Рентген зубов – это самая распространенная и информативная методика, позволяющая выявить широкий спектр заболеваний челюстно-лицевой области. Она может быть как интраоральной (внутриротовой), так и экстраоральной (или внеротовой).
Обратите внимание
В разговорной речи термин «рентген» применяется как для обозначения самого аппарата, так и для видов исследования – рентгенографии (предполагающей создание снимка) и рентгеноскопии.
Что такое рентген?
Рентгеновское излучение является ионизирующим, и при больших дозах способно вызвать лучевую болезнь. Проще говоря, при использовании данной методики пациент получает определенную дозу радиации. В современной медицине используются сверхмалые дозы, не способные нанести вреда организму человека при соблюдении элементарных правил техники безопасности.
Важно
Само явление флюоресценции, возникающей при работе катодно-лучевой трубки, и позволяющей рассмотреть глубокие структуры, было открыто еще в конце 19 века, но применение в диагностических целях нашло много позже.
Рентгенографию зубов можно условно разделить на прицельную и ортопантомограмму (ОПТГ):
- Прицельный снимок (интраоральный) дает врачу информацию о состоянии сравнительно небольшой площади зубо-челюстной системы (как правило, это 2-3 зуба).
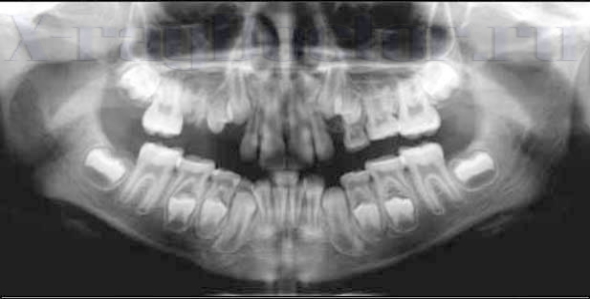
- ОПТГ – это обзорный круговой снимок, на котором челюсти видны полностью и развернуты в двухмерной плоскости.
Врачи подчеркивают важность рентгеновских исследований зубов, особенно панорамных снимков, для диагностики различных стоматологических заболеваний. Показания к проведению таких исследований включают необходимость оценки состояния зубов, выявление кариеса, заболеваний десен, а также планирование ортодонтического лечения. Однако существуют и противопоказания. Например, рентген не рекомендуется проводить при наличии острых инфекционных заболеваний или в случае аллергии на контрастные вещества.
Отдельное внимание врачи уделяют вопросу рентгена зубов у беременных женщин. Несмотря на потенциальные риски, в некоторых случаях, когда польза для матери превышает возможный вред для плода, рентген может быть необходим. В таких ситуациях стоматологи используют минимальные дозы радиации и специальные защитные меры, чтобы снизить воздействие на развивающийся организм. Важно, чтобы решение о проведении рентгена принималось совместно с врачом, учитывающим все риски и показания.

Показания к рентгенографии зубов
Практически все пациенты в первую очередь направляются стоматологом на рентгенологическое исследование. Процедура не требует от больного специальной подготовки.
Показаниями являются:
- оценка степени кариозного поражения (в т. ч. при скрытом кариесе);
- изучение периапикальных (околозубных) тканей (выявление гранулематозных изменений, патологических карманов и кистозных образований);
- локализация фрагмента инструментария при их случайном отломе;
- диагностика травматических повреждений (переломов и вывихов зубов и челюстей);
- диагностика новообразований в толще костных структур челюстных костей;
- выявление специфических и неспецифических воспалительных заболеваний суставов и костей (артрит, остеомиелит и т. д.);
- оценка степени патологических изменений в височно-нижнечелюстном суставе;
- выявление наличия или отсутствия противопоказаний к хирургическим вмешательствам;
- выявление врожденных патологий;
- оценка корректности постановки ортопедической или ортодонтической конструкции;
- общая оценка проведенного лечения (обычно рассматривается качество пломбирования канала и отсутствие отломков корней после проведенной экстракции).
Противопоказания
Противопоказаний для рентгенологического исследования зубо-челюстной системы практически нет.
Нельзя делать снимок пациентам, находящимся в тяжелом состоянии и при наличии кровотечения.
Рентген зубов, в частности панорамный снимок, является важным инструментом в стоматологии, позволяющим получить полное представление о состоянии зубов и челюстей. Он помогает выявить скрытые проблемы, такие как кариес, воспаление десен или аномалии прикуса. Однако, как и любое медицинское исследование, рентген имеет свои показания и противопоказания. Показания включают необходимость диагностики заболеваний зубов, планирование лечения и оценку состояния после вмешательства. Противопоказания могут быть связаны с беременностью, особенно в первом триместре, когда радиация может негативно сказаться на развитии плода. В таких случаях стоматологи стараются минимизировать риски, используя защитные щитки и выбирая альтернативные методы диагностики. Важно помнить, что при необходимости рентгеновское исследование может быть безопасным и полезным, если соблюдаются все меры предосторожности.

Ортопантомограмма (панорамный снимок)
Показаниями для ортопантомограммы являются подготовка к ортодонтическим манипуляциям (коррекции аномалий прикуса) и постановке некоторых ортопедических конструкций, а также брекетов и элайнеров. Обследование проводится также перед некоторыми амбулаторными хирургическими вмешательствами (в частности – экстракцией ретинированных и полуретинированных зубов). Она также необходима, если пациенту предстоит вживление импланта для оценки состояния костной ткани в зоне вживления.
При выполнении данной экстраоральной процедуры пациент подходит к аппарату и прикусывает специальный пластиковый фиксатор, чтобы исключить малейшее смещение зубных рядов. Непосредственно в ходе самой процедуры вокруг головы больного вращается источник рентгеновского излучения. Доза облучения при ортопантомографии составляет всего лишь 70-90% по сравнению со стандартным исследованием (прицельных снимках). В связи с этим ее можно проводить настолько часто, насколько это требуется (по некоторым данным – до 100 раз в год).
Данные, полученные в ходе ортопантомограммы, поступают в компьютер. Они не только хранятся там неограниченное количество времени, но и могут быть распечатаны или перенесены на цифровые носители. Врач имеет возможность на мониторе приблизить интересующий его участок для более детального осмотра. Оценка ОПТГ, сделанных в разное время, позволяет оценить динамику процесса.
Несомненное преимущество ортопантомограммы – это возможность получить информацию не только о состоянии коронок и корневой системы зуба, но и выявить патологии расположенных рядом структур – придаточных пазух носа (в т. ч. гайморовой), челюстных костей и т. д.
Рентген при беременности
По мнению ряда специалистов нельзя проводить исследование беременным женщинам (особенно в первом и третьем триместре). Целесообразно ограничиться снимками при острой необходимости проведения терапевтических или хирургических манипуляций. Важно, чтобы живот и грудь пациентки были надежно прикрыты фартуком, не пропускающим ионизирующее излучение.
Считается, что облучение женщины в период гестации может стать одной из причин рождения ребенка с недостаточным весом. Это не совсем так.
Особую опасность представляет рентгенологическое исследование в первом триместре беременности, когда идет закладка органов и систем плода. На ранних сроках делящиеся клетки наиболее подвержены негативному влиянию ионизирующего излучения. На поздних сроках снимки делать не только можно, но и нужно, чтобы исключить наличие очагов хронической инфекции, в том числе – кариозных зубов. Даже если пациентка не жалуется на зубную боль, в полости рта при кариесе присутствует огромное количество патогенной микрофлоры, способной повредить малышу еще до рождения – в частности, спровоцировать кариес у ребенка. Зубная боль является прямым показанием для визита к специалисту даже на самом позднем сроке.
Важно
Можно сказать, что к единому мнению, в отношении рентгена зубо-челюстной системы у будущих матерей стоматологи еще не пришли. Ряд специалистов придерживается мнения, что беременным женщинам ни в коем случае не следует делать рентген зубов. Но большинство стоматологов полагает, что возможны исключения.
В процессе диагностики целесообразно применять электронные радиовизиографы. Эти инновационные аппараты дают возможность делать до 15 снимков в течение одного визита к врачу, и при этом их воздействие на организм женщины и будущего малыша будет минимально возможным. Кроме того, степень чувствительности электронного датчика цифрового устройства в 10 раз выше, чем у стандартного аппарата!
Важно
Для женщин в период лактации рентгенография абсолютно безвредна.

Рентген зубов у детей
В детской стоматологии без рентгенологической диагностики обойтись фактически невозможно. Современные аппараты обеспечивают минимально возможную лучевую нагрузку, поэтому процедура абсолютно безвредна для ребенка.
Ортопантомограмму желательно первый раз провести в возрасте 5-6 лет, когда начинается процесс замены зубов молочного прикуса на постоянные.
Исследование помогает выявить:
- врожденные пороки развития;
- патологии окклюзии (прикуса);
- чрезмерное или недостаточное развитие одной из челюстных костей;
- патологии костных структур;
- сверхкомплектные зубы;
- адентию.
На снимке можно хорошо рассмотреть состояние зачатков постоянных зубов. Выявление ортодонтических патологий позволяет подобрать аппарат, оптимально подходящий для коррекции той или иной аномалии прикуса. Ранняя диагностика способна существенно сократить сроки лечения. Известно, что профилактическое посещение стоматолога необходимо 1 раз в полгода. При отсутствии показаний проводить рентгенографию можно и реже.
Плисов Владимир, стоматолог, медицинский обозреватель
Вопрос-ответ
Можно ли беременным делать панорамный снимок зубов?
Рентген зуба при беременности не рекомендуется делать до конца первого триместра и на поздних сроках, даже несмотря на то, что аппараты последнего поколения сводят риски радиации к абсолютному минимуму.
Почему рентген противопоказан беременным?
Радиация вызывает нежелательные изменения в быстро делящихся клетках и нарушает закладку органов, поэтому беременным женщинам рекомендуют по возможности избегать такие процедуры. Единственное исключение — ургентное состояние, при котором риск для здоровья матери превышает опасность возможных последствий для ребенка.
Чем опасен панорамный снимок зубов?
Хотя безвредность процедуры доказана исследованиями, некоторые пациенты все еще раздумывают, вреден ли рентген зубов и стоит ли на него идти. Не стоит переживать — хотя во время рентгенодиагностики пациент и получает небольшую дозу лучевой нагрузки, но она настолько мала, что не способна нанести существенный вред.
Можно ли во время беременности делать КТ зубов?
При возникновении угрозы здоровью женщины и невозможности начать адекватное лечение без постановки точного диагноза КТ может назначаться независимо от срока беременности.
Советы
СОВЕТ №1
Перед проведением рентгена зубов обязательно проконсультируйтесь с вашим стоматологом. Он поможет определить необходимость исследования и даст рекомендации по подготовке к процедуре.
СОВЕТ №2
Если вы беременны или планируете беременность, обязательно сообщите об этом врачу. В большинстве случаев рентген зубов можно проводить, но с соблюдением всех мер предосторожности, таких как использование защитного фартука.
СОВЕТ №3
Обратите внимание на показания к панорамному снимку. Этот метод может быть полезен для диагностики сложных случаев, таких как наличие зубов мудрости или оценка состояния челюстей, но не всегда является необходимым.
СОВЕТ №4
Не забывайте о противопоказаниях. Если у вас есть аллергия на контрастные вещества или другие медицинские противопоказания, обязательно сообщите об этом врачу перед проведением рентгена.




