Иногда в жизни человека могут возникать такие моменты, когда он случайно повреждает палец на ноге. Наверное, многие люди испытывали неприятные эмоции во время удара мизинца ноги об угол двери или какого-либо предмета мебели. Но в некоторых случаях такое действие не ограничивается только ушибом, а приводит к возникновению перелома. Травматическое повреждение любого пальца на ноге, вызванное прямым или непрямым воздействием, диагностируется достаточно просто, и при своевременно оказанной медицинской помощи и правильно выбранной тактике лечения, устраняется за короткий промежуток времени. От правильности лечения этого вида повреждения пальца будет в дальнейшем зависеть не только его функциональность, но и нормальная работа всей стопы.
Особенности переломов пальцев на ноге
При чрезмерном физическом воздействии на любой палец ноги происходит разрушение костей, составляющих его каркас, а также мышц и сухожилий, окружающих его. При этом образовавшиеся отломки смещаются таким образом, что между ними образуется угол.
Переломы могут возникать не только в результате механического воздействия, но и как последствия некоторых патологических состояний, для которых характерно снижение плотности костной ткани. Повреждения такого рода могут наблюдаться при остеомиелите, гиперпаратиреозе, онкологической патологии. Возникновение перелома пальца также может быть результатом неправильного ношения слишком тесной обуви и неудачных движений стопой.
Врачи отмечают, что признаки перелома пальца на ноге могут варьироваться в зависимости от степени травмы. Основными симптомами являются сильная боль, отек и синяки в области поврежденного пальца. Пациенты часто жалуются на затрудненное движение и ощущение нестабильности. В некоторых случаях может наблюдаться деформация пальца, что указывает на более серьезную травму. Важно отметить, что даже при отсутствии явных признаков перелома, такие как открытые раны или сильные повреждения кожи, необходимо обратиться к врачу для диагностики. Рентгенография является ключевым методом для подтверждения диагноза и определения характера травмы. Врачи подчеркивают, что своевременное обращение за медицинской помощью способствует более быстрому восстановлению и снижает риск осложнений.

Виды переломов
Различают несколько разновидностей подобных травматических повреждений, которые будут отличаться друг от друга обширностью распространения, расположением отломков, наличием деструкции окружающих тканей, локализацией. Переломы пальцев ног бывают:
- полными;
- неполными;
- со смещением;
- без смещения;
- локализованными, когда повреждается определённая анатомическая часть пальца;
- сочетанными, при которых повреждены все анатомические элементы пальца;
- закрытыми, при которых отсутствуют повреждения окружающих кость тканей;
- открытыми, провоцирующими разрывы связок, мышц, кожи отломками костей.
Особенности перелома большого пальца на ноге
Отличительной чертой этого пальца является то, что он состоит из двух фаланг. На большой палец во время ходьбы оказывается основная физическая нагрузка, поэтому наиболее часто в медицинской практике встречаются переломы именно этого пальца. Травматическое повреждение зачастую может затрагивать внутрисуставные структуры. При переломе человек испытывает интенсивные болевые ощущения в месте повреждения, наблюдается отёк, постепенное его распространение на другие пальцы и даже поверхность стопы, ограничение двигательных функций большого пальца.
Перелом пальца на ноге – это довольно распространенная травма, и многие люди делятся своим опытом, когда сталкиваются с этой проблемой. Основные признаки, на которые обращают внимание, включают сильную боль, отек и синяки. Часто люди отмечают, что даже легкое прикосновение к поврежденному месту вызывает дискомфорт. Некоторые рассказывают о том, как трудно им было ходить, и как важно было сразу обратиться к врачу для диагностики. Многие также упоминают, что в первые дни после травмы чувствовали себя неуверенно, опасаясь, что это может быть что-то серьезное. Важно помнить, что своевременное лечение и правильная реабилитация могут значительно ускорить процесс восстановления и вернуть нормальную функцию пальца.

Симптомы при переломе пальца на ноге
Одним из основных признаков перелома пальца на ноге является сильная боль. В результате повреждения тканей возникает отёк и кровоизлияние.
Важно
При появлении таких симптомов ещё рано говорить именно о переломе, поэтому эти признаки считаются относительными.
В число абсолютных признаков, явно свидетельствующих о произошедшем переломе, входит наличие хруста, возникающего при пальпации пальца, попытках подвигать им, изменение его конфигурации.
Яркость клинической картины будет зависеть от локализации повреждения. При переломе основной фаланги симптомы проявляются интенсивнее. В некоторых случаях переломы остаются на протяжении длительного времени незамеченными, а воспринимаются, как ушиб пальца. При этом пострадавший человек не обращается за медицинской помощью, пытаясь справиться с болезненными ощущениями самостоятельно. Особенно интенсивной боль бывает при переломе большого пальца. Постепенное усиление боли, нарушение нормальной работы стопы заставляет его прийти на приём к травматологу, который в итоге и выявляет перелом.
Важно
При возникновении подозрений на перелом пальца ноги пострадавшему необходимо обращаться в травматологический пункт. Если этого не сделать, на данном этапе снижается качество жизни человека, а в будущем могут развиваться серьёзные последствия этого повреждения.
Как определить перелом пальца на ноге?
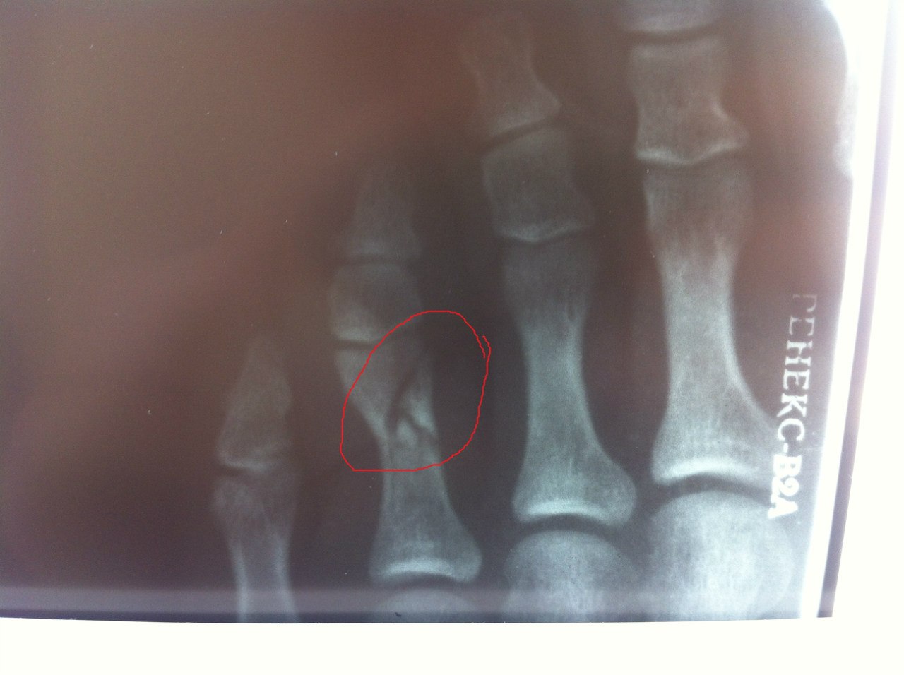
Клиническая картина перелома может напоминать вывих пальца, поэтому для дифференцирования необходимо провести рентгенологическое исследование. По назначению специалиста оно может осуществляться в двух проекциях, благодаря чему можно более точно визуализировать присутствующие повреждения, определяя их характер. Например, на рентгеновском снимке можно увидеть, произошло ли смещение отломков или нет.
Иногда даже рентгенография не позволяет точно установить диагноз, поскольку проявления перелома могут быть похожими на другие повреждения. Поэтому имеет смысл в проведении дополнительных инструментальных методов диагностики. Хотя обычно поставить правильный диагноз не составляет большого труда, особенно, если в диагностике принимает участие опытный травматолог.

Первая помощь при переломе
Если повреждение возникло вдали от медицинского учреждения, необходимо создать все условия для снижения оказываемой на палец нагрузки, и доставить пострадавшего человека в травматологический пункт. Для уменьшения притока крови к месту повреждения, благодаря чему устраняется быстрое распространение отёчности и возникновение кровоизлияния, нужно придать ноге приподнятое положение. Снижение кровообращения в месте перелома обеспечивается также с помощью воздействия холода.
Лечение при переломе пальца на ноге
После постановки окончательного диагноза, включающего определённые особенности повреждения и общего состояния больного, можно заниматься формированием лечебного метода.
Важно
Этим должен заниматься специалист, поскольку лечение в домашних условиях без определения сути патологического состояния может принести дополнительный вред здоровью пострадавшего человека.
Лечение будет иметь отличия в зависимости от характера перелома. Так, при открытом переломе пальца:
- Необходимо в первую очередь остановить кровотечение, если оно присутствует, провести антисептическую обработку образовавшихся раневых поверхностей.
- Повреждение ногтевой пластины часто сопровождается кровоизлиянием под неё.
- Кровяной сгусток подлежит удалению.
- Далее происходит иммобилизация повреждённого пальца, перед которой в случае надобности проводится формирование естественного положения всех анатомических частей пальца. Это происходит, например, при наличии смещения отломков.
- Интенсивные болевые ощущения необходимо устранить с помощью обезболивающих лекарственных средств. Только после их использования можно двигаться дальше в лечении перелома, какого бы вида он ни был.
- Иммобилизация необходима для предупреждения дополнительных повреждений.
- Для профилактики столбняка проводится вакцинация, а для предупреждения развития инфекционных осложнений назначаются антибактериальные препараты.
Специальные и хирургические методы лечения
Если травматическому повреждению подверглась основная или средняя фаланга, это является показанием для наложения специальной гипсовой лонгеты на подошвенную область стопы. В ней пациенту нужно будет ходить в течение одного месяца.
Внутрисуставные переломы пальцев ноги зачастую требуют проведения оперативного вмешательства, в ходе которого внутрь пальца вводятся специальные спицы. К ним будут крепиться костные элементы. Также при тяжёлых переломах используется аппарат Илизарова.
После проведённого лечения обязательно проводится контрольная рентгенография, чтобы определить эффективность терапии, правильность расположения и сращения костей повреждённого пальца. При неправильном сращении возникает вероятность образования костной деформации, приводящей в итоге к ограничению движений конечности, на пальце которой произошёл перелом. Также повышается риск развития артроза, если речь идёт о внутрисуставных переломах. В будущем это патологическое состояние, имеющее хроническое течение, будет проявляться периодически возникающими болевыми ощущениями в пальце, нарушением функциональности нижней конечности.
Профилактика
Чтобы предупредить образование переломов, человек должен вести себя осторожно в тех ситуациях, когда возрастает риск возникновения травматических повреждений, например, во время спортивных тренировок или состязаний. Также следует избегать ношения тесной или неудобной обуви, поскольку находясь в ней человек с большей вероятностью получит перелом пальца или какое-либо другое повреждение стопы.
Тюльпа В.В., врач, медицинский обозреватель
Вопрос-ответ
Как отличить ушиб от перелома пальца на ноге?
Как отличить ушиб от перелома Симптомы ушиба и закрытого перелома схожи между собой: сильная боль, отёк, ограничение подвижности. Но если в случае ушиба боль стихает за 2–3 часа, то при переломе она, напротив, может усиливаться.
Как понять, что палец на ноге сломанный?
Основной признак повреждения кости – это сильная боль, возникающая сразу в момент повреждения. Ощущения усиливаются при попытке встать на ногу, ощупать место травмы или пошевелить пальцами. Постепенно появляется отек и гематома, которые нередко распространяются и на стопу.
Можно ли ходить со сломанным пальцем на ноге?
У пациента может присутствовать покалывание и онемение в месте травмы, а также похолодание ноги. У открытых переломов раны сопровождаются небольшим кровотечением. Особенность травмы состоит в следующем: человек не может полноценно ходить и надевать обувь.
Как выглядит ушиб пальца на ноге?
Поврежденная область приобретает синюшный окрас, опухает и увеличивается в объеме. Проявляется подногтевое кровоизлияние или гематома, все зависит от силы повреждения. Возможны трещины ногтевых пластин.
Советы
СОВЕТ №1
Обратите внимание на отек и синяки. Если вы заметили, что палец на ноге стал опухшим и изменил цвет, это может быть признаком перелома. Сравните его с другими пальцами, чтобы выявить различия.
СОВЕТ №2
Проверьте подвижность пальца. Если вы не можете нормально двигать пальцем или испытываете сильную боль при попытке его сгибания, это может указывать на травму. Не игнорируйте эти симптомы.
СОВЕТ №3
Обратите внимание на боль. Если боль в пальце сильная и не проходит в течение нескольких часов, это может быть признаком перелома. В таком случае стоит обратиться к врачу для диагностики и лечения.
СОВЕТ №4
Не занимайтесь самолечением. Если у вас есть подозрения на перелом, лучше всего обратиться к специалисту. Неправильное лечение может привести к осложнениям и длительному восстановлению.



