Патологический перелом бедренной кости – это нарушение ее целостности в месте, где по какой-то причине возникла патологическая перестройка тканей. Фактически любое заболевание, из-за которого меняется костная ткань (ухудшаются ее физические свойства), может привести к развитию данного нарушения.
Отличия патологического перелома бедренной кости заключаются в том, что для его возникновения достаточно невыраженного травмирующего воздействия – несильного удара каким-либо предметом, падения с небольшой высоты, а нередко даже обычного напряжения мышц в области бедра.
Самыми частыми причинами образования патологического перелома бедренной кости являются остеопороз, остеомиелит и опухоли (злокачественные и доброкачественные).
Лечение, как правило, оперативное, но также имеет значение консервативная терапия патологии, на фоне которой и случился перелом.
Общие данные
Чаще всего данной патологией страдают люди пожилого и старческого возраста – даже если у них на протяжении жизни не возникало каких-либо нарушений, которые привели бы к ослаблению костной ткани, так или иначе они появляются на старости лет в результате «снашивания» костной ткани. Но минимальное физическое воздействие на бедренную кость, чтобы возник патологический перелом, все равно необходимо – нередко это может быть даже просто давление массы собственного тела.
Важно
Наибольшее значение для образования патологического перелома бедренной кости имеют процессы деминерализации – они могут лежать в основе целого ряда патологий. Это самая распространенная общая причина описываемой патологии.
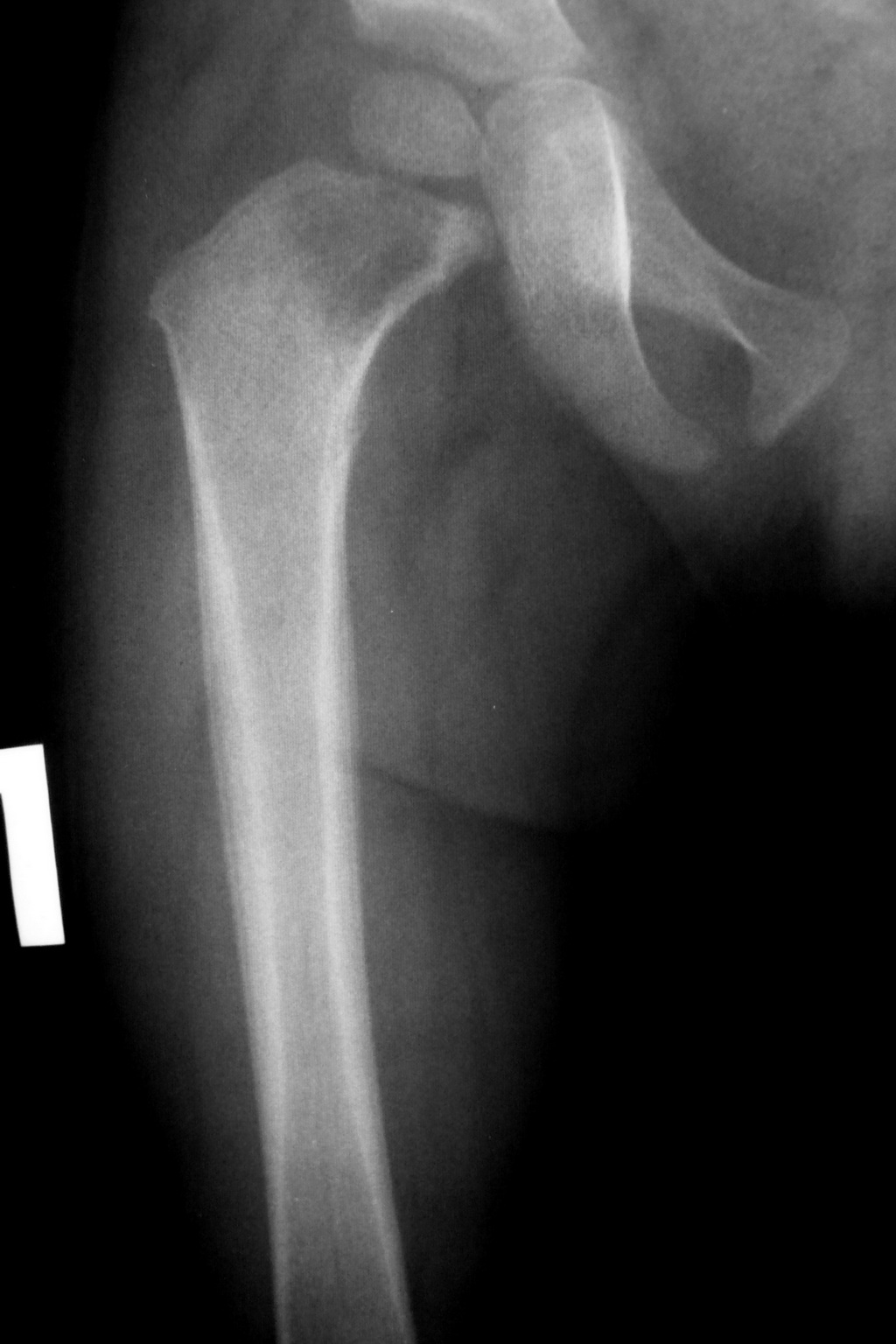
Из всех структур бедренной кости при описываемой патологии чаще всего страдает шейка.
Самая большая проблема, которая возникает при данном виде повреждения – это затруднение сращения, так как оно проходит на фоне патологических изменений костной ткани.
По такой причине сроки постельного режима затягиваются, что влечет за собой развитие осложнений, непосредственно не связанных с патологией костной ткани – это:
- пролежни;
- застойные пневмонии;
- выраженные контрактуры.
Врачи отмечают, что патологический перелом бедренной кости часто возникает у пациентов с ослабленной костной тканью, что может быть связано с остеопорозом, опухолями или инфекциями. Основными причинами таких переломов являются возрастные изменения, недостаток витамина D и кальция, а также наличие хронических заболеваний, влияющих на метаболизм костей. Лечение включает как консервативные методы, такие как физиотерапия и медикаментозная терапия для укрепления костной ткани, так и хирургические вмешательства, например, остеосинтез. Важно, чтобы пациенты проходили регулярные обследования и следили за состоянием своих костей, особенно в пожилом возрасте, чтобы предотвратить подобные травмы. Врачи подчеркивают необходимость комплексного подхода к лечению и профилактике, включая изменение образа жизни и диеты.

Причины
Причинами возникновения патологического перелома бедренной кости чаще всего выступают такие типы нарушений, как:
- новообразования;
- остеодистрофии – группа болезней и вторичных патологических состояний, которые возникают из-за местного сбоя в обмене веществ;
- дисплазии – заболевания, при которых наблюдается нарушение развития бедренной кости:
- инфекционные поражения.
Первые две группы патологий чаще, чем другие, приводят к возникновению патологического перелома бедренной кости.
К нарушениям, на фоне которых обычно появляется описываемая патология, относятся:
- солитарные кисты – одиночные полостные образования с жидким содержимым внутри. По статистике, патологический перелом бедренной кости наблюдается в 50-60% диагностированных случаев солитарных кист;
- гигантоклеточные опухоли;
- болезнь Педжета – нарушение процесса рециркуляции (повторного использования) веществ в организме, при котором новая костная ткань должна заместить старую, изношенную;
- болезнь Реклингхаузена – генетическое заболевание, которое проявляется множеством опухолей и при котором, кроме прочих, поражаются костные структуры.
При опухолях патологический перелом бедренной кости встречается в 35-50% диагностированных случаев, при болезнях Педжета и Рикленхаузена – в 40-50%.
Особую роль в возникновении описываемой патологии играют опухоли – в частности, злокачественные. Это могут быть опухоли:
- первичные – те, которые появились при перерождении нормальной ткани;
- метастатические – неоплазии, которые образуются при поступлении с током крови или лимфы клеток из злокачественных опухолей другой локализации.
Патологический перелом бедренной кости чаще развивается при метастатических опухолях. Характерной особенностью такого повреждения является то, что возникает не один перелом, а несколько. Описываемая патология чаще появляется на фоне таких злокачественных поражений бедренной кости, как:
- миелома – злокачественное заболевание крови, которое возникает из-за сбоя со стороны плазматических клеток костного мозга;
- гипернефрома – злокачественное новообразование почек;
- рак почки – злокачественная опухоль почки, которая формируется из эпителия;
- остеопластический костный карциноз – опухолевая патология в виде множественных метастазов;
- остеокластическая саркома – опухоль, которая развивается в виде костных пластинок и шипов, расположенных в косом направлении или перпендикулярно к продольной оси кости.
Доброкачественные опухоли бедренной кости также могут осложняться ее переломами, но не так часто, как злокачественные. Это:
- хондромы – опухоли из ткани хрящевых суставных поверхностей;
- остеомы – новообразования из собственно костной ткани.
К группе заболеваний дистрофического характера, на фоне которых часто развивается патологический перелом бедренной кости, относятся:
- остеомаляция – повышенная гибкость костных структур, которая возникает на фоне их сниженной минерализации;
- остеопороз – повышенная хрупкость костей, появляющаяся при сниженной минерализации;
- остеохондроз – нарушение структуры костной ткани, которое развивается на фоне дистрофического процесса;
- остеосклероз – повышенная выработка соединительной ткани, которая может замещать костную;
- рахит – ненормальное формирование костей из-за нехватки в организме солей кальция и их нарушенного обмена.
Обратите внимание
Остеопороз является одной из самых частых причин возникновения патологического перелома бедренной кости. На его фоне описываемое повреждение чаще всего возникает у женщин постклимактерического возраста – как правило, это повреждение шейки бедренной кости.
Заболевания костной ткани дистрофического и диспластического характера, которые способны спровоцировать возникновение патологического перелома бедренной кости, могут быть не только приобретенными, но и врожденными – появляющимися из-за сбоя внутриутробного развития будущего ребенка. Так, в ряде случаев диагностируется остеопсатироз – врожденная хрупкость костных структур. Это зачастую системное заболевание – то есть, с поражением многих костных структур, в том числе и бедренной кости.
Из инфекционных поражений фоном для возникновения описываемой патологии могут стать:
- эхинококкокоз – заболевание, которое вызывается гельминтами из группы цестодозов и характеризуется формированием в разных органах паразитарных кист (полостей с тонкой стенкой и жидким содержимым, в котором содержится множество паразитов);
- туберкулез – инфекционная патология из ряда специфических, которую вызывают микобактерии туберкулеза (палочка Коха). Патологический перелом бедренной кости зачастую возникает на фоне вторичного туберкулеза костей;
- остеомиелит – формирование в костных структурах гнойно-некротического очага с последующим образованием свищей, или фистул (патологических ходов);
- третичный сифилис – поражение бледной трепонемой.
Патологическая ломкость бедренной кости также может наблюдаться при таких патологиях, как:
- несовершенный остеогенез – наследственное системное заболевание скелета, при котором ухудшается коллагенообразование;
- остеоартропатии – хронические невоспалительные поражения суставов и суставных концов сочленяющихся костей (в данном случае с задействованием бедренной кости);
- цинга – нехватка витамина C. Патологический перелом бедренной кости при этом заболевании чаще всего возникает в детском возрасте.
Нарушения костной ткани с последующим возникновением патологического перелома бедренной кости наступают также при следующих заболеваниях:
- сирингомиелия – хроническое прогрессирующее поражение центральной нервной системы, при котором в спинном мозге образуются полости;
- сухотка спинного мозга – разновидность позднего нейросифилиса (третичного сифилиса). Для нее характерно поражение спинальных нервных веток и задних столбов спинного мозга;
- остеосклероз различного происхождения.
Патологический перелом бедренной кости может возникать на фоне неврогенных нарушений – в основном это парезы и параличи как травматического, так и нетравматического происхождения.
Озвученные причины играют неодинаковую роль в возникновении патологических переломов бедренной кости. Так, микропереломы, которые могут диагностироваться с опозданием, всегда формируются при остеохондропатиях, несколько реже такое наблюдается при врожденном сифилисе и детской цинге. Еще реже патологический перелом бедренной кости возникает при остеомаляции и рахите.
Эта патология также может возникать из-за нарушения целостности костной мозоли, которая формируется после травматического перелома бедренной кости.
Особым случаем является патологический перелом бедренной кости, возникающий при анкилозе – полной неподвижности сустава, формирующейся вследствие травмы, артроза или артрита. В данном случае патологический перелом может возникнуть при анкилозе тазобедренного или коленного суставов, в формировании которых бедренная кость принимает участие. Механизм возникновения такого нарушения следующий. Пациент делает какое-то движение нижней конечностью, но нагрузка приходится не на неподвижный сустав, а на ослабленную часть кости, из-за чего она ломается.
Развитие патологии
Различают целый ряд патологических переломов бедренной кости. Их классификация отображает общую классификацию таких повреждений. В зависимости от локализации линии перелома бывают патологические переломы:
- тазобедренного сустава;
- шейки бедра;
- диафиза;
- мыщелковые.
В свою очередь, патологические переломы тазобедренного сустава разделяются на:
- капитальный – перелом головки бедренной кости;
- субкапитальный – повреждение ниже головки бедренной кости;
- чрезвертельный.
Отрывы большого и малого вертелов вследствие патологии бедренной кости диагностируются редко.
Патологический перелом шейки бедренной кости бывает:
- трансцервикальный – травмируется собственно шейка;
- базисцервикальный – линия перелома проходит у основания шейки.
Диафизарным патологическим переломом бедренной кости является нарушение целостности диафиза – той части, которая находится между двумя эпифизами (концами кости). Такие переломы наиболее часто сопровождаются смещением костных фрагментов. Если возникла травматизация верхней трети кости, то под воздействием ягодичных мышц отломки смещаются в разные стороны, при повреждении в нижней трети бедренной кости икроножная мышца тянет костные фрагменты в заднем направлении.
Мыщелковые патологические переломы бедренной кости также диагностируются несколько реже. Их выявляют в нижнем сегменте бедренной кости, который принимает участие в формировании коленного сустава.
Существенное смещение костных отломков при патологическом переломе бедренной кости наблюдается довольно редко. При этом могут возникать такие виды нарушений, как:
- компрессионные поражения (вдавливания);
- крупные трещины;
- переломы в форме подзорной трубы. Это специфические поперечные повреждения, при которых истонченный корковый слой одного костного фрагмента буквально надвигается на другой костный фрагмент.
Патологический перелом бедренной кости вызывает множество обсуждений среди медиков и пациентов. Люди, столкнувшиеся с этой проблемой, часто делятся своими переживаниями и опытом лечения. Основные причины таких переломов связаны с остеопорозом, опухолями или хроническими заболеваниями, которые ослабляют костную ткань. Многие пациенты отмечают, что своевременная диагностика и лечение играют ключевую роль в восстановлении.
Врачи рекомендуют комплексный подход: помимо хирургического вмешательства, важно проводить реабилитацию, включающую физические упражнения и физиотерапию. Люди также подчеркивают значимость поддержки со стороны близких, что помогает справиться с психологическими аспектами травмы. В целом, обсуждение этой темы поднимает важные вопросы о профилактике и необходимости регулярных медицинских обследований для предотвращения подобных случаев.

Симптомы патологического перелома бедра
Отличительная особенность патологического перелома бедренной кости – слабая выраженность симптоматики по сравнению с травматическими переломами. Из признаков характерными являются:
- боли;
- отечность мягких тканей.
Характеристики болей:
- по локализации – в области перелома;
- по распространению – без какой-либо типичной иррадиации;
- по характеру – ноющие;
- по интенсивности – невыраженные, могут нарастать при физической активности пострадавшего (при этом отломки смещаются и задевают нервные структуры);
- по возникновению – возникают в момент перелома, но им нередко не придается значения.
Отечность в области перелома невыраженная, в ряде случаев может отсутствовать.
Перед появлением патологического перелома может наблюдаться специфическая клиническая картина, которая должна насторожить – это:
- костные деформации;
- непонятные спонтанные боли;
- болезненность в бедренной кости при нагрузке.
Важно
Нередко патологический перелом бедренной кости становится первым проявлением какого-либо заболевания со стороны кости. Если перелом диагностирован, но травматизации как таковой не было, то пострадавшего необходимо обследовать на предмет системных патологий, которые могли привести к патологическому перелому бедренной кости.
Патологическая подвижность и крепитация при описываемой патологии не определяются. Кровотечение слабо выраженное или также клинически не проявляется.
Диагностика
Слабая выраженность клинических проявлений затрудняет диагностику при патологическом переломе бедренной кости. Поэтому имеет значение проведение дополнительных методов исследования.
Из анамнеза выясняется, болел ли пострадавший системными патологиями, не было ли у него болезненных ощущений в области бедренной кости при выполнении физических нагрузок.
Результаты физикального обследования малоинформативны – общее состояние пациента может быть обычным, измерение нижних конечностей также не всегда укажет на наличие описываемой патологии.
В обязательном порядке привлекаются инструментальные методы диагностики:
- рентгенологическое обследование – оно имеет наибольшее значение в выявлении патологического перелома бедренной кости. Делают снимки в двух проекциях, на них выявляют линию перелома, смещение отломков (если оно имеется);
- компьютерная томография (КТ) – привлекается в спорных случаях. Компьютерные срезы помогут оценить состояние костной ткани больше, чем рентгенография;
- магнитно-резонансное обследование (МРТ) – помимо оценки состояния костной ткани, поможет проанализировать состояние мягких тканей в области повреждения;
- сцинтиграфия – пациенту внутривенно вводят фармпрепарат с радиоактивными изотопами, он распределяется в организме и при томографическом исследовании создает цветную картинку, по которой и оценивают состояние костных тканей. Данный метод наиболее информативен при опухолевом происхождении патологического перелома бедренной кости – сцинтиграфия позволяет в четыре раза чаще обычной рентгенографии диагностировать метастатические поражения;
- денситометрия – неинвазивный метод определения минеральной плотности костной ткани;
- биопсия – забор костных тканей для изучения под микроскопом. Позволяет идентифицировать патологию, которая могла привести к слабости костной ткани с последующим формированием патологического перелома.
Лабораторные методы исследования также играют роль в диагностике болезней, которые могли привести к образованию патологического перелома бедренной кости. Это:
- общий анализ крови – повышение количества лейкоцитов (лейкоцитоз) и СОЭ свидетельствует о воспалительном процессе, резкое увеличение СОЭ сигнализирует о наличии злокачественной опухоли;
- биохимический анализ крови – при остеолитических процессах, которые могут спровоцировать развитие патологических переломах, часто выявляются гиперкальциемия (повышенное содержание кальция в крови), при остеопластических нарушениях отмечается уменьшение количества кальция и повышение уровня щелочной фосфатазы в сыворотке крови;
- анализ мочи – в ней выявляется большое количество кальция;
- микроскопическое исследование – под микроскопом изучают биоптат, при этом в первую очередь, исключают или подтверждают опухолевую природу заболевания, которое спровоцировало появление патологического перелома бедренной кости.

Дифференциальная диагностика
Дифференциальную диагностику следует проводить:
- между разновидностями патологического перелома бедренной кости;
- между патологиями, которые его спровоцировали.
Осложнения
Наиболее частыми осложнениями патологического перелома бедренной кости являются:
- контрактура – нарушение подвижности в суставах, в формировании которых принимает участие бедренная кость;
- анкилоз – полное обездвиживание.
Также возможно развитие осложнений, возникающих в силу того, что такие больные долгое время соблюдают постельный режим:
- гипотрофия мышц – их ослабление;
- пролежни – омертвение тканей в том месте, где кость находится близко к кожным покровам;
- тромбофлебит – воспаление венозной стенки и формирование в этом месте тромба;
- трофические язвы – образование дефектов мягких тканей из-за нарушения их питания;
- застойная пневмония – воспаление легких из-за ухудшения циркуляции воздуха.
Лечение патологического перелома бедра
Комплексное лечение патологического перелома бедренной кости включает терапию заболевания, которое его спровоцировало.
Сам перелом требует хирургического вмешательства – благодаря ему:
- сокращаются сроки лечения в стационаре;
- облегчается уход за пациентом;
- становится возможной ранняя активизация пострадавшего;
- снижается риск возникновения осложнений.
Объем операции также зависит от вида патологии, спровоцировавшей возникновение перелома:
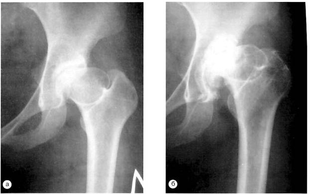
- при доброкачественных новообразованиях выполняют резекцию пораженного участка в сочетании с остеосинтезом (скреплением отломков). Если возник большой дефект тканей – проводят замещение алло- или гомотрансплантатом в сочетании с остеосинтезом;
- при поражении сустава или околосуставной области проводят эндопротезирование – замену сустава на искусственный;
- если диагностировано нарушение целостности диафиза, то поврежденный участок укрепляют костным цементом или замещают дефект трансплантатом.
Костные фрагменты фиксируют с помощью гвоздей, пластин, штифтов, винтов или аппарата Илизарова.
В периоде реабилитации имеют значение ЛФК и достаточное употребление пищи, обогащенной микроэлементами и витаминами.
Профилактика
Мерами профилактики патологического перелома бедренной кости являются:
- предупреждение возникновения заболеваний, которые ведут к ослаблению костной ткани бедренной кости, в случае их появления – своевременное выявление и лечение;
- укрепление костных тканей. Этому способствуют сбалансированное питание с достаточным количеством витаминов и микроэлементов, отказ от вредных привычек, занятия физкультурой;
- создание благоприятных условий для течения беременности – это поможет снизить риск внутриутробных нарушений, на фоне которых нередко возникает патологический перелом бедренной кости.
Прогноз
Прогноз при патологическом переломе бедренной кости разный – он зависит от заболевания, спровоцировавшего описываемое нарушение. В молодом возрасте проявления перелома некритичны, в целом прогноз благоприятный, но следует быть готовым к длительному восстановлению. В старческом возрасте патологические переломы бедренной кости (в частности, ее шейки) нередко заканчиваются летальным исходом из-за возникновения тяжелых осложнений.
Если не купировать патологию-провокатор, то могут возникнуть рецидивы переломов.
Ковтонюк Оксана Владимировна, медицинский обозреватель, хирург, врач-консультант
Вопрос-ответ
Что значит патологические переломы?
Патологическими называются те переломы, которые происходят без значительной внешней нагрузки или при физиологической амплитуде движений на фоне первичного заболевания. Фоновая патология настолько изменяет структуру кости, что она утрачивает свойственную ей прочность, поэтому легко ломается.
Какой патологический процесс может привести к патологическому перелому?
Опухоли – Если опухоли растут около ваших костей или происходят из ваших костей , они могут вызвать патологические переломы. Дополнительное давление опухолей, оказывающее вес на ваши кости, может быть слишком большим.
Чем отличается травматический перелом от патологического?
Травматический (кость изначально здоровая), патологический (плотность кости снижена из-за наличия заболевания)
Как лечат перелом бедренной кости?
«Золотым стандартом» лечения диафизарных переломов бедренной кости является – интрамедуллярный блокированный остеосинтез, позволяющий минимизировать хирургическую агрессию и максимально ускорить процесс выздоровления больного и его возврат к активной жизни.
Советы
СОВЕТ №1
Обратите внимание на факторы риска. Патологические переломы могут возникать из-за остеопороза, опухолей или инфекций. Регулярно проходите медицинские обследования, особенно если у вас есть предрасположенность к этим заболеваниям.
СОВЕТ №2
Уделяйте внимание питанию. Убедитесь, что ваш рацион богат кальцием и витамином D, которые способствуют укреплению костей. Рассмотрите возможность добавления в меню молочных продуктов, зеленых листовых овощей и рыбы.
СОВЕТ №3
Не игнорируйте симптомы. Если вы испытываете постоянные боли в бедре или заметили изменения в подвижности, немедленно обратитесь к врачу. Ранняя диагностика может предотвратить серьезные последствия.
СОВЕТ №4
Следите за физической активностью. Регулярные упражнения, направленные на укрепление мышц и улучшение координации, могут помочь снизить риск падений и травм. Однако проконсультируйтесь с врачом перед началом новой программы тренировок.








