Понятие «прикус» в стоматологии подразумевает соотношение верхнего и нижнего зубных рядов при центральной окклюзии, т. е. плотном смыкании челюстей с точным совпадением линии между центральными резцами со срединной линией лица. Согласно статистическим данным, неправильный прикус фиксируется более чем у 80% людей. Многие пациенты не догадываются о наличии определенных патологий и не имеют понятия о том, насколько это опасно для организма в целом.
Формирование прикуса
Прикус формируется постепенно, в пять этапов. На каждом из них возможно проявление тех или иных отклонений, которые в будущем приведут к неправильному смыканию зубных рядов.
Основные этапы формирования прикуса:
- С момента рождения до полугодовалого возраста.
- От 6 месяцев до 3 лет (формирование временного прикуса).
- От 3 до 6 лет (временный прикус сформирован и отмечается быстрый рост челюстей).
- От 6 до 12 лет (время замены молочных зубов постоянными).
- От 12 до 15 лет (окончательное формирование постоянного прикуса).
Неправильный прикус у ребенка является распространенной проблемой, с которой сталкиваются многие семьи. Врачи отмечают, что существует несколько видов неправильного прикуса, включая открытый, глубокий и перекрестный. Основные причины его возникновения могут быть связаны с наследственностью, неправильным развитием челюстей, а также вредными привычками, такими как сосание пальца или дыхание ртом.
Специалисты подчеркивают важность ранней диагностики и обращения к ортодонту. Методы лечения варьируются от ношения брекетов до использования специальных аппаратов, которые помогают корректировать положение зубов и челюстей. Врачи рекомендуют начинать лечение как можно раньше, чтобы избежать более серьезных проблем в будущем. Регулярные осмотры у стоматолога помогут выявить проблему на ранней стадии и выбрать оптимальный подход к лечению.

Причины возникновения и возможные последствия нарушений
Причинами развития патологий прикуса часто становится неправильное прорезывание отдельных зубных единиц или нарушения роста челюстных костей.
Среди причин, приводящих к формированию аномального прикуса, ведущая роль отводится генетическим факторам. Особенности прорезывания зубов, а также строения челюстей могут быть унаследованы ребенком от одного из родителей.
Большое значение могут также иметь хронические заболевания, при которых нарушено носовое дыхание. Поскольку в формировании прикуса принимают участие все органы полости рта, то постоянно приоткрытый рот у ребенка может впоследствии самым негативным образом сказаться на прикусе.
Наконец, нельзя недооценивать такой фактор, как вредные привычки у детей. Влиять на прорезывание зубов могут прикусывание губ и языка, а также сосание пальца.
Обратите внимание: от соски-пустышки ребенка нужно отучить как можно раньше. Эта привычка может иметь негативные последствия для прорезывания зубов фронтальной группы (резцов).
Ряд проблем со стороны зубочелюстной системы может быть заложен еще в период внутриутробного развития ребенка.
К числу факторов, которые обычно негативно отражаются на строении зубов и челюстных костей ребенка относятся:
- нарушения метаболизма;
- анемия у матери;
- вирусные заболевания беременной;
- патологии беременности;
- внутриутробное инфицирование на разных стадиях эмбриогенеза.
К прочим этиологическим факторам, приводящих к аномалиям смыкания зубных рядов, можно отнести родовую травму, преждевременное или слишком позднее удаление временных зубов, множественные кариозные поражения, недостаточное поступление в организм ребенка фтора и кальция, неправильное питание, а также различные травмы зубов и челюстей.
У взрослых пациентов деформации прикуса формируются сравнительно редко. Обычно, они являются следствием неправильно проведенного ортопедического лечения (в частности – нарушений при установке мостовидных протезов) или нарушений при замещении дефектов зубными имплантами.
Аномалии развития обычно проявляются более или менее выраженными эстетическими дефектами, но это далеко не единственная проблема. При аномальном прикусе возможны нарушения акта жевания, а недостаточное измельчение пищи нередко ведет к заболеваниям органов пищеварительной системы. У человека с неправильным прикусом могут отмечаться дефекты речи, что в ряде случаев приводит к психологическим проблемам.
Неравномерная нагрузка на зубы часто оборачивается формированием патологической подвижности зубных единиц и оголением их шеек уже в молодом возрасте. Можно со всей ответственностью утверждать, что неправильный прикус с течением времени способен спровоцировать развитие пародонтоза. Аномалии смыкания зубов приводят и к патологиям височно-нижнечелюстных суставов, которые проявляются головными болями и болевым синдромом в жевательных мышцах.
К крайне неприятным последствиям также можно отнести патологическую стираемость эмали и повышение чувствительности зубов на фоне ее истончения. В числе наиболее тяжелых осложнений – ночное апноэ (остановка дыхания), нарушение дыхательной функции и заболевания органов слуха.
Виды прикуса
Прикус может быть сменным (с молочными зубами) и постоянным. Только после того, как все временные зубы сменятся на постоянные, можно говорить о физиологическом или же патологическом прикусе.
Неправильный прикус у ребенка — это распространенная проблема, о которой говорят многие родители. Существует несколько видов неправильного прикуса, включая открытый, глубокий и перекрестный. Причины могут варьироваться от генетической предрасположенности до вредных привычек, таких как сосание пальца или неправильное положение языка. Родители часто беспокоятся о том, как это повлияет на здоровье зубов и развитие челюсти. Методы лечения зависят от степени проблемы и возраста ребенка. Врач-ортодонт может рекомендовать ношение брекетов, кап или других ортодонтических аппаратов. Раннее обращение к специалисту помогает избежать серьезных осложнений в будущем и способствует формированию красивой улыбки.

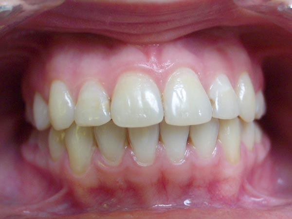
Прикус зубов правильный и неправильный
Физиологический прикус
При физиологическом прикусе зубы верхнего ряда примерно на 1/3 длины коронки перекрывают нижние. Все верхние зубы максимально плотно контактируют с одноименными и позадистоящими нижними. Значительные промежутки между отдельными единицами в норме быть не наблюдаются. Только данное соотношение зубных рядов может гарантировать нормальную функциональность зубочелюстной системы.
Выделяют следующие виды физиологического прикуса:
- Ортогнатический прикус;
- Прогенический прикус;
- Прямой прикус;
- Бипрогнатический прикус
Идеальным по функциональности и эстетике является ортогнатический прикус, но встречается он достаточно редко.
Прогенический отличается сравнительно небольшим выдвижением нижней челюсти кпереди.
При прямом прикусе центральные зубы смыкаются режущими поверхностями.
Бипрогнатический прикус очень похож на ортогнатический, но при нем имеет место более значительный наклон зубов верхнего и нижнего ряда кпереди.
Аномалии прикуса
Принято различать 5 основных разновидностей патологического прикуса:
- Дистальный (прогнатический) прикус;
- Медиальный (мезиальный) прикус;
- Открытый прикус;
- Глубокий прикус;
- Перекрестный прикус.
Если отдельные зубы в ряду располагаются не на своем месте, то принято говорить об их дистопии.
Прогнатия характеризуется недоразвитием нижней челюсти или чрезмерным развитием верхней.
При мезиальном прикусе (нижней прогнатии) нижний зубной ряд значительно выдвинут в переднем направлении и перекрывает верхний.
Если зубные ряды в центральной окклюзии не находятся в плотном контакте на большом протяжении, то речь идет об открытом прикусе. Различают фронтальный и боковой открытый прикус (соответственно группам зубов, которые не контактируют).
Глубокий прикус – это перекрытие верхними зубами нижних более чем на ½ высоты наддесневой части.
Перекрестный прикус наблюдается при одно- или двустороннем недоразвитии челюстей. В данном случае зубные ряды располагаются «внахлест» по типу ножниц.
Как исправить неправильный прикус у детей?
При неправильном прикусе лечение проводится специалистом-ортодонтом. Исправление аномалий смыкания зубов у детей наиболее проблематично, если патология обусловлена наследственными (генетическими) факторами.
В настоящее время стоматологи используют пять основных методов исправления прикуса:
- Лечение прикуса с помощью специальных ортодонтических конструкций (аппаратурный метод).
- Миотерапия (воздействие на мышцы особыми упражнениями).
- Комплексная методика.
- Ортопедическое лечение.
- Хирургическое лечение.
Миотерапия
Миотерапия может быть показана уже детям младшей возрастной группы. Она предполагает весьма продолжительное и системное выполнение пациентом специально разработанных упражнений. Комплекс обеспечивает необходимую нагрузку на мускулатуру мимической и жевательной групп, а также мышцы дна ротовой полости.
Благодаря поддержанию их в хорошем тонусе, обеспечиваются наиболее благоприятные предпосылки для правильного развития челюстных костей, а в будущем – для прорезывания максимально ровных постоянных зубов. Если для маленьких детей миотерапия может являться основной лечебной методикой, то для пациентов со сменным прикусом она рассматривается только в качестве вспомогательной меры.
Ортодонтическое лечение
Ортодонтическое лечение показано детям, уже достигшим 6-летнего возраста, т. е. в начале смены зубов. Оно проводится с помощью разнообразных аппаратов, позволяющих корректировать зубной ряд и форму челюсти в целом. Приспособления могут перемещать зубы, а также стимулировать или несколько затормаживать процесс роста отдельных участков челюстных костей. Для коррекции прикуса применяются пластинки, трейнеры и брекеты.
Со статьей о брекет-системах вы можете ознакомиться на нашем сайте.
Все ортодонтические аппараты можно разделить на две большие категории: для периодического или постоянного ношения (т. е. съемные и несъемные).
Съемные приспособления представляют собой пластинки, которые изготавливаются индивидуально по предварительно снятым слепкам. К зубам эти аппараты фиксируются посредством металлических крючков. Пластины предназначены для приложения направленной силы на отдельные группы зубов. Носят такие устройства довольно долго, а на закрепление достигнутого эффекта требуется впоследствии сравнительно немного времени.
Большинство несъемных конструкций для исправления прикуса являются стандартными. С их помощью на зубные ряды оказывается более сильное воздействие, что сокращает период лечения. Минусом таких аппаратов является практически неизбежное снижение уровня гигиены ротовой полости, так как процесс чистки затруднен. Наиболее совершенными несъемными конструкциями являются брекеты и системы для эджуайс-техники.
Комплексная методика
Комплексная методика предполагает использование ортодонтических конструкций в сочетании с хирургическими вмешательствами. При резко выраженных аномалиях прикуса этот метод является основным. Он применяется у пациентов в возрасте от 6 до 12 лет.
Один из важнейших этапов исправления прикуса – т. н. ретенционный период, во время которого закрепляется достигнутый результат. Он продолжается в среднем в два раза дольше, чем активное лечение и в конечном итоге определяет эффективность предпринятых мер. В период ретенции происходит окончательная перестройка тканей зубочелюстной системы.
Обратите внимание: чем младше ребенок, тем меньшее время требуется для исправления аномалий развития зубочелюстной системы.
Предупреждение развитий патологий прикуса
Генетически обусловленные нарушения предотвратить нельзя. Прочие факторы, предрасполагающие к возникновению аномалии, можно либо устранить, либо минимизировать.
Женщинам, которые готовятся стать матерями, нужно с особым вниманием относиться к своему здоровью. Важно помнить, что процесс минерализации зубных зачатков у плода начинается уже на 20-й неделе внутриутробного развития. Беременным рекомендуется потреблять продукты (и безопасные препараты), содержащие соединения фтора и кальция.
Малыша не следует без необходимости переводить на искусственное вскармливание. У новорожденных младенцев верхняя челюсть больше нижней, а размеры с течением времени выравниваются благодаря активному участию лицевых мышц в акте сосания. Если ребенка приходится кормить из бутылочки, то важно следить, чтобы отверстие в соске было не очень большим – в противном случае малыш будет только глотать, а не сосать.
Следите за тем, чтобы ребенок правильно дышал. Одна из ведущих причин развития открытого прикуса – дыхание через рот. Если малыш не дышит носом, необходимо проконсультироваться с детским ЛОР-врачом.
Когда у маленьких детей начинают резаться зубки, пора отучать их от пустышки и следить за тем, чтобы они не сосали палец. В противном случае очень велика вероятность искривления зубных рядов.
К детскому стоматологу ребенка нужно отводить как минимум раз в 6 месяцев, даже если видимых проблем нет. Профилактический осмотр позволит выявить аномалию и своевременно приступить к ее исправлению.
Первый визит к ортодонту лучще предпринять, когда ребенку исполнится 5,5 – 6 лет, т. е. когда начнется замена молочных зубов постоянными.
В качестве превентивных мер для предупреждения развитий патологий прикуса показаны следующие методики:
- лечебная гимнастика, обеспечивающая адекватную нагрузку на мышцы лица и, частично, шеи (миотерапия);
- профилактическое выборочное сошлифовывание отдельных бугров зубов жевательной группы и режущих краев – фронтальной;
- массаж альвеолярных отростков, а также уздечек губ и языка.
Как исправить прикус у детей младшего возраста? О методах лечения патологии и мерах профилактики рассказывается в видео-обзоре:
https://youtube.com/watch?v=QMRhyNh_Xk4
Плисов Владимир, стоматолог
Вопрос-ответ
Почему у ребенка формируется неправильный прикус?
Почему возникает неправильный прикус у ребенка: Вредные привычки (продолжительное сосание пальцев, игрушек, соски и др. ). Нарушение сроков прорезывания зубов. Частые простудные заболевания горла и носа. Из-за частого насморка ребенку приходится дышать ртом, а это является следствием нарушения развития лицевых костей.
Как лечат неправильный прикус?
Элайнеры, трейнеры, брекет-системы, хирургическое вмешательство.
Почему возникает неправильный прикус?
Причины неправильного прикуса Наследственная предрасположенность. Травмы. Отсутствие зубных единиц. Особенно опасно отсутствие молочных зубов, поскольку они «резервируют место» под постоянные зубы.
В каком возрасте можно исправить неправильный прикус?
Лечение неправильного прикуса возможно в любом возрасте. Но лучше не затягивать этот процесс, так как с возрастом у людей наблюдается ухудшение состояние десен, сопровождающееся увеличением количества пломб и депульпированных зубов. Для взрослых также характерно развитие пародонтита.
Советы
СОВЕТ №1
Регулярно посещайте стоматолога. Профилактические осмотры помогут выявить проблемы с прикусом на ранних стадиях, что значительно упростит их лечение и предотвратит дальнейшие осложнения.
СОВЕТ №2
Обратите внимание на привычки ребенка. Некоторые действия, такие как сосание пальца или неправильное положение языка, могут негативно влиять на формирование прикуса. Постарайтесь скорректировать эти привычки с помощью игр или положительного подкрепления.
СОВЕТ №3
Изучите различные методы лечения. Существует множество способов коррекции прикуса, включая брекеты, капы и ортодонтические пластины. Проконсультируйтесь с ортодонтом, чтобы выбрать наиболее подходящий вариант для вашего ребенка.
СОВЕТ №4
Следите за питанием ребенка. Правильное питание, богатое витаминами и минералами, способствует здоровью зубов и челюстей. Убедитесь, что в рационе присутствуют твердые продукты, которые помогают развивать жевательную мускулатуру.









