Розовый лишай (болезнь Жибера) — это дерматологическое заболевание, характеризующееся появлением на коже розовых пятен. Недуг чаще встречается в возрастной группе 20-40 лет. У детей розовый лишай занимает 3,5% в общей структуре кожной заболеваемости, а в возрасте до двух лет встречается очень редко.
Причины розового лишая
Розовый лишай имеет инфекционно-аллергическую природу. Выявить возбудителя заболевания ученым не удается. Предположительно розовый лишай вызывается вирусами, в частности, герпеса типа 6 и 7. Заболевание возникает после переохлаждения, перенесенных ОРЗ, а также вакцинации.
Для розового лишая характерен подъем заболеваемости весной и осенью. Несмотря на то, что это инфекционное заболевание, заражение от больного человека наблюдается очень редко. Это возможно лишь в тех случаях, если у человека, контактирующего с больным, снижена активность иммунной системы, к примеру, на фоне простудных заболеваний.
Врачи отмечают, что розовый лишай, или болезнь Жибера, проявляется в виде круглых или овальных пятен на коже, которые могут иметь розоватый или желтоватый оттенок. Первоначально появляется одно крупное пятно, называемое материнским, а затем возникают более мелкие элементы. Симптомы могут включать зуд, шелушение и дискомфорт, однако в большинстве случаев заболевание протекает без серьезных осложнений. Врачи рекомендуют не паниковать, так как розовый лишай обычно проходит самостоятельно в течение нескольких недель или месяцев. Лечение может включать применение антигистаминов для уменьшения зуда и увлажняющих средств для ухода за кожей. Важно избегать использования агрессивных косметических средств и солнечных ванн, так как это может усугубить состояние. В случае появления вторичных инфекций или длительного течения болезни, консультация дерматолога становится необходимой.

Симптомы розового лишая
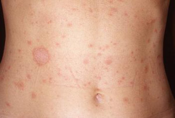
Заболевание начинается с ухудшения общего самочувствия, слабости, озноба, головной боли, увеличения шейных и подчелюстных лимфоузлов. Однако зачастую эти симптомы выражены очень слабо, потому и остаются незамеченными больными. В 80% случаев на теле появляется овальный розовато-красный очаг, несколько приподнятый над поверхностью кожи. Размеры его могут достигать двух-пяти сантиметров в диаметре. Пятно в медицине приобрело название «материнской бляшки». В центре бляшка желтеет, начинает шелушиться. Первичный очаг может возникнуть на любом участке тела, но вероятнее всего на груди, животе, спине, бедрах. Иногда материнская бляшка отсутствует или же наоборот появляется несколько очагов.
Уже спустя одну-две недели по телу появляются множество эритемато-сквамозных овальных розоватых пятен, размерами до трех сантиметров в диаметре. Располагаются высыпания вдоль линий Лангера — условных границ на коже, указывающих направление ее наибольшей растяжимости. Центр высыпаний более бледный. Шелушение максимально выражено на границе центральной и периферийной зон в виде типичного воротничка.
Высыпания появляются на груди, животе, спине, бедрах. Лицо и конечности обычно остаются незатронутыми. Однако у детей отдельные элементы сыпи могут появляться на лице, волосистой части головы, шеи.
Обратное развитие кожных элементов начинается с побледнения, отшелушивания в центральной части. Постепенно исчезает и венчик гиперемии. На месте высыпания остается депигментация. Понемногу кожа приобретает нормальный вид.
Примечательно, что кожные элементы появляются на коже вспышками, благодаря чему высыпания на теле могут находиться на разных этапах своего развития. За пару недель может наблюдаться до десяти подобных вспышек.
Могут наблюдаться и атипичные формы розового лишая, когда на коже появляются папулы, везикулы, волдыри. Но в любом случаев при розовом лишае кожные элементы располагаются вдоль линий Лангера.
Зачастую высыпания никак не беспокоят больных. Но у некоторых пациентов (особенно у детей) отмечаются кожный зуд, жжение, которые могут быть достаточно сильно выраженными.
Обратите внимание: при использовании агрессивных лекарственных средств, трении кожи об одежду, частом купании с использованием мочалок возможно распространение патологического процесса на другие участки тела, а также присоединение бактериальной флоры с развитием гнойного поражения кожи.
Длительность заболевания в среднем составляет 4-6 недель, но может достигать и 8 недель. После выздоровления сохраняется длительный иммунитет.
Диагностика розового лишая
Диагноз розового лишая ставится после осмотра, если врачу удается обнаружить материнскую бляшку, а также характерное расположение кожных элементов. Однако подобные эритематозные высыпания могут наблюдаться и при других дерматологических заболеваниях. Поэтому врачу необходимо провести дифференциальную диагностику патологического состояния. Следует выполнить микроскопическое исследование чешуек высыпаний для исключения микоза. Для опровержения сифилиса необходимо пройти серологическое исследование крови.
Розовый лишай, или болезнь Жибера, вызывает много вопросов и обсуждений среди людей. Симптомы заболевания часто начинаются с появления одного крупного пятна на коже, которое затем может сопровождаться множеством мелких высыпаний. Многие отмечают зуд и дискомфорт, что делает состояние неприятным. Важно понимать, что это заболевание обычно проходит самостоятельно в течение нескольких недель, но некоторые пациенты ищут способы облегчить симптомы.
Лечение часто включает использование антигистаминов для снятия зуда и увлажняющих кремов для улучшения состояния кожи. Некоторые рекомендуют избегать солнечных ванн и агрессивных косметических средств, чтобы не усугубить ситуацию. Однако, несмотря на распространенные советы, важно проконсультироваться с врачом для получения индивидуальных рекомендаций. Обсуждения на форумах подтверждают, что многие люди успешно справляются с этой проблемой, но каждый случай уникален, и подход к лечению должен быть индивидуальным.

Лечение розового лишая
Многие дерматологи считают, что розовый лишай совсем не требует активного лечения, поскольку самопроизвольное выздоровление происходит на четвертую-шестую недели. При неосложненном течении заболевания больному достаточно руководствоваться общими рекомендациями:
- Ограничить водные процедуры. Допускается прием душа, но при этом нельзя тереть кожу мочалками или пересушивать мылом, гелем.
- Ограничить пребывание под открытыми солнечными лучами.
- Следует отказаться от ношения синтетической, а также шерстяной одежды.
- Придерживаться гипоаллергенной диеты, исключив цитрусовые, шоколад, мед, яйца, рыбу, орехи, кофе, спиртные напитки.
Но если заболевание сказывается на общем состоянии больного, отмечается сильный зуд или присоединение бактериальной инфекции, необходимо переходить к медикаментозному лечению.
Для лечения розового лишая используют такие средства:
- Антигистаминные препараты (супрастин, тавегил);
- Гипосенсибилизирующие средства (хлористый кальций, пантотенат кальций);
- Глюкокортикостероиды наружного применения в виде мазей, эмульсий (гидрокортизона бутират 0,1%, бетаметазона дипропионат 0,025% (0,5%);
- Болтушки, содержащие цинк, 2% борную кислоту, 2% нафталан;
- Антибактериальные мази при присоединении бактериальной флоры.
Григорова Валерия, медицинский обозреватель
Вопрос-ответ

Что хорошо помогает от розового лишая?
Розовый лишай – одно из самых коварных заболеваний. Для его лечения подходят далеко не все препараты, но лучшим выбором будет Синалар, который выпускается в форме крема. Этот комбинированный препарат наносится только местно, а в его составе флуоцинолона ацетонид и клиохинол.
Как понять, что у тебя розовый лишай?
Симптомы розового лишая Почти у 80% пациентов розовый лишай Жибера начинается с появления на коже материнской бляшки. Обычно она одна, реже возникают сразу 2–3 элемента. Бляшка на вид ярко-розовая, овальная, слегка приподнята над кожей, в центре шелушится. Размер — 3–5 см в диаметре.
Что можно спутать с розовым лишаем?
Важно отличать розовый лишай от таких патологий, как микоз кожи, красная волчанка, каплевидный псориаз. Также нужно исключить первичную ВИЧ-инфекцию, сыпь от применения лекарств, себорейный дерматит. Можно спутать лишай Жибера с Т-клеточной лимфомой, мультиформной эритемой.
Как вылечить розовый лишай в домашних условиях?
Неосложненное течение розового лишая лечения не требует. Больным рекомендуется ограничить прием водных процедур (особенно горячей воды), пользование мочалкой, растирание жестким полотенцем, использование агрессивных поверхностно-активных веществ. Для улучшения состояния кожи возможно использование увлажняющих средств.
Советы
СОВЕТ №1
Обратите внимание на первые симптомы. Розовый лишай часто начинается с появления одного крупного пятна, называемого “материнским”. Если вы заметили его на коже, не откладывайте визит к дерматологу для подтверждения диагноза.
СОВЕТ №2
Избегайте раздражающих веществ. При розовом лишае старайтесь не использовать агрессивные моющие средства и косметику, которые могут усугубить состояние кожи. Лучше выбирать гипоаллергенные продукты.
СОВЕТ №3
Следите за состоянием иммунной системы. Укрепление иммунитета с помощью правильного питания, регулярных физических нагрузок и достаточного сна может помочь организму быстрее справиться с заболеванием.
СОВЕТ №4
Не занимайтесь самолечением. Хотя розовый лишай обычно проходит самостоятельно, важно проконсультироваться с врачом для получения рекомендаций по лечению и предотвращению осложнений.





