Каждый человек хочет иметь безупречную улыбку. Трещины на эмали зубов являются эстетическим дефектом, который портит ее даже при безупречно ровных зубах. Данная проблема является очень распространенной. Она не только портит внешний вид зуба, но и может в перспективе привести к серьезным патологиям полости рта.
Причины появления трещины на эмали зуба
Все причины появления дефектов эмали можно условно разделить на 2 большие группы:
- Физиологические;
- Механические.
К числу самых распространенных физиологических факторов относятся значительный перепад температур при потреблении пищи. Классический пример – употребление мороженого с горячим чаем или кофе.
Пациент ощущает боль, и считает, что проблема заключается в повышенной чувствительности зубов (гиперестезии), но в этот момент на эмали формируется дефект.
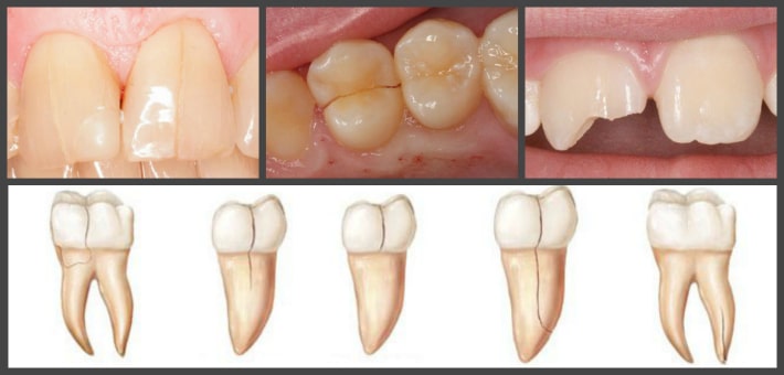
К причинам механического характера относятся травмы. При сильном механическом воздействии снаружи или извне происходит перелом коронки зуба или скол значительной ее части. Однако, при небольших травмах целостность коронковой части в целом сохраняется, но на эмали формируются трещины (иногда – многочисленные).
Обратите внимание
Трещины нередко формируются у людей, имеющих привычку разгрызать твердые предметы (например – орехи) или открывать стеклянные бутылки, стараясь поразить товарищей своим необыкновенным умением. Причиной трещины может стать даже привычка грызть карандаш во время работы.
Врачи отмечают, что трещины на зубах могут возникать по различным причинам, включая травмы, неправильный прикус и чрезмерное жевание твердых продуктов. Они подчеркивают важность своевременной диагностики, так как трещины могут привести к более серьезным проблемам, таким как инфекции или потеря зуба. Специалисты рекомендуют регулярно посещать стоматолога для профилактических осмотров, чтобы выявить трещины на ранних стадиях. В случае обнаружения трещин, лечение может включать использование пломб, коронок или даже эндодонтическое лечение, если трещина затрагивает нерв. Врачи также советуют избегать привычек, которые могут усугубить проблему, таких как скрежетание зубами или открывание упаковок зубами. Правильный уход за зубами и своевременное обращение к специалисту помогут сохранить здоровье зубов на долгие годы.

Симптоматика
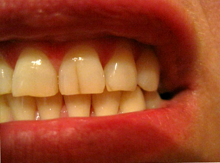
Как правило, трещины на эмали заметны даже невооруженным глазом – они представляют собой тонкие линии, направление и количество которых вариабельно. Наиболее заметными данные дефекты становятся после потребления еды или напитков, содержащих натуральные или химические красители.
Трещинки, особенно если он глубокие и доходят до дентинного слоя, могут провоцировать болевой синдром во время еды, гигиенических процедур и даже при смыкании зубных рядов. Зубы, эмаль которых имеет дефекты, остро реагируют на смену температуры (даже на ветер в прохладную погоду).
Вероятные последствия
Если целостность эмали нарушена, развивается ряд патологических изменений во внутренних слоях (дентине и пульпе). При взаимном перемещении отломков (при глубоких дефектах) не исключено раздражение сосудисто-нервного пучка и тканей периодонта, что в перспективе может стать причиной потери зуба.
Глубокие трещины вполне нередко становятся «входными воротами» для патогенной микрофлоры. Стандартные гигиенические процедуры не позволят убрать из дефекта все болезнетворные организмы. Они могут проникнуть в пульпу, и вызвать ее воспаление, что потребует серьезного лечения, в большинстве случаев требующего удаления нерва и пломбирования канала.
Трещины на зубах — это проблема, о которой многие предпочитают не говорить, но она затрагивает множество людей. Чаще всего такие повреждения возникают из-за механических воздействий, неправильного прикуса или чрезмерного употребления жесткой пищи. Люди отмечают, что трещины могут вызывать дискомфорт, повышенную чувствительность и даже боль при употреблении горячей или холодной пищи.
Важно не игнорировать эту проблему. Специалисты рекомендуют обратиться к стоматологу для диагностики и определения степени повреждения. В некоторых случаях может потребоваться установка пломбы или коронки для защиты зуба от дальнейшего разрушения. Также полезно пересмотреть свои привычки: избегать чрезмерного давления на зубы и использовать защитные капы при занятиях спортом. Заботясь о здоровье зубов, можно предотвратить более серьезные проблемы в будущем.

Диагностика
Диагноз «трещина эмали» ставится врачом на основании данных осмотра. Помимо этого, принимаются во внимание жалобы самого пациента (в частности – реакция зуба на перепады температуры).
Лечение трещин на эмали зубов
Никакие народные средства не помогут ликвидировать дефект. С данной патологией вам поможет справиться только профессиональный стоматолог. Чем раньше поставлен диагноз и приняты адекватные меры, тем меньше вероятность развития осложнений.
После выявления трещин, их количества и глубины стоматолог определяет тактику лечения.
В настоящее время практикуются:
- реминерализующая терапия с последующим покрытием зуба лаком;
- фиксация виниров;
- покрытие зуба коронкой.
При неглубоких дефектах возможно консервативное лечение, предполагающее реминерализирующие процедуры. Препараты кальция и фосфора водятся посредством аппликаций или электрофореза. Курс продолжается от 2 до 3 недель, после чего проблемный зуб покрывается лаком с высоким содержанием фтора или композитом-гелем, который затем отверждается посредством специальной лампы. Этот слой, улучшающий эстетические характеристики эмали, целесообразно заново наносить раз в год. В состав уникального лака входят ингредиенты, оздоравливающе и укрепляющие зубные ткани.
Если трещины обнаружены не только на вестибулярной поверхности, наиболее радикальным методом лечения является изготовление керамической коронки, которая будет закрывать зуб полностью.
При мелких трещинках на передней поверхности – отличная альтернатива коронке фиксация винира. Она требует минимального препарирования ткани. Винир представляет собой тончайшую фарфоровую пластинку, которая изготавливается в лаборатории по индивидуальным слепкам. Благодаря большому выбору оттенков (по шкале VITA их 16), врач имеет возможность подобрать керамическую накладку, которая по цвету не будет отличаться от соседних зубов.

Общие рекомендации
В процессе лечения трещин на эмали воздержитесь от использования зубных паст, содержащих отбеливающие компоненты и абразивы. Ни в коем случае не пытайтесь разгрызать твердые продукты питания. Твердые фрукты и овощи (в частности – яблоки и морковь) потреблять можно и нужно, но только предварительно порезав на мелкие кусочки.
Плисов Владимир, стоматолог медицинский обозреватель
Вопрос-ответ
Можно ли вылечить трещины на зубах?
Избавиться от трещин на поверхности эмали зубов можно у хорошего врача. Необходимо наносить профилактические визиты к этому специалисту минимум раз в год, чтобы тот своевременно диагностировал и устранил этот дефект.
Можно ли спасти зуб с трещиной?
Поврежденный зуб уже не может полноценно выполнять свою функцию. Вертикальная трещина на зубах может потребовать установку коронки на молярах или виниров на передних зубах. Если треснул зуб, его можно сохранить, но для этого следует сразу же записаться на прием к стоматологу.
Как убрать трещину на эмали зуба?
Реминерализация эмали – нанесение на зубы специального препарата, способствующего его укреплению, шлифовка и покрытие зуба фотополимерным лаком, реставрация – восстановление верхнего слоя зуба с помощью композитного материала,
Как выглядят трещины на зубах?
Трещины в эмали выглядят как небольшие затемнённые ниточки. Чем старше трещина, тем она заметнее. Любовь к красящей пище и напиткам (чай, кофе) делает повреждения ещё более видимыми. Начинается раскол как небольшое повреждение верхнего слоя, однако при отсутствии своевременного лечения раскол будет углубляться.
Советы
СОВЕТ №1
Регулярно посещайте стоматолога для профилактических осмотров. Это поможет выявить трещины на зубах на ранней стадии и предотвратить их дальнейшее развитие.
СОВЕТ №2
Избегайте жесткой пищи и привычек, которые могут повредить зубы, таких как открывание бутылок или кусание твердых предметов. Это поможет снизить риск появления новых трещин.
СОВЕТ №3
Используйте зубную пасту с фтором и ополаскиватели для укрепления эмали. Это поможет защитить зубы от дальнейшего разрушения и улучшит их общее состояние.
СОВЕТ №4
Если у вас уже есть трещины, обсудите с вашим стоматологом возможные варианты лечения, такие как композитные пломбы или коронки, чтобы восстановить функциональность и эстетику зубов.




