Атрезия хоан – патология дыхательных путей, характеризующаяся заращиванием отверстий (хоанов), соединяющих новую полость в районе глотки соединительной, костной или хрящевой тканью. Данная патология может носить как врожденный, так и приобретенный характер.
Разновидности атрезии
Врачи-отоларингологи выделяют следующие разновидности атрезии хоан:
- Частичная или полная. В первом варианте – в патологической перегородке имеются отверстия, а во втором нет.
- Односторонняя или двухсторонняя. В первом случае соединительная ткань перекрывает только один носовой проход, а во втором – перегородки закрывают оба хоана.
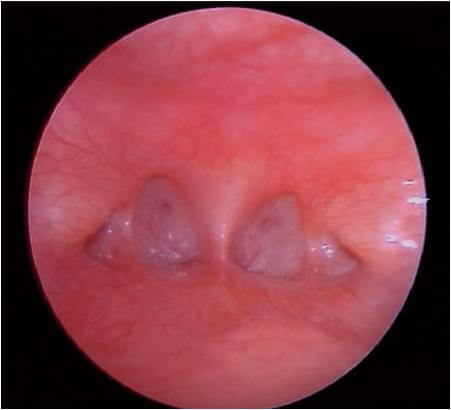
Односторонняя неполная атрезия хоаны
Обратите внимание: хотя данная патология и может носить приобретенный характер, в большинстве случаев, атрезия хоан проявляется у малышей с самого рождения!
Атрезия хоан – это врожденное заболевание, при котором наблюдается непроходимость носовых ходов, что может привести к серьезным проблемам с дыханием у новорожденных. Врачи отмечают, что основными причинами этого состояния являются аномалии развития, которые могут возникнуть на ранних стадиях беременности. Симптомы атрезии хоан включают затрудненное дыхание, цианоз, а также обильные выделения из носа. Важно, что данное заболевание может быть односторонним или двусторонним, что влияет на клиническую картину. Лечение, как правило, хирургическое: требуется операция для восстановления проходимости носовых ходов. Врачи подчеркивают важность ранней диагностики и вмешательства, так как это существенно улучшает прогноз. Профилактика включает в себя регулярные ультразвуковые исследования во время беременности, что позволяет выявить аномалии развития на ранних сроках.

От чего возникает?
Причины врожденной атрезии хоан на сегодняшний день точно не установлены, их связывают с нарушениями нормальных процессов внутриутробного развития. Спровоцировать данную патологию, по мнению специалистов, могут следующие факторы:
- генетическая предрасположенность;
- употребление беременной женщиной алкоголя и наркотических веществ;
- тяжелое отравление, интоксикация организма будущей матери;
- рождение ребенка в браке между близкими родственниками;
- поздняя беременность;
- перенесенные беременной женщиной заболевания инфекционного характера;
- хронические заболевания будущей матери (например, пиелонефрит, сахарный диабет);
- употребление во время ожидания малыша эмбриотоксических медикаментозных препаратов.
Причинами развития атрезии хоан во взрослом возрасте, по мнению докторов, могут стать следующие факторы:
- радиационное воздействие;
- резкие перепады температурных режимов;
- воздействие ультрафиолетового излучения;
- острые воспалительные процессы;
- заболевания верхних дыхательных путей, протекающие в хронической форме;
- перенесенные хирургические вмешательства в районе носоглотки;
- травматические повреждения;
- нарушения процессов гормонального продуцирования;
- ожоговые поражения носовых тканей.
Как проявляется патология?
Атрезия хоан проявляет себя следующими характерными клиническими признаками:
- затрудненность процессов носового дыхания (вплоть до полного его отсутствия);
- обильные слизистые носовые выделения;
- специфическая гнусавость в голосе;
- шумное дыхание, с характерным свистом;
- нарушение обонятельной функции;
- утрата вкусовой чувствительности;
- головные боли.
В случае врожденной атрезии хоан возникают проблемы с кормлением младенца, поскольку малыш может отказываться от груди!
Обратите внимание: полная и двустороння атрезия имеет более ярко выраженную симптоматику, по сравнению с частичными и односторонними формами развития данного патологического процесса.
У взрослых пациентов часто в носовой полости образуются крупные слизистые комки, которые могут выпадать в процессе наклонов головы.
У детей данное заболевание требует обязательного лечения, поскольку в противном случае грозит развитием гипоксии и нарушениями нормальных процессов развития ребенка! У таких малышей неправильно формируется лицевой скелет, прорезывается зубной ряд, наблюдаются явные признаки задержки умственного развития.
Атрезия хоан — это врожденное заболевание, при котором наблюдается непроходимость носовых ходов. Причины могут быть связаны с генетическими факторами или аномалиями развития. Симптомы часто проявляются в первые дни жизни: ребенок может испытывать затруднения с дыханием, особенно во время кормления, что приводит к срыгиванию и беспокойству. Важно своевременно распознать проблему, так как недостаток кислорода может вызвать серьезные осложнения.
Методы лечения включают хирургическое вмешательство, которое позволяет восстановить проходимость носовых ходов. Операция обычно проводится в раннем возрасте, что способствует нормализации дыхания и улучшению качества жизни ребенка. Профилактика атрезии хоан, к сожалению, невозможна, так как это врожденное состояние. Однако регулярные медицинские осмотры и внимание к здоровью ребенка помогут выявить проблему на ранних стадиях и обеспечить необходимую помощь.

Диагностические мероприятия
Диагностирование атрезии хоан начинается с осмотра пациента врачом-отоларингологом, изучения симптоматики и собранных результатов анамнеза.
С целью постановки точного диагноза, определения формы и разновидности патологического процесса, больным назначаются следующие виды диагностических исследований:
- эндоскопическое исследование носовой полости и околоносовых пазух;
- риноскопия;
- рентгенографическое исследование черепа;
- магнитно-резонансная и компьютерная томография носовой полости;
- зондирование носовых проходов (проводится с целью точного выявления зоны сращения хоанов).
На основании результатов проведенной комплексной диагностики доктор ставит больному точный, окончательный диагноз и определяется с оптимальными методами лечения, наиболее эффективными в конкретном клиническом случае!
Как лечить?
Лечение атрезии хоан осуществляется исключительно хирургическими методами.
Важно!При врожденной форме патологического процесса, в связи с угрозами жизни новорожденного, операция обычно проводится в срочном порядке!
Малышам в области сращения хоан хирурги делают, так называемый троакарный прокол с последующим установлением катетера, с целью обеспечения нормальной дыхательной функции. Такого рода хирургическое вмешательство носит исключительно временный характер!
В ходе хирургического вмешательства специалисты удаляют ткани, перекрывающие носовые просветы больного и препятствующие нормальному течению дыхательных процессов. В результате проведенной операции восстанавливается нормальное носовое дыхание пациентов, а также проходимость его носовых ходов.
https://youtube.com/watch?v=FAuYRr9LN4c
Операция при атрезии хоан
Хирургические методики, используемые специалистами для борьбы с таким заболеванием, как атрезия хоан, зависят от вида тканей, сращивающих дыхательные проходы пациента. В том случае, если хоаны сращиваются костной тканью, проводится хирургическое вмешательство с разрезом в небной области. В других клинических ситуациях возможно применение менее травматичных методов и выполнение хирургического вмешательства без разрезов, через ноздри больного.
Важно!В процессе операции хирург осуществляет установку специальных назальных стентов, искусственно формирующих просветы в районе хоан. Через некоторое время эти стенты подлежат удалению.
Врачи при лечении атрезии хоан отдают предпочтение малоинвазивным эндоскопическим методам, считающимся наиболее безопасными даже для самых маленьких пациентов и характеризующимся ускоренным восстановительным периодом.
Хирургическое лечение атрезии хоан требует госпитализации пациента и постоянного наблюдения со стороны специалистов. Само хирургическое вмешательство осуществляется под действием общего наркоза.
Во избежание возможного рубцевания, часто становящегося причиной рецидива заболевания, после иссечения лишних тканей на образовавшуюся раневую поверхность накладывается тканевой лоскут, взятый с лицевой части, который подшивается при помощи особых хирургических швов.
Возможные осложнения
Хирургическое вмешательство, направленное на лечение атрезии хоан, может спровоцировать развитие у больного следующих крайне нежелательных осложнений:
- носовые кровотечения;
- воспалительные процессы;
- присоединение инфекционных процессов;
- рецидив заболевания с сопутствующим повторным заращиванием просветов хоан;
- повышение температуры тела;
- лихорадочное состояние;
- болевой синдром.
Важно!При появлении любой тревожной симптоматики после перенесенного хирургического вмешательства при атрезии хоан, необходимо в срочном порядке обратиться за помощью и консультацией к специалисту!
При повторном заращивании носовых проходов соединительнотканными структурами, проводится еще одна хирургическая операция. Предупредить развитие перечисленных выше осложнений можно, выбрав хорошую клинику для проведения операции, а также строго соблюдая все врачебные рекомендации, касающиеся постоперационного периода!
Восстановительный период
Первые несколько суток после проведения хирургического вмешательства пациент остается в клинике под наблюдением специалистов. При отсутствии характерных постоперационных осложнений, на 2–3 сутки пациента выписывают.
Средняя продолжительность восстановительного периода после хирургического лечения атрезии хоан составляет от 1,5 до 2 месяцев. В этот период больной должен регулярно посещать отоларинголога для осуществления контроля над динамикой восстановительного процесса.
Во время реабилитации необходимо уделить особенное внимание вопросам гигиены носовой полости. Необходимо промывать нос, очищать его от скопившихся выделений при помощи назального аспиратора, а также обрабатывать носовую полость адреналиновым раствором.
Для устранения такой болезненной симптоматики, как отечность и болевые ощущения, характерной для первых этапов реабилитации, доктор может порекомендовать сосудосуживающие, обезболивающие и противовоспалительные медикаментозные препараты.
В случае присоединения инфекционных процессов, больному назначается курс антибактериальной терапии, жаропонижающие препараты.
Обратите внимание: антибиотические препараты подбираются специалистом строго индивидуально, то же самое касается и дозировки лекарственных средств, а также продолжительности терапевтического курса.
Дополнительные рекомендации
Чтобы восстановительный период после перенесенного хирургического вмешательства, направленного на лечение атрезии хоан, прошел максимально быстро и благополучно, пациентам необходимо соблюдать следующие рекомендации специалистов:
- Отказаться от курения и употребления алкогольных напитков.
- Избегать переохлаждения организма.
- Воздержаться от посещения бани или сауны.
- Избегать занятий спортом и чрезмерно интенсивных физических нагрузок.
- Отдавать предпочтение жидкой и мягкой пище комнатной температуры.
- Принимать витаминно-минеральные комплексы и иммуномодулирующие препараты, для активизации естественных защитных механизмов организма.
Профилактические мероприятия
Для предупреждения развития такой патологии, как атрезия хоан, пациентам рекомендуется соблюдать следующие правила:
- вести здоровый образ жизни;
- сбалансировано и рационально питаться;
- избегать травматических повреждений лица и носовых тканей;
- регулярно посещать терапевта для прохождения терапевтического осмотра.
Беременным женщинам необходимо уделить особенное внимание своему здоровью для предупреждения появления на свет малыша с врожденной атрезией хоан.
Для этого будущей маме рекомендуется:
- Планировать беременность, своевременно пролечивая все заболевания еще до зачатия.
- Принимать витаминно-минеральные комплексы для беременных.
- Отказаться от курения и употребления спиртных напитков.
- Не принимать никаких медикаментозных препаратов без назначения доктора.
Придерживаясь таких простых правил, можно избежать возникновения атрезии хоан.
Чумаченко Ольга, медицинский обозреватель
Вопрос-ответ
Как лечится атрезия хоан?
Хирургия. Во время восстановления атрезии хоан хирург создает отверстие в кости или ткани, которая блокирует дыхательные пути вашего ребенка . Это можно сделать через нос (трансназально) или через небо (транспалатально).
Как можно проверить атрезию хоан?
Клиническое подозрение на атрезию хоан может быть подтверждено при обследовании новорожденного с помощью гибкого назального эндоскопа при соответствующей подготовке, такой как устранение заложенности носа и отсасывание слизи, что позволяет напрямую визуализировать возможную обструкцию носового хода.
Какие синдромы связаны с атрезией хоан?
Атрезия хоан часто связана с другими аномалиями развития, такими как CHARGE, синдром Тричера-Коллинза и синдром Тессье . Если у вашего ребенка диагностирована атрезия хоан, она может принимать две различные формы.
Может ли у взрослых быть атрезия хоан?
Нередко одностороннее заболевание проявляется в более позднем возрасте, тогда как двустороннее заболевание считается несовместимым с жизнью и редко встречается у взрослых . Обширный поиск двусторонней врожденной атрезии хоан у взрослых выявил, насколько нам известно, только восемь зарегистрированных случаев на сегодняшний день.
Советы
СОВЕТ №1
Обратите внимание на симптомы: если у вашего ребенка наблюдаются затруднения с дыханием, постоянный насморк или выделения из носа, это может быть признаком атрезии хоан. Не откладывайте визит к врачу, чтобы получить своевременную диагностику.
СОВЕТ №2
Регулярно проходите медицинские осмотры: особенно в первые месяцы жизни ребенка, когда риск возникновения врожденных аномалий наиболее высок. Это поможет выявить проблемы на ранней стадии и начать лечение как можно скорее.
СОВЕТ №3
Обсуждайте с врачом возможные методы лечения: в зависимости от степени атрезии, могут быть предложены различные варианты, включая хирургическое вмешательство. Убедитесь, что вы понимаете все риски и преимущества каждого метода.
СОВЕТ №4
Следите за профилактикой инфекций: укрепление иммунной системы ребенка через правильное питание, вакцинацию и соблюдение гигиенических норм поможет снизить риск осложнений, связанных с атрезией хоан.






