Все знают об опасности пневмонии во взрослом и детском возрасте, но бывает и особое состояние, связанное с периодом новорожденности. Это врожденная пневмония, которая проявляет себя сразу после появления на свет или в период первых трех дней. Патология может возникать как у доношенных малышей, так и недоношенных детей разного срока, естественно, что чем сильнее выражена недоношенность, тем тяжелее пневмония и опаснее ее прогнозы. Важно распознавать подобное состояние сразу и активно лечить младенца, в противном случае подобное состояние угрожает его жизни и дальнейшему состоянию.
Особенности врожденной пневмонии
Если исходить из данных статистики по случаям врожденного поражения легких, наиболее частыми ее случаями становится рождение от матерей, имевших тяжелое и осложненное течение беременности, признаки инфекций, в том числе и внутриутробного инфицирования плода. Кроме того, возможно также инфицирование легочной ткани среди недоношенных младенцев или тех малышей, кто родился с аспирацией мекония или околоплодных вод (заглатывание их за счет слишком раннего первого вдоха). По данным статистики, у таких детей врожденная пневмония возникает почти в две раза чаще, чем у рожденных по сроку, здоровых младенцев.
Важно
Название «врожденная пневмония» применяется потому, что заражение патогенными возбудителями и воспаление формируется у ребенка на протяжении беременности или в период родов, поэтому внешние факторы играют в ее формировании крайне незначительное значение.
Основная причина подобной пневмонии – это инфекционный агент, который изначально имелся в женском организме и активизировался в период беременности, либо его активность стала значимой для инфицирования в период родов.
В связи с этим все врожденные пневмонии младенцев делят по времени их формирования на две большие группы:
- антенатальное заражение, то есть легочная система страдает и воспаляется еще до родов, внутриутробно.
- интранатальное инфицирование, патогенные объекты проникают в легочную ткань младенца в период родов, обычно затяжных или осложненных.
Для каждого эпизода пневмонии типичен свой возбудитель, который может быть микробного или вирусного происхождения, и важно точно и быстро его выявить, чтобы лечебные мероприятия были правильными и максимально эффективными.
Врачи отмечают, что врожденная пневмония является серьезным состоянием, которое требует немедленного внимания и лечения. По их мнению, ранняя диагностика играет ключевую роль в успешном исходе. Специалисты подчеркивают, что симптомы могут проявляться сразу после рождения, включая затрудненное дыхание, цианоз и плохой аппетит. Врачи рекомендуют проводить тщательное обследование новорожденных, особенно тех, кто находился в группе риска, например, у матерей с инфекциями во время беременности. Лечение, как правило, включает антибиотики и поддерживающую терапию. Врачи также акцентируют внимание на важности профилактических мер, таких как вакцинация и регулярные осмотры, чтобы снизить вероятность развития осложнений.

Причины врожденной пневмонии у новорожденных
Наиболее часто причинами врожденной пневмонии становятся вирусные инфекции, так как дети внутриутробно и сразу после рождения наиболее уязвимы к их влиянию. Чтобы развилось инфекционное воспаление легочной ткани, необходимо попадание вируса в третьем триместре. Если он будет активизироваться ранее, это грозит врожденными пороками развития, прерыванием беременности или внутриутробной гибелью плода.
Самыми частыми возбудителями пневмоний у этой группы детей считаются TORCH-инфекции. Это группа наиболее выявляемых возбудителей, способных к провокации пороков, внутриутробных инфекций, в том числе и поражения легочной ткани. Это такие патогены как герпес, цитомегалия, краснуха и токсоплазма. Возможно также влияние других возбудителей, которые имеют свои особенности в строении и формировании инфекционного процесса, и особенности лечения.
Особенности инфекций TORCH-комплекса
Если говорить о токсоплазмозе, он провоцируется особым возбудителем, токсоплазмой (группа простейших). Передается инфекция через домашних животных, в основном – кошек, которые нередко выступают в виде бессимптомных носителей. Возможно также поступление токсоплазм в организм с плохо прожаренным мясом. Если заражение формируется впервые при беременности, особенно в последние ее недели, возбудитель может стать причиной поражения легочной ткани плода и врожденной пневмонии.
Важно
Если женщина заразилась токсопламозом до беременности, у нее уже имеются антитела к возбудителю, и в этом случае данная инфекция не опасна ни ей самой, ни ее младенцу.
Клиника самого острого токсоплазмоза у женщины неспецифическая, поэтому часто принимается за простуду или переутомление.
Развитие краснухи опасно также при отсутствии антител к ней у матери (если женщина до беременности не болела этой болезнью). Это острая вирусная инфекция, передающаяся воздушно-капельно, несущая потенциальную угрозу для плода с ранних сроков гестации из-за высокого риска врожденных пороков развития. Вирус может приводить к формированию и пневмонии у плода, если заражение произошло в последние недели беременности.
Поражение цитомегаловирусной инфекцией также опасно. Это воздушно-капельная вирусная инфекция, которая также может попадать в тело женщины половым и контактным путем. Около 60% взрослого населения инфицировано данным вирусом, но клиника инфекции проявляется только в единичных случаях. Если произошло инфицирование будущей матери, вирус способен к проникновению сквозь плаценту с индуцированием воспалительных процессов во многих тканях и органах плода – головном мозге, ткани печени или легких.
Формирование герпеса возможно в любые сроки беременности, это частица, обладающая сродством к нервным клеткам, но вполне может поражать и кожу с внутренними органами, в том числе и легочную ткань с развитием пневмонии. Выделяют два типа герпеса, опасные для женщины – первого и второго типа (лабиальный и генитальный). Первый тип передается преимущественно воздушно-капельным путем или при поцелуях, тесных контактах, пользовании общей посудой. Второй преимущественно передается при половых контактах (любого типа).
Обратите внимание
Герпес первого типа наиболее часто может формировать антенатальную пневмонию (внутриутробное инфицирование), а второй тип чаще поражает во время родов (интранатально). Это связано с тем, что во время родов плод проходит через инфицированные гениталии матери, на поверхности которых может иметься герпесный вирус.
Группа TORCH-инфекций наиболее опасна в отношении провокации подобных пневмоний, особенно если речь идет о последних сроках гестации или родах. Но это не единственные причины воспаления легких у младенцев.
Врожденная пневмония — это серьезное заболевание, которое вызывает много обсуждений среди родителей и медицинских специалистов. Многие родители, столкнувшиеся с этой проблемой, делятся своими переживаниями и опытом. Они отмечают, что ранняя диагностика и своевременное лечение играют ключевую роль в восстановлении здоровья новорожденного. Важно, чтобы врачи были внимательны к симптомам, таким как затрудненное дыхание или синюшность кожи. Некоторые родители рассказывают о том, как поддержка со стороны медицинского персонала помогла им справиться с тревогой и неуверенностью. Также обсуждаются методы профилактики, такие как вакцинация и соблюдение гигиенических норм во время беременности. В целом, общественное мнение подчеркивает важность информированности и готовности к действиям в случае возникновения этой болезни.

Особенности внутриутробных пневмоний иной этиологии
Возможно влияние и многих других возбудителей имеющих вирусную или микробную природу, относящихся к грибкам или простейшим. Нередко могут становиться причинами врожденной пневмонии кандидозная инфекция, хламидийная или микоплазменная, возможна роль листерий, уреаплазм или трихомонад. Они в основном влияют перед самыми родами, в последние недели или в процессе рождения крохи. Трихомониаз и уреаплазмоз относят к группе половых инфекций, они очень редко могут стать причиной развития пневмонии у вполне здоровых и доношенных детей. Обычно инфекция, наряду с кандидозной, формируется у недоношенных младенцев или имеющих врожденный иммунодефицит.
Заражение хламидиями или микоплазмами, как внутриклеточными возбудителями, типично для детей сразу после рождения и в первый часы после родов. Но для этого нужно стечение особых обстоятельств.
Важно
Если говорить в целом, для врожденной пневмонии велика роль как вирусов, так и микробов, простейших, но обычно для подобной проблемы необходимо и наличие дополнительных факторов. У здоровых доношенных детей подобные поражения не типичны.
Механизм пневмонии в каждом конкретном случае зависит не только от причины, воздействующей на младенца, но и многих дополнительных факторов.
Особые условия для провокации врожденной пневмонии
Любой возбудитель инфекции должен для формирования пневмонии внутриутробно проникать через плацентарный барьер, обладать определенной тропностью к легочной ткани и проникать с током крови в область легких плода. До рождения легочная ткань младенца имеет специфические особенности, альвеолы находятся в спавшемся состоянии, и могут стать местом размножения вирусов или микробов. Формируется воспалительный процесс, который только после рождения, на фоне начала легочного дыхания проявляет себя симптомами легочной недостаточности, неполным раскрытием всех участков, образованием немых зон. Обычно воспалительный процесс на фоне легочного дыхания активизируется, и формируются дополнительные проявления.
Есть ряд факторов, которые могут повышать вероятность развития инфекции у младенца. К ним можно отнести:
- Тяжело протекавшую беременность и болезни матери, которые привели к дефектам в строении плаценты и выполнении ею защитной роли
- инфекционные поражения самой матери, особенно относящиеся к группе TORCH-комплекса. Они повышают риск инфекции плаценты, и проникновения через нее возбудителей в ткани плода.
- состояние недоношенности, ослабление иммунной защиты на фоне этого.
- течение родов и осложнения в них, длительный безводный период, затяжные роды и различные вмешательства врачей с целью родовспоможения.

Как проявляется врожденная пневмония?
Для врожденной пневмонии типично проявление симптомов сразу же после рождения или на протяжении первых трех суток. Если симптомы возникли в период первых дней – речь идет о заражении в родах, если сразу – в период беременности.
Обратите внимание
При формировании пневмонии, вызванной определенными вирусами группы TORCH, нередко на фоне дыхательных симптомов формируются еще и проявления со стороны других систем и органов. Это важно учесть врачам при диагностике поражений легких и подхода к терапии пневмонии и всех остальных проявлений.
Также важно определить — вирусная или микробная природа у инфекции, симптомы и подходы к лечению сильно различаются.
Первые признаки проявляются после родов, общее состояние крохи может быть очень тяжелое за счет развивающихся сразу после первого вдоха дыхательных расстройств . Малыши могут родиться с синюшным или серым, бледным цветом кожи на теле и лице, возможна сыпь в виде красных точек и кровоизлияний из-за интоксикации. Крик младенца будет слабым, рефлексы угнетены на фоне дефицита кислорода, питающего нервную систему при инфекционном процессе. В итоге оценки по Апгар будет низкими, и детей немедленно забирают неонатологи в отделение ОРИТ.
Важно
В некоторых ситуациях им нужна интубация и искусственная вентиляция, кислородотерапия, чтобы насытить органы кислородом и нормализовать обменные процессы. Особенно это важно на фоне выраженной дыхательной недостаточности.
Основные симптомы пневмонии – это расстройства дыхания с одышкой, втяжением промежутков между ребрами и областей под грудиной и над ключицами, с активным участием в дыхании живота. На фоне одышки есть учащение дыхания и сердцебиение, превышающее нормы на 20-30% и более. Это говорит о проблемах с легкими и требует немедленного обследования.
Обратите внимание
Для детей не типична стадийность, которая формируется при пневмонии у взрослых, важно знать, что воспаление распространяется быстро, а заражение, например, гриппозным вирусом, пневмоцистой или стафилококком, приводит к некрозу легочной ткани.
Пневмонии врожденного плана различаются по форме возбудителя на микробные, вирусные, грибковые и вызванные атипичной флорой, могут также подразделяться на специфические неспецифические, осложненные. Это важно для постановки диагноза и подбора правильного лечения.
Клиника специфических TORCH-пневмоний и бактериальных
Если пневмонию провоцируют возбудители из группы TORCH-инфекций, возможно наличие и генерализованной инфекции на фоне легочных симптомов. Врачи знают об этом, одновременно с лечением пневмонии, обследуя ребенка прицельно на возможные поражения остальных систем и органов.
Так, при цитомегалии формируется еще и поражение тканей головного мозга и печени, что утяжеляет общее течение патологии. При воздействии на плод вирус приводит к серьезным поражениям мозга с формированием зон ишемии и кистозных образований, увеличение печени с развитием сильно выраженной желтухи, повышением билирубина с формированием энцефалопатии. Поэтому пневмония будет только одним из симптомов вирусной инфекции.
Пневмония при врожденной краснухе будет сопровождаться высыпаниями по телу и поражениями всех остальных отделов дыхательного тракта.
Особыми свойствами отличаются и микробные пневмонии у новорожденных, так как характер воспаления является гнойным. Нередко они развиваются в первые трое суток, с резким ухудшением состояния ребенка, прогрессирующим буквально по часам. На фоне резкой одышки формируются симптомы интоксикации – резкая лихорадка, либо при недоношенности парадоксальное снижение температуры до выраженной гипотермии. Возникает отказ от груди или бутылочки, потеря веса и резкое беспокойство, синюшность или резкая бледность, срыгивания, хрипы при дыхании.
Последствия врожденных пневмоний
Подобные процессы для новорожденных гораздо опаснее, чем для взрослых, осложнения зависят от видов возбудителей и имеют как немедленный характер, так и отсроченный. Если за счет возбудителя формируется деструкция в области легочной ткани, это грозит распространением инфекции за пределы респираторной ткани. Это грозит прорывом инфекционного агента в сосуды и формированием сепсиса с бактериемией (микробы в крови) и образованием вторичных гнойных очагов в тканях и органах.
Важно
Сепсис в этом возрасте имеет высокий процент летальности.
Если говорить о других немедленных осложнениях, к ним можно отнести формирование кровоточивости в силу геморрагического синдрома или ДВС-синдрома, нарушения кровообращения и гипоксия тканей, развитие на фоне недостаточности дыхания еще и сердечно-сосудистой недостаточности. Если говорить о чисто легочных осложнениях, к ним относят формирование поражений плевры (острый плеврит) и пневмоторакса (воздух в грудной клетке), а также ателектазов легких (участки спадения).
Среди отсроченных осложнений можно назвать поражения мозга со страданием интеллекта в разной степени выраженности, хронизация инфекции, нарушение роста и развития, порок органов и тканей.
Методы диагностики врожденных пневмоний
Относительно быстрой диагностики врожденной пневмонии всегда возникают сложности. Это связано с тем, то недостаточность дыхания в этом возрасте типична не только для пневмонии, но и многих иных состояний. Важно при подозрении на пневмонию еще и точно выявить ее возбудителя, так как тактика лечения при простейших, вирусах и микробах различается, как и спектр подбираемых препаратов.
Важно
Важны данные, полученные от матери или ее обменной карты – как протекала беременность, роды и были ли осложнения, имелись ли признаки инфекций в третьем триместре, проводили ли ей исследование на группу TORCH-инфекций, каковы были результаты.
Особенность пневмонии врожденного характера, особенно если речь идет о недоношенных детях – это нечеткие объективные данные, сложности при выслушивании хрипов и шумов, похожие данные, как на фоне пневмонии, так и респираторного дистресс-синдрома. Очень важны в этом случае данные лабораторных исследований и инструментальной диагностики.
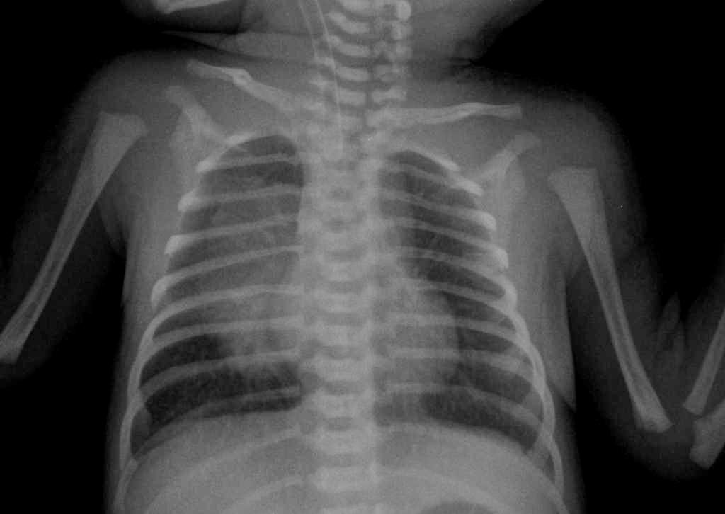
За счет инструментальных обследований можно точно определить поражение легких и уточнить, где оно локализовано. Особенно важен рентген легких новорожденного, при нем виды типичные признаки воспалительного процесса – уменьшение воздушности легких с усиление рисунка сосудов в начале пневмонии, а затем проявление воспалительных инфильтративных изменений с тенденцией их к слиянию. При недоношенности ребенка рентгенография не может точно дать сведения – пневмония ли это или болезнь гиалиновых мембран. Изменения очень похожи на фоне обеих патологий, поэтому необходимы анализы.
Особенности анализов младенца при подозрении на пневмонию
При диагностике пневмонии у новорожденных проводится ряд анализов, но они имеют свои особенности в силу физиологических особенностей, связанных с рождением. Так, у младенца типично увеличение лейкоцитов и эритроцитов для полноценного обеспечения тканевого дыхания, а к 5-ым суткам возникает физиологический перекрест уровня лейкоцитов и лимфоцитов.
Обратите внимание
Эти данные могут спутать врача, замаскировать особенности воспаления. Важно отмечать изменения крои в динамике ежедневно, тогда будет заметен прирост лейкоцитов, и возможно отсутствие физиологического перекреста.
По данным уровня лейкоцитов и лимфоцитов определяют природу пневмонии – вирусная или микробная, но возможно также и микст-инфицирование с одновременным влиянием вирусно-микробной ассоциации.
Если нет эффекта от лечения крохи, проводят обследование матери, при котором выявляется наличие специфического возбудителя. Это связано с тем, что именно мать будет основным источником инфекции для плода и новорожденного, и антитела у ребенка к инфекции еще не образовались и определить их невозможно.
Матери проводят серологическую диагностику, определяя антитела к определенным инфекциям с уровнем иммуноглобулинов класса G и M. Оценивается уровень антител к наиболее вероятным типам инфекций, и при повышении уровня антител класса G этот возбудитель не опасен в плане пневмонии, так как это свидетельство застарелой инфекции или наличие иммунитета. А вот наличие класса М может говорить об остром процессе, и этот возбудитель вероятно и вызвал пневмонию.
Могут быть показаны мазки из влагалища к половым инфекциям, особенно при бактериальной пневмонии ребенка, по ним можно определить чувствительность возбудителей к антибиотикам.
Как лечить врожденную пневмонию у ребенка?
Необходимо лечить ребенка сразу же после установления диагноза, и применяются комплексные схемы терапии, учитывающие как вид возбудителя и особенности его развития, параллельно с методиками ухода за крохой и режимных мероприятий.
Дети с пневмонией помещаются в кювезы, чтобы создать для них оптимальный режим температуры и влажности воздуха – это 32-34 градуса с 80-90% влажностью, важно также осуществлять кислородотерапию нередко прямо в условиях кювеза.
Важно
Если есть такая возможность, дети вскармливаются грудным молоком матери или донорским, важно немного снизить общую калорийность питания, но увеличить частоту кормлений.
Обязательно назначается кислородная терапия, ее подбирают с учетом возможностей и состояния ребенка. Это важно для того, чтобы корректировать метаболические расстройства и поддержать работу сердечно-сосудистой системы. В условиях кювеза это может быть непосредственная его подача или применение маски, при ослабленности и недоношенности крохи возможна коррекция дыхательного акта с подключением аппарата подачи кислорода (с постоянным положительным давлением), а при необходимости – перевод крохи на аппарат ИВЛ. На фоне всех этих мероприятий проводится уже медикаментозное воздействие.
Важно точное установление природы возбудителя, только под него подбирается терапия:
- При вирусном происхождении показаны противовирусные средства параллельно с антимикробной терапией.
- На фоне цитомегалии применяется особый препарат – анти-цитомегаловирсный иммуноглобулин в комбинации с интерферонами. Могут быть назначены препараты из группы стимуляторов синтеза интерферона в виде растворов, свечей или иных форм.
- При выявлении токсоплазмоза применимы препараты специфического действия – антибиотик спирамицин, подбираемый в индивидуальной дозе на килограмм веса. При лечении контролируют анализы крови и функции печени, дабы избежать осложнений в лечении.
- При бактериальных пневмониях новорожденных антибиотики относят к одним из ведущих препаратов, применяют сразу два препарата, вводя их внутривенно или внутримышечно, подбирают препараты из группы стартовых средств, а при их неэффективности – препараты резерва.
- Особенно сложно подобрать препараты при условии инфицирования условно-патогенной флорой, в том числе стафилококком, он может обладать резистентностью к многим антибиотикам.
Важно
На фоне терапии мощными антибиотиками страдает микрофлора кишечника, и важно проведение ее коррекции, особенно в условиях того, что кишечник еще не успел заселиться микробами. Показан прием пробиотиков в виде составов лактобактериями и бифидофлорой. Подбирают препараты таким образом, чтобы они не подвергались воздействию антибиотиков и приживлялись в кишечнике.
По мере улучшения состояния показана витаминотерапия и физиолечение, переход на кормление грудным молоком и уход самой мамой за младенцем, что улучшает прогноз относительно его выздоровления.
Каковы прогнозы для младенцев?
Если пневмония распознана в самом начале и точно определены ее возбудители, начато активное лечение, организован полноценный уход за крохой и проводятся все мероприятия, шансы на выздоровление высоки. Но нередко врожденная пневмония возникает еще внутриутробно, сочетается с множественными поражениями тканей и органов, нервной системы, грозит проблемами. Нередко тяжелое течение и атипичные возбудители могут приводить к остаточным явлениям и инвалидности.
Парецкая Алена, педиатр, медицинский обозреватель
Вопрос-ответ
Какие последствия от врожденной пневмонии у новорожденных?
Опасность пневмонии заключается и тех, осложнениях, которые возникают в процессе и после болезни. В случае болезни новорожденного медики говорят о риске появления отита, воспалительных заболеваний почек и желудочно-кишечного тракта, а также плеврита и сепсиса.
Почему бывает врождённая пневмония?
Врожденные пневмонии связаны с наличием в организме вируса простого герпеса 1 и 2 типа, цитомегаловирусной инфекции, возбудителей ветряной оспы, хламидий. При внутриутробном и внутрибольничном заражении значимость вирусов изменяется: доминирует стрептококк группы В, золотистый стафилококк, клебсиелла, кишечная палочка.
Почему ребенок может родиться с пневмонией?
Во время родов основной путь инфицирования — контактный, который реализуется при прохождении через материнские родовые пути. Если они не санированы, новорожденный может заразиться хламидиями, кишечной палочкой микоплазмой и уреаплазмой. Чаще других встречается хламидийная пневмония (33% случаев).
Как лечат врожденную пневмонию?
Этиотропная терапия – воздействие непосредственно на инфекционный агент – возбудитель заболевания. Патогенетическая терапия – коррекция изменений гомеостаза и проявлений полиорганной недостаточности. Симптоматическая терапия. Антибактериальная терапия (АБТ) – основной элемент терапии врожденной пневмонии.
Советы
СОВЕТ №1
Обратите внимание на ранние симптомы. Врожденная пневмония может проявляться у новорожденного в первые дни жизни. Следите за такими признаками, как затрудненное дыхание, учащенное дыхание, синюшность кожи и снижение аппетита. При появлении этих симптомов немедленно обратитесь к врачу.
СОВЕТ №2
Следите за условиями родов. Если у вас есть факторы риска, такие как инфекции во время беременности или преждевременные роды, обсудите с врачом возможные меры предосторожности, чтобы минимизировать риск развития врожденной пневмонии у вашего ребенка.
СОВЕТ №3
Обеспечьте правильный уход за новорожденным. После рождения важно следить за гигиеной и условиями, в которых находится ребенок. Избегайте контакта с больными людьми и соблюдайте рекомендации по вакцинации, чтобы защитить малыша от инфекций.
СОВЕТ №4
Регулярно посещайте педиатра. Регулярные осмотры у врача помогут выявить любые проблемы на ранней стадии. Не пренебрегайте плановыми визитами и сообщайте врачу о любых изменениях в состоянии здоровья вашего ребенка.






