Поверхностный псевдомикоз, который называют болезнью потных подмышек и тучных людей, в медицине классифицируется как эритразма. Возбудителями заболевания являются грибки, которые вполне благополучно чувствуют себя при нарушениях свойств кожного покрова – например, при повышенной потливости, опрелостях, дерматитах. Эритразма может возникнуть и при нарушениях правил личной гигиены или, наоборот, при чрезмерно тщательном их соблюдении.
Примечательно, что рассматриваемое заболевание может длительное время протекать абсолютно бессимптомно, только в периоды обострений больные предъявляют жалобы на зуд, жжение, болезненность в местах поражения.
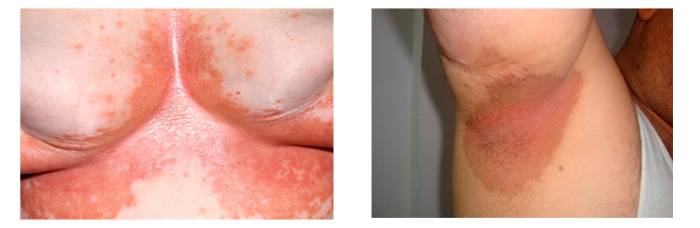
Симптомы эритразмы и диагностика заболевания
Больные с рассматриваемым заболеванием крайне редко обращаются за медицинской помощью – считается, что это банальная опрелость. И действительно, чаще всего эритразма проявляется в жаркое время года, когда человек потеет гораздо больше обычного. Но по некоторым признакам больной может выявить у себя рассматриваемое заболевание в любое время года. Клиническая картина эритразмы будет следующая:
- Цвет очагов поражения имеет красные, желтые и кирпичного оттенки – в каждом случае окраска кожи меняется индивидуально, но изменения явно определяются.
- Размер очагов поражения может быть вариативным – от нескольких сантиметров в диаметре до объемных площадей. В некоторых случаях в одной области поражения образуются мелкие очаги, которые со временем сливаются в единое целое.
- Четких границ очага поражения нет, поверхность гладкая и блестящая, но со временем покрывается мелкими чешуйками, если заболевание развивается в жаркое время года, то очаг может мокнуть, появится отечность и другие признаки прогрессирования воспалительного процесса.
Обычно никаких дискомфортных ощущений эритразма у больного не вызывает и обращение за медицинской помощью приходится на 10-15 лет течения болезни. Но опасность заключается в том, что рассматриваемая патология заразна, возбудители болезни в состоянии мигрировать с тела на тело при половом акте, через постельное белье, при пользовании одним полотенцем или предметами личной гигиены.
Если имеются подозрения на эритразму, то необходимо посетить специалиста и пройти полноценное обследование — только по жалобам пациента и «на глаз» такой диагноз поставить невозможно. Какие обследования в рамках диагностики эритразмы проводят врачи:
- люминесцентное исследование очагов поражения лампой Вуда – при облучении пятна будут проявляться красным цветом, но перед процедурой исследования ни в коем случае нельзя мыть очаги эритразмы;
- микроскопическое исследование чешуек – дерматолог под микроскопом увидит кокковидные и длинные клетки грибка.
Врачи отмечают, что эритразма, являющаяся поверхностным псевдомикозом, требует комплексного подхода к лечению и профилактике. Основными методами терапии являются местные антисептики и противогрибковые препараты, такие как клотримазол и мiconazole. Важно также учитывать, что эритразма чаще всего возникает в теплых и влажных условиях, поэтому соблюдение гигиенических норм играет ключевую роль в профилактике. Врачи рекомендуют носить свободную одежду из натуральных тканей, избегать перегрева и повышенной влажности в области поражения. Регулярные осмотры у дерматолога помогут выявить заболевание на ранней стадии и предотвратить его распространение. Профилактика рецидивов включает в себя поддержание нормального уровня иммунитета и лечение сопутствующих заболеваний, что также подчеркивают специалисты.

Лечение эритразмы медикаментами и народными средствами
В рамках терапии при рассматриваемом заболевании используют наружные средства – они дезинфицируют очаги патологии, способствуют отшелушиванию чешуек. Очень важно грамотно подобрать лекарственное средство, это назначение должен делать лечащий врач. Но даже если назначение сделал специалист, необходимо проверить действие средства на эритразму у конкретного пациента – достаточно лишь нанести небольшое количество препарата на очаг поражения и выждать 1-2 суток, после чего будет виден результат.
Чаще всего при медикаментозном лечении эритразмы назначают следующие лекарственные препараты:
- глицерин-салициловый спирт 5%;
- серно-дегтярная мазь – ее наносят 2 раза в день на протяжении 10 дней;
- салициловый спирт 5%;
- эритромициновая мазь – наносится на очаги поражения 2 раза в сутки на протяжении недели;
- спиртовой раствор йода – им обрабатывают эритразму максимум 5 дней подряд;
- крем Микоспор;
- крем Клотримазол.
Обратите внимание: если очаги поражения слишком обширные, то лечение исключительно наружными средствами не даст нужного результата – врачи назначают и Эритромицин внутрь в дозировке 250 мг на прием 4 раза в сутки, лечение такое будет длиться 4 дня.
Неплохой эффект в лечении эритразмы дают и ультрафиолетовые ванны – такие лучи оказывают отшелушивающий, противовоспалительный и дезинфицирующий эффект одновременно, что способствует быстрому исчезновению очагов поражения.
Даже самые мощные лекарственные средства не дадут результата, если больной не будет соблюдать правила личной гигиены – необходимо 2 раза в сутки тщательно мыться с использованием бактерицидного мыла. Кроме этого, нужно часто стирать свое белье, а если эритразма уже сильно запущена, то нужно будет и кипятить его.
Многие считают, что поможет в лечении рассматриваемого заболевания народная медицина – отчасти это правда. Даже врачи признают эффективность подобной терапии, но только в сочетании с применением лекарственных средств. К наиболее популярным и эффективным средствам от эритразмы из категории «народная медицина» относятся:
- Настойка из березовых почек на спирту – такая продается в аптеке, но можно приготовить и самостоятельно, взяв 10 частей растительного сырья и 1 часть водки или медицинского спирта. Протирать этой настойкой нужно все очаги поражения каждый день, не менее 3 раз.
- Пятна рассматриваемого заболевания нужно обмывать отварами тысячелистника, ромашки аптечной, бессмертника или зверобоя.
- Полезно будет и принимать ванны с добавлением зверобоя, дубовой коры, душицы обыкновенной.
Эритразма – это кожное заболевание, которое часто вызывает беспокойство у людей, сталкивающихся с его проявлениями. Многие отмечают, что симптомы, такие как красные или коричневые пятна на коже, могут вызывать дискомфорт и стеснение. Важно понимать, что это заболевание не является инфекционным и не передается от человека к человеку. Лечение обычно включает применение противогрибковых кремов и мазей, которые помогают устранить симптомы и восстановить здоровье кожи.
Профилактика играет ключевую роль в предотвращении рецидивов. Люди советуют соблюдать гигиену, избегать тесной одежды и поддерживать кожу сухой, особенно в жаркую погоду. Также полезно использовать антиперспиранты и регулярно менять белье. Многие отмечают, что своевременное обращение к врачу и следование рекомендациям специалиста значительно ускоряют процесс выздоровления. В целом, с правильным подходом к лечению и профилактике, эритразма становится управляемым состоянием, и качество жизни пациентов значительно улучшается.
Профилактика возвращения эритразмы
Существует ряд профилактических мер, которые предотвратят возвращение рассматриваемого заболевания.
Во-первых, необходимо начать борьбу с лишним весом – это касается и коррекции питания, и занятий физкультуры. Как только удастся избавиться от лишних килограмм, сразу же прекратится и эритразма.
Во-вторых, нужно в аптеке приобрести специальный дезодорант с добавлением алюминия, так как обычные средства из этой категории не помогут избавиться от неприятного запаха и повышенного потоотделения.
В-третьих, после приема душа или ванны необходимо тщательно вытирать все тело, особенно складки. Затем можно протереть проблемные места камфорным спиртом – это высушит кожу.
Эритразма достаточно неприятное заболевание, но его вполне реально вылечить. Но прежде чем использовать какие-то лекарственные препараты или народные методы, необходимо поселить дерматолога и пройти специфические обследования – это поможет правильно выбрать направление терапии.
Цыганкова Яна Александровна, медицинский обозреватель, терапевт высшей квалификационной категории

Вопрос-ответ
Как правильно лечить эритразму?
Лечение эритразмы При развитии эритразмы необходимо систематически дезинфицировать используемые в быту предметы. Одежду и постельное бельё требуется подвергать ежедневной стирке и тщательно проглаживать утюгом. Местное лечение основано на втирании в поражённые участки препаратов на основе эритромицина.

Какой мазью лечить эритразму?
Лечение эритразмы В лечении эритразмы используют клотримазол, 5% эритромициновый крем (не мазь). Складки протирать 2 раза в сутки 2% салициловым спиртом. При устойчивом течении показана системная терапия эритромицином. Гиперпигментация сохраняется несколько недель после окончания лечения.
Почему появляется эритразма?
Эритразма в большинстве случаев является следствием повышенного потоотделения, изменения кислотно-щелочного баланса кожи или нарушения целостности кожных покровов. Бактерии-возбудители могут долгое время жить на коже человека, не вызывая патологического процесса.
Какие антибиотики пить при эритразме?
Устранить инфекции может антибиотик, принимаемый внутрь, например кларитромицин. Также эффективны лекарственные препараты, наносимые непосредственно на пораженный участок (местно), такие как эритромицин, клиндамицин, мупироцин или бензоилпероксид.
Советы
СОВЕТ №1
Регулярно проводите гигиенические процедуры, особенно в теплую и влажную погоду. Используйте антисептические средства для кожи, чтобы предотвратить размножение грибков и бактерий.
СОВЕТ №2
Носите свободную и дышащую одежду из натуральных тканей, чтобы избежать избыточного потоотделения и создания благоприятной среды для развития эритразмы.
СОВЕТ №3
При первых признаках заболевания, таких как покраснение или зуд в области складок кожи, обращайтесь к дерматологу для своевременной диагностики и назначения лечения.



