ТРУЗИ — трансректальное ультразвуковое исследование, в настоящее время его считают «продолжением пальца уролога». Способ неинвазивный, но достаточно информативный, что позволяет использовать его в диагностике многих урологических заболеваний. Изобретение новых трансректальных датчиков позволяет контролировать процесс биопсии простаты, брахитерапии, криотерапии, которые все более широко используются в лечении онкологии простаты.
Какое заболевание можно выявить при ТРУЗИ?
В урологии ультразвук вначале использовали для диагностики мочекаменной болезни.
Патология, которая может быть диагностирована с помощью ТРУЗИ, следующая:
ательной железы
Согласно статистике, около 60 — 70 % пожилых мужчин старше 80 лет имеют ту или иную степень рака предстательной железы. С повсеместным внедрением исследования крови на простатспецифический антиген роль ТРУЗИ несколько изменилась, в основном, трансректальное ультразвуковое исследование используется для визуализации простаты и помощи при лечебных или диагностических манипуляциях (прицельная биопсия).
ТРУЗИ применяют в качестве скринингового метода в сочетании с анализом на ПСА и ректальным пальпаторным осмотром для выявления рака простаты у мужчин старше 40 лет.
Картина рака предстательной железы на сонограмме:
- неравномерность, выпячивания капсулы;
- гипер- и гипоэхогенные участки ближе к основанию простаты (подозрение на вовлечение в патологический процесс семенных пузырьков).
В запущенных стадиях визуализируются сдавления деформированных в тазовом отделе мочеточников/мочеточника.
Важно
Общая информативность трансрктального ультразвукового исследования при раке простаты – от 18 до 52 %, поэтому в качестве единственного обследования оно неприменимо.
Доброкачественная гиперплазия предстательной железы
Структура простаты при ТРУЗИ зависит от формы гиперплазии – диффузной или очаговой (диффузное поражение/очаговое поражение). Контуры четкие, ровные. Обращают внимание на значительное увеличение размеров простаты. Очаговые образования имеют повышенную эхогенность (плотность). Если обструкция выражена, количество остаточной мочи превышает норму. Внутренняя поверхность мочевого пузыря видоизменяется – появляется трабекулярность (складчатость, ложные дивертикулы). Объем мочевого пузыря при ДГПЖ может достигать 1500 мл.
Простатит и везикулит
Повышенная эхогенность свидетельствует в пользу хронического воспаления, а пониженная говорит об остром процессе. Размер простаты увеличивается за счет отека. Контуры расплывчатые, граница между железистой и фиброзно-мышечной тканью стерта, присутствуют гипер- и гипоэхогенные участки. При распространении воспаления на семенные пузырьки имеет место их расширение, неоднородность заполнения и усиление сосудистого рисунка.
Абсцесс простаты
При ТРУЗИ абсцесс выглядит как отграниченное анэхогенное или гипоэхогенное новообразование.
Абсцесс простаты можно заподозрить уже по жалобам пациента:
- высокая температура;
- озноб,
- боли внизу живота;
- болезненная эрекция;
- рези при частом мочеиспускании.
Простатолитиаз (камни предстательной железы)
Камни в простате выглядят как гиперэхогенные включения, размер вариабелен: от скопления солей до значимых конкрементов/конкремента.
Кисты простаты
Образования с размером менее 5 мм не считаются грубой патологией, контуры четкие, ровные, структура анэхогенна или гипоэхогенна. В отличие от абсцесса простаты, клинические проявления отсутствуют.
Врачи отмечают, что трансректальное ультразвуковое исследование (ТРУЗИ) является важным инструментом в диагностике заболеваний предстательной железы. Показаниями для проведения процедуры служат такие состояния, как подозрение на рак простаты, хронический простатит или доброкачественная гиперплазия. Однако, несмотря на свою информативность, ТРУЗИ имеет и противопоказания. К ним относятся острые воспалительные процессы в области прямой кишки, а также наличие анальных трещин или опухолей. Врачи подчеркивают, что расшифровка результатов должна проводиться квалифицированным специалистом, так как правильная интерпретация данных является ключом к установлению точного диагноза и выбору адекватного лечения. Важно учитывать, что ТРУЗИ не всегда дает однозначные результаты, и в некоторых случаях может потребоваться дополнительная диагностика.

Виды ТРУЗИ
Цветовое допплеровское сканирование используется для улучшения качества диагностики, как дополнение к ТРУЗИ. Проведенные исследования показали, что добавление цвета допплера улучшило специфику биопсии простаты. При этом каких-либо четких различий, позволяющих верифицировать диагноз, между очагом воспаления и опухолью нет.
Несмотря на возможности ТРУЗИ заподозрить злокачественное новообразование, интенсивность роста опухоли в динамике лучше отслеживать другими способами инструментальной диагностики, например, МРТ. Информации, полученной в результате только транректального УЗ-исследования, недостаточно для оценки распространения опухоли за пределы капсулы, как и в постановке диагноза самой опухоли.
Если выбирать между абдоминальным УЗИ и трансректальным — последнее более предпочтительно, так как визуализация паренхимы простаты значительно лучше. Но для полноты картины в некоторых случаях трансабдоминальное УЗИ на фоне тугого наполнения жидкостью мочевого пузыря должно быть выполнено, так как метод дает представление о степени увеличения простаты, внутрипузырном росте опухоли и деформации шейки пузыря.
При ТРУЗИ введение датчика в прямую кишку обеспечивает непосредственный контакт с железой, и картина получается практически без искажений.
К плюсам трансректального доступа можно отнести то, что нет некоторых трудностей, которые имели место при выполнении трансабдоминального УЗ — исследования.
Важно
ТРУЗИ и абдоминальное УЗИ простаты – взаимодополняющие методы диагностики.
ТРУЗИ для контроля биопсии
Биопсия – основное исследование для подтверждения рака простаты, трансректальный ультразвуковой контроль повышает точность попадания биопсийной иглы непосредственно в подозрительный участок. Если очаговое образование определяется пальпаторно, но не различимо при УЗ-диагностике – столбики ткани забирают из 6 точек без наводки датчика.
Важно
Этот способ у некоторых пациентов выдает недостоверный результат.
Специальные компьютерные программы оценивают ультразвуковые изображения, что значительно повышает качество диагностики (до 75%). Существуют методики, которые позволяют выявить изоэхогенный рак с точностью, приближенной к 100%.
ТРУЗИ (трансректальное ультразвуковое исследование) – это метод диагностики, который позволяет получить детальные изображения предстательной железы и окружающих тканей. Многие пациенты отмечают, что процедура проходит быстро и безболезненно, хотя некоторые испытывают дискомфорт. Показания для ТРУЗИ включают подозрение на рак простаты, увеличение железы или хронический простатит. Однако существуют и противопоказания, такие как острые воспалительные процессы в области прямой кишки или анальные трещины. Расшифровка результатов требует квалифицированного специалиста: нормальные показатели могут варьироваться, и только врач сможет правильно интерпретировать данные, учитывая индивидуальные особенности пациента.

3D- ТРУЗИ и допплеровские изображения
Применение ЗD-методик построения УЗ-изображения – более информативный метод, который применяется для установления стадии онкологического процесса и контроля при биопсии. Дополнительное допплеровское исследование и контрастное усиление повышают точность диагностики.
Допплеровские изображения позволяют дать оценку сосудистой архитектонике новообразования. Известно, что раковая опухоль имеет обширную развитую сеть кровеносных сосудов, но это утверждение справедливо для раковой опухоли значительных размеров, небольшие новообразования не имеют обширной сосудистой сети.
При опухоли простаты с размерами менее 2 мм ТРУЗИ малоинформативно, если новообразование больше 1 кубического сантиметра, то появляется картина неоднородного кровоснабжения на фоне участков некроза ткани, что особенно хорошо демонстрирует трансректальное исследование с допплером.
ТРУЗИ с допплером повышает точность биопсии на 10 %.
Контрастирование
Относительно недавно в диагностике применяют, так называемые, ультразвуковые контрастные агенты. С их помощью видна усиленная васкуляризация опухолевого очага при выполнении цветного допплеровского сканирования с контрастированием.

Эластография простаты
На эластограмме синие участки показывают вероятный рак предстательной железы. Окончательный диагноз будет установлен после биопсии.
Эластография – относительно новый (начало разработки — конец 20 века) метод ультразвуковой диагностики, основан на различной эластичности нормальной и патологически измененной ткани. Проводились исследования, которые показали, что эффективность эластографии в диагностике рака простаты достигает 84%.
При соноэластографии отображается жесткость ткани предстательной железы. Способ основан на анализе деформации тканей до и после сжатия ультразвуковым преобразователем. Разница в деформации используется для оценки жесткости ткани. Уменьшение эластичности свидетельствует в пользу опухолевого процесса, особенно, если имеет место гипоэхогенность тканей.
Эластография считается полезной разновидностью ТРУЗИ для диагностики рака простаты и позволяет избежать ненужной биопсии.
По стоимости соноэластография сопоставима с ТРУЗИ.
ТРУЗИ: показания к проведению
ТРУЗИ обосновано в следующих случаях:
- диагностический поиск заболеваний простаты;
- динамическое наблюдение после проведенного лечения, в том числе, гормонотерапии при раке простаты;
- для визуального контроля при проведении некоторых видов лечения;
- для определения объема простаты перед проведением брахитерапии, криотерапии или прочего малоинвазивного лечения (радиочастотное или микроволновое воздействие);
- в профилактических целях по достижении 45-летнего возраста;
- при заболеваниях почек, в качестве уточняющей диагностики;
- в составе комплексного обследования при азооспермии, для исключения кистозных новообразований (кисты семенных пузырьков, эякуляторно-проточные кисты и пр.).
Если рассматривать показания к ТРУЗИ с точки зрения жалоб, то проведение исследования необходимо, если беспокоит следующее:
- частое мочеиспускание малыми порциями;
- дискомфорт в промежности;
- ослабление струи мочи;
- желание помочиться сразу после акта мочеиспускания;
- нарушение потенции;
- стертый оргазм;
- раннее семяизвержение;
- присутствие крови в сперме;
- ночные мочеиспускания;
- выделения из уретры в момент акта дефекации;
- рези, боли при мочеиспускании и пр.
Важно
Если врач назначил анализ крови на ПСА и ТРУЗИ, сначала нужно сдать кровь, так как трансректальный осмотр сделает результат анализа крови недостоверным .
Противопоказания к ТРУЗИ
Абсолютных противопоказаний к трансректальному ультразвуковому исследованию нет, но есть состояния, при которых предпочтительнее отложить проведение ТРУЗИ:
- острая диарея;
- обострение геморроя или трещины прямой кишки;
- острый парапроктит;
- кровотечение из прямой кишки;
- некоторые психические заболевания.
При остром простатите или подозрении на абсцесс предстательной железы в ряде случаев осмотр проводят через переднюю брюшную стенку.
Что показывает ТРУЗИ
При трансректальном УЗ-обследовании оценивают следующие параметры (в скобках указаны варианты нормы):
- верхненижний размер (длина 24 – 40 мм);
- переднезадний размер (толщина 15 – 25 мм);
- поперечный размер (ширина 30 — 45 мм);
- суммарный объем предстательной железы (от 18,7 до 26, 8 см);
- эхогенность (средняя);
- симметричность;
- контуры (четкие ровные);
- форма (округлая/ треугольная);
- структуру центральной и периферической зоны (неоднородная мелкозернистая);
- объемные образования (в норме отсутствуют);
- парауретральный фиброз (отсутствует);
- структуру и размеры семенных пузырьков (в зависимости от акта семяизвержения и вовлеченности в воспалительный процесс, в норме структура однородная, если давно не было эякуляции – могут быть расширены);
- семявыносящие протоки (отсутствие кист);
- наличие срединной доли (утяжеляет прогноз при ДГПЖ);
- количество остаточной мочи (не больше 15 – 20 мл).
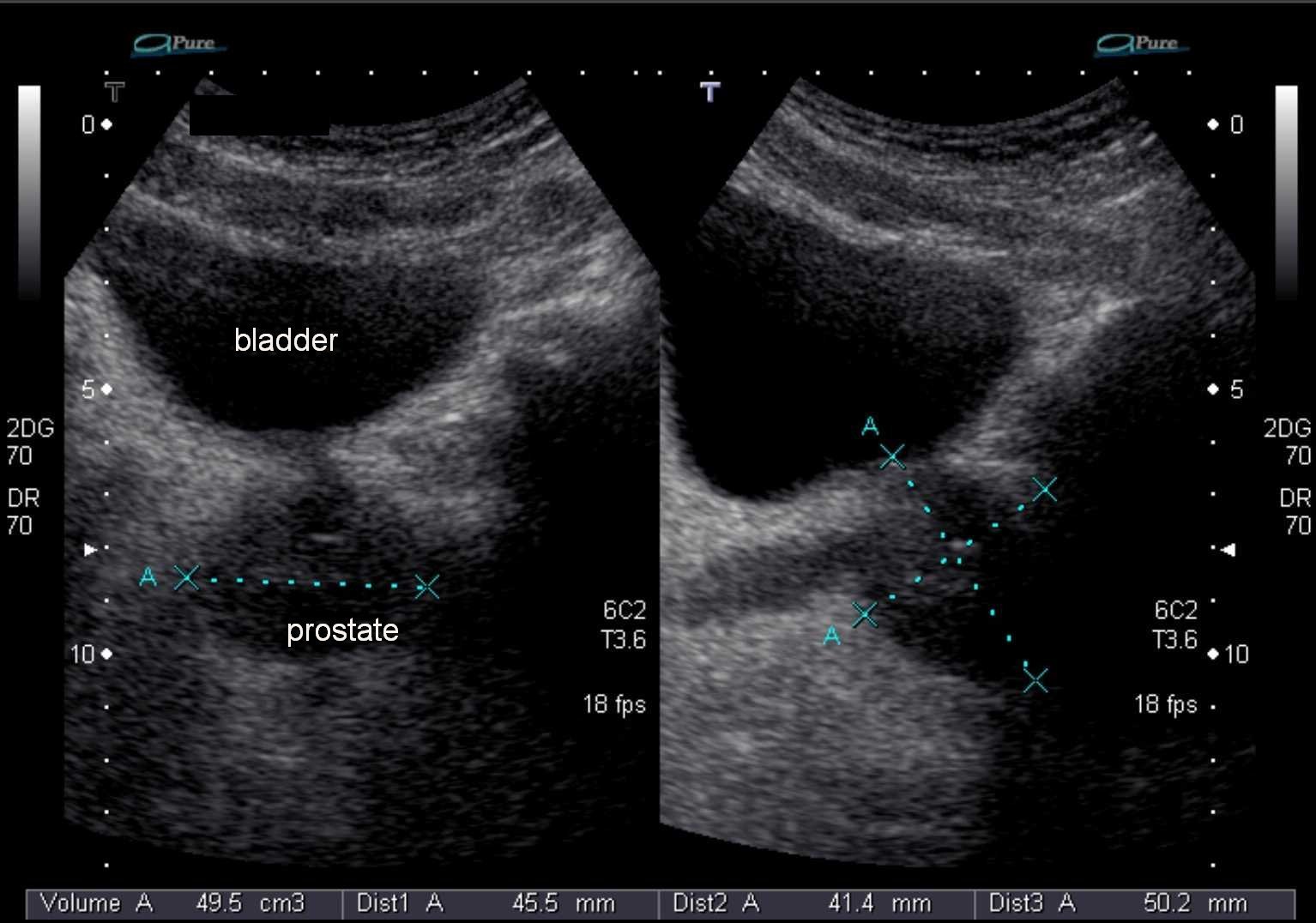
Объем предстательной железы может быть рассчитан по формуле и зависит от возраста мужчины, генетических особенностей, длительности воздержания, половой конституции и пр.
Для определения количества остаточной мочи УЗИ выполняется дважды: с наполненным мочевым пузырем и после акта мочеиспускания.
Формула для вычисления объема простаты представляет собой произведение 4 величин: толщины, длины, ширины и коэффициента 0,52.
Некоторые специалисты используют другую формулу: 0,13 умножить на возраст мужчины и прибавить 16,4
Так, например, чтобы рассчитать нормальные размеры предстательной железы у мужчины 25 лет, получаем 19,65 см куб.
Обратите внимание
Необходимо отметить, что современные аппараты ультразвуковой диагностики автоматически рассчитывают объем предстательной железы .
Примерно к 23-летнему возрасту мужчины, простата достигает постоянных размеров. Если нет какой-либо патологии, ее размер практически не изменяется в течение 2 десятков лет. Предстательная железа увеличена при воспалении, опухоли, доброкачественной гиперплазии. Для того чтобы правильно диагностировать патологический процесс, оцениваются результаты в совокупности, ТРУЗИ помогает заподозрить диагноз.
Как проводится ТРУЗИ и как подготовится к исследованию
Процедура занимает от 10 до 15 минут, пациент укладывается на левый бок с приведенными к животу ногами, в прямую кишку вводится датчик со специальным усиленным презервативом для диагностических исследований.
Какого-либо обезболивания не требуется, особо чувствительные мужчины могут ввести непосредственно перед процедурой с помощью микроклизмы 5 мл 2 % лидокаина или воспользоваться гелем с анестетиком.
Как подготовиться к ТРУЗИ
Накануне необходимо исключить газообразующие продукты:
- капусту,
- горох,
- квас,
- молоко,
- газированные напитки,
- алкоголь,
- сдобу и пр.
Перед ТРУЗИ допускается неплотный перекус.
Чтобы датчик беспрепятственно проник в прямую кишку, необходимо сделать очистительную клизму перед исследованием.
Можно принять для устранения повышенного газообразования активированный уголь из расчета 1 таблетка на 10 кг веса.
Если планируется измерение емкости мочевого пузыря и определение количества остаточной мочи – перед процедурой нужно выпить 1,5 литра негазированной воды.
В частных медицинских центрах нет необходимости брать с собой сменную обувь, салфетки, простынь, презерватив; при прохождении ТРУЗИ в муниципальной поликлинике этот вопрос лучше уточнить заранее.
Мишина Виктория, уролог, медицинский обозреватель
Вопрос-ответ
Что такое ТРУЗИ и как он проводится?
ТРУЗИ (трансректальное ультразвуковое исследование) — это метод диагностики, который используется для оценки состояния предстательной железы и других органов малого таза у мужчин. Процедура проводится с помощью специального ультразвукового датчика, который вводится в прямую кишку. Это позволяет получить четкие изображения органов и тканей, что помогает в диагностике различных заболеваний.
Какие показания существуют для проведения ТРУЗИ?
ТРУЗИ назначается в случае подозрения на заболевания предстательной железы, такие как простатит, аденома или рак. Также исследование может быть рекомендовано при наличии симптомов, таких как затрудненное мочеиспускание, боли в области таза или изменения в анализах крови, например, повышенный уровень простатспецифического антигена (ПСА).
Существуют ли противопоказания для проведения ТРУЗИ?
Основными противопоказаниями для ТРУЗИ являются острые воспалительные процессы в области прямой кишки, а также наличие крупных геморроидальных узлов или трещин. В таких случаях рекомендуется предварительное лечение, чтобы избежать осложнений во время процедуры.
Советы
СОВЕТ №1
Перед проведением ТРУЗИ обязательно проконсультируйтесь с врачом. Он поможет определить необходимость процедуры и объяснит, какие результаты можно ожидать.
СОВЕТ №2
Убедитесь, что вы правильно подготовились к процедуре. В зависимости от типа исследования могут быть рекомендации по диете или времени, когда следует воздержаться от пищи.
СОВЕТ №3
Обратите внимание на расшифровку результатов. Если у вас возникли вопросы или сомнения, не стесняйтесь обратиться к специалисту для разъяснений и рекомендаций по дальнейшим действиям.


