Саркоидоз легких это хроническая патология, при которой в легочной ткани образуется масса гранулем – плотных воспаленных узелков разных размеров. Такие узелки способны развиваться во многих органах и тканях, то есть, заболевание является системным, а легкие – орган из числа тех, которые чаще всего поражаются саркоидозом (наряду с печенью, и селезенкой).
Саркоидоз относится к ряду заболеваний, до сих пор не изученных в полной мере и вызывающих множество вопросов.
Распространенность
Чаще всего болеют в молодом и среднем возрасте (средний возрастной диапазон пациентов – 21-45 лет), несколько чаще заболевают женщины.
Пик заболеваемости по статистике отмечается:
- во всех категориях больных на втором-третьем десятке жизни;
- у женщин – дополнительно между четвертым и шестым десятками жизни.
Эти закономерности следует учитывать, проявляя настороженность относительно возникновения саркоидоза.
Интересный факт!
Зафиксированы особенности заболевания по расовому признаку: европейцы болеют реже, чем африканцы и индийцы, соответственно в 1,5 и 4 раза, но чаще, чем американцы, в 2 раза. Риск заболевания у светлокожих – средней степени и повышается, если в роду был темнокожий предок хотя бы по одной линии (материнской или отцовской).
Саркоидоз относится к ряду заболеваний, которые одинаково часто встречаются в разных регионах мира (этот факт заставляет критически отнестись к утверждению, что болезнь вызывают определенные факторы внешней среды).
Врачи отмечают, что саркоидоз легких является сложным заболеванием, которое может проявляться разнообразными симптомами. Наиболее распространенными признаками являются кашель, одышка и грудная боль. Важно, что у некоторых пациентов заболевание может протекать бессимптомно, что затрудняет его диагностику. Лечение саркоидоза часто включает кортикостероиды, которые помогают уменьшить воспаление. Однако в некоторых случаях заболевание может пройти самостоятельно без вмешательства. Прогноз для пациентов варьируется: у большинства наблюдается улучшение, но у некоторых возможны хронические изменения в легких. Врачи подчеркивают важность регулярного наблюдения и индивидуального подхода к каждому пациенту для достижения наилучших результатов.

Причины и механизмы
До сих пор точные причины, которые запускают процесс образования узелков в легких, неизвестны, хотя интенсивные исследования ведутся в этом поле не один десяток лет. Большинство медиков склоняется к тому, что саркоидоз это:
- не онкозаболевание (из-за созвучности названий больные путают его с саркомой легкого);
- не инфекционное поражение (заразиться, вопреки стереотипам некоторых пациентов, от других невозможно – присоединившийся инфекционный процесс в узелках это вторичное явление, которое не передается от больного человека здоровому).
Врачи не единожды описывали семейные случаи заболевания саркоидозом – такую «семейность» объяснили:
- наследственностью;
- действием одинаковых неблагоприятных факторов внешней среды, в которой проживают представители одной и той же семьи (этот фактор оспаривается).
Периодически отмечаются локальные вспышки саркоидоза легких. Но данных недостаточно, чтобы официально подтвердить профессиональные и контагиозные риски в возникновении этого заболевания.
Обратите внимание
Одна из наиболее часто рассматриваемых теорий возникновения саркоидоза легких: заболевание развивается из-за вдыхания неизвестного агента окружающей среды, который начинает воздействовать с иммунной системой, а она дает толчок к образованию узелков в легочной паренхиме.
Роль такого агента чаще всего приписывают:
- палочке Коха (возбудителю туберкулеза);
- вирусам (в частности, представителям герпетической группы);
- некоторым грибам;
- микоплазмам (разновидность бактерий, чаще всего поражающих мочеполовую систему).
Эти предположения вызывают вопросы – например, почему в одних случаях палочка Коха провоцирует туберкулез, а в других – саркоидоз без выделения возбудителя в патологических узелках? И почему при выраженных клинических проявлениях не заражаются, контактируя с больным человеком? Из-за множества нестыковок и неподтвержденных, хотя и имеющих смысл предположений саркоидоз продолжает оставаться одной из главных «темных лошадок» в медицине.
Также в качестве агентов, провоцирующих возникновение саркоидоза, рассматриваются некоторые химические элементы – это:
- цирконий;
- кремний;
- бериллий.
Первые два элемента вызывают местные реакции по типу образования гранулем, но не системного. А бериллий провоцирует образование узелков в легких, как при саркоидозе, но без иммунологических изменений, характерных для саркоидоза.
Ученые до сих пор не могут объяснить тот факт, что саркоидоз чаще встречается среди некурящих, чем у курильщиков независимо от стажа курения.
Прогресс в изучении саркоидоза – четкое понимание того, что болезнь связана с иммунными реакциями человеческого организма. Возникновение узелков (или бугорков) в легких связывают с иммунной системой – макрофагами (клетками, которые набрасываются на чужеродные элементы, попавшие в организм, и пожирают их) и Т-хелперами (разновидностью лимфоцитов, которые помогают иммунной системе бороться с негативными факторами, «сигнализируя» про наличие этих факторов – в частности, микроорганизмов, чужеродных белков и так далее). По сути своей саркоидоз легких является лимфоцитарным альвеолитом – поражением альвеол, связанным с присутствием лимфоцитов, которых полно в упоминаемых узелках.
Иммунная система при саркоидозе ведет себя довольно противоречиво:
- уровень клеточного иммунитета повышен (то есть, в организме достаточно клеток, способных атаковать и уничтожать чужеродные агенты независимо от происхождения этих агентов);
- уровень гуморального иммунитета понижен (в организме снижается количество антител, которые борются только с какими-то определенными вражескими агентами).
Симптомы саркоидоза легких
Одна из главных особенностей саркоидоза легких – он может никак не проявляться довольно длительное время и выявляется абсолютно случайно при обращении пациента к врачу по другому поводу (этот факт в который раз подчеркивает важность профилактического осмотра и, в частности, флюорографии органов грудной клетки, даже если пациент настаивает, что «у него ничего не болит»). Более того, в ряде случаев наступает самоизлечение – пациент может не знать до конца жизни, что он болел на саркоидоз, и остаточные явления будут выявлены только после смерти при вскрытии.
Аллергические проявления – один из патогенетических (четко связанных с механизмами развития болезни) признаков саркоидоза. Они объясняются тем, что гранулемы замещают лимфоидную ткань, а это приводит к уменьшению количества лимфоцитов.
Аллергические реакции при саркоидозе легких устойчивы в своих проявлениях и в ряде случаев довольно длительное время не исчезает, даже если у больного наступило клиническое улучшение. Связывают это с тем, что клетки, связанные с иммунным ответом организма, мигрируют в пораженные легкие, их общее количество в крови уменьшается, организму фактически нечем реагировать на внешние факторы.
Выделяют 4 стадии саркоидоза, но не все они сопровождаются клиническими проявлениями.
При первой стадии увеличиваются внутригрудные лимфатические узлы, этот процесс клинически может не проявляться.
Несмотря на то, что при второй стадии в легких начинают формироваться обширные очаги узелков, симптомы тоже часто отсутствуют. Иногда могут проявляться:
- незначительные боли в грудной клетке;
- одышка при физической нагрузке.
Третья стадия саркоидоза легких манифестируется зачастую выраженными симптомами, потому как именно на эту стадию припадает разгар изменений в легких (не только образование гранулем, но и фиброз – прорастание легких соединительной тканью). Это такие признаки, как:
- периодически возникающие боли в грудной клетке;
- сухой кашель;
- снижение аппетита;
- общая слабость и снижение работоспособности;
- повышение температуры тела до субфебрильных цифр – 37,1-37,3 градусов по Цельсию.
Течение третьей стадии может быть подострое или хроническое (с проявлениями средней или умеренной интенсивности).
Четвертая стадия проявляется резким ухудшением общего состояния на фоне симптомов со стороны органов дыхания.
В ряде случаев первые две стадии проходят очень быстро, и тогда проявляются признаки третьей стадии:
- острое начало;
- высокая температура (до 37,8-38,3 градусов по Цельсию);
- боли в грудной клетке;
- изменения со стороны других органов и систем – в частности, припухание коленных суставов, образование узловатой эритемы (красных воспаленных узелков), которую можно обнаружить главным образом на коже голеней, увеличение лимфатических узлов.
В целом начало саркоидоза легких может быть:
- бессимптомным;
- постепенным;
- острым.
Зачастую клинические проявления отстают от изменений в легких и внутригрудных лимфатических узлах – даже при значительном поражении легких состояние больного может быть удовлетворительным. Иными словами, если у пациента появилась симптоматика, это значит, что на самом деле он болеет саркоидозом уже длительное время. Отсутствие любых клинических симптомов выявлено у довольно значительной части заболевших – в 10% случаев.
В большинстве случаев саркоидоз легких диагностируют благодаря тому, что появилось одно из его осложнений – в основном это дыхательная недостаточность, по поводу которой пациент и обратился к врачу. При саркоидозе симптомы дыхательной недостаточности – типичные:
- одышка, усиливающаяся при физической нагрузке;
- на более поздних этапах – чувство нехватки воздуха;
- бледность, а затем и синюшность кожных покровов и видимых слизистых оболочек;
- слабость, апатия, снижение работоспособности, которые развиваются из-за гипоксии (нехватки кислорода) тканей головного мозга.
Саркоидоз легких — это заболевание, которое вызывает множество вопросов и опасений у пациентов. Люди часто описывают симптомы, такие как постоянный кашель, одышка и усталость, что значительно ухудшает качество жизни. Многие отмечают, что первоначально симптомы могут быть слабо выражены, что затрудняет диагностику. Лечение саркоидоза обычно включает кортикостероиды, которые помогают уменьшить воспаление, но не все пациенты реагируют на терапию одинаково. Некоторые делятся положительным опытом, когда болезнь самостоятельно регрессировала, в то время как другие сталкиваются с хроническими формами. Прогноз варьируется: у большинства пациентов наблюдается улучшение, но есть и случаи, когда заболевание переходит в более тяжелую стадию. Поддержка со стороны врачей и близких играет важную роль в процессе лечения и адаптации к новому состоянию.

Осложнения
Осложнения наблюдаются при быстропрогрессирующем нелеченом саркоидозе (когда есть сомнения в диагнозе, и лечение до сих пор не назначено), а также при его запущенных формах. Чаще всего они наблюдались у пациентов, которые долгое время игнорировали профилактические осмотры и отказывались делать флюорографию грудной клетки.
Самые распространенные осложнения саркоидоза легких это:
- вторичная пневмония (бактериального, вирусного или микотического характера);
- легочная гипертензия (повышение кровяного давления в системе легочной артерии);
- присоединение инфекции и развитие вторичной пневмонии;
- развитие легочного сердца (расширения его правых отделов из-за нарастания кровяного давления в малом круге кровообращения);
- острая и хроническая дыхательная недостаточность, которая способна возникнуть при любых осложнениях саркоидоза легких.
Диагностика
Та как клинические симптомы саркоидоза неспецифичны (то есть, могут проявляться и при других заболеваниях дыхательной системы), более того, проявляются поздно, то диагноз ставят, заручившись результатами физикального обследования (осмотра, простукивания и выслушивания грудной клетки фонендоскопом) и дополнительных методов исследования. Физикальные изменения будут информативными на более поздних стадиях заболевания – это такие признаки, как:
- синюшность кожных покровов и видимых слизистых, возникших из-за дыхательной недостаточности, которая развивается как осложнение саркоидоза легких;
- ослабление дыхания и редкие сухие хрипы, которые можно услышать при аускультации легких. Мокрые хрипы не выслушиваются, так как гранулемы не распадаются и не провоцируют образование мокроты.
Инструментальные методы исследования, которые используют для подтверждения диагноза саркоидоза легких, это:
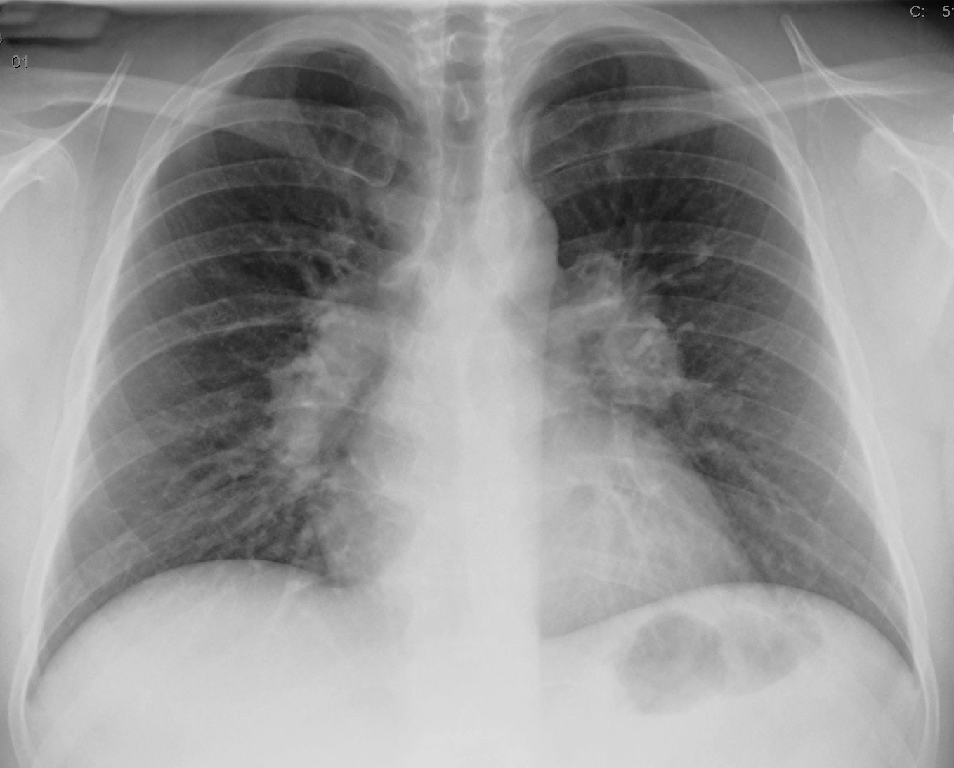
- рентгеноскопия и –графия органов грудной клетки – рентгенологические признаки изменений в легких определяются уже на первой и второй стадиях заболевания (зачастую бессимптомных);
- компьютерная томография и ее более прогрессивный вариант – спиральная компьютерная томография. Оба метода позволяют оценить состояние легочной паренхимы и наличие гранулем на разных компьютерных срезах ткани;
- спирография – используется только как вспомогательный метод, который является информативным только при нарушениях со стороны внешнего дыхания – а это наблюдается на довольно поздних стадиях саркоидоза легких. Метод помогает оценить выраженность дыхательной недостаточности.
Характер изменений в легких, выявленных во время рентгеноскопии и –графии органов грудной клетки, зависит от стадии заболевания:
- на первой стадии четко видно, что увеличились внутригрудные лимфатические узлы;
- на второй стадии, кроме увеличенных лимфоузлов, определяются темные очаги – гранулемы, которые могут сливаться между собой, а также признаки того, что легкое начинает прорастать соединительной тканью. На этой стадии фиброзом зачастую затронуты средние и нижние отделы легких – изменения легочной ткани нужно искать именно там, подозревая саркоидоз легких;
- на третьей стадии определяется существенное прорастание легкого соединительной тканью, массивное слияние гранулем, эмфизема (участки раздутой воздухом легочной ткани), нередко с ничем не заполненными полостями в легких, а также уплотнение плевры;
- четвертая стадия манифестируется тотальным разрастанием соединительной ткани в легких.
Лабораторные методы, используемые для подтверждения диагноза саркоидоза легких, — следующие:
- микроскопический анализ биоптата (кусочка тканей), взятого при трансбронхиальной биопсии (заборе легочной ткани путем прокола бронхов);
- определение в сыворотке крови уровня так называемого ангиотензинпревращающего фермента, который повышается при системном саркоидозе (в том числе, и при поражении легких);
- исследование лаважных вод (жидкости, полученной при промывании бронхов) – при саркоидозе в них будут выявлены клетки иммунной системы;
- определение количества кальция – в крови оно повышено в более чем 10% случаев саркоидоза легких, а в моче определяется в 50% случаев.
Диагностике саркоидоза легких косвенно могут подсобить диагностированные нарушения со стороны других органов – например, характерные узелковые высыпания при саркоидозе кожи, которые намного проще выявить, чем гранулемы в легких.

Лечение саркоидоза легких
В основе лечения саркоидоза легких лежит использование гормональных препаратов кортикостероидов. Их действие при данном заболевании следующее:
- ослабление извращенной реакции со стороны иммунной системы;
- препятствие развитию новых гранулем;
- противошоковое действие.
Касательно применения кортикостероидов при саркоидозе легких до сих пор нет единого мнения:
- когда начинать лечение;
- как долго проводить терапию;
- какими должны быть начальные и поддерживающие дозы.
Более-менее устоявшееся врачебное мнение касательно назначения кортикостероидов при саркоидозе легких– то, что гормональные препараты можно назначать, если рентгенологические признаки саркоидоза не исчезают на протяжении 3-6 месяцев (независимо от клинических проявлений). Такие сроки ожидания выдерживают потому, что в ряде случаев может наступить регресс болезни (обратное развитие) без каких-либо врачебных назначений. Поэтому, исходя из состояния конкретного больного, можно ограничиться диспансеризацией (определением больного на учет) и наблюдением за состоянием легких.
В большинстве случаев лечение начинают с назначения преднизолона. Далее комбинируют кортикостероиды ингаляционного и для внутривенного введения.
Важно
Лечение длительное – например, ингаляционные кортикостероиды могут назначать и до 15 месяцев.
Зафиксированы случаи, когда ингаляционные кортикостероиды были эффективными при 1-3 стадиях даже без введения кортикостероидов внутривенно – исчезали как клинические проявления заболевания, так и патологические изменения на рентген-снимках.
Так как саркоидоз помимо легких поражает и другие органы, на этот факт нужно тоже ориентироваться при врачебных назначениях.
Помимо гормональных препаратов, назначают и другое лечение – это:
- антибиотики широкого спектра действия – для профилактики и при непосредственной угрозе развития вторичной пневмонии из-за присоединения инфекции;
- при подтверждении вирусной природы вторичного поражения легких при саркоидозе – противовирусные препараты;
- при развитии застойных явлений в кровеносной системе легких – препараты, уменьшающие легочную гипертензию (мочегонные и так далее);
- общеукрепляющие средства – в первую очередь, комплексы витаминов, которые улучшают метаболизм легочной ткани, способствуют нормализации иммунологических реакций, характерных для саркоидоза;
- кислородотерапия при развитии дыхательной недостаточности.
Обратите внимание
Рекомендуется не употреблять продукты, богатые на кальций (молоко, творог) и не загорать. Эти рекомендации связаны с тем, что при саркоидозе может возрасти количество кальция в крови. При его определенном уровне есть риск образования конкрементов (камней) в почках, мочевом пузыре и желчном пузыре.
Так как саркоидоз легких зачастую сочетается с таким же поражением других внутренних органов, необходимы консультация и назначения смежных специалистов (дерматовенеролога при саркоидозе кожи, гастроэнтеролога при саркоидозе печени и так далее).
Профилактика
Так как истинные причины возникновения саркоидоза легких не выявлены, и по сути непонятно, с какими провоцирующими факторами следует бороться, профилактика этого заболевания – это целый комплекс мероприятий, которые помогут поддержать в добром здравии легкие и иммунную систему. Итак, следует:
- придерживаться здорового образа жизни;
- заниматься физкультурой и спортом;
- отказаться от курения и других вредных привычек;
- избегать медицинских препаратов и продуктов, после приема которых были замечены аллергические реакции даже в наималейшем их проявлении;
- избегать условий труда, из-за которых может пострадать дыхательная система – в частности, работы, связанной с производством вредных веществ или риском вдыхания ядовитых газов, летучих веществ, пыли, испарений, газов, которые могут повреждать ткани легких.
Соблюдать здоровый образ жизни ради здоровых легких следует не только потому, чтобы не страдать от болезни, но и чтобы не принимать лекарства, которые при извращенном иммунном ответе могут усугубить его.
Никотин – один из главнейших факторов, который усугубляет любую, уже возникшую болезнь органов дыхания и очень быстро провоцирует наступление ее осложнений (в сравнении с больными, которые никогда не курили). Поэтому на курение должно быть абсолютное табу у больных с саркоидозом легких.
Прогноз
К прогнозам при саркоидозе легких следует относиться с осторожностью. С одной стороны, может наблюдаться доброкачественное течение болезни и самостоятельное излечение, с другой – заболевание диагностируют слишком поздно, когда в легких развились изменения, несовместимые с их нормальной функцией.
Прогноз при саркоидозе легких благоприятный в случае доклинической диагностики болезни (то есть, до проявления симптоматики) и своевременного, выверенного лечения.Осложнения со стороны легких, спровоцированные саркоидозом, наступают не так часто, как при других заболеваниях дыхательной системы. Но следует остерегаться осложнений, которые возникли на 3-4 стадиях саркоидоза легких – они ухудшают прогноз.
Летальный исход может наступить при развитии выраженных осложнений – в частности, дыхательной недостаточности.
Ковтонюк Оксана Владимировна, медицинский обозреватель, хирург, врач-консультант
Вопрос-ответ
Как проявляется саркоидоз легких?
При саркоидозе легких пациент предъявляет жалобы на кашель, периодические неинтенсивные боли, тяжесть в груди, слабость, снижение аппетита и веса, лихорадку, ощущение увеличенных лимфатических узлов, одышку и чувство нехватки воздуха. Симптомы саркоидоза лимфатической системы те же, что и при локализации его в легких.
Как понять, что саркоидоз прогрессирует?
Одышка прогрессирует, кашель усиливается. Из-за нехватки кислорода неврологические симптомы проявляются сильнее. Гранулемы разрастаются и в легких, и в других органах. Повышаются риски осложнений.
Какое лечение назначают при саркоидозе?
При лечении саркоидоза используют стероидные гормоны, противовоспалительные препараты, иммунодепрессанты, антиоксиданты и витамины. Также пациенту назначают белковую диету (при приеме гормональных препаратов) и рекомендуют снизить количество соли.
Что нельзя делать при саркоидозе легких?
Противопоказаны любые физиотерапевтические процедуры, в том числе массажЗапрещается загорание, посещение солярияЗапрещаются интенсивные физические нагрузки
Советы
СОВЕТ №1
Регулярно проходите медицинские обследования, особенно если у вас есть предрасположенность к заболеваниям легких. Своевременная диагностика саркоидоза может значительно улучшить прогноз и облегчить лечение.
СОВЕТ №2
Обратите внимание на свои симптомы. Если вы замечаете постоянный кашель, одышку или необъяснимую усталость, не откладывайте визит к врачу. Эти симптомы могут быть связаны с саркоидозом и требуют профессиональной оценки.
СОВЕТ №3
Изучите доступные методы лечения и обсудите их с вашим врачом. Саркоидоз может требовать индивидуального подхода, и важно понимать, какие варианты терапии могут быть наиболее эффективными в вашем случае.
СОВЕТ №4
Поддерживайте здоровый образ жизни, включая сбалансированное питание и регулярные физические упражнения. Это поможет укрепить вашу иммунную систему и улучшить общее состояние здоровья, что может быть полезно при лечении саркоидоза.








