Ежегодно к медикам обращается огромное количество людей с переломом лодыжки вследствие спортивных и детских травм, хождения на высоких каблуках. Традиционно их количество увеличивается в периоды гололеда. Это объясняется анатомическим строением конечности, в результате которого именно лодыжка больше всего нагружается при ходьбе. Переломы бывают со смещением и без. В первом случае симптомы не выражены, что усложняет диагностику.
Общие сведения
Под лодыжкой, или щиколоткой подразумевают нижнюю выступающую часть голени. Она представляет собой два костных нароста, которые расположены соответственно возле наружной и внутренней части стопы. Медики выделяют два отдела в щиколотке:
- латеральный, наружный – часть малоберцовой кости;
- медиальный, внутренний – отросток большеберцовой кости.
Оба отдела формируют собой вилку голеностопа.
Обратите внимание
В медицинской практике различают перелом внутренней и наружной лодыжки.
Врачи отмечают, что перелом лодыжки может проявляться различными симптомами, включая сильную боль, отек, синяки и ограничение подвижности. При переломе со смещением наблюдается деформация сустава, что требует более сложного лечения. В таких случаях часто требуется хирургическое вмешательство для восстановления правильного положения костей. В отличие от этого, переломы без смещения могут быть успешно лечены консервативными методами, такими как иммобилизация с помощью гипса. Прогнозы зависят от тяжести травмы и своевременности обращения за медицинской помощью. В большинстве случаев, при правильном лечении, пациенты восстанавливаются полностью и могут вернуться к обычной активности в течение нескольких месяцев. Однако важно следовать рекомендациям врачей, чтобы избежать осложнений и повторных травм.

Причины
Послужить причиной перелома лодыжки может прямая или непрямая травма. В первом случае наносится удар по кости, например, вследствие ДТП, драки, падения предмета на конечность. Во втором – всему виной «подворачивание» ноги, которое и нарушило целостность кости. Чаще всего это происходит на ровной скользкой поверхности – на льду, кафельной плитке. Травмы случаются также во время катания на коньках, при беге на неудобной обуви.
Усугубляют ситуацию некоторые болезни и патологические состояния:
- нехватка кальция, вызванная неправильным питанием, приемом ОК, дефицитом витамина D3;
- болезни надпочечников, почек, акромегалия, нарушения работы пищеварительного тракта, щитовидной железы, которые ухудшают процесс усваивания кальция;
- пожилой и подростковый возраст, беременность и лактация, которые становятся причинами физиологической нехватки кальция;
- болезни костной системы либо болезни, которые влияют на костную систему – остеомиелит, остеопороз, артроз, артрит, новообразования костей, хондродисплазии, туберкулез, сифилис.
Симптомы перелома лодыжки
При переломах лодыжки появляются:
- Острая боль, которая усиливается при ходьбе. У одних людей она проявляется сразу же, мешая тем ступить на поврежденную ногу, у других – через какое-то время. Объясняется это их психоэмоциональными состояниями, например, когда у спортсменов вследствие победы в состязании в кровь выделяется огромное количество адреналина, притупляющего боль. При прощупывании травмированной области боль становится резкой, но множественные переломы способны спровоцировать болевой синдром.
- Отечность. Она приводит к увеличению щиколотки в объеме. При этом рельеф на этом участке конечности сглаживается, а в случае нажатия на него остается ямка. При условии получения тяжелых травм отек переходит на всю конечность.
- Кровоизлияния. Яркий признак переломов со смещением. Механизм его развития следующий: в области перелома появляется синяк, который впоследствии перетекает и на пятку, например, когда отломанные части кости повреждают мягкие ткани и сосуды.
- Крепитация и хруст. Некоторые пациенты могут при травмировании слышать хруст, а при дальнейшем прощупывании – крепитацию.
- Нарушение работы голеностопного сустава. Состояние затрудняет или делает невозможными нормальные движения. В такие моменты могут появляться аномальные движения стопой либо несвойственное ей положение.
Важно
Степень выраженности симптомов напрямую зависит от тяжести состояния. При этом имеют значение следующие факторы – наличие смещения, вывиха, растяжения связок, зона разлома кости.
Перелом лодыжки — это распространенная травма, которая может возникнуть как в результате падения, так и при спортивных нагрузках. Симптомы включают сильную боль, отек, синяки и затруднение в движении. При переломе со смещением наблюдается деформация, что требует более серьезного вмешательства. Лечение может варьироваться от консервативного — наложения гипса, до хирургического — установки металлических конструкций для восстановления правильного положения костей. Прогнозы зависят от тяжести травмы и соблюдения рекомендаций врача. В большинстве случаев, при правильном лечении, пациенты восстанавливаются полностью и возвращаются к активной жизни. Однако важно помнить о реабилитации, которая поможет избежать осложнений и укрепить суставы.

Виды
В зависимости от локализации повреждения медики выделяют:
- перелом медиальной лодыжки;
- перелом латеральной.
Такие переломы могут быть открытыми и закрытыми, на что указывает состояние кожных покровов. Расположение кусочков сломанной кости говорит о присутствии или отсутствии смещения.
Кроме того, травматолог обращает внимание на механизм травмы, диагностируя:
- пронационный перелом – когда имело место подворачивание стопы наружу;
- супинационный – при подворачивании стопы внутрь;
- ротационный – кода голень повернулась вокруг оси при неподвижной стопе.
Перелом лодыжки со смещением и без, другие типы
В медицинской практике самыми частыми диагнозами являются:
- перелом наружной лодыжки;
- внутренней лодыжки;
- перелом лодыжки со смещением;
- перелом лодыжки без смещения.
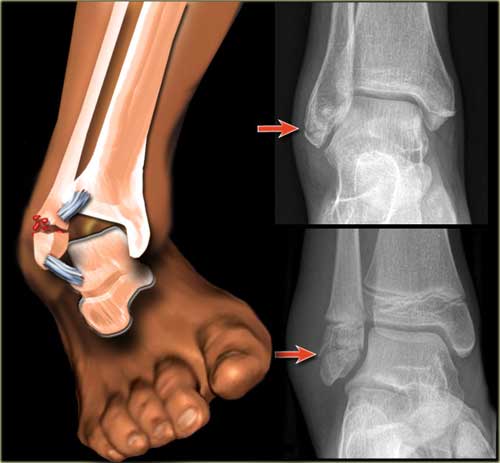
Перелом наружной лодыжки влечет за собой повреждение малоберцовой кости, в результате которого симптомы травмы могут ощущаться не в полной мере. Объясняется это тем, что эта кость не берет на себя большие нагрузки и крепится к большеберцовой. Наиболее яркий признак в таких случаях – отек голеностопа.
Обратите внимание
Из-за отсутствия других симптомов пациенты часто отказываются от диагностики и лечения. В итоге, в последнюю очередь выявляются повреждения малоберцового нерва и другие последствия травмы.
Перелом внутренней лодыжки влечет за собой и нарушение целостности большеберцовой кости. При этом травматологи выделяют:
- Прямой перелом, или пронационный, когда стопа подворачивается наружу, а дельтовидная связка растягивается.
- Косой – наблюдается также супинация стопы, а над пяточной костью откалывается кусочек внутренней лодыжки.
Бывают случаи, когда нарушается целостность внутренней и наружной лодыжек. Тогда диагностируется краевой перелом – одна из самых тяжелых травм, которая требует длительного лечения и длительного периода реабилитации.
Перелом со смещением диагностируется проще всего, так как боль в этом случае ярко выражена и не утихает даже после приема обезболивающих средств. Дополняется картина выраженным отеком, крепитацией. Смещение отломанных фрагментов делает такой перелом открытым, так как их острые края повреждают кожные покровы. Чаще всего такие травмы получают спортсмены, парашютисты при падении с высоты.
Переломы без смещения бывают косыми или поперечными. Им не присущи ярко выраженные признаки, в результате чего пострадавшие могут даже не знать об их существовании. В такие моменты может возникать терпимая боль и припухлость около голеностопа, которые не мешают при ходьбе. Принимая их за вывих, пациенты отказываются от медицинской помощи, что нередко лишь усугубляет ситуацию.

Первая помощь при переломе лодыжки
Любой из признаков перелома лодыжки – это повод для немедленного обращения к врачу. До этого пострадавшему рекомендуется оказать доврачебную помощь.
Обратите внимание
Чтобы исключить риск развития осложнений, лучше вызвать бригаду скорой помощи, которая и доставит пациента в больницу.
Первая помощь при переломе щиколотки включает:
- Освобождение травмированной конечности от сдавливающих ее предметов. Имеются в виду плиты на строительстве или части автомобиля при ДТП. На этом этапе рекомендуется унести человека подальше от места аварии и успокоить.
- Исключение ситуаций, при которых пострадавшему необходимо будет наступать на поврежденную конечность.
- Вызов «Скорой».
- Освобождение конечности от одежды и обуви.
- Обеспечение максимально комфортного положения для пострадавшей ноги. В этом случае ее рекомендуется приподнять, подложив под нее валик из одежды, других мягких подручных средств.
- Прием травмированным обезболивающего препарата – Ибуфена, Анальгина, Кеторола и т. д. Дополнительно рекомендуется сделать укол анальгетика внутримышечно.
- Обработку раны антисептиком и наложение стерильной повязки, если имеет место открытый перелом.
- Наложение жгута выше поврежденной артерии (при артериальном кровотечении) с запиской с указанным временем проведения манипуляции. При этом каждые 20 минут жгут необходимо ослаблять на 20 секунд, отображая действия с точным указанием времени в записке.
- Охлаждение поврежденной области с помощью льда, который убирают на 2 минуты каждые 15 – 20 минут во избежание обморожения.
- Обездвиживание ноги с помощью лыж, досок, веника и других подручных средств, которые смогут выполнять функцию шин. В крайнем случае, можно зафиксировать больную ногу рядом со здоровой. Главное, перед наложением шины покрыть конечность чистой мягкой тканью, которая исключит риск натирания кожи. Ногу рекомендуется немного согнуть в колене, подтянув пятку таким образом, чтобы между стопой и голенью получился прямой угол. Части шины прикладывают с наружной и внутренней стороны щиколотки, фиксируя их бинтом или тканью.
- Обездвиживание ноги перед транспортировкой, чтобы исключить риск развития осложнений.
Важно
Ошибки во время оказания доврачебной помощи влекут за собой негативные последствия для пострадавшего, а также увеличение длительности периода лечения и реабилитации.
Возможные осложнения:
- смещение отколотых частей кости;
- усиление кровотечения;
- переход закрытого перелома в открытый;
- вывих или подвывих стопы;
- болевой или травматический шок;
- повреждение нервов, сосудов.
Диагностика
Как правило, постановка предварительного диагноза возможна после осмотра и опроса пациента. Между тем, дополнительно врач рекомендует пройти рентгенографию в трех проекциях:
- прямой – выполняется в положении лежа на спине с ногой, согнутой в колене;
- косой – лежа на здоровом боку с ногами, согнутыми в коленях, между которыми укладывается подушка;
- боковой – лежа на больном боку с согнутыми в коленях конечностями, когда поврежденная укладывается впереди.
Рентгенография также выполняется на всех этапах лечения и реабилитации для контроля их качества.
При необходимости возможны и другие методы диагностики:
- УЗИ голеностопа;
- МРТ;
- КТ.
Лечение при переломе лодыжки
Терапия при переломе лодыжки может быть консервативной или с хирургическим вмешательством. Все определяется тяжестью ситуации.
Консервативное лечение
Консервативные методы лечения возможны, когда диагностированы:
- закрытый перелом без смещения;
- минимальное повреждение связок;
- перелом со смещением, при котором возможна одномоментная закрытая репозиция.
Обратите внимание
Консервативное лечение показано и в случаях, когда у пациента имеются противопоказания к проведению хирургической операции, будь то сахарный диабет, пожилой возраст, болезни сердца и нервной системы.
Закрытый перелом без смещения – повод для наложения иммобилизирующей гипсовой повязки на заднюю часть голени и стопу. Чтобы исключить риск смещения отломков кости после наложения гипса пострадавшему назначают рентгенографию. Впоследствии ему запрещают ступать на больную ногу, рекомендуя при ходьбе использовать костыли.
Стоит отметить, что такая повязка при переломах щиколотки накладывается не всегда. В отдельных случаях ее могут сменять пластмассовыми или металлическими бандажами-иммобилизаторами. Срок ношения повязки зависит от тяжести состояния и колеблется в пределах 4 – 8 недель. Снимают ее только после проведения контрольного снимка.
Если имел место перелом со смещением, перед накладыванием гипса проводят закрытую ручную репозицию – сопоставляют отломки. Перед манипуляциями делают наркоз или анестезию. Затем нога сгибается в колене и в бедре под прямым углом. Одной рукой хирург берет пятку и голеностоп спереди, а другой – голень снизу, сзади и по бокам, в результате чего создается противотяга.
Таким образом, врач возвращает стопу в нормальное положение и накладывает иммобилизирующую повязку. Срок ношения гипса в этом случае определяется индивидуально.
Хирургическое вмешательство
Операции выполняют при:
- переломах обеих лодыжек;
- открытых переломах;
- сложных травмах;
- разломе больше- и малоберцовой кости более чем на треть;
- сложных разрывах связок;
- застарелых переломах.
Хирургическое вмешательство позволяет:
- остановить кровоизлияние и обработать рану;
- вернуть былую форму поврежденной кости;
- зафиксировать отломки кости;
- провести открытую репозицию отломков;
- восстановить связки;
- восстановить работу голеностопа, стопы.
Тип операции зависит от характера повреждения. Хирург может:
- скреплять межберцовое соединение, если имели место переломы медиальной лодыжки и малоберцовой кости. В таком случае через мало- и большеберцовую кость фиксируется болт под углом от латеральной лодыжки. С помощью сверла делают каналы для введения приспособлений.
- Выполнять остеосинтез медиальной лодыжки, если диагностированы супинационные переломы. В таком случае под прямым углом вводится двухлопастной гвоздь, фиксирующий медиальную лодыжку. Латеральная закрепляется штифтом, а отломки – винтами.
- Выполнять остеосинтез латеральной лодыжки при пронационных переломах. В таких случаях вдоль оси малоберцовой кости через латеральную лодыжку проводят штифт, а медиальную фиксируют гвоздем.
- Выполнять остеосинтез фрагментов большеберцовой кости, если имеются ее переломы по заднему отделу нижнего конца. Для скрепления используют длинный шуруп.
Впоследствии на конечность накладывают гипс таким образом, чтобы оставить доступ к ране. По окончании операции и во время реабилитации качество сращения костей контролируют посредством проведения рентгенографии.
Реабилитация после перелома лодыжки
После терапии пациентам рекомендуют:
- кальциевую диету;
- массаж;
- лечебную физкультуру;
- УФО, теплые ванночки, грязевые аппликации, магнитотерапию, электрофорез с препаратами кальция и другие физиотерапевтические процедуры.
После операции пострадавшим разрешают передвигаться на костылях только через 3 – 4 недели, а носить иммобилизирующую повязку им рекомендуют еще на протяжении 8 – 12 недель. После снятия гипса голеностоп советуют еще какое-то время бинтовать эластичным бинтом.
Обратите внимание
Металлические приспособления для фиксации фрагментов кости удаляют через 4 – 6 месяцев в момент проведения повторной операции, хотя это не касается изделий из титана, которые могут оставаться в теле долгие годы.
Через неделю после снятия гипса пациента направляют на лечебную гимнастику, позволяющую разработать сустав. Первые занятия проходят с применением теплой ванны с морской солью, так как она снимает отек, полученный при ношении гипса.
Нагрузка увеличивается постепенно, а комплекс упражнений разрабатывается специалистом индивидуально для каждого пациента. Обычно он включает движения голеностопа, катание мячика по полу, удерживание предметов пальцами ноги, ходьбу на пятках, плавание, катание на велосипеде. Кроме того, пострадавшему рекомендуют приобретать обувь с ортопедической стелькой.
Массаж помогает восстановить функционирование нервов и сосудов. При его выполнении специалист может использовать обезболивающие гели для устранения дискомфорта. Физиотерапевтические процедуры ускоряют процесс реабилитации.
Если все рекомендации медиков соблюдаются, прогноз лечения благоприятный.
Перелом лодыжки – распространенная и опасная травма, которая требует длительного периода лечения и реабилитации. В случае игнорирования советов врачей состояние отягощается осложнениями, которые могут привести к неправильному сращению костей, плоскостопию, хромоте.
Чумаченко Ольга, врач, медицинский обозреватель
Вопрос-ответ
Сколько срастается перелом лодыжки со смещением?
При переломе со смещением необходимо минимум полгода. Разрабатывать ногу без костылей можно начинать через 3 месяца после перелома. Вопрос о возврате к привычному образу жизни решается индивидуально.
Можно ли обойтись без операции при переломе лодыжки со смещением?
Нередки случаи, когда при переломе лодыжки происходит смещение костей. В этом случае без операции не обойтись, поэтому для скорейшего восстановления и профилактики неправильного сращения костных отломков прибегают к остеосинтезу.
Как лечить перелом лодыжки со смещением?
Если перелом лодыжки без смещения, то достаточно наложить гипс. Если перелом со смещением, то необходимо провести зафиксировать перелом с помощью металлоконструкции.
Сколько по времени срастается перелом со смещением?
На сращение крупных тазовых костей может потребоваться от пяти месяцев до полугода и более. В пожилом возрасте перелом со смещением лодыжки, голени, ребер и других костей заживает примерно в полтора раза дольше.
Советы
СОВЕТ №1
При подозрении на перелом лодыжки, немедленно обратитесь к врачу. Даже если симптомы кажутся незначительными, важно провести рентгенографию для точной диагностики и исключения серьезных повреждений.
СОВЕТ №2
Следите за симптомами, такими как сильная боль, отек, синяки и невозможность наступить на ногу. Эти признаки могут указывать на необходимость срочной медицинской помощи и могут повлиять на дальнейшее лечение.
СОВЕТ №3
После получения медицинской помощи и назначения лечения, строго следуйте рекомендациям врача. Это включает в себя соблюдение режима покоя, использование фиксирующих повязок и, при необходимости, реабилитацию для восстановления функции ноги.
СОВЕТ №4
Не забывайте о профилактике. Укрепляйте мышцы и связки ног с помощью специальных упражнений, чтобы снизить риск повторных травм в будущем. Также избегайте небезопасных условий, которые могут привести к падениям и травмам.








