацентарной ткани или последа в матке в раннем послеродовом периоде:
- Кровянистые выделения (пульсирующее кровотечение) со сгустками крови.
- Послеродовая матка больших размеров.
- Схваткообразные периодические сокращения и расслабления послеродовой матки.
Дородовая профилактика плацентарного полипа
- УЗИ-скрининг.
- Доплерографическое исследование маточно-циркулярного кровотока.
Плановый УЗИ-скрининг на протяжении всей беременности позволяет обнаружить отдельно расположенные участки плацентарной ткани (добавочные дольки плаценты), задержку внутриутробного развития плода, плёнчатую, кольцевидную плаценту, другие аномалии развития.
Зная риски, можно предупредить послеродовые осложнения, в том числе плацентарный полип.
Послеродовая профилактика плацентарного полипа:
- Тщательная ревизия полости матки после родов.
- Если есть признаки неполного отделения плаценты – ручное отделение плаценты и выделение последа.
- Адекватное ведение раннего послеродового периода: сокращающая и спазмолитическая терапия.
Любые выделения из матки, кровомазание, кровотечение, возникшие в поздний послеродовый период – веское основание для немедленного обращения к врачу.
Плацентарный полип после медаборта
Медицинский аборт – метод искусственного прерывания беременности. Производится в лечебном учреждении по желанию пациентки, по медицинским или социальным показателям.
Строго соблюдать установленные сроки проведения медицинского аборта. Это позволит избежать осложнений после прерывания беременности, в частности формирование плацентарного полипа.
- Медикаментозный или фармаборт (см.видео)
- Мини-аборт или вакуумная аспирация плодного яйца.
Оптимальный срок операции: до 5 недель беременности (задержка менструации не должна превышать 21 день).
- Аборт путём выскабливания слизистой матки.
Несвоевременный, непрофессионально проведённый аборт создаёт риск маточного кровотечения, неполного удаления плодного яйца, задержки в матке остатков хориона и формирование плацентарного полипа после медицинского аборта. Лечение – выскабливание слизистой матки.
Если плацентарный полип после выскабливания матки образовался вновь, его лечат повторным выскабливанием.
«Плацентарный полип» при беременности
Во время беременности под влиянием высокого содержания женских половых гормонов, в частности прогестерона, слизистая оболочка шейки матки может излишне разрастаться (децидуализация).
Нарост внутришеечной (цервикальной) слизистой оболочки матки, который выступает в просвет шейки матки или за его пределы называется децидуальный полип.
Эту допустимую физиологическую трансформацию внутренней оболочки шейки матки в период беременности иногда ошибочно называют «плацентарным полипом».
Иногда, при воспалении или кровомазании децидуальный полип лечат оперативно. Для этого используют корнцанг или современные малоинвазивные хирургические методы, которые не вредят беременности.
Профилактика плацентарного полипа
- Адекватная контрацепция, планирование беременности (избегать абортов).
- Ранняя постановка беременной на учёт и регулярное наблюдение у акушера-гинеколога.
- Квалифицированное ведение физиологических родов, кесарева сечения, послеродового периода.
- Исключение криминальных или кустарных абортов, родов вне медицинских учреждений (домашних, в воде и т.п.).
Полип или беременность на УЗИ
У некоторых женщин при обследовании возникает неоднозначная ситуация и они не знают, УЗИ полип показало или беременность? Кроме ультразвукового обследования, диагноз, что у женщины нарост, несколько, группа, можно поставить с помощью гистологии с гистероскопией, после осмотра у гинеколога.
Новообразование может быть малозаметным с кунжутную семечку или достигать размеров теннисного мячика. Кроме полипа, расположенного в полости матки, ещё бывает и новообразование на её шейке. Часто послеисследований у женщины обнаруживают тот и другой нарост.
О полипах матки
Маточная полость покрыта слизью. При менструации он отделяется и естественным образом, выходит, а до следующей нарастает вновь. Под этим слоем расположен базальный, на его основе растёт функциональный. Из базального и вырастет полип эндометрия, несколько или группа — это эндометрия.
Наросты в матке доброкачественные. Чаще всего они появляются в репродуктивном или менопаузальном возрасте у женщин от 35 до 50 лет. Бывает, что с этой проблемой обращаются после родов и молодые женщины от 20 до 25 лет.
Как выглядит полип? К базальному слою он крепится с помощью ножки, его тело состоит из клеток эпителия. Он продолговатый, с округлой верхушкой. Когда полипов много — это называют полипозом эндометрия.Ультразвуковое обследование эффективный вид диагностики заболевания и потом делают полипэктомию.
Почему в матке образуются наросты?
В основном из-за воспалений половых органов или нарушений на гормональном уровне. Рассмотрим подробнее эти причины:
- Нарушения на гормональном уровне. В организме женщины выделяется много эстрогенов, в яичнике, например, воспаление. В маточном слое появляются гиперплазийные очаги. Эндометрий становится толще и растут полипы. Те нарушения функционального слоя создают благоприятную обстановку не только для развития полипоза, но и поликистоза в яичниках, железистой гиперплазии или мастопатии, фибромы. В группе риска женщины у которых яичники дисфункциональны или эстрогения.
- Воспаления по-женски. Можно заразиться от партнёра какой-то инфекцией, заболеть эндометритом с сальпингоофоритом, аднекситом и другим заболеванием, протекающим в хронической форме. Все эти болезни могут спровоцировать активное развитие нароста, 2 и более в матке;
- Травмы механического характера. Они бывают из-за длительного ношения спирали, множества абортов, выскабливания для диагностики какого-то заболевания. Плохо, когда происходит какая-то не слишком удачная операция в матке или манипуляции, которые производил гинеколог, повредили слизистую матки. Всё это может спровоцировать рост доброкачественных опухолей;
- Различные заболевания, считающиеся системными. Например, психические расстройства, поражение щитовидки, нарушения иммунной системы, артериальная гипертензия, сахарный диабет с ожирением. Из-за всего этого риск того, что вырастет полип, 2 или группа, значительно повышается.
Каких видов бывают полипы в матке
Гистологические признаки у полипов в матке разные. Существуют такие их разновидности:
- Фиброзные. Они вырастают из соединительной ткани. По консистенции плотные и чаще всего появляются у женщин старше 40 перед климаксом. Это из-за того, что женский организм гормонально перестраивается;
- Железистые состоят их железисто тканных клеточек. Чаще подобные полипы вырастают у более молодых пациенток. Они бывают и в виде кисты и содержат жидкость. Появляются из-за эндометриальной гиперплазии;
- Аденоматозные. На клеточном уровне у них есть аномалии. Наблюдается склонность к малигнизации;
- Железисто-фиброзные. В них железистая ткань + соединительная;
- Плацентарные. Могут образоваться и у молодых женщин после рождения младенцев, когда в маточном слое остаются плацентарные клетки. Из них и разовьются наросты.
Полип или беременность покажет на УЗИ точно.
Признаки с симптомами
Женщина долго может не знать, что у неё полипы, например, когда они с кунжутное семечко. Со временем он увеличится и появятся характерные симптомы:
- Нарост увеличится и у женщины начнутся маточные кровотечения: циклические или ациклические. При месячных женщина будет ощущать боли и они будут обильными. До начала месячных из влагалища у пациентки будут идти коричневого оттенка выделения;
- При сексуальных контактах женщина будет испытывать дискомфорт. А после полового акта появятся выделения с кровью;
- Пациентка вступила в фазу менопаузы, а у неё открываются кровотечения;
- Из-за кровопотери возникает железодифицит и доходит до анемии. Пациентки жалуются на головокружения со слабостью, кожные покровы становятся бледными;
- Когда полип или несколько станут большими, женщина ощутит боли чуть выше лобка. Одни ощущают иногда схваткообразные боли, у других они ноющие;
- У некоторых пациенток появляются бели — выделения из влагалища;
- Наросты могут провоцировать бесплодие, а если и удастся забеременеть, то у многих случаются выкидыши.
«Совет. Если вы подозреваете, что у вас в матке есть полипы, обследуйтесь у гинеколога на полипоз.»
Необязательно будет именно полип на сканировании УЗИ. Похожие симптомы при миоматозных образованиях, эндометриозе.
В чём опасность заболевания?
Из-за полипов у вас постоянно может сбиваться менструальный цикл. Такие наросты считаются доброкачественными новообразованиями, но если в 1 произойдёт малигнизация, он может переродиться и стать злокачественной опухолью. Потребуется удаление матки.
«Совет. Если вам диагностировали нарост, 2 или группу, то минимум 1 раз в полгода приходите на осмотр к гинекологу.»
Как влияет маточный нарост на беременность?
Из-за полипов некоторым женщинам диагностируют бесплодие. У многих случаются выкидыши. До того, как вы забеременеете, удалите все маточные наросты. Чтобы избежать срывов, в течение 1 г. гинекологи не рекомендуют беременеть и вынашивать малыша. Женщина ждёт ребёнка, а гинеколог диагностирует у неё полипы. Как быть?
Специалисты говорят, что если женщина несмотря на нарост забеременела, то с большой долей вероятностью выносит и родит младенца. Риск осложнений в таком случае небольшой. Когда ребёнок родится, гинекологи рекомендуют после восстановления удалить все образования из матки.
Если у вас после родов образуются плацентарные полипы, которые вырастают на месте оставшихся кусочков плаценты, то будете недели 3 страдать от обильных кровотечений из матки. Потребуется операция. Их удалят, захватив остатки плаценты. Сделают выскабливание.
Размеры нароста в матке могут быть различными 1-30 мм. В среднем, не более 10 мм. Если полип ничем не беспокоить, он не растёт, но когда женщина часто делает аборты, беременеет, ей делают выскабливания, его рост может ускориться. После удаления полипа эндометрия доктор назначит вам болеутоляющие, возможно процедуры у гинеколога.
Можно ли полип перепутать с беременностью: 5 мнений врачей
Как часто на женских форумах возникают истории про врачебные ошибки. Сегодня мы поговорим об одной из них. Можно ли наличие в матке полипа перепутать с беременностью? Вопрос очень важный, потому что диагнозы из разных опер. Это либо счастье будущего материнства, либо заболевание, которое нужно лечить.
Что рассказывают пациентки?
Предостаточно постов и отзывов, где говорят о полипах, которые через 9 месяцев рождались прекрасными младенцами. Некоторым ставили кистозное образование, миому, гиперплазию, а в итоге оказывалась беременность.
Обычно сомнения быстро разрешаются после сделанных тестов, анализа ХГЧ или дополнительного УЗИ у другого специалиста. Конечно, за время таких сомнений, даже если они длились один день, женщина прилично переживает.
Путаница обычно происходит на очень ранних сроках до 6-7 недель. В дальнейшем эмбрион выглядит так, что даже самый невнимательный узист не спутает его ни с чем.
Сомнительный полип, который оказался беременностью, проявлял себя задержкой, изредка изменением вагинального секрета. Хотя истинное образование провоцирует увеличение объема и длительности менструации, а также кровит в остальные дни.
Внимание! Обратные случаи, когда ставили беременность, а оказался полип тоже встречаются, хотя немного реже. Можно предположить, что плод был, но под действием нароста отторгся.
Большинство специалистов утверждают, что такой ошибки не должно быть по определению. Цитирую: “любой студент медик отличит плодное яйцо от полипа эндометрия”. Сказано хорошо, но против фактов не попрешь: случаи есть, и игнорировать их нельзя.
Адекватные врачи подтверждают, что такая вероятность существует по нескольким причинам:
- Старое оборудование, которое дает настолько неясную картину, что кроме того, что существует некое образование, больше понять ничего невозможно;
- Узист страдает халатностью или крайним непрофессионализмом;
- Срок предполагаемой беременности слишком маленький;
- Сочетание 2 первых пунктов;
- Полип не плотной структуры или имеет кистозную полость;
- УЗИ проводили в середине или во второй фазе цикла, что делает картину неверной из-за рыхлого толстого слоя эндометрия. Достоверные результаты дает исследование сразу после менструации, максимум на 9 сутки.
Как выглядит беременность и патология на снимке УЗИ?
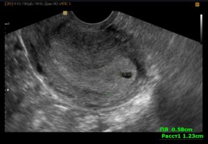
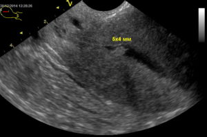
Как говорят специалисты, полип — гиперэхогенное образование. Что это значит? Нарост имеет плотную структуру, настолько, что выделяется на фоне стенок матки светлым пятном. Ультразвук поглощается жидкостью и полостями, они на снимке темные. Чем плотнее ткани, тем более светлыми будут, например, кости ярко-белые.
Полип формируется из собственных клеток эндометрия. Причем таким образом, что содержит основу из фиброзных волокон, которые обладают высокой плотностью и заполненные промежутки железистыми клетками. Поэтому на УЗИ полип выглядит вытянутым светлым пятном цилиндрическое или пальцеобразное. Иногда можно отличить тонкую ножку образования.
Вокруг может просматриваться черная полость неправильной структуры.
Плодное яйцо — анэхогенное образование, то есть темное пятно круглой или овальной формы с четким контуром. Это потому что внутри содержится жидкость, в ней выделяется светлый эмбрион. Увидеть плод можно уже на 2 неделе.
Железистые полипы особенно те, что сформированы из функционального слоя эндометрия, структуру имеют неплотную, что может выглядеть не как гиперэхогенное образование. В некоторых наростах возникают кистозные полости округлой правильной формы, что может напоминать плодное яйцо.
Пересмотрев десятки снимков УЗИ с полипом или беременностью на сроке до 5-6 недели, можно сказать, что не всегда ситуация однозначна. Некоторые образования имели все видимые признаки плодного яйца — ровный круглый или овальный контур, темное содержимое и вырост похожий на эмбрион.
Полип в сочетании с беременностью
Иногда случается, что эти 2 фактора протекают совместно. Одно может возникнуть на фоне другого.
Особый вид наростов, которые формируются из оболочки матки. Она заменяет эндометрий в период вынашивания ребенка. Это своеобразная выстилка между стенкой органа и плодным яйцом.
Сильное разрастание приводит к полипу, который обычно вываливается в цервикальный канал. В большинстве случаев такие наросты не опасны и отторгаются при родах вместе децидуальным слоем. Но иногда они повреждаются и кровоточат, а также воспаляются.
Подобные образования по чисто механическим причинам могут стать виновниками бесплодия, но совсем необязательно. Если при наличии нароста железистого или фиброзного типа возникла беременность, то существуют некоторые риски:
- Выкидыш по причине сокращений матки под действием полипа.
- Отслойка плаценты частичная приводит к замедленному развитию, кислородному голоданию плода, что может привести к различным врожденным патологиям.
- Давление угнетает эмбрион, если образование достигло 4-6 сантиметров.
- Кровотечения и воспаления грозят преждевременными родами, осложнениями в процессе.
Поэтому врач оценивает риски, динамику роста полипа, его расположение и прочие факторы. В опасных случаях показана операция по удалению нароста во время беременности. Проводят после 16-20 недели, но возможно назначить процедуру по окончании 1 триместра. Вмешательство не навредит ребенку.
Осторожно! Опасное состояние замершая на раннем сроке беременность. ХГЧ будет низким, динамики роста плода нет. Поэтому опасное состояние может скрываться под видом полипа, что влечет развитие серьезного воспаления.
Что делать при сомнениях?
Если женщина предполагает беременность, а на УЗИ ей поставлен диагноз полип эндометрия, то ряд действий помогут развеять сомнения:
- Провести тест. Для ранних сроков лучше не экономить и приобрести изделие с высокой точностью результата;
- Сдать анализ ХГЧ. Уже с 7 дня после зачатия повышен уровень гормона, который впоследствии ежедневно увеличивается. Поэтому есть смысл сделать анализ 2 или 3 раза с перерывом в 2-3 дня. В разных лабораториях могут отличаться единицы измерения, а значит и цифры, но специалисты знают, когда беременность существует на 100%;
- Проконсультироваться в другом медицинском учреждении;
- Через пару недель по динамике станет понятно, что в матке.
Этих действий хватит, чтобы определить беременность. В дальнейшем, если зачатие исключено, есть смысл в проведении гистероскопии, чтобы достоверно определиться с видом образования.
Совет! Если первое УЗИ делали во 2 фазе цикла, то лучше провести повторное исследование на 5-7 день, сразу после месячных. Иногда псевдополипы в таком случае — сгустки эндометрия, которые с успехом покинули матку в менструальных выделениях.
Главное, что нужно предпринять после неожиданных результатов УЗИ — это не паниковать и не спешить с выводами. Ошибаются даже профессионалы. Задача пациентки опровергнуть свои сомнения — посетить другого специалиста, сдать необходимые анализы, подождать до срока, когда путаница между полипом и беременностью невозможна.
Выявлен полип эндометрия и беременность планируется: можно ли стать мамой?
Полипы – патологические разрастания тканей, выступающие над общей поверхностью слизистой оболочки. Могут формироваться во многих органах: кишечнике, желудке, носовых пазухах, полости матки, цервикальном канале и т.д.
В большинстве случае протекают малосимптомно, могут перерождаться в злокачественные опухоли. Полип эндометрия встречается как у молодых, так и преклонного возраста женщин.
Помимо основных симптомов, подобные разрастания влияют на возможность забеременеть.
Виды полипов в эндометрии матки
В зависимости от вида тканей, из которых формируется полип, а также от его расположения и предположительной причины, выделяют множество разновидностей данных разрастаний.
Железистые
Формируются из железистых клеток. Встречаются совершенно разных размеров и формы, но по консистенции они очень мягкие и податливые. Это функциональные образования, т.е. активно продуцируют секрет, поэтому чаще могут вызывать какие-то симптомы.
Все железистые полипы подлежат обязательному лечению, так как впоследствии они могут изменяться в более злокачественные – аденоматозные.
Фиброзные
Железисто-фиброзные полипы имеют более плотную структуру, по этой причине иногда за них сложно зацепиться кюреткой или другим инструментом. Они наименее подвержены всяческим трансформациям, поэтому при обнаружении у женщин в менопаузе можно просто динамически наблюдать за состоянием полости матки.
Железисто-фиброзные(смешанные)
Представляют собой сочетание элементов двух последних, как по морфофункциональным, так и по клиническим признакам. Встречаются чаще других, особенно у женщин в репродуктивный период.
Фиброзные слои полипа расположены ближе к «ножке», в которой происходит прикрепление к стенке матки. Железистые же участки ближе к верхушке. Эта анатомическая особенность влияет на качество лечения.
Если удалять такие разрастания при обычном РДВ, то вероятность того, что плотная часть останется, высока. А это значить, что риск рецидива увеличивается. Также эти полипы чаще сочетают в себе элементы воспаления.
Аденоматозные
Они наиболее опасные по вероятности возникновения в последующем злокачественного процесса. Также их порою сложно отличить от высокодифференцированной аденокарциномы. Поэтому все женщины с обнаруженным аденоматозным полипом подвергаются более детальному и глубокому обследованию и лечению.
Плацентарные
Данные виды полипов образуются после недавней беременности. Это может быть следствием неполного отделения плаценты, задержки частичек хориона после аборта, неразвивающейся беременности и т.п. Проявляют себя кровотечениями различной интенсивности – от мазни до очень обильных выделений. Самостоятельно редко уходят, в 98% случаев необходимо инструментальное удаление.
Исходя из возможной причины, можно разделить все полипы на следующие групп:
- воспалительные, появляющиеся в результате хронического инфекционного процесса;
- неопластические, которые состоят из клеток, собой несвойственные для данной области;
- гиперпластические – чрезмерное разрастание типичных тканей конкретного участка, чаще возникают на фоне гормональных нарушений.
Также разделяют по форме. Существуют следующие виды:
- «На ножке», их длина всегда больше ширины. Иногда даже такие полипы могут из полости матки спускаться в цервикальный канал и влагалище.
- Сидячие, имеют широкое основание, которым они крепятся к стенке.
Подобные разрастания могут значительно отличаться по своим размерам: иногда это всего несколько миллиметров, а порою и более 10 см.
Полип эндометрия и беременность: получится ли зачать?
Полипы эндометрия формируются не только у женщин в период менопаузы или после него. Часто нерожавшие молодые девушки страдают от недуга.
Выявляются полипы эндометрия по-разному. Чаще всего девушки обращаются со следующими жалобами:
- на периодические мажущие выделения после месячных, до них и в середине цикла;
- на бесплодие.
Также обнаруживаются полипы при выполнении плановых УЗИ у групп риска, например, при сопутствующем поликистозе, миоме матки, нарушении менструального цикла и т.п.
Поэтому закономерно молодых девушек беспокоит вопрос, получится ли зачать с полипом, нужно ли его удалять или вообще как-то лечить.
Все зависит от многих факторов. В частности, имеют принципиально важное значение следующие моменты.
Какова причина образования. Среди основных факторов, играющих роль в формировании, лежат гормональные нарушения. Поэтому не сам полип может вызывать бесплодие, а первопричины, которые привели к его появлению. В таких ситуациях даже удаление разрастаний не приведет к быстрой беременности.
Какова природа полипа:
- Он может действовать в полости матки, как спираль, препятствуя прикреплению оплодотворенной яйцеклетки. Это касается больших фиброзных и железисто-фиброзных по гистологическому строению.
- Плацентарный полип часто сопровождается воспалением и кровотечением, поэтому даже при произошедшем оплодотворении беременность либо не закрепится, либо с высокой долей вероятности будет неразвивающейся.
Где расположен. Локализация полипов также важна, как и их строение. Наименее благоприятные места следующие:
- У устьев маточных труб, что может стать препятствием для сперматозоидов. Но даже если они проникнут к яйцеклетке и оплодотворят ее, уже само плодное яйцо может не попасть в полость из-за больших размеров. Это одна из причин внематочной беременности.
- В центре полости. При этом полип будет работать, как ВМС, препятствуя в любом месте прикреплению плодного яйца.
- Закрывая просвет цервикального канала. Так будет создаваться механическое препятствие на пути сперматозоидов.
Есть ли сопутствующие заболевания. Часто аденоматозные или смешанные полипы сочетаются с гиперплазией эндометрия, миомой матки (в том числе субмукозной) и другими состояниями. Именно они, а не полип, будут противодействовать беременности, например, не давая плодному яйцу прикрепиться либо вызывая его отслойку.
Нужно ли удалять, чтобы забеременеть
Не всегда подобные разрастания необходимо удалять хирургическим путем, чтобы он никак не повлиял на зачатие. Связано это с тем, что ежемесячно у женщин происходит отторжение эндометрия.
Если полип небольшой и нет какой-то хронической патологии, которая провоцирует его появление, то он может уйти самостоятельно. Или же при «удачном» расположении и небольших размерах он может никак не влиять на процесс оплодотворения и последующего прикрепления плодного яйца.
Сказать однозначно, нужно удалять полип или нет, невозможно. Многие врачи предпочитают более агрессивное ведение и предлагают гистероскопию или РДВ сразу же. Но есть и другая тактика. При этом дается время на самостоятельное разрешение проблемы (2 — 3 месяца), а также могут дополнительно назначаться гормональные препараты на такой же срок.
Если полип остается и после этого, вероятность того, что он уйдет сам, минимальна. И если женщина пытается безуспешно зачать малыша, лучше удалить новообразование.
Возможна ли беременность после удаления полипа эндометрия
Многие девушки беспокоятся, что удаление полипа может повлечь за собой осложнения, в результате которых вероятность беременности станет еще меньшей.
Конечно, ни один специалист не застрахован от ошибок, случаются перфорации матки при гистероскопии и РДВ.
Но правильно и грамотно проведенное удаление с последующим профилактическим лечением никак не снизит, а только увеличит шансы на беременность.
Полипы цервикального канала: как они влияют на зачатие и беременность
Многие не видят принципиальной разницы в полипах эндометрия и цервикального канала. На самом же деле это два отдельных понятия с несхожими причинами.
Полипы цервикального канала точно также могут быть разной природы, размеров и локализации. Располагаясь внутри шейки матки, они создают механическое препятствие на пути движущихся сперматозоидов. Также вместе с этими образованиями часто ассоциируется воспаление, а инфекция может в прямом смысле обездвиживать мужские половые клетки. Все это сводит к нулю вероятность беременности.
Другую природу и последствия имеют децидуальные полипы шейки матки. Они формируются только во время беременности (на любом сроке) и являются следствием гормональных преобразований. Несмотря на иногда достаточно внушительные их размеры, особую угрозу для вынашивания они не представляют. Основные осложнения, которые влекут децидуальные полипы:
- воспаление в месте их локализации;
- кровотечение при травмировании, в том числе при половых контактах или взятии мазков. Иногда кровянистые выделения достаточно обильные.
Тактика ведения децидуальных полипов шейки матки двоякая: можно наблюдать их на протяжении всего периода вынашивания либо удалять. Многие врачи предпочитают не вмешиваться в его рост и резецируют только при постоянном его травмировании и кровотечении.
Как проходит беременность и когда пробовать зачать
Ограничения для планирования беременности напрямую связаны с выбранным методом лечения. Если пренебрегать ими, вероятность невынашивания, замирания, отслойки плаценты в дальнейшем выше. При соблюдении всех рекомендаций риски такие же, как и у остальных женщин.
После гистероскопии полипа эндометрия
Гистероскопия – наиболее оптимальный вариант удаления полипов, особенно для молодых нерожавших девушек или страдающих от бесплодия. Связано это с несколькими причинами:
- Это наименее травматичный способ, так как все проводится под контролем зрения врача.
- Можно прицельно удалить полип, а затем проверить, полностью ли ушла его «ножка».
- Помогает установить, действительно ли данное разрастание стало причиной бесплодия и других жалоб.
- Часто сочетается выполнение гистероскопии и лапароскопии. Это позволяет дополнительно проверить проходимость маточных труб и убедиться в наличии/отсутствии другой патологии (эндометриоза, кисты и т.п.).
После выполнения гистероскопии может быть назначено гормональное лечение сроком на 3 — 6 месяцев, особенно если дополнительно выполнялась лапароскопия. Поэтому теоритически планировать беременность можно сразу после окончания курса.
После выскабливания полипа эндометрия
Если проводилось обычное выскабливание полости матки, ограничения те же, что после гистероскопии. Точно так же по результатам гистологического исследования рекомендуется курс лечения.
После гормонального лечения
Если выбрано консервативное лечение, гормональное, средний курс его 3 — 6 месяцев. После чего необходимо сделать контроль УЗИ малого таза. При отсутствии подозрений на полип можно сразу же начинать планировать беременность. Если же он сохранился, лучше провести его хирургическое удаление. Это отсрочит еще на несколько месяцев «разрешение» на беременность.
Если девушка отказалась от удаления
В случае отказа от предложенного оперативного и другого лечения планировать беременность можно безо всякий ограничений. Но женщины должны понимать, что риски патологического течения периода вынашивания у них несколько выше, чем у здоровых. Особенно если по результатам УЗИ образование сохранялось в полости матки.
Можно ли перепутать полип эндометрия с беременностью
Часто на фоне полипов эндометрия у девушек могут быть задержки менструаций. Если они активно планируют беременность, то иногда можно перепутать эти состояния, даже прибегая к другим методам исследования.
Поэтому, чтобы оценить, полип в полости или плодное яйцо, следует пройти несколько обследований:
- Тест на беременность, но он не всегда покажет верный результат на раннем сроке. Поэтому лучше и информативнее сдавать анализ крови на ХГЧ. Он со 100% достоверностью укажет на беременность уже с 10 дня после оплодотворения.
- Ультразвуковое исследование органов малого таза. В 95% случаев полип можно четко отличить от плодного яйца. Но иногда выявляется наличие небольших включений в разрастаниях, что можно принять за оплодотворенную яйцеклетку на малом сроке. Также, например, в случае неразвивающейся беременности можно подумать на полип. Чтобы еще больше повысить достоверность исследования, в сомнительных ситуациях рекомендуется проводить доплерографию с определением кровотока в этой зоне.
- Обычный гинекологический осмотр. В случае беременности даже на малых сроках врач увидит косвенные признаки произошедшего зачатия.
Рекомендуем прочитать статью о планировании беременности при опущении матки. Из нее вы узнаете о причинах опущения матки, возможностях зачатия и особенностях вынашивания ребенка.
Полип эндометрия – серьезная патология, которая может не только повышать риски развития других гинекологических проблем, но и быть причиной бесплодия. В каждом конкретном случае необходимо подходить к лечению индивидуально, учитывая все нюансы. Поэтому важно найти грамотного специалиста в этой области.





