Рассекающий остеохондрит плечевого сустава – это омертвение фрагмента хряща суставной поверхности, из-за чего он отламывается и смещается в суставную полость. При этом образуется так называемое свободно лежащее внутрисуставное тело.
Заболевание является асептическим – инфекционный агент не выделяется. Он может присоединиться как вторичное явление, но такое бывает редко.
Проявления патологии довольно неприятные – нарастающая боль, блокады сустава (невозможность движения в нем) и похрустывание.
Прогноз в детском и подростковом возрасте благоприятный, а вот в более зрелом возрасте может возникнуть остеоартроз.
Патологию еще называют болезнью Кенига.
Общие данные
В травматологии и ортопедии рассекающий остеохондрит реже диагностируется, чем артриты, артрозы и ряд других патологий суставов – в частности, плечевого сочленения. Поэтому нередко ставят ошибочный диагноз, «перекладывая» вину за нарушения движений в суставе на другие патологии – те же артриты и артрозы. Между тем, формирование суставной мыши может существенно нарушить функцию сочленения.
Плечевой сустав страдает реже, чем тазобедренный, лучезапястный, локтевой и голеностопный, но последствия могут быть более выраженными.
Патология может возникнуть в любом возрасте – начиная от детского и заканчивая пожилым. Заболевание чаще всего диагностируется у молодых спортсменов – особенно тех, которые не рассчитывают уровень своей силовой подготовки и стараются форсировать спортивные достижения, занимаясь на тренировках слишком интенсивно. Не менее часто заболевают люди старшей возрастной группы – откалыванию омертвевшего кусочка суставного хряща способствуют возрастные дегенеративно-дистрофические процессы хрящевой ткани. Повышение заболеваемости наблюдается у пациентов, которые не достигли еще 50 лет.
Обратите внимание
У юных пациентов рассекающий остеохондрит плечевого сустава чаще всего диагностируется в возрастной категории младше 9-10 лет. Из-за этого даже выделен отдельный вариант болезни – ювенильный рассекающий остеохондрит.
Многие клинические специалисты предполагают, что описываемая патология (в данном случае – плечевого сустава) у детей и у взрослых является двумя разными заболеваниями со сходными симптомами. Такое предположение целесообразно, так как прогноз у детей и взрослых существенно отличается: у первых болезнь заканчивается полным выздоровлением, а у вторых – нарастающим ухудшением функции и последующим развитием осложнений. У взрослых резкое ухудшение может наступить после травмы, возникшей на фоне рассекающего остеохондрита плечевого сустава. Причем, даже при грамотных адекватных назначениях и выполнении пациентом всех предписаний врача может возникнуть особая форма артроза, связанная с наличием суставной мыши в плечевом сочленении.
Сложностью в течении рассекающего остеохондрита плечевого пояса у взрослых является то, что хрящевая ткань не восстанавливается, поэтому важно своевременно удалить суставную мышь и сохранить хрящ хотя бы в том состоянии, в котором он находится на момент диагностирования патологии.
Врачи отмечают, что рассекающий остеохондрит плечевого сустава является серьезным заболеванием, которое требует внимательного подхода к диагностике и лечению. Основные симптомы включают боль в области плеча, ограничение подвижности и отечность. Часто пациенты жалуются на хруст и щелчки при движении. Важно, чтобы врачи проводили тщательное обследование, включая рентгенографию и МРТ, для определения степени повреждения хряща и костной ткани.
Лечение может варьироваться в зависимости от стадии заболевания. В начальных случаях рекомендуется консервативная терапия, включая физиотерапию и противовоспалительные препараты. Однако в более запущенных случаях может потребоваться хирургическое вмешательство для восстановления нормальной функции сустава. Врачи подчеркивают важность ранней диагностики и индивидуального подхода к каждому пациенту, чтобы минимизировать риск осложнений и улучшить качество жизни.

Причины
Теории про непосредственные причины развития рассекающего остеохондрита плечевого сустава являются спорными, так как во многих случаях нет доказательной базы.
Большинство травматологов и ортопедов считает, что причиной развития заболевания выступает травматизация. Причем, имеет значение не одномоментное повреждение, а несущественные повторные травмы. Они могут возникать:
- реже – при травматизации в регулярных драках;
- чаще – на фоне интенсивных физических нагрузок.
В последнем случае это в основном касается:
- людей, которые заняты в сфере тяжелого физического труда с возможной травматизацией (например, строители);
- работников, подвергающихся постоянному риску травматизации плечевого сустава (конюхи при ухаживании за лошадьми, доярки во время доения);
- спортсменов, которые занимаются силовыми или командными видами спорта, а также теми, которые предполагают выраженные нагрузки на плечевой сустав и его постоянное раздражение (футболисты, хоккеисты, боксеры, метатели молота и диска, теннисисты и другие).
Во всех озвученных случаях наблюдается регулярное травмирование тканей плечевого сустава, которое рано или поздно ведет к откалыванию хрящевого фрагмента и образованию суставной мыши.
Но теорию травматического воздействия ставят под сомнение, так как нередко рассекающий остеохондит плечевого сустава диагностируется у людей с обычными нагрузками, которые к тому же никогда не были травмированы – они не имеют отношения к спорту и не задействованы в трудовой деятельности, сопряженной с травматизацией.
Если рассекающий остеохондрит плечевого сустава возник без видимых причин, такую форму называют криптогенной.
Выделяют также факторы, которые могут способствовать развитию данной патологии. Это:
- системные патологии хрящевой ткани;
- системные патологии соединительной ткани;
- заболевания сосудистой системы – очень частая причина нарушения кровотока в тканях плечевого сустава, из-за чего на фоне кислородного голодания и нехватки питательных веществ и развивается некроз хрящевой ткани;
- нарушение обменных процессов;
- эндокринные сбои;
- врожденные нарушения – те, которые возникают во время внутриутробного развития плода.
Развитие патологии
Рассекающий остеохондрит плечевого сустава – заболевание механического характера: участок хряща отделяется и «проваливается» в суставную полость.
В основе развития патологического процесса лежит асептический некроз – омертвение (в данном случае хрящевой ткани).
В нормальном состоянии суставные поверхности плечевого сочленения (головки плечевой кости и суставной впадины лопатки) покрыты гиалиновым хрящом – по характеристикам он плотный, упругий и гладкий. Благодаря этому головка кости легко скользит во впадине во время движения верхней конечности. При развитии некроза и образовании суставной мыши такая механика нарушается.
При рассекающем остеохондрите плечевого сустава возникают следующие нарушения. Со стороны сосудов, которые питают хрящевое покрытие головки плечевой кости (чаще) или суставной впадины лопатки (реже) наблюдаются патологические изменения – тромбоз (закупорка кровяным сгустком) и спазм сосудистой стенки (как реакция на присутствие в просвете тромба). В результате этого местное кровообращение страдает, в тканям поступает меньше кислорода и питательных веществ, что классически приводит к омертвению участка хряща. Образуется зона асептического некроза, которая имеет вид ограниченного очага. Омертвевший участок хряща некоторое время еще соединен со здоровыми хрящевыми тканями, но по мере развития деструктивных процессов он отламывается и оказывается в суставной поверхности.
Размеры суставной мыши в целом имеют значение для того, насколько выраженной будет клиническая картина. Но нередко даже маленькая мышь, попав в самое узкое место суставной щели, может вызвать большие проблемы. Они могут быть преходящими – в связи с тем, что суставная мышь способна перемещаться по суставу. Блокады сустава (резкое ограничение двигательной активности) возникают, когда суставная мышь попадает между поверхностями костей при движении верхней конечности.
Морфологические нарушения нарастают по принципу порочного круга: суставная мышь приводит к блокадам, пытаясь их преодолеть, пациент пробует делать движения рукой – от такого насильственного действия суставные поверхности еще больше теряют свою гладкость, плечевой сустав перегружается, травматизация суставных поверхностей усугубляется.
Различают четыре стадии рассекающего остеохондрита плечевого сустава:
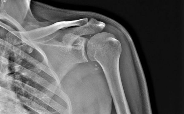
- первая – появляются дискомфорт и неопределенные несущественные болевые ощущения без какой-либо четкой локализации, нередко они проявляются в виде дискомфорта. На рентгенограмме плечевого сустава обнаруживают овальное тело, состоящее из мертвых тканей, которое отделено полоской просветления от здоровых участков кости;
- 2 стадия– появляются признаки синовита (воспалительного поражения синовиальной оболочки, которая выстилает суставную полость изнутри), также ощущаются умеренные боли в суставе. На рентгеновских снимках определяется более широкая полоса просветления;
- 3 стадия– во время нее определяются уже существенные нарушения, а на рентгенологическом снимке выявляется участок некроза, который частично отделился от кости. Данная стадия представлена полноценной клинической картиной (в том числе блокадами), о которой будет сказано ниже;
- 4 стадия– явления синовита усиливаются, на рентгенологических снимках обнаруживается полностью отделившееся, автономное внутрисуставное тело. Болевой синдром становится более выразительным, но блокады – более редкими, последнее объясняется тем, что суставная мышь может крошиться, из-за чего она уменьшается в размерах.
Рассекающий остеохондрит плечевого сустава — это заболевание, которое вызывает множество вопросов и опасений у пациентов. Люди, столкнувшиеся с этой проблемой, часто описывают симптомы как резкие боли в области плеча, ограничение подвижности и хруст при движении. Эти проявления могут значительно ухудшить качество жизни, особенно у активных людей.
Мнения о лечении варьируются: некоторые предпочитают консервативные методы, такие как физиотерапия и медикаменты, в то время как другие рассматривают хирургическое вмешательство как более эффективный способ решения проблемы. Важно отметить, что ранняя диагностика и индивидуальный подход к лечению играют ключевую роль в восстановлении функций сустава. Многие пациенты отмечают, что комплексный подход, включающий реабилитацию и изменение образа жизни, помогает достичь лучших результатов.

Симптомы
Несмотря на то что выдвигают гипотезу про наличие двух разных патологий у взрослых и детей, симптомы болезни одинаковы у обоих категорий пациентов. Клиническая картина зачастую представлена такими признаками, как:
- боли;
- отек;
- хруст;
- «заедание» в суставе.
Характеристики болей:
- по локализации – в области сочленения, зачастую боль точечно не проявляется, у пациента может болеть весь сустав;
- по распространению – иррадиация как таковая не характерна, но после того как некоторые пациенты стараются вопреки болевому синдрому самовольно «разработать» сустав и заставить его функционировать, боли могут охватывать соседние с суставом участки;
- по характеру – ноющие, иногда выкручивающие. На начальных стадиях патологии вместо болевых ощущений может проявляться необъяснимый дискомфорт;
- по интенсивности – сперва невыраженные, усиливающиеся при нагрузке и движениях, затем нарастающие;
- по возникновению – развиваются в зависимости от соизмеримости суставного тела и суставной щели. Иногда небольшой отколовшийся кусочек хряща не беспокоит длительное время, пока во время перемещения суставных поверхностей плечевого сустава не попадет в самое узкое место и не причинит болевые ощущения.
Обратите внимание
При рассекающем остеохондрите плечевого сустава отечность тканей возникает как реактивное проявление, а также как признак асептического воспаления со стороны тканей сустава.
Хруст возникает тогда, когда суставное тело находится между суставными поверхностями и при их движении выскакивает из этого пространства.
Ощущение «заедания» в суставе при двигательной активности появляется в том случае, если некротизированный участок хряща отслоился полностью. Такое «заедание» развивается из-за препятствия при движениях суставных поверхностей друг по отношению к другу. Крайняя выраженность «заедания» – «заклинивание», при этом движения в суставе внезапно прекращаются, появляется резкая острая, порой невыносимая боль, пациент в это момент даже может вскрикнуть от боли.
Диагностика
Поставить диагноз рассекающего остеохондрита плечевого сустава только на основании жалоб и данных анамнеза не всегда представляется возможным – боль и нарушения движений не являются специфическими признаками, характерными только для этого вида патологии. Для верификации (уточнения) диагноза необходимо провести дополнительные методы исследования – физикальные, инструментальные, лабораторные.
При физикальном исследовании выявляется следующее:
- при осмотре – на начальных стадиях без особенностей, при прогрессировании патологии, когда суставная мышь уже находится в суставной полости, пациент может поступить к врачу на прием, фиксируя руку в неестественном положении и не совершая ею никаких движений;
- при пальпации (прощупывании) – на начальных стадиях без особенностей, при прогрессировании болезни функциональное тестирование верхней конечности со стороны поражения провести не удается из-за болевого синдрома.
В диагностике рассекающего остеохондрита плечевого сустава следует применить такие инструментальные методы исследования, как:
- рентгенография – самый популярный и доступный метод исследования пораженного сустава, но не всегда самый информативный. Уже сформировавшуюся суставную мышь среднестатистических размеров на рентгенологическом снимке видно очень четко, но участок начинающегося некроза выявляют не всегда, так как он может быть небольшим. Поэтому отсутствие изменений на снимке не является основанием для исключения данной патологии;
- радиоизотопное сканирование (сцинтиграфия) – больному внутривенно вводят фармакологический препарат с радиоизотопами, через определенное время проводят сканирование плечевого сустава датчиком, который является чувствительным к уровню радиационного облучения. При этом создается двухмерное изображение, по которому судят про изменения в суставе;
- компьютерная томография (КТ) – компьютерные срезы позволяют «заглянуть» глубоко в ткани, выявить те нарушения, которые не определяются при рентгенологическом исследовании;
- магнитно-резонансная томография (МРТ) – диагностическая ценность та же, что и ценность компьютерной томографии. Этот метод диагностики, как и два предыдущие, позволяет диагностировать расслаивающий остеохондрит плечевого сустава на самых ранних стадиях развития;
- артроскопия – в полость плечевого сустава через небольшой разрез вводят артроскоп (разновидность эндоскопического оборудования со встроенной оптикой и подсветкой), визуально изучают состояние плечевого сустава изнутри. Нередко диагностическая артроскопия при выявленных нарушениях может продолжиться как лечебная – пациенту могут быть тут же выполнены некоторые манипуляции на плечевом суставе (в том числе и удаление суставных мышей).

Дифференциальная диагностика
Дифференциальную диагностику рассекающего остеохондрита плечевого сустава зачастую проводят с такими нарушениями, как:
- артроз – дегенеративно-дистрофические изменения в суставном хряще плечевого сустава;
- артрит – воспалительный процесс в суставном хряще;
- контрактура – нарушение двигательной активности верхней конечности по разным причинам – в том числе при нарушении со стороны мышц, кровоснабжения и иннервации (нервного обеспечения);
- анкилоз – полное обездвиживание из-за обширных патологических процессов в плечевом суставе.
Осложнения
Главным осложнением описываемой патологии является нарушение двигательной активности верхней конечности со стороны поражения. Это может быть как несущественное уменьшение амплитуды движений, как и полное обездвиживание.
Лечение
Лечение рассекающего остеохондрита плечевого сустава может быть консервативным и оперативным – выбор метода зависит от формы и стадии описываемой патологии.
Консервативные методы терапии эффективны при ювенильной форме болезни. Задачи следующие:
- остановить процесс омертвения тканей;
- стимулировать восстановительные процессы в месте нарушения.
Консервативное лечение длительное – не менее 10-18 месяцев. Его базовыми принципами являются:
- исключение повышенной нагрузки на сустав, а еще лучше временный отказ от нее до момента улучшения;
- использование повязки, которая способствует состоянию покоя верхней конечности;
- использование ортеза – специального приспособления, которое поможет фиксировать пострадавшую верхнюю конечность в функционально выгодном положении;
- сосудистые препараты;
- хондропротекторы – лекарственные средства, которые улучшают питание тканей уставного хряща и их восстановление;
- после уменьшения болевого синдрома – обязательное проведение курса ЛФК.
При консервативной терапии необходим постоянный контроль за состоянием тканей, поэтому периодически выполняют радиоизотопное сканирование – его результаты могут стать поводом для коррекции лечения.
Показания к хирургическому лечению следующие:
- отсутствие удовлетворительных результатов при проведении консервативной терапии;
- ухудшение двигательной активности, усиление болей;
- возникновение осложнений.
Обратите внимание
Нередко у взрослых пациентов хирургическое вмешательство при рассекающем остеохондрите плечевого сустава является единственным эффективным методом лечения.
Операция может быть выполнена как с помощью классического открытого метода, так и с применением артроскопа.
Хирургическое вмешательство проводят при полном отделении фрагмента хряща и образовании свободного внутрисуставного тела. Объем операции зависит от морфологических особенностей патологии: зачастую суставную мышь удаляют, но если дефект суставной поверхности выявлен в функционально важной зоне, то отломок фиксируется специальными металлическими фиксаторами. Если же дефект большой, то для восстановления правильной формы суставной поверхности используют трансплантат – биологические ткани (например, фрагмент трупной кости, которая была обработана с помощью специальной технологии) или аллотрансплантат (искусственные материалы с гипоаллергенными свойствами.
Главная задача при выполнении операции – восстановление конгруэнтности плечевого сустава, чтобы движения в нем могли осуществляться в полном объеме.
В настоящее время разрабатывают новые методы оперативного лечения – в том числе имплантацию в месте дефекта хрящевых клеток пациента, которые были взяты на каких-либо других участках без вреда для них.
Профилактика
Достоверные причины развития рассекающего остеохондрита плечевого сустава не известны, поэтому методы профилактики, которые давали бы гарантию предупреждения патологии, не разработаны. Но риск возникновения этого заболевания можно уменьшить при помощи таких мероприятий и действий, как:
- избегание ситуаций, которые могут привести к травматизации суставной поверхности плечевого сочленения;
- если таких ситуаций избежать невозможно – использование индивидуальных средств защиты;
- предупреждение любых патологий, которые способствуют ослаблению суставного хряща и нарушению метаболизма в нем;
- сбалансированное питание, благодаря которому к суставному хрящу поступает достаточное количество питательных веществ (в частности, микроэлементов), а посему риск развития дегенеративно-дистрофических процессов в них снижается.
Прогноз
Прогноз при рассекающем остеохондрите плечевого сустава разный – в основном он зависит от возраста пациента и стадии развития патологии. При грамотном лечении ювенильный остеохондрит во многих случаях излечивают без наступления каких-либо негативных последствий.
Прогноз ухудшается при таких обстоятельствах, как:
- позднее обращение в клинику;
- лечение не у специалистов – «вправление» так называемыми «костоправами»;
- развитие патологии на фоне длительного хронического поражения плечевого сустава – в частности, артроза.
Ковтонюк Оксана Владимировна, медицинский обозреватель, хирург, врач-консультант
Вопрос-ответ
Какие суставы чаще всего подвержены заболеванию рассекающий остеохондрит?
Рассекающий остеохондрит наиболее часто встречаются в колене, но может локализоваться и в локте, лодыжке, бедре, руке, запястье или плече.
Какая часть кости поражается при остеохондрите?
Она характеризуется тем, что участки костной ткани постепенно отмирают, то есть происходит их дегенерация или асептический некроз. При этом сначала поражается субхондральная кость, а потом — суставной хрящ.
Можно ли вылечить болезнь Кенига?
Но ни вылечить, ни замедлить прогрессирование болезни Кенига, при сформировавшемся костно-хрящевом дефекте (3-4 ст) без операции у взрослых невозможно. При данных стадиях рассекающего остеохондрита коленного сустава показано оперативное лечение.
Можно ли заниматься спортом при болезни Кенига?
Можно ли заниматься спортом при болезни Кенига? При этой патологии силовые и активные аэробные нагрузки противопоказаны. Рекомендуется легкий-умеренный темп физической активности.
Советы
СОВЕТ №1
Регулярно проводите упражнения для укрепления мышц плечевого пояса. Это поможет улучшить стабильность сустава и снизить риск обострения остеохондрита. Обратитесь к физиотерапевту для составления индивидуальной программы тренировок.
СОВЕТ №2
Следите за своей осанкой и избегайте длительных статических нагрузок на плечевой сустав. Правильная осанка поможет снизить нагрузку на сустав и предотвратить развитие воспалительных процессов.
СОВЕТ №3
Обратите внимание на свое питание. Употребление продуктов, богатых омега-3 жирными кислотами, кальцием и витамином D, может помочь в поддержании здоровья суставов. Рассмотрите возможность добавления в рацион рыбы, орехов и молочных продуктов.
СОВЕТ №4
Не игнорируйте симптомы и обращайтесь к врачу при первых признаках дискомфорта в плечевом суставе. Раннее обращение за медицинской помощью может предотвратить развитие серьезных осложнений и ускорить процесс восстановления.








