Пневмомедиастинум – это наличие воздуха или газа в средостение (комплекс органов между легкими). Воздух и газ попасть сюда извне либо из дыхательных путей.
Признаки болезни – боли за грудиной, нарушение дыхания в виде одышки, «опухание» грудной клетки спереди (на самом деле эффект обусловлен раздуванием тканей воздухом).
Диагностику проводят с помощью рентгенологических, компьютерных и магнитно-резонансных методов.
Небольшое количество воздуха рассасывается самостоятельно, при более выраженном пневмомедастинуме необходимо хирургическое вмешательство.
Общие данные
Пневмомедиастинум относится к коварным патологиям. Само по себе наличие воздуха в средостении некритично, но при скоплении его большого количества воздух давит на легкие, сердце и больше сосуды, мешая их деятельности.
Данная патология может возникнуть спонтанно в любом возрасте. Травматический пневмомедиастинум диагностируют в основном в активном возрасте – молодом и среднем. По причине более высокой активности мужчины страдают чаще, чем женщины.
Нарушение еще называют эмфиземой средостения.
Пневмомедиастинум — это состояние, при котором воздух попадает в средостение, что может быть вызвано различными факторами, такими как травмы, разрывы дыхательных путей или осложнения после медицинских процедур. Врачи отмечают, что данное состояние может проявляться болями в груди, одышкой и дискомфортом. Важно своевременно диагностировать пневмомедиастинум, так как он может привести к серьезным осложнениям, включая компрессию сосудов и органов.
Лечение зависит от причины возникновения и степени тяжести состояния. В некоторых случаях достаточно наблюдения и консервативной терапии, в то время как в более сложных случаях может потребоваться хирургическое вмешательство для удаления воздуха и восстановления нормального состояния. Врачи подчеркивают важность раннего обращения за медицинской помощью и тщательной диагностики, чтобы избежать потенциально опасных последствий.

Причины спонтанной эмфиземы средостения
Попадание воздуха в средостение возможно при нарушении целостности либо грудной стенки, либо органов грудной клетки. Такое нарушение может оказаться следствием:
- патологии;
- травмы.
В свою очередь, нарушение целостности структур грудной клетки, ведущее к пневмомедиастинуму – это либо сквозной дефект дыхательных путей, либо разрыв легочной ткани.
Какие патологии могут привести к нарушению целостности органов и тканей с последующим поступлением воздуха в средостение? Обычно это нарушения, которые сопровождаются деструкцией тканей – обычно гнойные (абсцесс) либо некротические (гангрена).
Травмы, ведущие к поступлению воздуха в средостение, бывают:
- внешние;
- ятрогенные – медицинские.
К первым относятся ранения грудной клетки, не связанные с выполнением медицинских манипуляций – резаные, колотые, рубленые, огнестрельные раны, а также переломы ребер. Вторые – это:
- медицинские диагностические манипуляции (например, торакоскопия);
- любые оперативные вмешательства на грудной клетке.
Развитие патологии
Пневмомедиастинум возникает, если прочность тканей грудной клетки критически нарушается либо не выдерживает влияния внешнего фактора.
Обратите внимание
Если поражены полый орган или грудная стенка, то воздух попадает из этого органа либо снаружи. Но также встречается спонтанный пневмомедиастинум – при разрывах легкого на фоне патологии. Это может случиться при кашле, натуживании, крике.
Как особая форма выделен искусственный пневмомедиастинум – он необходим для проведения определенных диагностических манипуляций. При этом в клетчатку средостения нагнетают газ (закись азота) или воздух, после чего проводят диагностические мероприятия.
Пневмомедиастинум — это состояние, при котором воздух попадает в средостение, что может вызывать серьезные осложнения. Люди часто отмечают, что это заболевание может возникнуть в результате травм грудной клетки, хирургических вмешательств или даже при сильном кашле. Симптомы включают боль в груди, затрудненное дыхание и иногда свистящие звуки при дыхании. Лечение зависит от причины возникновения: в легких случаях может быть достаточно наблюдения и консервативной терапии, в то время как в более тяжелых ситуациях может потребоваться хирургическое вмешательство для удаления воздуха. Важно обратиться к врачу при первых признаках, чтобы избежать серьезных последствий.

Симптомы пневмомедастинума
Основными симптомами пневмомедиастинума являются:
- боли в грудной клетке;
- одышка;
- вздутие мягких тканей грудной клетки.
Характеристики болей будут следующими:
- по локализации – обычно за грудиной;
- по распространению – отдают в шею, руку;
- по характеру – сжимающие, колющие;
- по выраженности – она зависит от выраженности пневмомедиастинума. Обычно это слабые боли, на уровне дискомфортных ощущений;
- по возникновению – появляются в момент попадания воздуха в жировую клетчатку средостения.
Из–за сдавливания воздухом легких наблюдается одышка – затрудненное дыхание (в данном случае как на вдохе, так и на выдохе).
Обратите внимание
Вздутие мягких тканей грудной клетки – характерный признак описываемого заболевания. Он возникает по той причине, что воздух из средостения проникает в подкожную клетчатку.
Диагностика
Диагноз ставят по жалобам пациента, данным анамнеза (истории развития) патологии, результатам дополнительных методов обследования.
Из анамнеза в первую очередь выясняют, чем болел пациент, не было и у него травм грудной клетки, не переносил ли он оперативного вмешательства на ее органах.
При физикальном обследовании выясняется следующее:
- при общем осмотре – общее состояние при незначительном пневмомедиастинуме удовлетворительное, но при постепенном увеличении количества воздуха в средостении может ухудшаться. При выраженном пневмомедиастинуме кожные покровы и видимые слизистые оболочки синюшные;
- при местном осмотре – пациент выглядит «запухшим» в области грудной клетки и шеи;
- при пальпации (прощупывании) – пальпаторно определяется симптом крепитации (ощущаемое пальцами поскрипывание);
- при перкуссии (простукивании) – не определяются границы сердца;
- при аускультации (прослушивании) – при выраженной эмфиземе везикулярное дыхание и сердечные тоны ослаблены.
Также могут выявляться признаки патологии, которая привела к развитию данного нарушения.
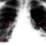
Из инструментальных методов в диагностике пневмомедиастинума используются:
- рентгенографическое исследование органов грудной клетки – на снимках выявляют полосы газа, средостение может быть «сжато» в размерах;
- торакоскопия – через разрез в грудной стенке в грудную полость вводят торакоскоп (разновидность эндоскопического оборудования), осматривают полость и легкие, устанавливают причину пневмомедиастинума;
- компьютерная томография (КТ) – в спорных случаях компьютерные срезы позволят обнаружить причину дефекта тканей;
- дыхательные тесты – пациент делает вдохи и выдохи, при этом объем воздуха измеряют, по нему определяют степен дыхательной недостаточности, возникшей как результат давления воздуха на легкие.
Лабораторные методы назначают по показаниям – для выявления характера патологии, которая могла привести к деструкции тканей и проникновению воздуха в средостение.
Дифференциальную (отличительную) диагностику пневмомедиастинума обычно проводят между заболеваниями и патологическими состояниями, которые к нему привели.

Осложнения
Наиболее частыми последствиями пневмомедиастинума являются:
- дыхательная недостаточность – ухудшение функций дыхательных органов, которое ведет к нарушению газообмен (выделения углекислого газа из легких и поглощения кислорода);
- сердечно–сосудистая недостаточность – нарушение функций сердца и сосудов по перекачке крови;
- пневмоторакс – попадание воздуха (или газа) в плевральную полость, что в данном случае возникает при прорыве плевры.
Лечение пневмомедастинума
Пациента с данным нарушением в обязательном порядке госпитализируют в клинику.
Небольшое количество воздуха в средостении со временем самостоятельно ликвидируется (рассасывается). При его большом количестве средостение дренируют, а дефект органа, через который воздух проник в средостение, ушивают. В любом случае показано консервативное лечение в зависимости от типа нарушений:
- кислородотерапия;
- антибактериальные препараты – для профилактики застойной пневмонии;
- обезболивающие – по показаниям
так далее.
Профилактика
Основными методами профилактики пневмомедиастинума являются:
- предупреждение, выявление и лечение патологий, на фоне которых прочность тканей уменьшилась, что привело к их разрыву и проникновению воздуха в средостение;
- предупреждение травмирования грудной клетки;
- аккуратное выполнение медицинских манипуляций на ней.
Прогноз
Прогноз при пневмомедиастинуме разный. При наличии небольшого количества воздуха в средостении и грамотных медицинских действиях наступает полное выздоровление.
Прогноз ухудшается при возникновении осложнений.
Ковтонюк Оксана Владимировна, медицинский обозреватель, хирург, врач-консультант
Вопрос-ответ
Как вылечить пневмомедиастинум?
Лечение. Часто лечение не требуется, так как воздух постепенно всасывается из средостения . Если пневмомедиастинум сопровождается пневмотораксом, может быть установлена грудная дренажная трубка. Вдыхание высоких концентраций кислорода может позволить воздуху в средостении всасываться быстрее.
Какова частая причина пневмомедиастинума?
Состояние может быть вызвано травмой или болезнью. Чаще всего это происходит, когда воздух просачивается из любой части легкого или дыхательных путей в средостение . Повышенное давление в легких или дыхательных путях может быть вызвано: Слишком сильным кашлем.
Сколько времени потребуется, чтобы пневмомедиастинум исчез?
Большинство случаев пневмомедиастинума разрешаются менее чем за 2 месяца .
Нужна ли госпитализация при пневмомедиастинуме?
Спонтанный пневмомедиастинум не является экстренным случаем . Но если в средостении из-за травмы или болезни находится воздух, вам следует немедленно обратиться за помощью. Немедленно обратитесь в ближайшее отделение неотложной помощи или обратитесь за медицинской помощью, если у вас боль в груди и одышка.
Советы
СОВЕТ №1
Обратите внимание на симптомы. Если вы испытываете затрудненное дыхание, боль в груди или ощущение давления, немедленно обратитесь к врачу. Раннее выявление пневмомедиастинума может существенно повлиять на эффективность лечения.
СОВЕТ №2
Изучите возможные причины возникновения пневмомедиастинума. Это может быть связано с травмами грудной клетки, хирургическими вмешательствами или заболеваниями легких. Знание причин поможет вам избежать потенциальных рисков в будущем.
СОВЕТ №3
Следуйте рекомендациям врача по лечению. В зависимости от причины и степени тяжести состояния, лечение может включать наблюдение, медикаментозную терапию или хирургическое вмешательство. Не пренебрегайте назначениями и регулярно проходите контрольные обследования.
СОВЕТ №4
Обсудите с врачом возможность реабилитации после лечения. Восстановление может включать дыхательную гимнастику и физическую терапию, что поможет улучшить общее состояние и предотвратить рецидивы.


