Проглотить деталь конструктора, вставить стержень от ручки в нос или выпить средство для розжига на пикнике — так дети познают мир (да-да, именно так и есть). Врач скорой помощи и детский токсиколог рассказывают, что чаще всего проглатывают дети и как помочь, если это всё-таки случилось.
Есть два типа ситуаций с детским проглатыванием. Ребёнок проглатывает или какой-то предмет, или отравляющее вещество (жидкости, таблетки). Для каждой ситуации свой алгоритм действий.
«Предметы дети глотают значительно чаще, чем жидкости, потому что для отравления опасной жидкостью нужно стечение обстоятельств, а засунуть инородное тело в нос много труда не составит: подойдет всё, что угодно», — отмечает врач скорой помощи с десятилетним стажем, клинический тренер Игорь Полубоярцев.
Что чаще всего проглатывают дети и в каком возрасте?
Чаще всего дети глотают детали конструктора, потом с большим отрывом идут канцелярские предметы, пуговицы, монеты, магниты, гайки, винты, гвозди.
Самый опасный возраст, когда родители должны особенно внимательно следить за ребёнком — от полутора до трёх лет. На этот возраст приходится 95-98% случаев попадания инородных тел в дыхательные пути.
Как понять, что ребёнок проглотил предмет или засунул что-то в нос?
Это важно, если вы не видели самого процесса и предмет не видно снаружи. Есть тревожные сигналы — ребёнок плачет, задыхается, у него начался внезапный кашель, синеет кожа.
Даже если ребёнок откашлялся и успокоился, это не значит, что всё обошлось. Если инородное тело проскочило дальше и попало в бронхи, дыхание может стать свободным — останется только лёгкое покашливание. При этом предмет всё равно будет оставаться внутри. Если его не извлечь, у ребёнка могут начаться тяжёлые хронические заболевания.
Особую опасность представляют магниты. Если ребёнок проглотит несколько штук, они могут сгруппироваться и повредить кишечник. Ждать, что проглоченный магнит (да и любой другой предмет) самостоятельно выйдет через кишечник, не стоит. Всегда нужно обращаться к врачу.
И что происходит дальше?
Всего есть три варианта развития событий с инородными телами.
1. Если предмет попал в дыхательные пути — это самый плохой вариант. «Ребёнок может перестать дышать мгновенно, может продержаться пять минут, может — два часа. Всё зависит от размера предмета, обстоятельств и того, насколько правильно родители оказали первую помощь. Ну и, естественно, от времени приезда скорой», — объясняет Игорь Полубоярцев.
2. Предмет также может попасть в желудочно-кишечный тракт — это не так опасно, как в дыхательные пути, потому что нет риска мгновенно задохнуться. Предмет может застрять, травмировать стенки пищевода, желудка. Помимо механической угрозы, есть ещё инфекционная.
3. Ребёнок не проглотил предмет, а засунул себе в нос. Стержень от ручки — не единственный вариант. В носу могут оказаться и мелкие магниты, детали игрушек в виде горошин, что угодно. Вероятность, что предмет из носа попадёт в дыхательные пути, не очень большая, но травмироваться всё равно можно.
Как помочь ребёнку до приезда врача?
Для всех случаев с проглатыванием предметов правила действий общие. Сначала обязательно нужно вызвать скорую помощь.
В это же время нужно проверить, есть ли что-то во рту у ребёнка. Не нужно запрокидывать голову назад — так предметы могут оказаться ещё глубже. Ребёнка наклоняют только вперёд, чтобы проглоченное выпало на ладонь родителя. Можно слегка похлопать его по спине.
Если ничего не выпало или есть подозрения, что выпало не всё, ни в коем случае не пытайтесь достать предметы самостоятельно.
«Есть золотое правило: никогда не трогай пострадавшего до прибытия профессиональной помощи. Даже приехавшая бригада скорой помощи не будет извлекать инородное тело — это запрещено федеральными стандартами оказания помощи. Только ЛОР-врач со специальным оборудованием сможет оценить степень повреждения».
Первая помощь, которую могут и должны оказать родители, это приём Геймлиха из рекомендаций ВОЗ — подробнее посмотреть, что это такое можно вот здесь (схема 3). Кроме этого — никакой самодеятельности. Если в вашей конкретной ситуации нужно сделать что-то ещё, об этом обязательно скажут врачи, которые будут принимать вызов скорой.
Не стоит пытаться вытащить и то, что торчит из носа. «Если ребёнок плачет, а инородный предмет не выпадает из носа сам, то однозначно он вставлен уже достаточно глубоко, его нельзя извлекать самостоятельно», — предупреждает Игорь Полубоярцев.
А если мой ребёнок проглотил таблетки или выпил жидкость для мытья посуды?
1. Вызвать скорую, а до её приезда давать воду и сорбенты (активированный уголь, энтеросгель). Такая схема сработает почти во всех случаях. Исключение — проглатывание разъедающих жидкостей (это уксус и щёлочи — растворитель, жидкость для снятия лака).
2. Не вызывать рвоту. В случае с разъедающими жидкостями есть главная опасность — онисерьёзно повреждают слизистые оболочки. Ожог пищевода может привести к его сужению и последующей инвалидности. Если ребёнок проглотил разъедающую жидкость (уксус, щелочи), рвота приведёт к повторному ожогу пищевода.
«20 лет назад около 80% отравлений детей составляли лекарственные отравления, 10% — алкоголь, 5% — бытовая химия, 5% — пары ядовитых газов. Сегодня картина другая: 60% детских отравлений приходится на бытовую химию.
Ещё одна категория детских отравлений — непреднамеренное отравление со стороны родителей. Например, родители бесконтрольно закапывают в нос малышу сосудосуживающие препараты для взрослых для промывания — такое не редкость.
За последний год ко мне попало 50-60 детей с отравлением „Нафтизином“ или другими сосудосуживающими».
3. Не пользоваться советами из форумов. Там, например, часто советуют выпить молока, если ребёнок хлебнул уксуса. Так делать нелья — молоко, как и вода, может вызвать рвоту, а в случае с уксусом это противопоказано.
Ещё опаснее давать соду — это недопустимо, так как может спровоцировать разрыв желудка. Туда же относится совет промыть желудок слабым раствором марганцовки. Это помогает только в случае с растительным ядом, в остальных — марганцовка не поможет.
Или, например, если ребёнок выпил шампунь, советуют дать кусочек сливочного масла. Масло действительно гасит пену, но лучше воспользоваться не сливочным, а вазелиновым (конечно у вас его нет по рукой). Так что во всех случаях — сразу вызывайте врача.
Важно. Лучше всего — оградить ребёнка от рисков. Не оставляйте в доступности опасные жидкости и тем более не храните их в бутылках из-под воды или газировки. Храните таблетки в недоступном месте и ведите их учёт (если блистер пустой, а вы таблетки не пили — значит, их выпил ребёнок). Не покупайте игрушки с мелкими деталями, пуговицами, магнитами и не оставляйте их без присмотра.
Что делать, если ребенок проглотил лего
Практически все, у кого есть маленькие дети, и основная часть тех, кто не обзавелся детьми, знают, что малыши — все как один маленькие исследователи. Они стремятся познать этот мир всеми органами чувств. Одно из таких исследований — попробовать на зуб, на вкус, вещь, которую родители не успели спрятать или отобрать. Этими «исследованиями» занимаются все или почти все детки.
Иногда возникает ощущение, что они терпеливо ждут того момента, когда будет возможность поглотить инородное тело, которое привлекло их внимание, и когда он наступает, тут же осуществляют задуманное.
Чем, конечно, доводят родителей до седых волос. Еще бы! По их мнению, абсолютно каждый проглоченный предмет может нанести ребенку вред.
Иногда это на самом деле так, но чаще всего, эти волнения не обоснованы.
Две группы предметов, которые может проглотить малыш
Они условно делятся на две группы. Безопасные и опасные для здоровья.
Итак, опасные для здоровья предметы, которые если поглотил ребенок, то надо срочно обращаться к врачу — это следующие:
- Разного рода длинные предметы. Если малыш младше 1 года, то длинными считаются предметы длиной от 3 см включительно. Если ребенок старше 1 года, то длинные предметы — это от 5 см.
- Любые батарейки (хоть пальчиковые, хоть мини, хоть так называемые таблетки).
- Магниты. 1 магнит, в принципе, безопасен. Но 2 или даже более представляют большую опасность. Даже сепсис может развиться из-за этого.
- Любые ядовитые и/или токсичные вещества. Тут даже объяснять не нужно.
- Монетки. Особенно достоинством в 5 или 10 рублей. Так что ребенок проглотил 5 рублей, то в основной части случаев следует обратиться к врачу
- Если ребенок проглотил фольгу. Об этом расскажем чуть позже.
Если малышом были проглочены эти или похожие предметы, немедленно вызывайте медика. Потому что если любой из этих предметов пробудет в организме долго, это чревато плохими последствиями.
Какие же предметы безопасны? Все остальные предметы. Они должны беспрепятственно пройти через пищевод, и не являются в какой-то степени опасными для здоровья.
Безопасными предметами, скорее всего, будут:
- Если ребенок проглотил лего и мелкие детали прочих конструкторов
- Бусинки (опять же, в особенности мелкие)
- Пуговицы
- И прочие мелкие вещи. Например, мелкие монетки. То есть, ребенок проглотил рубль или даже меньшего достоинства денежку, то нужно посмотреть на его состояние.
На что следует обратить внимание в первую очередь, если малыш проглотил инородное тело?
На то, какое у ребенка общее состояние. Если он так же активен, как и прежде, то волноваться не стоит. Проглоченная вещь выйдет, так сказать, естественным образом. Если он продолжает активно играть, или заниматься чем-то другим без жалоб на самочувствие, то не стоит паниковать,
Какие симптомы являются признаками, что нужно незамедлительно обращаться к врачу?
Это следующие симптомы:
- Внезапная тошнота, даже рвота
- Если в любом отделе пищеварительной системы возникает острая боль
- Если ребенок потерял аппетит или даже начал отказываться от еды.
- Повышенное выделение слюны.
- Появление крови в кале.
Причем абсолютно не имеет значения, что именно проглотил ребенок — маленькую пуговку или 5 рублевую монетку. Один или несколько вышеприведенных симптомов четко подразумевают направление ваших действий: обратиться за медицинской помощью.
Как поступить, если малыш съел фольгу?
Мы обещали подробнее рассказать, как поступить в такой ситуации. Сначала определим, какую. Опасность может принеси фольга.
- При попадании фольги в дыхательные пути, уменьшится поступление воздуха в легкие.
- Если начался кашель, рвота, малыш не может дышать и говорить, не стоит ждать дальнейших симптомов, вызывайте медицинскую помощь. Ситуация может стать еще хуже. Малыш может задохнуться,
- Если кашля не было, то не следует пытаться извлечь фольгу самостоятельно. Но здесь есть два варианта фольга попадет в пищеварительный тракт, и без проблем выйдет естественным образом, либо может застрять и царапать стенки пищевода, что может вызвать кровотечение. Если фольга не вышла максимум через 3 дня естественным образом, то могут начаться негативные последствия, вплоть до поражения головного и спинного мозга.
Очень важные моменты
- Одной из первых реакций родителей может быть — дать малышу слабительное. Этого нельзя делать. Вообще есть и пить не стоит ему давать до приезда медиков.
- В том случае, если малыш начинает задыхаться, т.е. кашляет, нужно сделать следующее: положить его на колено, верхнюю часть туловища наклоните.Затем нужно постучать краем ладони в области между лопаток снизу вверх. Но эти манипуляции стоит проводить только если есть кашель и/или есть проблемы с дыханием.
- Если проблем с дыханием нет, то ни в коем случае не нужно делать эти манипуляции с похлопываниями. Вы можете нанести травму, если будете делать их.Вместо этого лучше сделайте рентген, чтобы определить точное местонахождение инородного предмета, по необходимости — УЗИ.
Как в больнице вытаскивают проглоченный предмет?
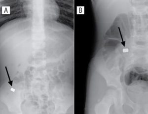
Что малышу предстоит в больнице, если проглоченный предмет не вышел естественным путем? Первое, что должен сделать врач — отправить малыша на рентген. По результатам этой процедуры и будет решаться его судьба.
Если предмет маленький, то его могут и не вытаскивать. Оно рано или поздно выйдет через жкт.
Большие предметы хочешь не хочешь, а придется удалять.
А если вы не уверены, проглотил он или нет? самые явные признаки этого
Вот лишь некоторые признаки этого:
- Ребенок жалуется на тошноту, у него возникает рвота
- Ребенок плачет из-за болей в животе
- У него внешне меняется кал
- Резкая смена настроения
- Конечно же, в случае потери сознания тоже вполне вероятно, что он что-то проглотил.
Что делать, чтобы малыш не глотал эти вещи?
Делать тут особо нечего. Разве что максимально оградить его от этого. Запретить такому маленькому человечку класть что-то в рот, маловероятно. Почти невозможно. Но можно сделать так, чтобы эти предметы не попадали к нему в руки (и, соответственно, в рот) вполне можно. Нужно просто приложить чуть больше стараний, и всё обязательно будет хорошо.
Если ребенок проглотил лего, что делать
- При попадании фольги в дыхательные пути, уменьшится поступление воздуха в легкие.
- Если начался кашель, рвота, малыш не может дышать и говорить, не стоит ждать дальнейших симптомов, вызывайте медицинскую помощь. Ситуация может стать еще хуже.
- Если кашля не было, то не следует пытаться извлечь фольгу самостоятельно. Но здесь есть два варианта фольга попадет в пищеварительный тракт, и без проблем выйдет естественным образом, либо может застрять и царапать стенки пищевода, что может вызвать кровотечение.Если фольга не вышла максимум через 3 дня естественным образом, то могут начаться негативные последствия, вплоть до поражения головного и спинного мозга.
Пластмассовые детали являются лидерами среди всех инородных предметов, которые проглатывают дети.
Если ребёнок проглотил мелкую пластмассовую деталь, которая беспрепятственно прошла по пищеводу, паниковать не нужно. Скорее всего, она выйдет самостоятельно через некоторое время. Даже при проведении рентгеновского обследовании рассмотреть её все равно не удастся из-за специфической структуры материала.
В таких ситуациях врачи советуют подождать несколько дней и понаблюдать за стулом ребёнка.
Что делать, если ребенок проглотил посторонний предмет
При возникновении подозрений в том, что ребенок проглотил лезвие, батарейку, иголку или иной опасный предмет, необходимо незамедлительно обратиться к детскому хирургу. До осмотра важно, чтобы малыш пребывал в покое, не бегал. Категорически запрещается делать клизму, вызывать рвоту, давать слабительное и прочими способами помогать инородному предмету выйти из тела.
Несъедобное съедобно: что умудряются глотать дети
«Самое страшное – это когда ребенок глотает батарейку, острые предметы или стекло, – говорит врач. — В первом случае это грозит химическим ожогом слизистой, во втором ее повреждениями и воспалением. — Монетки, магнитики, разные металлические предметы тоже требуют наблюдения.
Особенно если в желудок попало сразу два-три магнита (такие случаи стали частыми после того, как в моду вошел магнитный конструктор с маленькими шариками). Если же малыш проглотил резиновую кнопку, кусочек ткани, пластиковую пуговицу, детальку конструктора, целлофан – это, конечно, неприятно, но не опасно.
А то бывают такие родители, которые паникуют даже из-за проглоченной вишневой косточки».
Как действовать если ребенок проглотил инородный предмет
Родитель, точно уверенный в попадании инородного тела в организм ребенка, должен подстраховаться и вызвать бригаду скорой помощи. Не стоит самостоятельно извлекать предмет, т.к.
состояние малыша может усугубиться, случится дополнительная травма. Не рекомендуется предлагать пищу или питье пострадавшему, вытряхивать посторонний предмет, переворачивая дитя вниз головой (в случае с крупными предметами, имеющими острые элементы).
Ничего хорошего от таких действий ждать не следует.
- Не паникуйте! Действуйте четко и быстро, не ругайте ребенка и не кричите.
- Ребенку меньше года и ему трудно дышать. Быстро уложите кроху к себе на колено животиком вниз, чтобы верхняя часть тела свисала, и начинайте хлопать ребром ладони между лопатками. Если же ребенок дышать может, эти действия выполнять не рекомендуется, чтобы не протолкнуть предметы в дыхательные пути. В таком случае ждите скорую.
- Ребенок старше года. Поверните его к себе спиной и обхватите его обеими руками выше талии. Ритмично надавливайте на живот обеими руками через каждые 3 секунды. При этом совершайте руками резкие толчки снизу вверх и одновременно успокаивайте ребенка.
- Проглочен обтекаемый предмет. Наблюдайте за стулом ребенка и в течение трех дней кормите его продуктами, богатыми клетчаткой. Но это только в том случае, если нет тревожных симптомов или плача.
- Предмет не вышел и нет симптомов. В таком случае записывайтесь на прием к ЛОРу.
Иголка Обильное выделение слюны, тревожность, кашель, покраснение лица, удушье, потливость, повышение температуры тела. Может попасть острым концом в лёгкие или сердце. Если дошла до желудка, то в подавляющем большинстве случаев (80%) выходит естественным путём, ничего не травмировав за 2 – 72 часа. Очень редко прокалывает желудок или кишечник.
Может осесть в мягких тканях и вызывать болевой синдром и воспаление. Немедленно обратиться к врачу. Как можно меньше двигаться, чтобы избежать перемещения иголки в мягких тканях. Нельзя вызывать рвоту и давать слабительное, трясти малыша. Ртуть Наблюдаются слабость, недомогание, высокая температура, головная боль, слюнотечение, боль в животе, понос.
Опасны не шарики ртути, а её испарения. При вдыхании паров с воздухом повреждаются лёгкие, почки и нервная система. Как можно скорее вызвать рвоту и обратиться за помощью к медикам. Острый предмет (скоба от степлера, булавка) Малыш может постоянно икать, в кале появляется кровь, его тошнит, возможна рвота.
Может проколоть стенку желудка, что приведёт к перитониту. Вызвать скорую.
До приезда «скорой» родителям не надо предпринимать никаких попыток вытащить, вытряхнуть или «протолкнуть» инородное тело дальше в желудок (например, давая ребенку хлеб). Своими действиями вы можете только навредить.
Нельзя кормить и поить ребенка, в том числе грудным молоком. Можно смочить водой губы, если они пересохли.
Надо попытаться, по возможности, успокоить малыша и собрать необходимые документы в больницу: медицинский полис ребенка и матери.
Малой проглотил деталь Лего
На что следует обратить внимание в первую очередь, если малыш проглотил инородное тело? На то, какое у ребенка общее состояние. Если он так же активен, как и прежде, то если ребенок проглотить лего не стоит.
Проглоченная вещь выйдет, так сказать, естественным образом.
Если он продолжает активно играть, или заниматься чем-то другим без жалоб на самочувствие, то не стоит паниковать, Какие симптомы являются признаками, что нужно незамедлительно обращаться к врачу?
Ребенок проглотил пуговицу
Я недавно была в шоке, когда в подгузнике увидела маленькую пуговицу от рубашки старшего ребенка. Мы и не увидели когда дочь его проглотила. Наверное с ума бы сходили от переживания, — хотя это не меняет ничего. Хорошо, что пуговица сама вышла и вообще так легко обошлось. Я до сих пор себя корю что недосмотрела.


