Пятна на эмали – это серьезный эстетический недостаток, который особенно бросается в глаза при поражении фронтальных (передних) зубов. Пятна могут иметь различные размеры, форму, локализацию и оттенок. Они являются признаком различных стоматологических, а в ряде случаев – и общесоматических заболеваний.
Причины появления пятен на зубах
К основным причинам появления пятен на поверхностях зубов относятся:
- кариозные поражения;
- налет и твердые отложения (зубной камень);
- микроскопические трещины, через которые вглубь тканей проникают красящие вещества;
- гипоплазия;
- флюороз;
- прием антибиотиков тетрациклинового ряда;
- удаление пульпы;
- наследственная предрасположенность.
Обратите внимание
Причиной появления пятен на зубах могут стать курение, потребление красного вина, крепкого чая и кофе.
Врачи отмечают, что пятна на зубах могут возникать по различным причинам, включая неправильную гигиену полости рта, употребление определенных продуктов и напитков, а также курение. Пигментация может быть вызвана красным вином, кофе, чаем и некоторыми ягодами. Кроме того, стоматологи подчеркивают, что некоторые медикаменты и фторид в высоких концентрациях могут также способствовать образованию пятен. Лечение зависит от причины появления. Врач может рекомендовать профессиональную чистку зубов, использование отбеливающих паст или процедур, таких как лазерное отбеливание. Важно помнить, что регулярные визиты к стоматологу и соблюдение правил гигиены помогут предотвратить появление пятен и сохранить здоровье зубов.

Зубной налет и камни
Налет является следствием недостаточно качественной чистки зубного ряда. Он обычно имеет желтоватый оттенок, и чаще образуется в пришеечной области и в межзубных промежутках. С течением времени налет может трансформироваться в минерализованные (твердые) отложения, оттенок которого может варьировать от темно-желтого до черного.
Кариес
При данном полиэтиологическом заболевании на ранних стадиях отмечаются пятна неестественно белого цвета, свидетельствующие о деминерализации эмали под действием микрофлоры, синтезирующей органические кислоты. По мере прогрессирования дефекты темнеют, приобретая коричневый цвет.
Пятна на зубах — распространенная проблема, о которой говорят многие. Причины их появления могут быть разнообразными: от употребления красящих продуктов и напитков, таких как кофе и красное вино, до курения и недостаточной гигиены полости рта. Некоторые люди отмечают, что пятна могут возникать из-за определенных заболеваний или приема медикаментов. Лечение зависит от степени поражения: в легких случаях достаточно профессиональной чистки у стоматолога, а в более серьезных — может потребоваться отбеливание или даже реставрация зубов. Важно помнить, что профилактика играет ключевую роль: регулярная чистка зубов, использование зубной нити и посещение стоматолога помогут избежать появления нежелательных пятен.

Гипоплазия
Гипоплазия – это недоразвитие твердых тканей зуба. При данной патологии помимо пигментации может диагностироваться и нарушение нормальной анатомической формы зуба. Гипоплазия эмали проявляется белыми или слегка желтоватыми пятнами с четкими границами. Заболевание чаще всего развивается на фоне нарушения обмена веществ и инфекций (краснуха, ОРВИ, токсоплазмоз и т. д.) у матери в период беременности. У взрослых пациентов патологию может спровоцировать ношение ортодонтических конструкций.
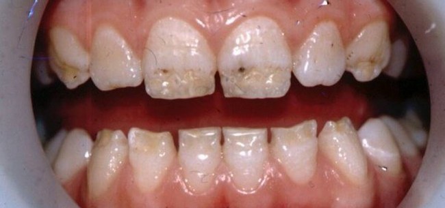
Флюороз
Белые или пятна при флюорозе обусловлены нарушениями минерального обмена на фоне регулярного потребления воды с повышенным содержанием фтора. Дефекты чаще формируются в детском и подростковом возрасте, когда эмаль еще недостаточно сформирована.

Тетрациклиновые зубы
Если будущей мать в период беременности или ребенку до 12 лет проводилась антибиотикотерапия с применением антибактериальных препаратов тетрациклинового ряда, зубы могут приобрести серый, темно-желтый или коричневый цвет.
Удаление пульпы
При лечении осложненного кариеса стоматологам нередко приходится прибегать к депульпированию – удалению коронковой и (или) корневой части сосудисто-нервного пучка (пульпы) зуба. После данной процедуры нарушается питание твердых тканей, вследствие чего они несколько темнеют. Изменение цвета в таких случаях обычно равномерное.
Лечение пятен на зубах
В некоторых случаях пятна у детей и взрослых легко удаляются с помощью стандартных гигиенических процедур, профессиональной чистки и отбеливания. В отдельных ситуациях для достижения безупречной эстетики требуется установка зубных протезов (коронок или виниров) или реставрация эмали современными фотополимерными материалами.
Кариес в стадии пятна требует проведения реминерализационной терапии с применением растворов глюконата и глицерофосфата кальция и фторида натрия. На заключительном этапе лечения зубы покрывают фтористым лаком или его более современными аналогами. Если кариозные поражения приобрели коричневый оттенок, консервативные меры неэффективны. Пораженный участок убирают бором в пределах здоровых тканей, а образовавшуюся полость заполняют композитным пломбировочным материалом, цвет которого соответствует оттенку неповрежденных участков эмали.
От пятен белого цвета можно избавиться с помощью профессионального отбеливания с помощью неорганических кислот, «выравнивающих» цвет эмали.
Для предупреждения и лечения флюороза целесообразно использовать особые фильтры, осаждающие избыток фтора и ограничить потребление продуктов, богатых данным микроэлементом.
Важно
При диагностированном флюорозе следует отказаться от фторсодержащих гигиенических средств – ополаскивателей и паст.
При тяжелой гипоплазии, когда на постоянных зубах имеют место не только меловые пятна, но и дефекты в виде точек, борозд и т. д. требуется препарирование и пломбирование дефектов или ортопедическое лечение – покрытие пострадавших зубов коронками.
Профессиональная чистка проводится с помощью специальных ламп, лазерных или ультразвуковых аппаратов. Она дает возможность избавиться от пятен, обусловленных недостаточно высоким уровнем гигиены полости рта.
Профилактические меры
Во время вынашивания ребенка женщинам категорически противопоказан тетрациклин. Его следует заменить альтернативными антибиотиками. Беременным следует особенно тщательно следить за своим здоровьем, по возможности избегая заболеваний инфекционного генеза.
Для предупреждения кариеса следует уделить большое внимание рациональному питанию (с низким содержанием «быстрых» углеводов) и чистке зубов.
Обратите внимание
Оптимальные средства гигиены вам порекомендует стоматолог, которого в профилактических целях следует посещать не реже 1 раза в 6 месяцев. Помимо обычных щеток и паст целесообразно использовать зубные нити (флоссы) для очистки межзубных промежутков, ополаскиватели с антибактериальным эффектом и специальные устройства-ирригаторы.
В регионах, где в питьевой воде содержится избыточная концентрация фтора, рекомендуется использование для питья и приготовления пищи только бутилированной воды.
Для предупреждения развития гипоплазии эмали следует тщательно следить за здоровьем детей в период формирования иммунитета.
Плисов Владимир, стоматолог, медицинский обозреватель
Вопрос-ответ
Какие основные причины появления пятен на зубах?
Пятна на зубах могут возникать по нескольким причинам, включая употребление определенных продуктов и напитков, таких как кофе, чай и красное вино, а также курение. Кроме того, недостаточная гигиена полости рта, использование некоторых медикаментов и наличие заболеваний, таких как флюороз, также могут способствовать образованию пятен.
Как можно избавиться от пятен на зубах в домашних условиях?
Для удаления пятен на зубах в домашних условиях можно использовать отбеливающие зубные пасты, полоски для отбеливания и специальные гели. Также полезно регулярно чистить зубы с помощью зубной нити и ополаскивателей для рта, а также ограничить потребление продуктов, которые могут оставлять пятна.
Когда стоит обратиться к стоматологу для лечения пятен на зубах?
Если пятна на зубах не исчезают после домашнего ухода или если они сопровождаются другими симптомами, такими как боль или чувствительность, стоит обратиться к стоматологу. Специалист может предложить профессиональную чистку, отбеливание или другие методы лечения, чтобы устранить проблему и предотвратить дальнейшие осложнения.
Советы
СОВЕТ №1
Регулярно посещайте стоматолога для профессиональной чистки зубов. Это поможет удалить налет и предотвратить образование пятен, а также выявить возможные проблемы на ранних стадиях.
СОВЕТ №2
Обратите внимание на свою диету. Ограничьте потребление продуктов и напитков, которые могут вызывать окрашивание зубов, таких как кофе, чай, красное вино и некоторые ягоды. Вместо этого выбирайте более нейтральные по цвету продукты.
СОВЕТ №3
Используйте зубную пасту с отбеливающим эффектом, которая поможет уменьшить видимость пятен. Однако не злоупотребляйте такими пастами, чтобы не повредить эмаль зубов.
СОВЕТ №4
Обратите внимание на гигиену полости рта. Чистите зубы дважды в день и используйте зубную нить, чтобы удалить остатки пищи и налет, которые могут способствовать образованию пятен.



