После родов женщина думает только о новорожденном, не обращая внимание на свое состояние. О роженице беспокоятся сотрудники роддома. Женщина даже не задумывается о том, когда нужно делать УЗИ. За нее решают опытные специалисты.
Когда лучше делать ультразвуковую диагностику в послеродовом периоде определяют врачи зависимо от течения процесса рождения малыша, самочувствия пациентки, вида родов (естественные, кесарево сечение).
Инволюция детородных органов
Во время послеродового периода в женском организме наблюдается процесс инволюции (обратного развития) всех систем, органов, которые изменились за период беременности. Это изменение начинается с того момента, когда отпадет плацента. Оно займет около 6 недель. После рождения малыша наблюдается сокращение матки под влиянием послеродовых схваток.
После рождения малыша происходит уменьшение размеров матки, дно которой располагается в это время на уровне пупка. Дно опускается с каждым днем все ниже. Так ко второму дню она расположена немного ниже пупка, к 4-му дню – между лоном, пупком, к 8 – 9 дню – немного выше лона. Через некоторое время она займет свое место, которое соответствует норме.
К этому времени форма матки должна измениться. Она приобретает в норме такие формы:
- Шарообразная – к 3-м суткам;
- Овальная – к 5-м суткам;
- Грушевидная – к 7-м суткам.
Также наблюдается к этому периоду выделение из половых путей, которые называют лохиями. Они меняют свой цвет начиная с первого дня после родов:
- Ярко-красные – во 2 – 3 день;
- Бледные – с 3-го дня;
- Желтоватые – с 5-го дня.
Выделения по прошествии недели становятся такими же, как и прежде, до начала беременности.
Что может обнаружить УЗИ?
- Иногда отмечаются отклонения размеров матки от нормы. Большие размеры этого органа указывают на наличие субинволюции, что проявляется в замедленном обратном развитии. Ультразвуковая диагностика способствует определению причины отклонения от установленной нормы, назначению специального лечения.
- Послеродовой эндометрит. Посредством ультразвуковых волн обнаруживается снижение тонуса матки, скопление в ней газов, расширение полости. Лечение необходимо начинать немедленно.
- Послеродовое кровотечение. Чтобы обнаружить внезапные кровотечения необходимо проводить диагностику на 2-е – 3-е сутки после родов. УЗИ в профилактических целях способствует своевременному обнаружению остатков плацентарной ткани, плодных оболочек в маточной полости.
Если во время выполнения первого ультразвукового исследования специалист обнаружил какие-либо патологические изменения в маточной структуре, ее состоянии появляется необходимость в повторной диагностике.
Второе УЗИ делают для оценки результатов предпринятой терапии.
Назначение УЗИ процедур после естественных родов
УЗИ после родов необходимо для выполнения обследования женской репродуктивной системы. Врач имеет возможность обнаружить всевозможные осложнения и предпринять меры для их своевременного лечения.
Когда состояние рожавшей нормальное в послеродовом периоде, УЗИ назначают только ко вторым-третьим суткам. В норме используют трансабдоминальный метод. Он более удобный в послеродовом периоде.
Ведь обследовать большую по размерам матку изнутри посредством влагалищного датчика довольно-таки сложно. Трансвагинальную диагностику назначает специалист в том случае, когда необходимо тщательно осмотреть шейку.
Посредством ультразвука оценивают полость матки, ее состояние. Она должна быть щелевидной, слегка расширенной. Внутри нее находится незначительное количество крови, кровяных сгустков, которые локализируются в верхней части органа. Это содержимое опуститься к низу на 5-е – 7-е сутки.
Специалист в процессе выполнения обследования замечает различные изменения полости матки:
- Чрезмерное расширение органа;
- Присутствие остатков плацентарной ткани;
- Наличие плодных оболочек;
- Большое количество крови, сгустков.
Такая подробная диагностика поможет врачу предотвратить у рожавшей различных серьезных осложнений, которые могут встречаться в послеродовом периоде. При ультразвуковой диагностике обязательной оценке подлежит размер матки. Полученный после диагностики результат специалист сравнивает с показателями нормативной таблицы. Ниже мы приведем пример инволюции матки в норме.
Блог счастливого человека
Автономный рак тела матки чаще представлен малодифференцированными и недифференцированными опухолями. При раке тела матки применяют внешнее и внутреннее облучение.

Среди злокачественных новообразований у женщин данная патология занимает второе место, уступая лишь раку молочной железы.
Согласно статистическим данным, сегодня раком эндометрия в течение жизни заболевает около 2-3% женщин.
Матка представляет собой непарный орган женской половой системы, ответственный за вынашивание и рождение ребенка. Автономный рак эндометрия встречается менее чем в 30% случаев заболеваний.
Как правило, раньше всего появляются метастазы рака тела матки в лимфатических узлах. Дело в том, что лимфоузлы представляют собой своеобразные фильтры, через которые проходит межтканевая жидкость.
Основными симптомами рака тела являются маточные кровотечения, бели и болевой синдром.
Бели Эти выделения характеризуют, другой характерный симптом рака тела матки, который чаще всего появляется уже при значительных размерах первичной опухоли.
Накопление белей в полости матки вызывает тянущие боли внизу живота, напоминающие болевой синдром при менструациях. Гнойные выделения При стенозе шейки матки может произойти нагноение белей с образованием пиометры (скопление гноя в полости матки).
В таких случаях развивается характерная картина (боли распирающего характера, повышение температуры тела с ознобом, ухудшение общего состояния пациентки).
Такой осмотр позволяет исключить наличие злокачественных новообразований шейки матки и влагалища, которые нередко имеют сходные симптомы (мажущие выделения, бели, ноющие боли внизу живота).
Как проводится лучевая терапия при раке тела матки?
Гистероскопия В список обязательных исследований при подозрении на рак тела матки входит гистероскопия с прицельной биопсией. При помощи эндоскопа врач осматривает внутреннюю поверхность матки и производит забор ткани опухоли на гистологическое исследование.
Все пациентки с подозрением на рак тела матки проходят общее исследование организма, для получения сведений о противопоказаниях к проведению того или иного метода лечения злокачественной опухоли.
Хирургический метод является основным при лечении рака тела матки на ранних стадиях развития, исключение составляют случаи тяжелой сопутствующей патологии, когда такое вмешательство противопоказано.
Методика операции О классической или открытой абдоминальной гистерэктомии говорят в тех случаях, когда хирург получает доступ к матке путем вскрытия брюшной полости в нижнем отделе живота.
Абдоминальный доступ позволяет провести хирургические вмешательства разного объема (от надвлагалищной ампутации матки до тотальной гистерэктомии с удалением придатков матки и лимфатических узлов).
Как правило, гормонозависимые злокачественные опухоли эндометрия имеют высокую дифференцировку, поэтому характеризуются медленным ростом и относительно низкой склонностью к метастазированию. Нередко встречается первично множественное развитие злокачественных опухолей (в яичниках, в молочной железе, в прямой кишке).
Рак тела матки начинает распространяться гематогенно, когда опухоль прорастает в кровеносные сосуды органа.
В отличие от других консервативных методов лечения рака тела матки, гормонотерапия, как правило, хорошо переносится.
Согласно статистическим данным, около 13% пациенток, страдающих раком тела матки, имеют противопоказания к проведению операции.
Матка после родов
Женский организм приходит в норму после родов не сразу: работа всех систем и органов восстанавливается постепенно на протяжении нескольких месяцев.
Больше всех “достается” матке, которая “растет” вместе с малышом (этот орган может увеличиваться больше, чем в 500 раз), поэтому она травмируется более всего.
Для восстановления матки после родов необходимы правильный уход, время, а также контроль гинеколога.
Постепенно сокращаться матка начинает после рождения ребенка и этот процесс сугубо индивидуален для каждой женщины, поскольку каждому организму нужно “свое” время на восстановление.
Что представляет собой матка после родов?
Изнутри матка после родов похожа на огромную рану, которая максимально повреждена в месте прикрепления плаценты. К тому же, на внутренней ее поверхности остаются сгустки крови и остатки плодной оболочки. Полость матки в норме должна очиститься на протяжении первых 3-х дней после родов.
Матка после родов растягивается и увеличивается в объеме. Из нее выделяются лохии (послеродовые выделения), кровянистые в первые дни, более светлые к 4-му дню, к окончанию 3-й послеродовой недели они становятся все более жидкими и светлыми и проходят совсем на 6-й неделе.
Дно матки после родов располагается ниже пупка на 4-5 см и, как и верхняя ее часть, имеет наибольшую толщину.
Сколько времени занимает сокращение матки после родов?
Обычно для этого процесса нужно 1,5-2,5 месяца, при этом наиболее активный он на протяжении первых послеродовых дней.
К примеру, диаметр маточного зева сразу же после родов составляет приблизительно 12 см, вследствие чего гинеколог может ввести руку в матку с целью удаления остатков последа.
Но уже к окончанию первых двух суток этот “вход” постепенно сужается в силу чего в матку можно ввести уже только 2 пальца и 1 — на третьи сутки.
Полное закрытие наружного маточного зева происходит примерно к 3-й неделе.
Вес матки после родов составляет 1 кг. На 7-й день она весит уже около 500 гр, на 21-й — 350 гр и уже ближе к окончанию послеродового периода матка возвращается к своему дородовому размеру (приблизительный вес 50 гр).
В процессе сокращения матки после родов женщины чувствуют небольшие схваткообразные боли внизу живота, которые более интенсивны и выражены после повторных родов.
Если данные сокращения сопровождаются сильными болями, в первую очередь нужно проконсультироваться с врачом, после чего он сможет выписать необходимое спазмолитическое или обезболивающее средство для уменьшения боли.
Но при возможности лучше все перетерпеть и обойтись без лекарств.
Атония и гипотония матки после родов
К сожалению, не у всех рожениц матка после родов сокращается. Это состояние называют атонией матки (проще говоря — это прямое следствие утомления ее мышц), вследствие чего она не сокращается и возникает маточное кровотечение. Атония чаще всего встречается у повторнородящих женщин, также при рождении крупного плода, при многоводии или при многоплодии.
Сгустки в матке после родов – норма или патология?
Восстановительный процесс после родов длительный и требует от женщины внимательного отношения к своему здоровью. В это время матку покидают частички эндометрия и плодных оболочек. Нарушение такого процесса самоочищения приводит к тому, что образуются кровяные сгустки в матке после родов.
Что происходит с маткой после родов?
Процесс восстановления детородного органа после появления малыша на свет гинекологи именуют как субинволюция матки после родов.
В это время орган, постепенно сокращаясь, возвращается к своим привычным размерам, восстанавливается его эндометриальный слой.
Максимально выраженный процесс сокращения матки отмечается в первые дни после родоразрешения. За это время орган теряет примерно половину своего веса.
Постепенно закрывается и шейка матки вместе с зевом. Так, после рождения малыша в первые сутки диаметр шеечного канала достигает 10–12 см, что позволяет провести ручное обследование. В процессе этой манипуляции врач извлекает все остатки последа. К концу первых суток после родов проходимость шеечного канала уменьшается до двух пальцев, а к третьему дню орган пропускает только один палец.
Матка после родов – восстановление
Практически сразу по окончании родоразрешения матка начинает подготовку к процессу восстановления. Орган активно сокращается и уменьшается в размерах. Данный процесс имеет некоторые индивидуальные особенности, поэтому врачи никогда не говорят, как долго сокращается матка после родов.
На данный процесс оказывают непосредственное влияние следующие факторы:
- активная лактация (при грудном вскармливании с первых дней матка сокращается быстрее);
- возраст матери;
- количество родов в анамнезе (у первородящих процесс инволюции часто затягивается);
- общее состояние и наличие хронических патологий.
Если говорить о средних показателях, то весь процесс восстановления матки занимает 1,5–2 месяца. За это время орган возвращается к прежним своим размерам, происходит полное обновление внутреннего слоя, эндометрия. У некоторых женщин (преимущественно у тех, кто не кормит малыша грудью) к этому времени могут восстанавливаться месячные выделения.
Покидающие полость матки выделения кровянистого характера в послеродовом периоде принято называть лохиями. В норме образующиеся сгустки в матке и частички повреждённых тканей покидают орган на протяжении 6–8 недель. При этом отмечается постепенное уменьшение объема и характера подобных выделений.
Так, в первые сутки они по консистенции и окраске напоминают месячные, а к третьему дню становятся серозно-сукровичными. К окончанию 3-й недели после рождения малыша лохии становятся светлыми и жидкими, лишь изредка имеют розоватый оттенок. Постепенно их объем уменьшается, и вскоре женщина фиксирует полное их отсутствие.
Сколько длятся выделения после естественных родов?
В норме выделения после естественных родов прекращаются к концу 6-й недели. За это время детородный орган полностью восстанавливается и очищается. Однако некоторые женщины могут замечать лохии в небольшом объеме вплоть до восьми недель с момента родов. Подобное чаще фиксируется в следующих случаях:
Сколько времени идут выделения после кесарева сечения?
Густые, кровяные выделения после появления на свет малыша фиксируют женщины, родившие путем кесарева. При данном методе родоразрешения врачи нарушают целостность детородного органа и извлекают малыша, плодный пузырь и пуповину. После этого матку ушивают. В результате таких действий матка теряет свою сократимость из-за наличия на ее поверхности швов.
Все это напрямую отражается на продолжительности лохий. Как показывают наблюдения опытных гинекологов, послеродовые выделения у таких женщин могут наблюдаться на протяжении двух месяцев с момента появления ребенка. Если по прошествии указанного времени лохии не прекращаются, необходимо сообщить об этом врачу.
Сгустки после родов в матке остаются по причине снижения ее сократимости. Гинекологи, рассматривая возможные причины уменьшения сократительной активности детородного органа, выделяют ряд факторов, оказывающих влияние на этот процесс:
- особенности течения беременности и родов;
- количество предыдущих родоразрешений у женщины;
- тип крепления плаценты и ее расположение;
- вес плода;
- общее состояние здоровья женщины.
К примеру, когда беременная вынашивала двойню, при этом на позднем сроке был гестоз, а плацента крепилась близко у маточного зева, сокращение матки происходит медленными темпами. Кроме того, отсутствие сокращения, приводящее к тому, что образуются сгустки в матке после родов, может быть обусловлено следующими причинами:
- многоводие;
- загиб матки;
- воспалительные процессы в малом тазу;
- фиброма матки;
- нарушение работы свертывающей системы крови.
Чем опасны сгустки в матке после родов?
Оставшаяся кровь в матке представляет собой опасность не только для репродуктивной системы, но и для женского организма. Сгустки крови в матке после родов быстро начинают подвергаться гниению. В результате развивается воспалительный процесс, который с течением времени может распространяться далеко за пределы малого таза.
Среди возможных осложнений такого явления:
- эндометрит;
- сальпингит;
- оофорит;
- цервицит;
- цистит.
Сгустки в матке после родов – что делать?
Чтобы вовремя выявить в матке сгустки крови после родов, женщине необходимо внимательно относиться к своему здоровью и самочувствию. Когда лохии спустя 2 месяца не прекращаются, а, напротив, увеличиваются в объеме, сопровождаются болезненными ощущениями, необходимо посетить гинеколога.
В ходе осмотра врач осмотрит родовые пути, матку, назначит дополнительные обследования:
- анализ крови (общий и на гормоны);
- мазки из уретры и влагалища (для исключения инфицирования);
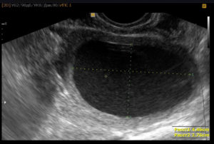
- УЗИ матки и органов малого таза.
Если у врача имеются подозрения, что после родов в матке остались сгустки крови, он назначает женщине УЗИ. В ходе этой процедуры специалисты внимательно осматривают полость матки, при этом оценивая и общие размеры органа, которые указывают на степень сокращения матки. Чаще при проведении обследования используют трансабдоминальный доступ (датчик помещают на переднюю брюшную стенку).
Отдельно оценивают состояние полости матки. В норме на 2–3-е сутки она должна быть щелевидной или незначительно расширена за счет небольшого количества крови, которая находится в верхней ее части. Смещение кровяных сгустков в нижние отделы происходит на 5–7-е сутки.
Среди возможных отклонений от нормы, указывающих на сгустки в матке после недавних родов:
- чрезмерное расширение полости;
- наличие остатков плацентарной ткани;
- большое скопление крови.
Что делать, чтобы вышли сгустки после родов?
Обнаружив у женщины сгустки в матке после родов, как избавиться от них, какие действия предпринять – врачи определяют индивидуально. Все зависит от количества данных формирований и состояния здоровья самой женщины.
Первоначально врачи могут попробовать выгнать сгустки с помощью медикаментов. С этой целью назначают окситоцин, который вводят внутривенно.
Гормон повышает сократимость, что помогает органу самоочищаться: образовавшиеся сгустки в матке после родов покидают ее.
Женщина также может помочь матке избавиться от сгустков. Для этого врачи рекомендуют ей соблюдать следующие правила:
- Тщательная гигиена половых органов – частые подмывания и использование гигиенических прокладок снижают риск инфицирования матки.
- Грелка с прохладной водой на низ живота в первые сутки после родов снижает кровопотерю и улучшает сократимость матки.
- По несколько раз в день ложиться на живот на полчаса – это помогает внутренним органам принять свое правильное положение.
- Не стоит отказываться от грудного вскармливания, если нет противопоказаний врачей.
Когда стимуляция гормонами не помогла избавиться от кровяных сгустков, проводится чистка матки после родов:
- Манипуляция осуществляется путем хирургического выскабливания с помощью каретки.
- Врач очищает маточную полость от эндометрия, удаляя вместе с ним и обнаруженные сгустки.
- Чистка может производиться и методом аспирации, когда с помощью специального прибора, работающего по принципу пылесоса, удаляют все имеющиеся в полости сгустки и остатки плодных оболочек. Проводится под анестезией.
| Когда можно принимать ванну после родов, и как это правильно делать? Когда можно принимать ванну после родов, сколько времени должно продолжаться купание, разрешается ли использовать соль – частые вопросы женщин, недавно родивших малыша. Чтобы не навредить своему здоровью, мама должна соблюдать ряд условий. | Гематометра после родов – почему возникает, и как устранить застой крови? Гематометра после родов возникает в 1–3 % случаев. Данное осложнение послеродового периода обусловлено особенностями строения матки, врождёнными аномалиями. Важно вовремя обнаружить патологию, чтобы не допустить инфицирования детородного органа. |
| Секс после родов долго находится под запретом. Половой системе женщины необходимо время для восстановления. Чтобы не навредить своему здоровью, исключить осложнения и восстановить сексуальные отношения, важно соблюдать ряд правил. | Пупочная грыжа у женщин – одно из последствий родов. Непосредственно после родоразрешения происходит ослабление передней брюшной стенки, что способствует развитию патологии. Лечение проводится хирургическим путем, поэтому требует подготовки. |
УЗИ после родов
Послеродовый период – это отрезок времени, в течение которого у родившей женщины происходит обратное развитие (инволюция) тех органов и систем, которые подвергались изменениям в связи с беременностью и родами. Обычно этот период с учетом индивидуальных особенностей начинается сразу после отделения плаценты и продолжается до 6 недель.
Сразу после рождения последа матка значительно уменьшается в размерах. Ее дно (верхняя часть) в этот момент находится на уровне пупка. На следующий день после родов дно матки несколько опускается и находится чуть ниже пупка.
На 4-е сутки оно уже определяется посередине между пупком и лоном. На 8–9-й день дно матки еще можно нащупать на уровне лона или чуть выше него. Важным показателем является изменение формы матки.
На 3-и сутки после родов она шарообразная, к 5-м – овальная и к 7-му дню приобретает грушевидную форму, как и до беременности.
Узи после естественных родов
В большинстве случаев физиологические роды протекают весьма благополучно как для роженицы, так и для ребенка. Поэтому если во время родоразрешения не было никаких осложнений, серьезных травм или кровотечений, то Узи после родов назначается в роддоме только на вторые-третьи сутки для того, чтобы оценить размер матки, ее тонус и темп инволюции.
Цели такой ультрасонографии:
- оценка истинных размеров матки и ее тонуса;
- исключение наличия в полости матки остатков плодных оболочек, плаценты и большого количества кровяных сгустков;
- ранняя диагностика внутриматочных кровотечений и воспаления эндометрия.
С помощью УЗИ можно с точностью определить размеры органов, наличие воспалительных процессов, а также многих других заболеваний мочеполовой системы. За час до проведения УЗИ необходимо выпить 1–1,5 л жидкости для заполнения мочевого пузыря.
Это нужно для повышения информативности обследования — поднятия заполненных воздухом петель кишечника. А ультразвук проходит лучше через жидкость, нежели через воздух. Существует два типа сканирования — трансвагинальное введением датчика через влагалище и трансабдоминальное через переднюю брюшную стенку.
Трансвагинальное обследование более информативно, так как вводимый датчик «осматривает» органы и ткани непосредственно, не имея в качестве преграды кожу, мышечные волокна с жировой тканью и мочевой пузырь. Совместное использование обоих способов дает очень четкую картину размеров и состояния матки, шейки, маточных труб при заполнении их жидкостью и яичников.
Обязательно уз-обследование после кесарева сечения, так как на 3–5 день после операции инволюция матки резко замедляется и под послеоперационные боли часто маскируется воспаление.
Диагностика после кесарева проводится как трансабдоминально, так и вагинально и по тем же параметрам, что и после естественных родов. Но дополнительно еще проверяется состояние послеоперационных швов, а впоследствии рубца.
| День | Показатели | ||||
| Длина, мм | Ширина, мм | Переднезадний размер, мм | Длина полости, мм | Ширина полости, мм | |
| 2 | 137-145 | 94-98 | 69-73 | 50-54 | 70-73 |
| 4 | 116-126 | 110-120 | 66-70 | 90-94 | 41-47 |
| 6 | 116-126 | 100-105 | 65-69 | 74-78 | 41-47 |
| 8 | 94-98 | 95-97 | 61-64 | 70-73 | 30-33 |
Как изменяется матка после родов
Сразу после рождения малыша вес матки находится в пределах 1 000 – 1 200 г. Длина этого органа равна 15 – 20 см, она измеряется от наружного зева до ее дна.
Во время беременности матка существенно увеличивает свои размеры — ее объем возрастает в 500 раз и более — с 5 мл до 5 л, а вес в 20 раз — с 50 г почти до 1 кг. Сократившаяся после родов матка имеет грушевидную форму и следующие размеры: ширина 5 см, длина 9 см и толщина 3–5 см.
Как и за сколько сокращается матка после родов? Наиболее активно она сокращается в первые дни. В этот период она теряет практически половину объема. Сразу по рождении последа (плаценты и плодных оболочек) длина матки составляет 20 см, а ширина 10–15 см, находится на уровне пупка, присуща ей шарообразная форма.
Путем сокращений, которые ощущаются как тянущие боли внизу живота, напоминающие менее интенсивные родовые схватки, матка уменьшает свои размеры и постепенно опускается. Норма — спуск к лобку примерно 1–2 см в сутки.
Уровень инволюции матки определяется высотой стояния дна. Норма веса матки у женщины составляет 50 – 70 г. К этому весу она должна вернуться через некоторое время после беременности.
При кесаревом сечении скорость восстановления матки ниже, чем при естественных родах.
Также сократительная способность органа ниже, если матка недоразвита, перерастянута из-за многоводия, многоплодной беременности или крупного плода, имеются на
На второй день после родов дно матки должно находиться на высоте 12–15 см от лобка и сам орган иметь шарообразную форму, через неделю 9–10 см, через 10 дней на уровне лонного сочленения или 5–6 см от лобка и имеет грушевидную форму, а через 6–8 недель соответствует уровню и размерам небеременной матки.
Узи после кесарева сечения
На сегодняшний день кесарево сечение является единственным верным выходом при большинстве патологий во время беременности, а также индивидуальным желанием некоторых женщин. Однако многие из них боятся рубца на матке после операции, который может ее деформировать и замедлять инволюцию.
После кесарева сечения раннее УЗИ проводится только по показаниям:
- Появление массивных кровянистых выделений из половых путей.
- Гипертермический синдром.
- Болезненность, резкое покраснение и выраженная отечность послеоперационного рубца.
- Длительные и интенсивные болезненные ощущения в нижней части живота.
- Появление патологических белей, имеющих неприятный запах и желтовато-зеленый цвет.
Показания для проведения узи
При выписке из роддома обследование должна пройти каждая роженица. Осмотр внутренних органов очень важен для исключения послеродовых осложнений. Также данное обследование могут назначать через некоторое время после выписки. Направление на УЗИ выдается специалистом после осмотра пациентки, ознакомления с ее жалобами.
Ультразвуковую диагностику необходимо провести срочно в таких случаях:
- Возникновение усиленного кровотечения;
- Болезненность шва, наложенного в результате операции;
- Повышение температуры;
- Выделение из шва жидкости;
- Появление выделений с неприятным запахом;
- Припухлость, краснота послеоперационного шва.
Показанием для срочного выполнения ультразвуковой диагностики является появление кровяных выделений. Их наличие может свидетельствовать об образовании в маточной полости плацентарного полипа. Он представляет собой вырост из плацентарной ткани, образующийся на стенке матки.
Когда делать УЗ-сканирование после родов
В настоящее время проведение контрольного УЗИ практикуют всем роженицам перед выпиской из роддома, т.е. на 2–4 день после родов. Если выявлены осложнения, то после устранения причин, их вызвавших, назначается повторное ультразвуковое обследование.
ем, у кого наблюдались послеродовые осложнения, рекомендуется для контроля пройти УЗИ через 5–8 дней после выписки.Если ничто не беспокоит, то после окончания выделения лохий, т.е. когда пройдет 6–8 недель после родов, нужно посетить гинеколога для осмотра и оценки процесса послеродового восстановления, выявления патологий, и при желании, для собственного успокоения получить направление на УЗИ.
После кесарева сечения желательно посетить врача и пройти УЗИ через несколько дней после выписки. Также желательно при кесаревом сечении обследоваться с помощью ультразвука через 1,5–2 года после операции перед планированием новой беременности для оценки состояния рубца.
УЗИ — абсолютно безболезненный, безопасный и информативный метод обследования. Сейчас многие врачи помимо данных, полученных в ходе осмотра на кресле и результатов анализа мазка, пользуются результатами УЗИ для постановки точного диагноза. Особенно тщательное обследование требуется после родов.
Ведь сами по себе роды — огромный стресс для организма, и как поведет он себя в процессе восстановления, предсказать сложно.
Поэтому, когда есть такая прекрасная возможность, как УЗИ, воспользоваться ей после родов можно и нужно как в рамках планового осмотра, так и по собственному желанию, чтобы спать спокойно!
Осложнения после родов
Субинволюция матки. Иногда при осмотре пациентки доктор отмечает, что размеры матки превышают должные. Это может быть физиологическим состоянием, например, после многоплодной беременности, родов крупным плодом, многоводии, у многорожавших женщин.
В остальных случаях такое несоответствие считается патологическим и носит название субинволюция матки, т.е. замедление ее обратного развития. В подобных ситуацияхУзи после родовпозволяет выявить причину отклонения от нормы и помогает определить акушеру-гинекологу дальнейшую тактику действий.
Это осложнение встречается примерно у 1,5% родивших женщин.
При недостаточном сокращении матки в течение первых 5 дней за состоянием женщины наблюдают и проводят медикаментозное лечение – назначают препараты, сокращающие матку, а также спазмолитики, расслабляющие мышцы шейки матки, чтобы обеспечить полноценный отток содержимого. Если на УЗИ в полости матки определяется большое количество крупных кровяных сгустков, может возникнуть необходимость вакуум-аспирации (удаления сгустков крови с помощью вакуумного отсоса) или выскабливания полости матки. Если своевременно не произвести их удаление, в матку может проникнуть инфекция из влагалища, и разовьется тяжелое осложнение послеродового периода – эндометрит (воспаление внутренней оболочки матки). Поэтому вовремя проведенное Узи после родов позволяет значительно снизить риск развития этого заболевания.
Послеродовый эндометрит. Ультразвуковыми признаками эндометрита является снижение тонуса матки, расширение полости, скопление в ней газа, остатков плацентарной ткани или оболочек плода. Важно понимать, что лечение эндометрита необходимо начинать как можно раньше.
Женщине назначают постельный режим, курс антибиотиков и средства, сокращающие матку. Если вовремя не начать лечение, эндометрит переходит в тяжелую форму, что может потребовать удаления матки и даже угрожать жизни женщины.
Послеродовые кровотечения. УЗИ на 2–3-и сутки после родов позволяет предупредить очень грозные осложнения послеродового периода – кровотечения, которые могут начаться внезапно и бывают очень обильными.
Часто их вызывают остатки плацентарной ткани или плодных оболочек в полости матки, что без труда диагностируется при ультразвуковом исследовании.
В таких случаях для остановки кровотечения необходимо произвести выскабливание и удалить остатки плацентарной ткани.
Если при первом Узи после родов выявлена какая-либо патология, ультразвук делают еще несколько раз в процессе лечения и после его окончания для того, чтобы оценить эффективность терапии. И только в случае хороших результатов контрольного исследования молодая мама может быть выписана домой под наблюдение врача женской консультации.
Матка после родов
Женский организм приходит в норму после родов не сразу: работа всех систем и органов восстанавливается постепенно на протяжении нескольких месяцев.
Больше всех “достается” матке, которая “растет” вместе с малышом (этот орган может увеличиваться больше, чем в 500 раз), поэтому она травмируется более всего.
Для восстановления матки после родов необходимы правильный уход, время, а также контроль гинеколога.
Постепенно сокращаться матка начинает после рождения ребенка и этот процесс сугубо индивидуален для каждой женщины, поскольку каждому организму нужно “свое” время на восстановление.
Причины не сокращения матки после родов
Существует ряд факторов, которые могут препятствовать или же способствовать более быстрому сокращению матки после родов.
Наиболее распространенными среди них являются:
- многоплодие;
- расположение плаценты;
- общее состояние женщины;
- сложности, возникшие во время беременности или после родов;
- большой вес плода.
Совсем не происходит самостоятельное сокращение матки после родов в случаях ее недоразвитости или перегиба; при многоводии; при травмах родового канала; при воспалительных процессах в самой матке или же ее придатках; при наличии доброкачественной опухоли (фибромы); при нарушениях свертываемости крови и т.д.
Что делать в случае плохого сокращения матки после родов?
Сразу же после появления ребенка на свет к животу роженицы нужно приложить холодную грелку, что будет способствовать ускорению сокращения матки и остановке кровотечения.
В течении первых дней после родов молодая мама находится в родильном доме под постоянным наблюдением врачей, которые должны регулярно проверять состояние матки, а также уровень ее сокращения.
Низкая способность матки к сокращению может быть диагностирована гинекологом по состоянию ее дна, которое в данном случае должно быть мягким, при обычном осмотре.
Врач до того времени не может выписать из роддома женщину, пока не будет полностью уверен в нормальном сокращении матки.
Если матка не может сокращаться самостоятельно, гинеколог должен назначить прием специальных препаратов (окситоцин или простагландины), усиливающих сократительную деятельность ее мышц. Также может быть назначен массаж дна матки (наружно).
Но самым главным импульсом, стимулирующим сокращение матки после родов, является грудное вскармливание, поэтому начинайте кормить ребенка грудью как можно быстрее.
Также рекомендовано (по возможности) много двигаться и лежать на животе.
Не пренебрегайте правилами личной гигиены: регулярно проводите подмывания и обрабатывайте раны.
Лучше и быстрее матка после родов сокращается у тех женщин, которые всю беременность не избегали небольших физических нагрузок, поэтому беременным женщинам полезны прогулки на свежем воздухе. Не избегайте несложной домашней работы. Не будут лишними и несложные гимнастические упражнения.
Если же в матке остались лохии, часть плаценты или же произошла закупорка маточного зева кровяными сгустками, стоит прибегнуть к чистке, без которой может начаться воспалительный процесс.
Но все же, при условии соблюдения всех рекомендаций врача, как правило, не возникает никаких серьезных проблем в процессе сокращения матки после родов. Вам просто нужно следить за собой и своим здоровьем.



