Острый монобластный (или по-другому – моноцитарный) лейкоз является подтипом острого миелоидного лейкоза (ОМЛ) и обозначается как ОМЛ-5 или М5. Во многом его проявления могут быть схожи с ОМЛ, но этот подтип имеет четкие клинические и биологические характеристики и связан с гипер-лейкоцитозом (повышением количества лейкоцитов в периферической крови), нарушениями коагуляции (свертывания крови) и экстрамедуллярным вовлечением (затрагиваются ткани вне костного мозга).
Монобластный лейкоз: что это
На подтип лейкоза М5 приходится 18% случаев ОМЛ у взрослых и подростков, и около 45% случаев ОМЛ у детей младшего возраста. Это заболевание часто ассоциируется с ключевыми хромосомными транслокациями (аномалии хромосом с перескакиванием одного фрагмента на другой), включая t (8; 16) (p11; p13) и локусными транслокациями MLL в 11q23, такими как t (10; 11) (p13; q23), t (9; 11) (p22; q23) и t (11; 19) (q23; p13).
Важно
ОМЛ может развиться как отдаленное осложнение после химиотерапии, особенно при лечении антрациклинами и эпиподофиллотоксинами.
Врачи подчеркивают, что монобластный лейкоз, являющийся одной из форм острого миелоидного лейкоза, может проявляться разнообразными симптомами. К числу основных признаков относят усталость, анемию, частые инфекции и кровоточивость. Важно отметить, что ранняя диагностика играет ключевую роль в успешном лечении. Специалисты рекомендуют проводить регулярные обследования, особенно для людей с предрасположенностью к заболеваниям крови. Лечение монобластного лейкоза обычно включает химиотерапию, которая направлена на уничтожение раковых клеток, а в некоторых случаях может потребоваться трансплантация костного мозга. Врачи акцентируют внимание на необходимости индивидуального подхода к каждому пациенту, так как эффективность терапии может варьироваться в зависимости от состояния здоровья и особенностей заболевания.

Классификация монобластного лейкоза M5
Острый монобластный лейкоз M5 далее классифицируется на M5a и M5b.
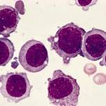
Подтип M5a составляет 5-8% от всех случаев острого лейкоза и обычно наблюдается у детей и молодых людей. В этом подтипе гиперклеточный костный мозг содержит большое количество крупных монобластов (особых клеток крови), которые имеют высоко базофильную цитоплазму и тонкие азурофильные гранулы, но очень мало или совсем не имеют ауэровских палочек. Монобласты также имеют круглые ядра, вакуоли и кружевной хроматин с несколькими ядрышками.
Биопсия костного мозга у пациентов с этим типом ОМЛ показывает, что костный мозг частично или полностью заменен монобластами. Около 75% пациентов с M5a имеют цитогенетические нарушения и около 7% имеют мутации FLT3.
Критерии диагностики: при исследовании биоптата костного мозга более 80% клеток линии моноцитов должны быть монобластами (отсюда и название «острый монобластный лейкоз»).
Подтип M5b составляет 3-6% от всех случаев острого миелоидного лейкоза и наблюдается у людей всех возрастов. Лейкозные клетки этого подтипа часто представляют собой про-моноциты, имеющие менее базофильную цитоплазму и больше азурофильных гранул. Эти клетки имеют свернутые ядра, которые содержат мелкий хроматин, и часто присутствует эритрофагоцитоз. Электронно-микроскопические изображения про-моноцитов показывают цитоплазму с несколькими крошечными цистернами эндоплазматического ретикулума и несколькими плотными гранулами. Ядро видно с несколькими долями и маргинальным хроматином.
Около 30% пациентов с этим подтипом имеют цитогенетические нарушения и почти 30% имеют мутации FLT3.Лечение подтипа M5b часто может привести к синдрому лизиса опухоли и ложному повышению числа тромбоцитов.
Критерии диагностики: в периферической крови преобладают зрелые моноциты или промоноциты с более чем 20% монобластами.
Лечение острого моноцитарного лейкоза
Как и многие другие редкие заболевания, острый монобластный лейкоз — это сложный рак. Схема лечения включает в себя:
- Агрессивную, многократную химиотерапию: обычно проводится от 4 до 6 курсов с интервалом от 3 до 4 недель. Основные препараты, используемые в химиотерапии ОМЛ, включают различные дозы антрациклинов, цитарабина и этопозида.
- Подавление активности костного мозга является распространенным симптомом химиотерапии, которая может привести к анемии, нейтропении и тромбоцитопении. Пациенты также подвержены риску смертельных оппортунистических инфекций и мукозита. Следовательно, поддерживающие меры очень важны для пациентов с ОМЛ во время и после лечения.
Монобластный лейкоз — это редкая форма острого миелоидного лейкоза, которая вызывает множество вопросов у пациентов и их близких. Симптомы заболевания могут варьироваться, но часто включают усталость, анемию, частые инфекции и кровотечения. Многие пациенты отмечают, что на начальных стадиях болезнь может проявляться неявно, что затрудняет диагностику. Лечение обычно включает химиотерапию, направленную на уничтожение раковых клеток, а в некоторых случаях может потребоваться трансплантация костного мозга. Важно, чтобы пациенты находились под наблюдением опытных специалистов, так как индивидуальный подход к терапии значительно повышает шансы на выздоровление. Обсуждение с врачом всех возможных вариантов лечения и побочных эффектов помогает людям лучше справляться с болезнью и принимать обоснованные решения.

Прогноз при остром монобластном лейкозе
Прогноз подтипа M5 оказался плохим по сравнению с другими подтипами острого миелоидного лейкоза, вероятно, из-за чрезмерной экспрессии белка nm23 (фактор, ингибирующий дифференцировку клеток).
У пациентов с AML M5, как правило, более часты мутации гена Flt3, чем у пациентов с другими подтипами, что отражает неблагоприятный прогноз для пациентов с этим подтипом. Мутации проявляются либо в форме точечных мутаций во втором тирозинкиназном домене, либо во внутренних тандемных дупликациях юкстамембранной области.
Хотя только 26,4% пациентов с другими подтипами ОМЛ имеют эту мутацию, около 40% пациентов с ОМЛ М5 имеют эту критическую мутацию, что объясняет повышенные шансы неблагоприятного исхода у пациентов, страдающих от ОМЛ М5.
Парецкая Алена, врач, медицинский обозреватель
Вопрос-ответ

Как проявляется лимфобластный лейкоз?
Острый лимфобластный лейкоз (ОЛЛ) — это злокачественное заболевание крови и костного мозга . При лейкозе здоровые клетки крови замещаются опухолевыми клетками, что может стать причиной жара, повышенной утомляемости, синяков, проблем со свертыванием крови, инфекций и других нарушений.
Что в общем анализе крови указывает на лейкоз?
В анализе крови пациента с таким заболеванием будет снижено количество эритроцитов и тромбоцитов. Количество лейкоцитов может быть повышено (но встречается и снижение концентрации белых кровяных телец). Основание для постановки диагноза — обнаружение более 20% незрелых лейкоцитов в крови или костном мозге.
Что такое монобластный лейкоз?
Что такое острый монобластный лейкоз? Острый монобластный лейкоз (AML-5, M5) – это разновидность рака крови, злокачественного заболевания, поражающего костный мозг. Вследствии мутации клеток происходит избыточное производство моноцитов – клеток костного мозга. Оно вызывает множество осложнений для здоровья пациента.
Сколько живут с лейкозом, если не лечить?
После постановки диагноза при отсутствии лечения больной в среднем живёт 2-3 года. Современные методы позволяют довести выживаемость пациентов с хроническим лейкозом до 80-85%. Наиболее высоки шансы на выздоровление у детей. Среди пациентов старше 65 лет доля излеченных составляет 15-20%, однако это средние показатели.
Советы
СОВЕТ №1
Обратите внимание на ранние симптомы. Монобластный лейкоз может проявляться различными признаками, такими как усталость, частые инфекции, необъяснимая потеря веса и увеличение лимфатических узлов. Если вы заметили у себя или у близких подобные симптомы, не откладывайте визит к врачу.
СОВЕТ №2
Регулярно проходите медицинские обследования. Если у вас есть предрасположенность к заболеваниям крови или вы находитесь в группе риска, важно регулярно сдавать анализы и проходить обследования для раннего выявления возможных проблем.
СОВЕТ №3
Обсуждайте варианты лечения с врачом. Лечение монобластного лейкоза может включать химиотерапию, радиотерапию и, в некоторых случаях, трансплантацию костного мозга. Обсудите с вашим лечащим врачом все возможные варианты и выберите наиболее подходящий для вас.
СОВЕТ №4
Поддерживайте здоровый образ жизни. Правильное питание, регулярные физические нагрузки и отказ от вредных привычек могут помочь вашему организму лучше справляться с лечением и восстановлением после болезни. Не забывайте также о психологической поддержке — общение с близкими и профессионалами может значительно улучшить ваше состояние.

